相关产品推荐更多 >

Integrase interactor 1 Antibody / INI-1 / SMARCB1 / BAF47 抗体,orb1824017,Biorbyt
¥9932
MAPK1 Antibody (C-term) 抗体,orb1929205,Biorbyt
¥7293
GALE Antibody (Center) 抗体,orb1929726,Biorbyt
¥7293
ANKDD1A Antibody - C-terminal region : Biotin 抗体,orb2087002,Biorbyt
¥8216
AP2-alpha-1 Antibody抗体,orb341185,biorbyt
¥1560
万千商家帮你免费找货
0 人在求购买到急需产品
- 详细信息
- 技术资料
- 抗体名:
CCL17 Rabbit Polyclonal Antibody抗体
- 抗体英文名:
CCL17 Rabbit Polyclonal Antibody
- 靶点:
CCL17
- 浓度:
1mg/ml
- 应用范围:
ELISA, IF, IHC-Fr, IHC-P
- 宿主:
Rabbit
- 适应物种:
Human
- 保质期:
6-12个月
- 抗原来源:
详询
- 目录编号:
orb13289
- 级别:
科研级
- 库存:
88
- 供应商:
biorbyt
- 标记物:
Unconjugated
- 克隆性:
Polyclonal
- 保存条件:
参考产品说明书
- 形态:
Liquid
- 亚型:
IgG
- 免疫原:
KLH conjugated synthetic peptide derived from human CCL17 (41-103/103aa)
- 规格:
50 ul
产品描述:CCL17 Rabbit Polyclonal Antibody
别名:TARC; CCL17; SCYA17; ABCD-2; C-C motif chemokine 17; A152E53; CC Chemokine TARC; CCL17; Chemokine CC Motif Ligand 17; MGC138271; MGC138273; Small Inducible Cytokine A17; Small Inducible Cytokine A17 Precursor; Small Inducible Cytokine Subfamily A(Cys Cys); Small Inducible Cytokine Subfamily A(Cys Cys) Member 17; T Cell Directed CC Chemokine; Thymus and activation regulated chemokine; CCL17_HUMAN.
免疫原:KLH conjugated synthetic peptide derived from human CCL17 (41-103/103aa)
预测反应性:Mouse, Rat
分子量:8 kDa
应用稀释比例:IHC-P=1:100-500, IHC-F=1:100-500, IF=1:100-500, ELISA=1:5000-10000
防腐剂:0.01M TBS (pH7.4) with 1% rAlbumin, 0.02% Proclin300 and 50% Glycerol.
纯化:Affinity purified by Protein A
保存说明:Maintain refrigerated at 2-8°C for up to 2 weeks. For long term storage store at -20°C in small aliquots to prevent freeze-thaw cycles.
UniProt ID:Q92583
Note:For research use only.


别名:TARC; CCL17; SCYA17; ABCD-2; C-C motif chemokine 17; A152E53; CC Chemokine TARC; CCL17; Chemokine CC Motif Ligand 17; MGC138271; MGC138273; Small Inducible Cytokine A17; Small Inducible Cytokine A17 Precursor; Small Inducible Cytokine Subfamily A(Cys Cys); Small Inducible Cytokine Subfamily A(Cys Cys) Member 17; T Cell Directed CC Chemokine; Thymus and activation regulated chemokine; CCL17_HUMAN.
免疫原:KLH conjugated synthetic peptide derived from human CCL17 (41-103/103aa)
预测反应性:Mouse, Rat
分子量:8 kDa
应用稀释比例:IHC-P=1:100-500, IHC-F=1:100-500, IF=1:100-500, ELISA=1:5000-10000
防腐剂:0.01M TBS (pH7.4) with 1% rAlbumin, 0.02% Proclin300 and 50% Glycerol.
纯化:Affinity purified by Protein A
保存说明:Maintain refrigerated at 2-8°C for up to 2 weeks. For long term storage store at -20°C in small aliquots to prevent freeze-thaw cycles.
UniProt ID:Q92583
Note:For research use only.

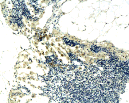
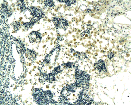
Immunohistochemical staining of paraffin embedded rat pancreas tissue using CCL17 antibody

IHC-P of rat pancreas tissue (orb13289 at 1:200)
风险提示:丁香通仅作为第三方平台,为商家信息发布提供平台空间。用户咨询产品时请注意保护个人信息及财产安全,合理判断,谨慎选购商品,商家和用户对交易行为负责。对于医疗器械类产品,请先查证核实企业经营资质和医疗器械产品注册证情况。
技术资料暂无技术资料 索取技术资料
CCL17 Rabbit Polyclonal Antibody抗体,orb13289,biorbyt
¥3120





