相关产品推荐更多 >
万千商家帮你免费找货
0 人在求购买到急需产品
- 详细信息
- 技术资料
- 抗体名:
PDGF-B Rabbit Polyclonal Antibody抗体
- 抗体英文名:
PDGF-B Rabbit Polyclonal Antibody
- 靶点:
PDGFB
- 浓度:
1mg/ml
- 应用范围:
FC, IF, IHC-Fr, IHC-P, WB
- 宿主:
Rabbit
- 适应物种:
Human, Mouse, Rat
- 保质期:
6-12个月
- 抗原来源:
详询
- 目录编号:
orb11254
- 级别:
科研级
- 库存:
88
- 供应商:
biorbyt
- 标记物:
Unconjugated
- 克隆性:
Polyclonal
- 保存条件:
参考产品说明书
- 形态:
Liquid
- 亚型:
IgG
- 免疫原:
KLH conjugated synthetic peptide derived from human PDGF-B (155-210/241aa)
- 规格:
50 ul
产品描述:PDGF-B Rabbit Polyclonal Antibody
别名:PDGF beta; PDGF-B; Platelet-derived growth factor B-chain; PDGF AB+BB; Becaplermin; c sis; FLJ1285; Oncogene SIS; PDGF 1; PDGF 2; PDGF A; PDGF A chain; PDGF B chain; PDGF subunit A; PDGF subunit B; PDGF1; PDGF2; PDGFA; PDGFB; PDGFR1; Platelet derived growth factor 2; Platelet derived growth factor alpha; Platelet derived growth factor alpha chain; Platelet derived growth factor alpha polypeptide; Platelet derived growth factor B chain; Platelet derived growth factor beta; Platelet derived growth factor beta polypeptide; Platelet derived growth factor subunit A; Platelet derived growth factor subunit B; SIS; SSV; v sis platelet derived growth factor beta polypeptide.
免疫原:KLH conjugated synthetic peptide derived from human PDGF-B (155-210/241aa)
预测反应性:Bovine, Canine, Equine, Rabbit, Sheep
分子量:27 kDa
应用稀释比例:WB=1:500-2000, IHC-P=1:100-500, IHC-F=1:100-500, IF=1:100-500, Flow-Cyt=1μg/Test
防腐剂:0.01M TBS (pH7.4) with 1% rAlbumin, 0.02% Proclin300 and 50% Glycerol.
纯化:Affinity purified by Protein A
保存说明:Maintain refrigerated at 2-8°C for up to 2 weeks. For long term storage store at -20°C in small aliquots to prevent freeze-thaw cycles.
UniProt ID:P01127
Note:For research use only.



别名:PDGF beta; PDGF-B; Platelet-derived growth factor B-chain; PDGF AB+BB; Becaplermin; c sis; FLJ1285; Oncogene SIS; PDGF 1; PDGF 2; PDGF A; PDGF A chain; PDGF B chain; PDGF subunit A; PDGF subunit B; PDGF1; PDGF2; PDGFA; PDGFB; PDGFR1; Platelet derived growth factor 2; Platelet derived growth factor alpha; Platelet derived growth factor alpha chain; Platelet derived growth factor alpha polypeptide; Platelet derived growth factor B chain; Platelet derived growth factor beta; Platelet derived growth factor beta polypeptide; Platelet derived growth factor subunit A; Platelet derived growth factor subunit B; SIS; SSV; v sis platelet derived growth factor beta polypeptide.
免疫原:KLH conjugated synthetic peptide derived from human PDGF-B (155-210/241aa)
预测反应性:Bovine, Canine, Equine, Rabbit, Sheep
分子量:27 kDa
应用稀释比例:WB=1:500-2000, IHC-P=1:100-500, IHC-F=1:100-500, IF=1:100-500, Flow-Cyt=1μg/Test
防腐剂:0.01M TBS (pH7.4) with 1% rAlbumin, 0.02% Proclin300 and 50% Glycerol.
纯化:Affinity purified by Protein A
保存说明:Maintain refrigerated at 2-8°C for up to 2 weeks. For long term storage store at -20°C in small aliquots to prevent freeze-thaw cycles.
UniProt ID:P01127
Note:For research use only.

Blank control (blue line): Hela (blue). Primary Antibody (green line): Rabbit Anti-PDGF-B antibody (orb11254), Dilution: 1 µg/10^6 cells, Isotype Control Antibody (orange line): Rabbit IgG. Secondary Antibody (white blue line): F (ab')2 fragment goat anti-rabbit IgG-FITC, Dilution: 1 µg/Test. Protocol, The cells were fixed with 2% Fixative (10 min), then permeabilized with 90% ice-cold methanol for 30 min on ice. Cells stained with Primary Antibody for 30 min at room temperature. The cells were then incubated in 1 X PBS/2% BSA/10% goat serum to block non-specific protein-protein interactions followed by the antibody for 15 min at room temperature. The secondary antibody used for 40 min at room temperature. Acquisition of 20000 events was performed.

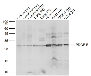
Sample: Lane 1: Kidney (Mouse) Lysate at 40 ug, Lane 2: Cerebrum (Mouse) Lysate at 40 ug, Lane 3: Cerebrum (Rat) Lysate at 40 ug, Lane 4: Lung (Mouse) Lysate at 40 ug, Lane 5: Lung (Rat) Lysate at 40 ug, Lane 6: Huvec (Human) Cell Lysate at 30 ug, Lane 7: A431 (Human) Cell Lysate at 30 ug, Lane 8: MCF-7 (Human) Cell Lysate at 30 ug, Lane 9: U2os (Human) Cell Lysate at 30 ug, Primary: Anti-PDGF-B (orb11254) at 1/1000 dilution, Secondary: IRDye800CW Goat Anti-Rabbit IgG at 1/20000 dilution, Predicted band size: 25 kD, Observed band size: 28 kD.

Sample: Stomach (Rat) Lysate at 40 ug, Primary: Anti-PDGF-B (orb11254) at 1/1000 dilution, Secondary: IRDye800CW Goat Anti-Rabbit IgG at 1/20000 dilution, Predicted band size: 27 kD, Observed band size: 32 kD.
风险提示:丁香通仅作为第三方平台,为商家信息发布提供平台空间。用户咨询产品时请注意保护个人信息及财产安全,合理判断,谨慎选购商品,商家和用户对交易行为负责。对于医疗器械类产品,请先查证核实企业经营资质和医疗器械产品注册证情况。
技术资料暂无技术资料 索取技术资料
PDGF-B Rabbit Polyclonal Antibody抗体,orb11254,biorbyt
¥3120









