相关产品推荐更多 >
万千商家帮你免费找货
0 人在求购买到急需产品
- 详细信息
- 技术资料
- 抗体名:
Phospho-beta catenin (Tyr142) Rabbit Polyclonal Antibody抗体
- 抗体英文名:
Phospho-beta catenin (Tyr142) Rabbit Polyclonal Antibody
- 靶点:
CTNNB1
- 浓度:
1mg/ml
- 应用范围:
FC, ICC, IF, IHC-Fr, IHC-P
- 宿主:
Rabbit
- 适应物种:
Human, Rat
- 保质期:
6-12个月
- 抗原来源:
详询
- 目录编号:
orb13279
- 级别:
科研级
- 库存:
88
- 供应商:
biorbyt
- 标记物:
Unconjugated
- 克隆性:
Polyclonal
- 保存条件:
参考产品说明书
- 形态:
Liquid
- 亚型:
IgG
- 免疫原:
KLH conjugated Synthesised phosphopeptide derived from human Beta catenin around the phosphorylation site of Tyr142 IN(p-Y)QD
- 规格:
50 ul
产品描述:Phospho-beta catenin (Tyr142) Rabbit Polyclonal Antibody
别名:CTNB1_HUMAN; Catenin beta-1; catenin beta 1; CTNNB1; Catenin beta; Beta-catenin; CTNNB; OK/SW-cl.35; PRO2286; EVR7; MRD19; NEDSDV; armadillo; βcatenin; β catenin; β-catenin;
免疫原:KLH conjugated Synthesised phosphopeptide derived from human Beta catenin around the phosphorylation site of Tyr142 IN(p-Y)QD
预测反应性:Gallus, Mouse
分子量:86 kDa
应用稀释比例:IHC-P=1:100-500, IHC-F=1:100-500, ICC/IF=1:100-500, IF=1:100-500, Flow-Cyt=1μg/Test
防腐剂:0.01M TBS (pH7.4) with 1% rAlbumin, 0.02% Proclin300 and 50% Glycerol.
纯化:Affinity purified by Protein A
保存说明:Maintain refrigerated at 2-8°C for up to 2 weeks. For long term storage store at -20°C in small aliquots to prevent freeze-thaw cycles.
UniProt ID:P35222
Note:For research use only.



别名:CTNB1_HUMAN; Catenin beta-1; catenin beta 1; CTNNB1; Catenin beta; Beta-catenin; CTNNB; OK/SW-cl.35; PRO2286; EVR7; MRD19; NEDSDV; armadillo; βcatenin; β catenin; β-catenin;
免疫原:KLH conjugated Synthesised phosphopeptide derived from human Beta catenin around the phosphorylation site of Tyr142 IN(p-Y)QD
预测反应性:Gallus, Mouse
分子量:86 kDa
应用稀释比例:IHC-P=1:100-500, IHC-F=1:100-500, ICC/IF=1:100-500, IF=1:100-500, Flow-Cyt=1μg/Test
防腐剂:0.01M TBS (pH7.4) with 1% rAlbumin, 0.02% Proclin300 and 50% Glycerol.
纯化:Affinity purified by Protein A
保存说明:Maintain refrigerated at 2-8°C for up to 2 weeks. For long term storage store at -20°C in small aliquots to prevent freeze-thaw cycles.
UniProt ID:P35222
Note:For research use only.

Blank control: Hela (fixed with 2% Fixative (10 min), then permeabilized with 0.3% tritionx-100 for 5 min at room temperature). Primary Antibody: Rabbit Anti-phospho-beta catenin (Tyr142) antibody (orb13279, Green), Dilution: 1 µg in 100 µl 1X PBS containing 0.5% BSA, Isotype Control Antibody: Rabbit IgG (orange), used under the same conditions. Secondary Antibody: Goat anti-rabbit IgG-FITC), Dilution: 1:200 in 1X PBS containing 0.5% BSA.

Hela cell, 4% Fixative-fixed, Triton X-100 at room temperature for 20 min, Blocking buffer (normal goat serum) at 37°C for 20 min, Antibody incubation with (phospho-beta catenin (Tyr142)) polyclonal Antibody, Unconjugated (orb13279) 1:100, 90 minutes at 37°C, followed by a conjugated Goat Anti-Rabbit IgG antibody at 37°C for 90 minutes, DAPI (blue) was used to stain the cell nuclei.

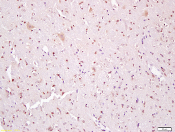
Tissue/Cell: rat brain tissue, 4% Fixative-fixed and paraffin-embedded, Antigen retrieval: citrate buffer (0.01M, pH 6.0), Boiling bathing for 15 min, Block endogenous peroxidase by 3% Hydrogen peroxide for 30 min, Blocking buffer (normal goat serum) at 37°C for 20 min, Incubation: Anti-phospho-beta catenin (Tyr142) Polyclonal Antibody, Unconjugated (orb13279) 1:200, overnight at 4°C, followed by conjugation to the secondary antibody and DAB staining.
风险提示:丁香通仅作为第三方平台,为商家信息发布提供平台空间。用户咨询产品时请注意保护个人信息及财产安全,合理判断,谨慎选购商品,商家和用户对交易行为负责。对于医疗器械类产品,请先查证核实企业经营资质和医疗器械产品注册证情况。
技术资料暂无技术资料 索取技术资料
Phospho-beta catenin (Tyr142) Rabbit Polyclonal Antibody抗体,orb13279,biorbyt
¥3120










