相关产品推荐更多 >
万千商家帮你免费找货
0 人在求购买到急需产品
- 详细信息
- 技术资料
- 抗体名:
BBC3/PUMA Rabbit Polyclonal Antibody抗体
- 抗体英文名:
BBC3/PUMA Rabbit Polyclonal Antibody
- 靶点:
BBC3
- 浓度:
1mg/ml
- 应用范围:
IF, IHC-Fr, IHC-P, WB
- 宿主:
Rabbit
- 适应物种:
Human, Rat
- 保质期:
6-12个月
- 抗原来源:
详询
- 目录编号:
orb10176
- 级别:
科研级
- 库存:
88
- 供应商:
biorbyt
- 标记物:
Unconjugated
- 克隆性:
Polyclonal
- 保存条件:
参考产品说明书
- 形态:
Liquid
- 亚型:
IgG
- 免疫原:
KLH conjugated synthetic peptide derived from human BBC3 (131-180/193aa)
- 规格:
50 ul
产品描述:BBC3/PUMA Rabbit Polyclonal Antibody
别名:PUMA; bcl-2 binding component 3; BBC 3; BBC3; BCL 2 binding component 3; BCL2 binding component 3; JFY 1; JFY1; p53 up regulated modulator of apoptosis; p53 Upregulated Modulator of Apoptosis; PUMA alpha; PUMA/JFY1; BBC3_RAT.
免疫原:KLH conjugated synthetic peptide derived from human BBC3 (131-180/193aa)
预测反应性:Bovine, Canine, Mouse, Porcine
分子量:21 kDa
应用稀释比例:WB=1:500-2000, IHC-P=1:100-500, IHC-F=1:100-500, IF=1:100-500
防腐剂:0.01M TBS (pH7.4) with 1% rAlbumin, 0.02% Proclin300 and 50% Glycerol.
纯化:Affinity purified by Protein A
保存说明:Maintain refrigerated at 2-8°C for up to 2 weeks. For long term storage store at -20°C in small aliquots to prevent freeze-thaw cycles.
UniProt ID:Q9BXH1
Note:For research use only.


别名:PUMA; bcl-2 binding component 3; BBC 3; BBC3; BCL 2 binding component 3; BCL2 binding component 3; JFY 1; JFY1; p53 up regulated modulator of apoptosis; p53 Upregulated Modulator of Apoptosis; PUMA alpha; PUMA/JFY1; BBC3_RAT.
免疫原:KLH conjugated synthetic peptide derived from human BBC3 (131-180/193aa)
预测反应性:Bovine, Canine, Mouse, Porcine
分子量:21 kDa
应用稀释比例:WB=1:500-2000, IHC-P=1:100-500, IHC-F=1:100-500, IF=1:100-500
防腐剂:0.01M TBS (pH7.4) with 1% rAlbumin, 0.02% Proclin300 and 50% Glycerol.
纯化:Affinity purified by Protein A
保存说明:Maintain refrigerated at 2-8°C for up to 2 weeks. For long term storage store at -20°C in small aliquots to prevent freeze-thaw cycles.
UniProt ID:Q9BXH1
Note:For research use only.

Sample: K562 Cell Lysate at 30 ug, Primary: Anti-BBC3 (orb10176) at 1/300 dilution, Secondary: IRDye800CW Goat Anti-Rabbit IgG at 1/20000 dilution, Predicted band size: 21 kD, Observed band size: 25 kD.

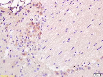
Tissue/cell: rat brain tissue, 4% Fixative-fixed and paraffin-embedded, Antigen retrieval: citrate buffer (0.01M, pH 6.0), Boiling bathing for 15 min, Block endogenous peroxidase by 3% Hydrogen peroxide for 30 min, Blocking buffer (normal goat serum) at 37℃ for 20 min, Incubation: Anti-BBC3/PUMA Polyclonal Antibody, Unconjugated (orb10176) 1:200, overnight at 4°C, followed by conjugation to the secondary antibody and DAB staining.
风险提示:丁香通仅作为第三方平台,为商家信息发布提供平台空间。用户咨询产品时请注意保护个人信息及财产安全,合理判断,谨慎选购商品,商家和用户对交易行为负责。对于医疗器械类产品,请先查证核实企业经营资质和医疗器械产品注册证情况。
技术资料暂无技术资料 索取技术资料
BBC3/PUMA Rabbit Polyclonal Antibody抗体,orb10176,biorbyt
¥3120










