相关产品推荐更多 >
万千商家帮你免费找货
0 人在求购买到急需产品
- 详细信息
- 文献和实验
- 技术资料
- 免疫原:
tubulin, beta 3
- 亚型:
IgG
- 形态:
liquid
- 保存条件:
-20℃ 12月
- 克隆性:
polyclonal
- 标记物:
未标记
- 适应物种:
Human, Mouse, Rat
- 保质期:
-20℃ 12月
- 抗原来源:
tubulin, beta 3
- 目录编号:
FNab00879
- 级别:
科研
- 库存:
100
- 供应商:
武汉菲恩生物科技有限公司
- 宿主:
Rabbit
- 应用范围:
ELISA, WB, IHC, IF, IP
- 靶点:
Beta Tubulin
- 抗体英文名:
Beta Tubulin antibody
- 抗体名:
Beta Tubulin抗体
- 规格:
50ug/100ug
| 规格: | 50ug | 产品价格: | ¥1140.0 |
|---|---|---|---|
| 规格: | 100ug | 产品价格: | ¥1900.0 |

产品介绍
| 产品名称 | Beta Tubulin antibody |
| 中文名称 | Beta Tubulin抗体 |
| 货号 | FNab00879 |
| 规格 | 50ug/100ug |
| 宿主 | Rabbit |
| 反应种属 | Human, Mouse, Rat |
| 验证应用 | ELISA, WB, IHC, IF, IP |
| 状态 | liquid |
| 纯化方法 | Immunogen affinity purified |
| 纯度 | ≥95% as determined by SDS-PAGE |
| 克隆性 | polyclonal |
| 亚型 | IgG |
| 免疫原 | tubulin, beta 3 |
| 免疫原别称 | Tubulin beta-3 chain|Tubulin beta-4 chain|Tubulin beta-III|TUBB3|TUBB4 |
| Uniprot ID | Q13509 |
| 分子量 | 50-55 kDa |
| 建议稀释比例 | WB: 1:500-1:5000; IP: 1:500-1:5000; IHC: 1:20-1:200; IF: 1:10-1:100 |
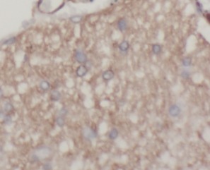
| 验证图片 |
Immunohistochemistry of paraffin-embedded mouse brain tissue slide using FNab00879(Tubulin-beta Antibody) at dilution of 1:50
Immunofluorescent analysis of HeLa cells using FNab00879( Tubulin-beta Antibody) at dilution of 1:25 and Alexa Fluor 488-conjugated Goat Anti-Rabbit IgG(H+L) IP Result of anti-beta Tubulin (IP:FNab00879, 3ug; Detection:FNab00879 1:1000) with mouse brain tissue lysate 7500ug.
Western blot of Hela cell with anti-Tubulin-Beta(FNab00879) at dilution of 1:1000 |
| 存储 | PBS with 0.02% sodium azide and 50% glycerol pH 7.3, -20℃ for 12 months(Avoid repeated freeze / thaw cycles.) |
| 注意事项 | Beta Tubulin antibody仅供科研使用 |
菲恩生物抗体产品优势
种类齐全:有10000多种经过验证的免多抗和小鼠单抗,包括流式抗体、内参抗体、标签抗体、小分子化合物抗体、对照抗体等;
多种标记/非标记二抗:针对兔、羊、小鼠、大鼠、人等多个种属。100多种标记二抗,标记物包括HRP、Biotin、FITC、Cy3、Alexa Fluor 488、Alexa Fluor 594等,通过了蛋白质印迹、免疫荧光、免疫组织化学、流式细胞术和ELISA等免疫学相关应用的充分验证,可满足各种实验需求;
验证过多种实验:ELISA、WB、IHC、IF、IP、FC等应用,并进行了广泛的物种交叉实验。
风险提示:丁香通仅作为第三方平台,为商家信息发布提供平台空间。用户咨询产品时请注意保护个人信息及财产安全,合理判断,谨慎选购商品,商家和用户对交易行为负责。对于医疗器械类产品,请先查证核实企业经营资质和医疗器械产品注册证情况。
文献和实验familar 小妹困惑,在此请教大师! 做了几次beta-catenin的表达(western),都没做出来,目的蛋白的分子量是92,可是,做出来的印记总是在下方,明显的不是目的蛋白的位置。我师兄说,做beta-catenin要提核蛋白才能做出来,可我之前也有做出来过的!请教各位有经验的同志,这样的现象是何解? woxingwosu 不一定要提核蛋白才能出来。b-catenin在核内核外都有分布。应该
的关系理不出头绪。GSK-3 beta 总蛋白减少,p-GSK-3 beta (ser 9)增加,是不是足以说明有活性的GSK-3 beta 减少更多,这样理解不知道对不对,希望给以指点。 galaxy22 楼主你好,请问你做出结果的tyr216的抗体是哪个公司的。。。我做出来总量是减少的,active B catenin是减少的,那我有必要做ser9 和tyr216的磷酸化形式吗?我想研究wnt和akt。。。 棉花糖的温柔
【求助】细胞里的beta catenin 好检测吗?? 用 western blot
antonio2001 细胞里的beta catenin 好检测吗?? 用 western blot 和免疫细胞化学 ?? 2008851029 细胞里的beta-actin非常好检测(我用的是ST的抗体) littlebee83325 什么细胞呢?胞浆蛋白么? magichunter beta catenin 好检测,细胞全蛋白裂解液上样20uL(15
技术资料暂无技术资料 索取技术资料









