相关产品推荐更多 >
万千商家帮你免费找货
0 人在求购买到急需产品
- 详细信息
- 文献和实验
- 技术资料
- 免疫原:
v-myc myelocytomatosis viral oncogene homolog(avian)
- 亚型:
IgG
- 形态:
liquid
- 保存条件:
-20℃ 12月
- 克隆性:
polyclonal
- 标记物:
未标记
- 适应物种:
Human, Mouse
- 保质期:
-20℃ 12月
- 抗原来源:
v-myc myelocytomatosis viral oncogene homolog(avian)
- 目录编号:
FNab01791
- 级别:
科研
- 库存:
100
- 供应商:
武汉菲恩生物科技有限公司
- 宿主:
Rabbit
- 应用范围:
ELISA, WB, IP, IHC
- 靶点:
MYC
- 抗体英文名:
MYC antibody
- 抗体名:
MYC抗体
- 规格:
50ug/100ug
| 规格: | 50ug | 产品价格: | ¥1260.0 |
|---|---|---|---|
| 规格: | 100ug | 产品价格: | ¥2100.0 |

产品介绍
| 产品名称 | MYC antibody |
| 中文名称 | MYC抗体 |
| 货号 | FNab01791 |
| 规格 | 50ug/100ug |
| 宿主 | Rabbit |
| 反应种属 | Human, Mouse |
| 验证应用 | ELISA, WB, IP, IHC |
| 状态 | liquid |
| 纯化方法 | Immunogen affinity purified |
| 纯度 | ≥95% as determined by SDS-PAGE |
| 克隆性 | polyclonal |
| 亚型 | IgG |
| 免疫原 | v-myc myelocytomatosis viral oncogene homolog(avian) |
| 免疫原别称 | Myc proto-oncogene protein|Class E basic helix-loop-helix protein 39 (bHLHe39)|Proto-oncogene c-Myc|Transcription factor p64|MYC|BHLHE39 |
| Uniprot ID | P01106 |
| 分子量 | 62-65 kDa, 50 kDa |
| 建议稀释比例 | WB: 1:500-1:5000; IP: 1:200-1:2000; IHC: 1:50-1:200 |
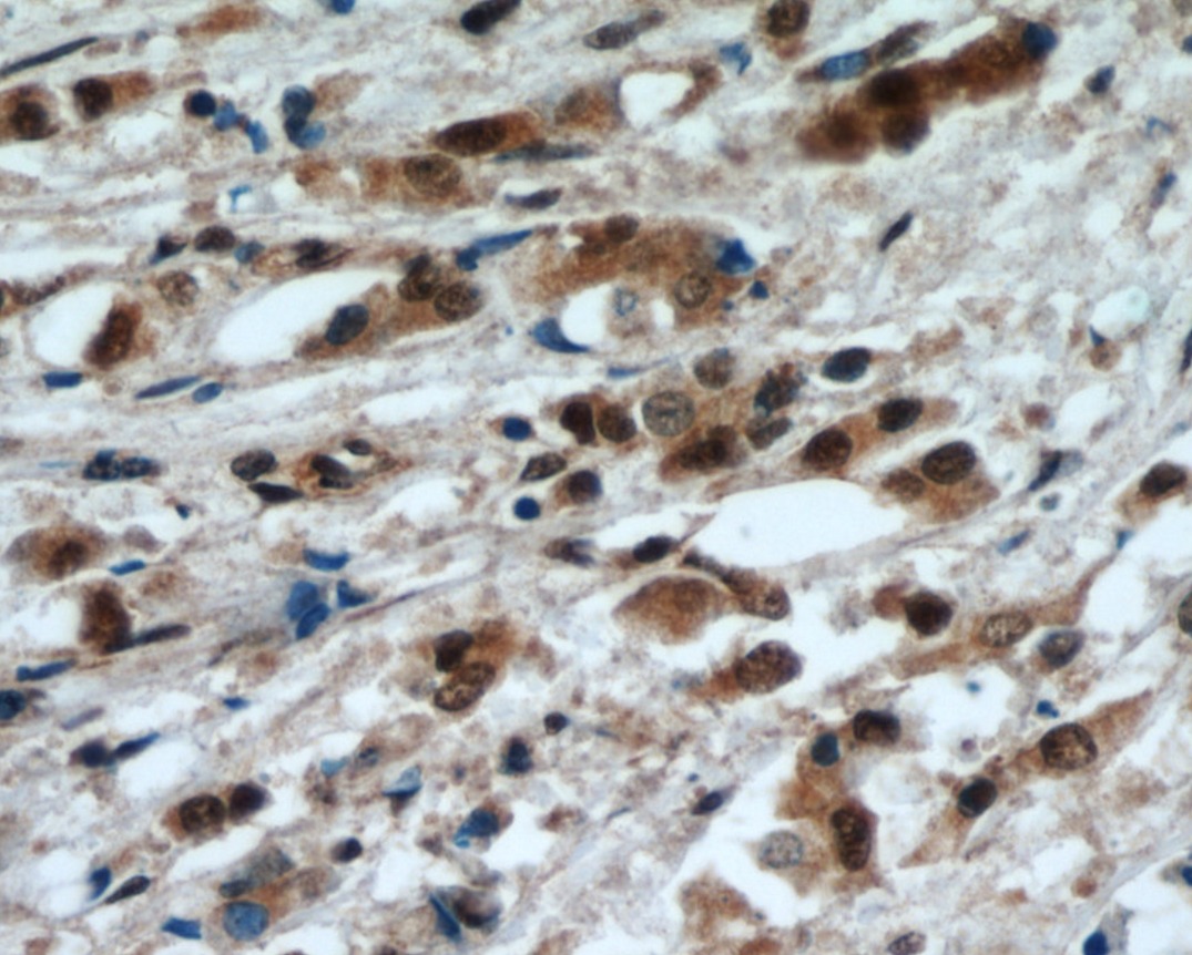
| 验证图片 |
Immunohistochemistry of paraffin-embedded human breast cancer using FNab01791(MYC antibody) at dilution of 1:50 IP Result of anti-MYC (IP: FNab01791, 3ug; Detection: FNab01791 1:500) with HL-60 cells lysate 1200ug.
Raji cells were subjected to SDS PAGE followed by western blot with FNab01791(MYC antibody) at dilution of 1:1000 |
