相关产品推荐更多 >
万千商家帮你免费找货
0 人在求购买到急需产品
- 详细信息
- 技术资料
- 抗体名:
GDNFRA Rabbit Polyclonal Antibody抗体
- 抗体英文名:
GDNFRA Rabbit Polyclonal Antibody
- 靶点:
GFRA1
- 浓度:
1mg/ml
- 应用范围:
IF, IHC-Fr, IHC-P, WB
- 宿主:
Rabbit
- 适应物种:
Human, Mouse, Rat
- 保质期:
6-12个月
- 抗原来源:
详询
- 目录编号:
orb10711
- 级别:
科研级
- 库存:
88
- 供应商:
biorbyt
- 标记物:
Unconjugated
- 克隆性:
Polyclonal
- 保存条件:
参考产品说明书
- 形态:
Liquid
- 亚型:
IgG
- 免疫原:
KLH conjugated synthetic peptide derived from human GFR Alpha-1 (351-429/465aa)
- 规格:
50 ul
产品描述:GDNFRA Rabbit Polyclonal Antibody
别名:GDNF Receptor alpha 1; GFRa-1; GFR alpha; GDNFR alpha; TmR1; GFR alpha-1; RETL1; RET ligand 1; TGF-beta related neurotrophic factor receptor-1; AU042498; DKFZp313E1012; DKFZp686J0156; FLJ10561; FLJ31546; GDNFR; Gdnfr alpha; GFR-ALPHA-1; GFRA1; GRFA1; LOC143381; MGC23045; Ret; RET1L; RETL1; TRNR1; GFRA1_HUMAN; GDNF family receptor alpha-1; GDNF receptor alpha-1; GDNFR-alpha-1; TGF-beta-related neurotrophic factor receptor 1.
免疫原:KLH conjugated synthetic peptide derived from human GFR Alpha-1 (351-429/465aa)
预测反应性:Bovine, Canine, Equine, Porcine
分子量:44 kDa
应用稀释比例:WB=1:500-2000, IHC-P=1:100-500, IHC-F=1:100-500, IF=1:100-500
防腐剂:0.01M TBS (pH7.4) with 1% rAlbumin, 0.02% Proclin300 and 50% Glycerol.
纯化:Affinity purified by Protein A
保存说明:Maintain refrigerated at 2-8°C for up to 2 weeks. For long term storage store at -20°C in small aliquots to prevent freeze-thaw cycles.
UniProt ID:P56159
Note:For research use only.






别名:GDNF Receptor alpha 1; GFRa-1; GFR alpha; GDNFR alpha; TmR1; GFR alpha-1; RETL1; RET ligand 1; TGF-beta related neurotrophic factor receptor-1; AU042498; DKFZp313E1012; DKFZp686J0156; FLJ10561; FLJ31546; GDNFR; Gdnfr alpha; GFR-ALPHA-1; GFRA1; GRFA1; LOC143381; MGC23045; Ret; RET1L; RETL1; TRNR1; GFRA1_HUMAN; GDNF family receptor alpha-1; GDNF receptor alpha-1; GDNFR-alpha-1; TGF-beta-related neurotrophic factor receptor 1.
免疫原:KLH conjugated synthetic peptide derived from human GFR Alpha-1 (351-429/465aa)
预测反应性:Bovine, Canine, Equine, Porcine
分子量:44 kDa
应用稀释比例:WB=1:500-2000, IHC-P=1:100-500, IHC-F=1:100-500, IF=1:100-500
防腐剂:0.01M TBS (pH7.4) with 1% rAlbumin, 0.02% Proclin300 and 50% Glycerol.
纯化:Affinity purified by Protein A
保存说明:Maintain refrigerated at 2-8°C for up to 2 weeks. For long term storage store at -20°C in small aliquots to prevent freeze-thaw cycles.
UniProt ID:P56159
Note:For research use only.

