相关产品推荐更多 >

HIF-1 Alpha Antibody (Cy5.5) 抗体,orb1586076,Biorbyt
¥4796
PPAR-γ (phospho Ser112) rabbit pAb抗体,orb764303,biorbyt
¥3250
Alpha B Crystallin Antibody / CRYAB 抗体,orb1826036,Biorbyt
¥9932
CYP4B1 Antibody - N-terminal region : Biotin 抗体,orb2123161,Biorbyt
¥8216
ICAM1 Rabbit Polyclonal Antibody抗体,orb10334,biorbyt
¥3120
万千商家帮你免费找货
0 人在求购买到急需产品
- 详细信息
- 技术资料
- 抗体名:
RAF1 Rabbit Polyclonal Antibody抗体
- 抗体英文名:
RAF1 Rabbit Polyclonal Antibody
- 靶点:
RAF1
- 浓度:
1mg/ml
- 应用范围:
IF, IHC-Fr, IHC-P
- 宿主:
Rabbit
- 适应物种:
Human
- 保质期:
6-12个月
- 抗原来源:
详询
- 目录编号:
orb10460
- 级别:
科研级
- 库存:
88
- 供应商:
biorbyt
- 标记物:
Unconjugated
- 克隆性:
Polyclonal
- 保存条件:
参考产品说明书
- 形态:
Liquid
- 亚型:
IgG
- 免疫原:
KLH conjugated synthetic peptide derived from human RAF1 (31-130/648aa)
- 规格:
50 ul
产品描述:RAF1 Rabbit Polyclonal Antibody
别名:c Raf; C-raf; Craf 1 transforming gene; cRaf; cRaf; Craf1 transforming gene; EC 2.7.11.1; Murine sarcoma 3611 oncogene 1; NS5; Oncogene MIL; Oncogene RAF1; OTTHUMP00000160218; OTTHUMP00000207813; OTTHUMP00000209389; Proto-oncogene c-RAF; Raf 1; Raf-1; RAF; Raf proto oncogene serine/threonine protein kinase; RAF proto-oncogene serine/threonine-protein kinase; RAF-1; RAF1_HUMAN; TRANSFORMING REPLICATION-DEFECTIVE MURINE RETROVIRUS 3611-MSV; v raf 1 murine leukemia viral oncogene homolog 1; v-raf murine sarcoma viral oncogene homolog 1; vraf1 murine leukemia viral oncogene homolog 1.
免疫原:KLH conjugated synthetic peptide derived from human RAF1 (31-130/648aa)
预测反应性:Bovine, Canine, Equine, Mouse, Rabbit, Rat
分子量:73 kDa
应用稀释比例:IHC-P=1:100-500, IHC-F=1:100-500, IF=1:100-500
防腐剂:0.01M TBS (pH7.4) with 1% rAlbumin, 0.02% Proclin300 and 50% Glycerol.
纯化:Affinity purified by Protein A
保存说明:Maintain refrigerated at 2-8°C for up to 2 weeks. For long term storage store at -20°C in small aliquots to prevent freeze-thaw cycles.
UniProt ID:P04049
Note:For research use only.

别名:c Raf; C-raf; Craf 1 transforming gene; cRaf; cRaf; Craf1 transforming gene; EC 2.7.11.1; Murine sarcoma 3611 oncogene 1; NS5; Oncogene MIL; Oncogene RAF1; OTTHUMP00000160218; OTTHUMP00000207813; OTTHUMP00000209389; Proto-oncogene c-RAF; Raf 1; Raf-1; RAF; Raf proto oncogene serine/threonine protein kinase; RAF proto-oncogene serine/threonine-protein kinase; RAF-1; RAF1_HUMAN; TRANSFORMING REPLICATION-DEFECTIVE MURINE RETROVIRUS 3611-MSV; v raf 1 murine leukemia viral oncogene homolog 1; v-raf murine sarcoma viral oncogene homolog 1; vraf1 murine leukemia viral oncogene homolog 1.
免疫原:KLH conjugated synthetic peptide derived from human RAF1 (31-130/648aa)
预测反应性:Bovine, Canine, Equine, Mouse, Rabbit, Rat
分子量:73 kDa
应用稀释比例:IHC-P=1:100-500, IHC-F=1:100-500, IF=1:100-500
防腐剂:0.01M TBS (pH7.4) with 1% rAlbumin, 0.02% Proclin300 and 50% Glycerol.
纯化:Affinity purified by Protein A
保存说明:Maintain refrigerated at 2-8°C for up to 2 weeks. For long term storage store at -20°C in small aliquots to prevent freeze-thaw cycles.
UniProt ID:P04049
Note:For research use only.

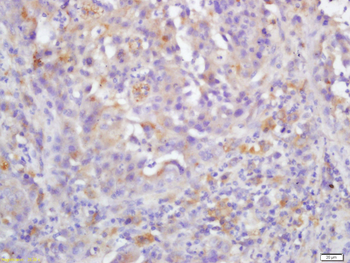
Tissue/Cell: human gastric carcinoma, 4% Fixative-fixed and paraffin-embedded, Antigen retrieval: citrate buffer (0.01M, pH6.0), Boiling bathing for 15 min, Block endogenous peroxidase by 3% Hydrogen peroxide for 30 min, Blocking buffer (normal goat serum) at 37°C for 20 min, Incubation: Anti-Raf1 Polyclonal Antibody, Unconjugated (orb10460) 1:200, overnight at 4°C, followed by conjugation to the secondary antibody and DAB staining.
风险提示:丁香通仅作为第三方平台,为商家信息发布提供平台空间。用户咨询产品时请注意保护个人信息及财产安全,合理判断,谨慎选购商品,商家和用户对交易行为负责。对于医疗器械类产品,请先查证核实企业经营资质和医疗器械产品注册证情况。
技术资料暂无技术资料 索取技术资料
RAF1 Rabbit Polyclonal Antibody抗体,orb10460,biorbyt
¥3120