| 存储 | PBS with 0.02% sodium azide and 50% glycerol pH 7.3, -20℃ for 12 months(Avoid repeated freeze / thaw cycles.) |
| 注意事项 | MYC antibody仅供科研使用 |
菲恩生物抗体产品优势
种类齐全:有10000多种经过验证的免多抗和小鼠单抗,包括流式抗体、内参抗体、标签抗体、小分子化合物抗体、对照抗体等;
多种标记/非标记二抗:针对兔、羊、小鼠、大鼠、人等多个种属。100多种标记二抗,标记物包括HRP、Biotin、FITC、Cy3、Alexa Fluor 488、Alexa Fluor 594等,通过了蛋白质印迹、免疫荧光、免疫组织化学、流式细胞术和ELISA等免疫学相关应用的充分验证,可满足各种实验需求;
验证过多种实验:ELISA、WB、IHC、IF、IP、FC等应用,并进行了广泛的物种交叉实验。
风险提示:丁香通仅作为第三方平台,为商家信息发布提供平台空间。用户咨询产品时请注意保护个人信息及财产安全,合理判断,谨慎选购商品,商家和用户对交易行为负责。对于医疗器械类产品,请先查证核实企业经营资质和医疗器械产品注册证情况。
文献和实验Chromatin Immunoprecipitation Assays for Myc and N-Myc
Myc and N-Myc have widespread impacts on the chromatin state within cells, both in a gene-specific and genome-wide manner. Our laboratory uses functional genomic methods including chromatin immunoprecipitation (ChIP), ChIP-chip
Cell:「来骗来偷袭」剪接体靶向疗法「诱骗」机体,激活抗病毒免疫,让肿瘤自杀
传导以往研究表明,MYC 诱导的三阴性乳腺癌(triple-negative breast cancer,TNBC)对剪接体的基因扰动(genetic perturbation)很敏感,然而对剪接体抑制产生应答的途径仍然未知。基于此,作者首先对两个 MYC 诱导的 TNBC 细胞系 SUM159 和 LM2 的转录变化进行了表征,然后用小分子剪接体调节剂 SD6 进行处理。基因富集分析发现免疫信号通路(干扰素 α 和 β 信号通路)是正向富集最显著的途径,另外干扰素刺激基因 (如 OAS1、MX1
浅析染色质免疫沉淀(ChIP)技术在 DNA 与蛋白质相互作用研究中的重要性
染色质免疫沉淀(ChIP)是研究蛋白质-DNA 相互作用的一项强大技术,广泛用于多个领域的染色质相关蛋白的研究(如组蛋白及其异构体,转录因子等),特别适用于已知启动子序列或整个基因位点的组蛋白修饰分析研究。这项技术采用特定抗体来富集存在组蛋白修饰或者转录调控的 DNA 片段,通过多种下游检测技术(定量 PCR ,芯片,测序等)来检测此富集片段的 DNA 序列。 ChIP 技术自诞生之后,已成功的应用于人或动物细胞和组织 [1] 、植物组织 [2] 、酵母 [3] 以及细菌、质粒
技术资料暂无技术资料 索取技术资料









