相关产品推荐更多 >
万千商家帮你免费找货
0 人在求购买到急需产品
- 详细信息
- 文献和实验
- 技术资料
- 免疫原:
interferon regulatory factor 7
- 亚型:
IgG
- 形态:
liquid
- 保存条件:
-20℃ 12月
- 克隆性:
polyclonal
- 标记物:
未标记
- 适应物种:
Human, Mouse, Rat
- 保质期:
-20℃ 12月
- 抗原来源:
interferon regulatory factor 7
- 目录编号:
FNab10268
- 级别:
科研
- 库存:
100
- 供应商:
武汉菲恩生物科技有限公司
- 宿主:
Rabbit
- 应用范围:
ELISA, WB, IHC
- 靶点:
IRF7
- 抗体英文名:
IRF7 antibody
- 抗体名:
IRF7抗体
- 规格:
50ug/100ug
| 规格: | 50ug | 产品价格: | ¥900.0 |
|---|---|---|---|
| 规格: | 100ug | 产品价格: | ¥1500.0 |

产品介绍
| 产品名称 | IRF7 antibody |
| 中文名称 | IRF7抗体 |
| 货号 | FNab10268 |
| 规格 | 50ug/100ug |
| 宿主 | Rabbit |
| 反应种属 | Human, Mouse, Rat |
| 验证应用 | ELISA, WB, IHC |
| 状态 | liquid |
| 纯化方法 | Immunogen affinity purified |
| 纯度 | ≥95% as determined by SDS-PAGE |
| 克隆性 | polyclonal |
| 亚型 | IgG |
| 免疫原 | interferon regulatory factor 7 |
| 免疫原别称 | Interferon regulatory factor 7 (IRF-7)|IRF7 |
| Uniprot ID | Q92985 |
| 分子量 | 56 kDa, 70 kDa |
| 建议稀释比例 | WB: 1:500 - 1:2000; IHC: 1:50 - 1:200 |
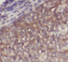
| 验证图片 | Immunohistochemistry of paraffin-embedded human tonsillitis tissue slide using FNab10268(IRF7 Antibody) at dilution of 1:100 Mouse brain were subjected to SDS PAGE followed by western blot with FNab10268(IRF7 Antibody) at dilution of 1:1000 |
| 存储 | PBS with 0.02% sodium azide and 50% glycerol pH 7.3, -20℃ for 12 months(Avoid repeated freeze / thaw cycles.) |
| 注意事项 | IRF7 antibody仅供科研使用 |
菲恩生物抗体产品优势
种类齐全:有10000多种经过验证的免多抗和小鼠单抗,包括流式抗体、内参抗体、标签抗体、小分子化合物抗体、对照抗体等;
多种标记/非标记二抗:针对兔、羊、小鼠、大鼠、人等多个种属。100多种标记二抗,标记物包括HRP、Biotin、FITC、Cy3、Alexa Fluor 488、Alexa Fluor 594等,通过了蛋白质印迹、免疫荧光、免疫组织化学、流式细胞术和ELISA等免疫学相关应用的充分验证,可满足各种实验需求;
验证过多种实验:ELISA、WB、IHC、IF、IP、FC等应用,并进行了广泛的物种交叉实验。
风险提示:丁香通仅作为第三方平台,为商家信息发布提供平台空间。用户咨询产品时请注意保护个人信息及财产安全,合理判断,谨慎选购商品,商家和用户对交易行为负责。对于医疗器械类产品,请先查证核实企业经营资质和医疗器械产品注册证情况。
文献和实验Cancer Cell:整合素 αvβ6-TGFβ-SOX4 途径驱动三阴性乳腺癌的免疫逃逸
近几年,肿瘤免疫治疗研究不断升温,特别是抗 PD-1 抗体治疗在霍奇金淋巴瘤、肝癌、非小细胞肺癌和食管鳞癌等癌症中表现出卓越的疗效。但是肿瘤免疫治疗对许多起源于上皮组织的实体瘤疗效有限,包括三阴性乳腺癌。三阴性乳腺癌(TNBC)有很高的转移扩散倾向。虽然近期抗 PD-L1 抗体联合紫杉醇在治疗转移性 TNBC 上表现出不错的效果,但仍然有大量的患者未能从免疫治疗中获益。因此,解析 TNBC 肿瘤免疫逃逸机制显得尤为重要!2020 年 12 月 31 日,哈佛医学院的 Kai W
技术资料暂无技术资料 索取技术资料








