相关产品推荐更多 >
万千商家帮你免费找货
0 人在求购买到急需产品
- 详细信息
- 文献和实验
- 技术资料
- 抗体名:
IL-10 Rabbit Polyclonal Antibody抗体
- 抗体英文名:
IL-10 Rabbit Polyclonal Antibody
- 靶点:
IL10
- 浓度:
1mg/ml
- 应用范围:
IF, IHC-Fr, IHC-P, WB
- 宿主:
Rabbit
- 适应物种:
Human, Mouse
- 保质期:
6-12个月
- 抗原来源:
详询
- 目录编号:
orb10892
- 级别:
科研级
- 库存:
88
- 供应商:
biorbyt
- 标记物:
Unconjugated
- 克隆性:
Polyclonal
- 保存条件:
参考产品说明书
- 形态:
Liquid
- 亚型:
IgG
- 免疫原:
KLH conjugated synthetic peptide derived from human IL-10 (101-178/178aa)
- 规格:
50 ul
产品描述:IL-10 Rabbit Polyclonal Antibody
别名:Interleukin-10 precursor; Cytokine synthesis inhibitory factor; CSIF; Cytokine Synthesis Inhibitory Factor; IL 10; IL10A; Interleukin 10; Interleukin10; MGC126450; MGC126451; TGIF; IL10_HUMAN.
免疫原:KLH conjugated synthetic peptide derived from human IL-10 (101-178/178aa)
预测反应性:Gallus, Guinea pig, Porcine, Rabbit, Rat, Sheep
分子量:21 kDa
应用稀释比例:WB=1:500-2000, IHC-P=1:100-500, IHC-F=1:100-500, IF=1:100-500
防腐剂:0.01M TBS (pH7.4) with 1% rAlbumin, 0.02% Proclin300 and 50% Glycerol.
纯化:Affinity purified by Protein A
保存说明:Maintain refrigerated at 2-8°C for up to 2 weeks. For long term storage store at -20°C in small aliquots to prevent freeze-thaw cycles.
Pubmed:40598580
UniProt ID:P22301
Note:For research use only.



别名:Interleukin-10 precursor; Cytokine synthesis inhibitory factor; CSIF; Cytokine Synthesis Inhibitory Factor; IL 10; IL10A; Interleukin 10; Interleukin10; MGC126450; MGC126451; TGIF; IL10_HUMAN.
免疫原:KLH conjugated synthetic peptide derived from human IL-10 (101-178/178aa)
预测反应性:Gallus, Guinea pig, Porcine, Rabbit, Rat, Sheep
分子量:21 kDa
应用稀释比例:WB=1:500-2000, IHC-P=1:100-500, IHC-F=1:100-500, IF=1:100-500
防腐剂:0.01M TBS (pH7.4) with 1% rAlbumin, 0.02% Proclin300 and 50% Glycerol.
纯化:Affinity purified by Protein A
保存说明:Maintain refrigerated at 2-8°C for up to 2 weeks. For long term storage store at -20°C in small aliquots to prevent freeze-thaw cycles.
Pubmed:40598580
UniProt ID:P22301
Note:For research use only.

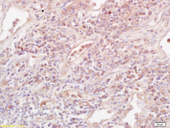
paraffin embedded (Human lung cancer), Antigen retrieval by boiling in sodium citrate buffer (pH6.0) for 15 min, Block endogenous peroxidase by 3% hydrogen peroxide for 20 minutes, Blocking buffer (normal goat serum) at 37°C for 30 min, Antibody incubation with (IL-10) Polyclonal Antibody, Unconjugated (orb10892) at 1:200 overnight at 4°C, followed by a conjugated secondary for 20 minutes and DAB staining.

Sample: Lane 1: Recombinant human IL-10 protein, His (HEK293), Primary: Anti-IL-10 (orb10892) at 1/1000 dilution, Secondary: IRDye800CW Goat Anti-Rabbit IgG at 1/20000 dilution, Predicted band size: 18 kDa, Observed band size: 21 kDa.

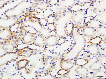
Tissue/Cell: mouse kidney tissue, 4% Fixative-fixed and paraffin-embedded, Antigen retrieval: citrate buffer (0.01M, pH6.0), Boiling bathing for 15 min, Block endogenous peroxidase by 3% Hydrogen peroxide for 30 min, Blocking buffer (normal goat serum) at 37°C for 20 min, Incubation: Anti-IL-10 Polyclonal Antibody, Unconjugated (orb10892) 1:200, overnight at 4°C, followed by conjugation to the secondary antibody and DAB staining.
风险提示:丁香通仅作为第三方平台,为商家信息发布提供平台空间。用户咨询产品时请注意保护个人信息及财产安全,合理判断,谨慎选购商品,商家和用户对交易行为负责。对于医疗器械类产品,请先查证核实企业经营资质和医疗器械产品注册证情况。
文献和实验该产品被引用文献
Z Hajimashhadi, F Imani, F Nasirinezhad Intrathecal Administration of [Pyr1] apelin-13 Improves Functional Recovery in Rat Via Reducing Astrocytic Induced Inflammation in Ventral and Dorsal Spinal Cord International Journal of Peptide Research and Therapeutics,, (2025), Narges Maleki 1, Maryam Rezapour Kalkhorann 1, Mohammad Sajad Sajad Emami Aleagha 2, Amir Emami 3, Abdolamir Allameh MSCs engineered with secreted Klotho alleviate blood-brain barrier disruption and reduce neuroinflammation more effectively than MSCs in experimental autoimmune encephalomyelitis Stem Cell Res Ther ., (2025)
技术资料暂无技术资料 索取技术资料
文献支持
IL-10 Rabbit Polyclonal Antibody抗体,orb10892,biorbyt
¥3120










