相关产品推荐更多 >
万千商家帮你免费找货
0 人在求购买到急需产品
- 详细信息
- 文献和实验
- 技术资料
- 免疫原:
synovial sarcoma translocation gene on chromosome 18-like 1
- 亚型:
IgG
- 形态:
liquid
- 保存条件:
-20℃ 12月
- 克隆性:
polyclonal
- 标记物:
未标记
- 适应物种:
Human, Mouse, Rat
- 保质期:
-20℃ 12月
- 抗原来源:
synovial sarcoma translocation gene on chromosome 18-like 1
- 目录编号:
FNab01971
- 级别:
科研
- 库存:
100
- 供应商:
武汉菲恩生物科技有限公司
- 宿主:
Rabbit
- 应用范围:
ELISA, IHC, IP, WB
- 靶点:
SS18L1
- 抗体英文名:
SS18L1 antibody
- 抗体名:
SS18L1抗体
- 规格:
50ug/100ug
| 规格: | 50ug | 产品价格: | ¥1140.0 |
|---|---|---|---|
| 规格: | 100ug | 产品价格: | ¥1900.0 |

产品介绍
| 产品名称 | SS18L1 antibody |
| 中文名称 | SS18L1抗体 |
| 货号 | FNab01971 |
| 规格 | 50ug/100ug |
| 宿主 | Rabbit |
| 反应种属 | Human, Mouse, Rat |
| 验证应用 | ELISA, IHC, IP, WB |
| 状态 | liquid |
| 纯化方法 | Immunogen affinity purified |
| 纯度 | ≥95% as determined by SDS-PAGE |
| 克隆性 | polyclonal |
| 亚型 | IgG |
| 免疫原 | synovial sarcoma translocation gene on chromosome 18-like 1 |
| 免疫原别称 | Calcium-responsive transactivator|SS18-like protein 1|SYT homolog 1|SS18L1|CREST|KIAA0693 |
| Uniprot ID | O75177 |
| 分子量 | 55 kDa |
| 建议稀释比例 | WB: 1:500-1:2000; IP: 1:150-1:600; IHC: 1:20-1:200; IF: 1:50-1:500 |
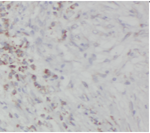
| 验证图片 | Immunohistochemistry of paraffin-embedded human breast cancer using FNab01971(CREST antibody) at dilution of 1:50 IP result of anti-CREST(IP:FNab01971, 4ug; Detection:FNab01971 1:300) with HeLa cells lysate 3000 ug K-562 cells were subjected to SDS PAGE followed by western blot with FNab01971(CREST Antibody) at dilution of 1:1000 |
| 存储 | PBS with 0.02% sodium azide and 50% glycerol pH 7.3, -20℃ for 12 months(Avoid repeated freeze / thaw cycles.) |
| 注意事项 | SS18L1 antibody仅供科研使用 |
菲恩生物抗体产品优势
种类齐全:有10000多种经过验证的免多抗和小鼠单抗,包括流式抗体、内参抗体、标签抗体、小分子化合物抗体、对照抗体等;
多种标记/非标记二抗:针对兔、羊、小鼠、大鼠、人等多个种属。100多种标记二抗,标记物包括HRP、Biotin、FITC、Cy3、Alexa Fluor 488、Alexa Fluor 594等,通过了蛋白质印迹、免疫荧光、免疫组织化学、流式细胞术和ELISA等免疫学相关应用的充分验证,可满足各种实验需求;
验证过多种实验:ELISA、WB、IHC、IF、IP、FC等应用,并进行了广泛的物种交叉实验。
风险提示:丁香通仅作为第三方平台,为商家信息发布提供平台空间。用户咨询产品时请注意保护个人信息及财产安全,合理判断,谨慎选购商品,商家和用户对交易行为负责。对于医疗器械类产品,请先查证核实企业经营资质和医疗器械产品注册证情况。
文献和实验后,目标蛋白不会存在于样品中,因此成为绝佳的阴性对照。与对照组一起进行对比试验,抗体是否特异则一目了然。以近期热门的 PD-L1 抗体为例:上图显示了对野生型 L2987 细胞(左图)和 PD-L1 基因敲除 (KO) L2987 细胞系(右图)使用抗 PD-L1 [28-8] RabMAb® 抗体(ab205921)的染色情况。利用 TALEN 编辑 L2987 结肠直肠癌细胞系中的 PD-L1 基因,靶向人 PD-L1 的第 4 外显子。通过深度测序可确认 KO 已完成。记得哦,这才是杂志
. [6]Martins TB, Augustine NH, Hill HR. Development of a Multiplexed Fluorescent Immunoassay for the Quantitation of Antibody Responses to Group A Streptococci [J]. J Immunol Methods, 2006, 316(12):97106. [7]Kuller L, Watanabe R, Anderson D, et
阴部位,但也可感染眉毛和身体其它部位。阴虱产卵于毛囊根部。成虫吸食血液,行动缓慢。 (1) 症状:由于阴虱叮咬过敏所致的外阴剧烈瘙痒,及外阴斑丘疹、丘疹及丘疱疹。 (2) 诊断:肉眼观察可见阴毛上有虫卵和阴虱。光镜下见蟹状阴虱可以确定诊断。 2. 疥疮 是由紧密接触(性或非性接触)传染的,可感染人体任何部位,尤其是手腕、肘窝和外生殖器部位。雌疥虫在皮肤中穿凿,并产卵于皮肤中,在皮肤中移行较快。 (1)症状:间断性剧烈瘙痒,以夜间瘙痒最剧烈。皮肤上可出现丘疹、水疱
技术资料暂无技术资料 索取技术资料








