相关产品推荐更多 >
万千商家帮你免费找货
0 人在求购买到急需产品
- 详细信息
- 技术资料
- 抗体名:
CXCR4 Rabbit Polyclonal Antibody抗体
- 抗体英文名:
CXCR4 Rabbit Polyclonal Antibody
- 靶点:
CXCR4
- 浓度:
1mg/ml
- 应用范围:
IF, IHC-Fr, IHC-P, WB
- 宿主:
Rabbit
- 适应物种:
Human, Mouse, Rat
- 保质期:
6-12个月
- 抗原来源:
详询
- 目录编号:
orb10305
- 级别:
科研级
- 库存:
88
- 供应商:
biorbyt
- 标记物:
Unconjugated
- 克隆性:
Polyclonal
- 保存条件:
参考产品说明书
- 形态:
Liquid
- 亚型:
IgG
- 免疫原:
KLH conjugated synthetic peptide derived from the middle of human CXCR4 (1-38/352aa)
- 规格:
50 ul
产品描述:CXCR4 Rabbit Polyclonal Antibody
别名:C-X-C chemokine receptor type 4; CXC-R4; CXCR-4; Stromal cell-derived factor 1 receptor; SDF-1 receptor; Fusin; Leukocyte-derived seven transmembrane domain receptor; LESTR; CD184 antigen; CXCR4_HUMAN.
免疫原:KLH conjugated synthetic peptide derived from the middle of human CXCR4 (1-38/352aa)
预测反应性:Bovine, Rabbit
分子量:40 kDa
应用稀释比例:WB=1:500-2000, IHC-P=1:100-500, IHC-F=1:100-500, IF=1:100-500
防腐剂:0.01M TBS (pH7.4) with 1% rAlbumin, 0.02% Proclin300 and 50% Glycerol.
纯化:Affinity purified by Protein A
保存说明:Maintain refrigerated at 2-8°C for up to 2 weeks. For long term storage store at -20°C in small aliquots to prevent freeze-thaw cycles.
UniProt ID:P61073
Note:For research use only.






别名:C-X-C chemokine receptor type 4; CXC-R4; CXCR-4; Stromal cell-derived factor 1 receptor; SDF-1 receptor; Fusin; Leukocyte-derived seven transmembrane domain receptor; LESTR; CD184 antigen; CXCR4_HUMAN.
免疫原:KLH conjugated synthetic peptide derived from the middle of human CXCR4 (1-38/352aa)
预测反应性:Bovine, Rabbit
分子量:40 kDa
应用稀释比例:WB=1:500-2000, IHC-P=1:100-500, IHC-F=1:100-500, IF=1:100-500
防腐剂:0.01M TBS (pH7.4) with 1% rAlbumin, 0.02% Proclin300 and 50% Glycerol.
纯化:Affinity purified by Protein A
保存说明:Maintain refrigerated at 2-8°C for up to 2 weeks. For long term storage store at -20°C in small aliquots to prevent freeze-thaw cycles.
UniProt ID:P61073
Note:For research use only.

Blank control: mouse splenocytes (blue), Isotype Control Antibody: Rabbit IgG (orange), Secondary Antibody: Goat anti-rabbit IgG-FITC (white blue), Dilution: 1:100 in 1 X PBS containing 0.5% BSA, Primary Antibody Dilution: 1 µl in 100 µL 1X PBS containing 0.5% BSA (green).

Blank control: U937 (blue). Primary Antibody: Rabbit Anti-CXCR4 antibody (orb10305), Dilution: 1 µg in 100 µL 1X PBS containing 0.5% BSA, Isotype Control Antibody: Rabbit IgG (orange), used under the same conditions. Secondary Antibody: Goat anti-rabbit IgG-PE (white blue), Dilution: 1:200 in 1 X PBS containing 0.5% BSA. Protocol, The cells were fixed with 2% Fixative (10 min). Primary antibody (orb10305, 1 µg/1x10^6 cells) were incubated for 30 min on the ice, followed by 1 X PBS containing 0.5% BSA + 10% goat serum (15 min) to block non-specific protein-protein interactions. Then the Goat Anti-rabbit IgG/PE antibody was added into the blocking buffer mentioned above to react with the primary antibody at 1/200 dilution for 30 min on ice. Acquisition of 20000 events was performed.

Sample: Brain (Rat) Lysate at 30 ug, Heart (Rat) Lysate at 30 ug, Primary: Anti-CXCR4 (orb10305) at 1/200 dilution, Secondary: HRP conjugated Goat-Anti-rabbit IgG (orb572747) at 1/3000 dilution, Predicted band size: 39 kD, Observed band size: 39 kD.

Sample: Lane 1: Blood cell (Mouse) Lysate at 40 ug, Lane 2: Lymph node (Mouse) Lysate at 40 ug, Lane 3: Bone (Rat) Lysate at 40 ug, Lane 4: Spleen (Rat) Lysate at 40 ug, Primary: Anti-CXCR4 at 1/1000 dilution, Secondary: IRDye800CW Goat Anti-Rabbit IgG at 1/20000 dilution, Predicted band size: 45 kD, Observed band size: 44 kD.

Sample: Lymph node (Mouse) Lysate at 40 ug, Primary: Anti-CXCR4 (orb10305) at 1/300 dilution, Secondary: IRDye800CW Goat Anti-Rabbit IgG at 1/20000 dilution, Predicted band size: 40 kD, Observed band size: 40 kD.

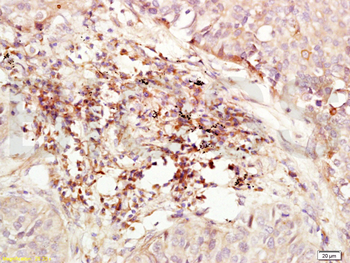
Tissue/cell: human lung carcinoma, 4% Fixative-fixed and paraffin-embedded, Antigen retrieval: citrate buffer (0.01M, pH 6.0), Boiling bathing for 15 min, Block endogenous peroxidase by 3% Hydrogen peroxide for 30 min, Blocking buffer (normal goat serum) at 37℃ for 20 min, Incubation: Anti-CD184/CXCR4 Polyclonal Antibody, Unconjugated (orb10305) 1:200, overnight at 4°C, followed by conjugation to the secondary antibody and DAB staining.
风险提示:丁香通仅作为第三方平台,为商家信息发布提供平台空间。用户咨询产品时请注意保护个人信息及财产安全,合理判断,谨慎选购商品,商家和用户对交易行为负责。对于医疗器械类产品,请先查证核实企业经营资质和医疗器械产品注册证情况。
技术资料暂无技术资料 索取技术资料
CXCR4 Rabbit Polyclonal Antibody抗体,orb10305,biorbyt
¥3120










