相关产品推荐更多 >
万千商家帮你免费找货
0 人在求购买到急需产品
- 详细信息
- 文献和实验
- 技术资料
- 抗体名:
Ki-67 Rabbit Polyclonal Antibody抗体
- 抗体英文名:
Ki-67 Rabbit Polyclonal Antibody
- 靶点:
MKI67
- 浓度:
1mg/ml
- 应用范围:
FC, ICC, IF, IHC-Fr, IHC-P, WB
- 宿主:
Rabbit
- 适应物种:
Human, Mouse, Rat
- 保质期:
6-12个月
- 抗原来源:
详询
- 目录编号:
orb13523
- 级别:
科研级
- 库存:
88
- 供应商:
biorbyt
- 标记物:
Unconjugated
- 克隆性:
Polyclonal
- 保存条件:
参考产品说明书
- 形态:
Liquid
- 亚型:
IgG
- 免疫原:
KLH conjugated synthetic peptide derived from human Ki67
- 规格:
50 ul
产品描述:Ki-67 Rabbit Polyclonal Antibody
别名:Antigen identified by monoclonal antibody Ki 67; Antigen KI67; KIA; Ki67; MKI67; Proliferation related Ki 67 antigen; Antigen KI-67; KI67_HUMAN.
免疫原:KLH conjugated synthetic peptide derived from human Ki67
分子量:320/359 kDa
应用稀释比例:WB=1:500-2000, IHC-P=1:200-800, IHC-F=1:200-800, ICC/IF=1:100-500, IF=1:200-800, Flow-Cyt=1ug/Test
防腐剂:0.01M TBS (pH7.4) with 1% rAlbumin, 0.02% Proclin300 and 50% Glycerol.
纯化:Affinity purified by Protein A
保存说明:Maintain refrigerated at 2-8°C for up to 2 weeks. For long term storage store at -20°C in small aliquots to prevent freeze-thaw cycles.
Pubmed:29173982
UniProt ID:P46013
Note:For research use only.





别名:Antigen identified by monoclonal antibody Ki 67; Antigen KI67; KIA; Ki67; MKI67; Proliferation related Ki 67 antigen; Antigen KI-67; KI67_HUMAN.
免疫原:KLH conjugated synthetic peptide derived from human Ki67
分子量:320/359 kDa
应用稀释比例:WB=1:500-2000, IHC-P=1:200-800, IHC-F=1:200-800, ICC/IF=1:100-500, IF=1:200-800, Flow-Cyt=1ug/Test
防腐剂:0.01M TBS (pH7.4) with 1% rAlbumin, 0.02% Proclin300 and 50% Glycerol.
纯化:Affinity purified by Protein A
保存说明:Maintain refrigerated at 2-8°C for up to 2 weeks. For long term storage store at -20°C in small aliquots to prevent freeze-thaw cycles.
Pubmed:29173982
UniProt ID:P46013
Note:For research use only.

4% Fixative-fixed Hela (H) cell, Triton X-100 at r.t. for 20 min, Antibody incubation with (Ki-67) polyclonal Antibody, unconjugated (orb13523) 1:100, 90 min at 37°C, followed by conjugated Goat Anti-Rabbit IgG antibody (green, orb868805) at 37°C for 90 min, DAPI (blue) was used to stain the cell nuclei. PBS instead of the primary antibody was used as the blank control.

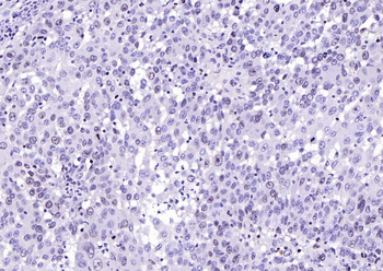
Fixative-fixed, paraffin embedded (human lung carcinoma), Antigen retrieval by boiling in sodium citrate buffer (pH6.0) for 15 min, Block endogenous peroxidase by 3% hydrogen peroxide for 20 minutes, Blocking buffer (normal goat serum) at 37°C for 30 min, Antibody incubation with (Ki-67) Polyclonal Antibody, Unconjugated (orb13523) at 1:200 overnight at 4°C, followed by operating according to SP Kit (Rabbit) instructionsand DAB staining.

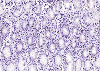
Fixative-fixed, paraffin embedded (Human stomach), Antigen retrieval by boiling in sodium citrate buffer (pH6.0) for 15 min, Block endogenous peroxidase by 3% hydrogen peroxide for 20 minutes, Blocking buffer (normal goat serum) at 37°C for 30 min, Antibody incubation with (Ki-67) Polyclonal Antibody, Unconjugated (orb13523) at 1:200 overnight at 4°C, followed by operating according to SP Kit (Rabbit) instructionsand DAB staining.

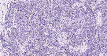
Fixative-fixed, paraffin embedded Human ovarian serous carcinoma, Antigen retrieval by boiling in sodium citrate buffer (pH6.0) for 15 min, Antibody incubation with Ki-67 Polyclonal Antibody, Unconjugated (orb13523) at 1:200 overnight at 4°C, followed by conjugation to the SP Kit (Rabbit) and DAB staining.

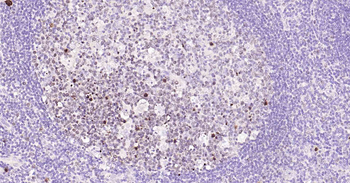
Fixative-fixed, paraffin embedded Human Tonsil, Antigen retrieval by boiling in sodium citrate buffer (pH6.0) for 15 min, Antibody incubation with Ki-67 Polyclonal Antibody, Unconjugated (orb13523) at 1:200 overnight at 4°C, followed by conjugation to the SP Kit (Rabbit) and DAB staining.
风险提示:丁香通仅作为第三方平台,为商家信息发布提供平台空间。用户咨询产品时请注意保护个人信息及财产安全,合理判断,谨慎选购商品,商家和用户对交易行为负责。对于医疗器械类产品,请先查证核实企业经营资质和医疗器械产品注册证情况。
文献和实验该产品被引用文献
Liang, Guodong et al. Silencing of CEMIP suppresses Wnt/β-catenin/Snail signaling transduction and inhibits EMT program of colorectal cancer cells Acta Histochem, 120, 56-63 (2018)
技术资料暂无技术资料 索取技术资料
文献支持
Ki-67 Rabbit Polyclonal Antibody抗体,orb13523,biorbyt
¥3120