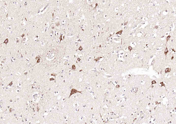
paraffin embedded (human brain), Antigen retrieval by boiling in sodium citrate buffer (pH6.0) for 15 min, Block endogenous peroxidase by 3% hydrogen peroxide for 20 minutes, Blocking buffer (normal goat serum) at 37°C for 30 min, Antibody incubation with (GDNFRA) Polyclonal Antibody, Unconjugated (orb10711) at 1:200 overnight at 4°C, followed by operating according to SP Kit (Rabbit) instructionsand DAB staining.

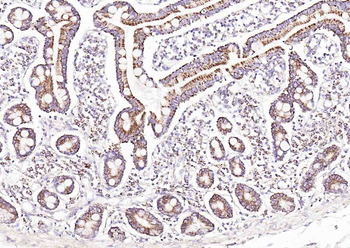
Fixative-fixed, paraffin embedded (Human duodenum), Antigen retrieval by boiling in sodium citrate buffer (pH6.0) for 15 min, Block endogenous peroxidase by 3% hydrogen peroxide for 20 minutes, Blocking buffer (normal goat serum) at 37°C for 30 min, Antibody incubation with (GDNFRA) Polyclonal Antibody, Unconjugated (orb10711) at 1:200 overnight at 4°C, followed by operating according to SP Kit (Rabbit) instructionsand DAB staining.

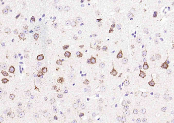
Fixative-fixed, paraffin embedded (mouse brain), Antigen retrieval by boiling in sodium citrate buffer (pH6.0) for 15 min, Block endogenous peroxidase by 3% hydrogen peroxide for 20 minutes, Blocking buffer (normal goat serum) at 37°C for 30 min, Antibody incubation with (GDNFRA) Polyclonal Antibody, Unconjugated (orb10711) at 1:200 overnight at 4°C, followed by operating according to SP Kit (Rabbit) instructionsand DAB staining.

Sample: Lane 1: Human HeLa cell lysates, Lane 2: Human HepG2 cell lysates, Lane 3: Human MOLT4 cell lysates, Lane 4: Human A549 cell lysates, Primary: Anti-GDNFRA (orb10711) at 1/1000 dilution, Secondary: IRDye800CW Goat Anti-Rabbit IgG at 1/20000 dilution, Predicted band size: 44 kDa, Observed band size: 47 kDa.

Sample: Lane 1: Mouse Cerebrum tissue lysates, Lane 2: Mouse Testis tissue lysates, Lane 3: Rat Cerebrum tissue lysates, Primary: Anti-GDNFRA (orb10711) at 1/1000 dilution, Secondary: IRDye800CW Goat Anti-Rabbit IgG at 1/20000 dilution, Predicted band size: 44 kDa, Observed band size: 47 kDa.

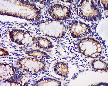
Tissue/Cell: Human colon cancer, 4% Fixative-fixed and paraffin-embedded, Antigen retrieval: citrate buffer (0.01M, pH6.0), Boiling bathing for 15 min, Block endogenous peroxidase by 3% Hydrogen peroxide for 30 min, Blocking buffer (normal goat serum) at 37°C for 20 min, Incubation: Anti-GDNFRA Polyclonal Antibody, Unconjugated (orb10711) 1:200, overnight at 4°C, followed by conjugation to the secondary antibody and DAB staining.
风险提示:丁香通仅作为第三方平台,为商家信息发布提供平台空间。用户咨询产品时请注意保护个人信息及财产安全,合理判断,谨慎选购商品,商家和用户对交易行为负责。对于医疗器械类产品,请先查证核实企业经营资质和医疗器械产品注册证情况。
技术资料暂无技术资料 索取技术资料
GDNFRA Rabbit Polyclonal Antibody抗体,orb10711,biorbyt
¥3120










