相关产品推荐更多 >
万千商家帮你免费找货
0 人在求购买到急需产品
- 详细信息
- 文献和实验
- 技术资料
- 抗体名:
TBX2 Rabbit Polyclonal Antibody抗体
- 抗体英文名:
TBX2 Rabbit Polyclonal Antibody
- 靶点:
TBX2
- 浓度:
1mg/ml
- 应用范围:
IF, IHC-Fr, IHC-P
- 宿主:
Rabbit
- 适应物种:
Rat
- 保质期:
6-12个月
- 抗原来源:
详询
- 目录编号:
orb11456
- 级别:
科研级
- 库存:
88
- 供应商:
biorbyt
- 标记物:
Unconjugated
- 克隆性:
Polyclonal
- 保存条件:
参考产品说明书
- 形态:
Liquid
- 亚型:
IgG
- 免疫原:
KLH conjugated synthetic peptide derived from human TBX2 (401-500/701aa)
- 规格:
50 ul
产品描述:TBX2 Rabbit Polyclonal Antibody
别名:T-bet; T-box2; T-box Protein 2; T-box transcription factor TBX2; T-box protein 2; FLJ10169; HGNC: 11597; T box 2; T box transcription factor TBX2; TBX2; TBX2_HUMAN.
免疫原:KLH conjugated synthetic peptide derived from human TBX2 (401-500/701aa)
预测反应性:Human, Mouse
分子量:74 kDa
应用稀释比例:IHC-P=1:100-500, IHC-F=1:100-500, IF=1:100-500
防腐剂:0.01M TBS (pH7.4) with 1% rAlbumin, 0.02% Proclin300 and 50% Glycerol.
纯化:Affinity purified by Protein A
保存说明:Maintain refrigerated at 2-8°C for up to 2 weeks. For long term storage store at -20°C in small aliquots to prevent freeze-thaw cycles.
Pubmed:39481492
UniProt ID:Q13207
Note:For research use only.


别名:T-bet; T-box2; T-box Protein 2; T-box transcription factor TBX2; T-box protein 2; FLJ10169; HGNC: 11597; T box 2; T box transcription factor TBX2; TBX2; TBX2_HUMAN.
免疫原:KLH conjugated synthetic peptide derived from human TBX2 (401-500/701aa)
预测反应性:Human, Mouse
分子量:74 kDa
应用稀释比例:IHC-P=1:100-500, IHC-F=1:100-500, IF=1:100-500
防腐剂:0.01M TBS (pH7.4) with 1% rAlbumin, 0.02% Proclin300 and 50% Glycerol.
纯化:Affinity purified by Protein A
保存说明:Maintain refrigerated at 2-8°C for up to 2 weeks. For long term storage store at -20°C in small aliquots to prevent freeze-thaw cycles.
Pubmed:39481492
UniProt ID:Q13207
Note:For research use only.

Immunohistochemical staining of paraffin embedded human ovarian cancer using TBX2 antibody.

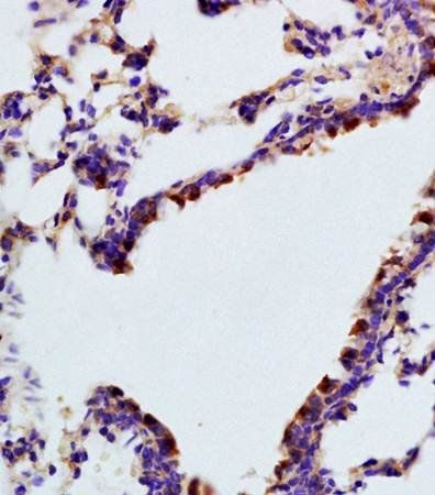
Immunohistochemical analysis of formalin fixed and paraffin embedded rat lung tissue using TBX2 antibody
风险提示:丁香通仅作为第三方平台,为商家信息发布提供平台空间。用户咨询产品时请注意保护个人信息及财产安全,合理判断,谨慎选购商品,商家和用户对交易行为负责。对于医疗器械类产品,请先查证核实企业经营资质和医疗器械产品注册证情况。
文献和实验该产品被引用文献
Xiaochun Zhao 1, Xueting Wang 2, Ziyang Xu 2, Xiaohan Chang 3, Yue Tian PTPN2 dephosphorylates STAT3 to ameliorate anesthesia-induced cognitive decline in aged rats by altering the microglial phenotype and inhibiting inflammation Biochim Biophys Acta Mol Basis Dis, (2024)
技术资料暂无技术资料 索取技术资料
文献支持
TBX2 Rabbit Polyclonal Antibody抗体,orb11456,biorbyt
¥3120










