相关产品推荐更多 >
万千商家帮你免费找货
0 人在求购买到急需产品
- 详细信息
- 文献和实验
- 技术资料
- 免疫原:
arginase, liver
- 亚型:
IgG
- 形态:
liquid
- 保存条件:
-20℃ 12月
- 克隆性:
polyclonal
- 标记物:
未标记
- 适应物种:
Human, Mouse, Rat
- 保质期:
-20℃ 12月
- 抗原来源:
arginase, liver
- 目录编号:
FNab04800
- 级别:
科研
- 库存:
100
- 供应商:
武汉菲恩生物科技有限公司
- 宿主:
Rabbit
- 应用范围:
ELISA, WB, IHC, IF
- 靶点:
ARG1
- 抗体英文名:
ARG1 antibody
- 抗体名:
ARG1抗体
- 规格:
50ug/100ug
| 规格: | 50ug | 产品价格: | ¥1050.0 |
|---|---|---|---|
| 规格: | 100ug | 产品价格: | ¥1750.0 |

产品介绍
| 产品名称 | ARG1 antibody |
| 中文名称 | ARG1抗体 |
| 货号 | FNab04800 |
| 规格 | 50ug/100ug |
| 宿主 | Rabbit |
| 反应种属 | Human, Mouse, Rat |
| 验证应用 | ELISA, WB, IHC, IF |
| 状态 | liquid |
| 纯化方法 | Immunogen affinity purified |
| 纯度 | ≥95% as determined by SDS-PAGE |
| 克隆性 | polyclonal |
| 亚型 | IgG |
| 免疫原 | arginase, liver |
| 免疫原别称 | Arginase-1|Liver-type arginase|Type I arginase|ARG1 |
| Uniprot ID | P05089 |
| 分子量 | 35 kDa |
| 建议稀释比例 | WB: 1:1000-1:5000; IHC: 1:100-1:400; IF: 1:20-1:200 |
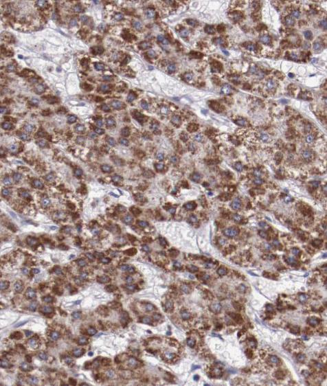
| 验证图片 | Immunohistochemistry of paraffin-embedded human liver cancer tissue slide using FNab04800(ARG1 Antibody) at dilution of 1:200 Immunofluorescent analysis of HepG2 cells using FNab04800( ARG1 Antibody) at dilution of 1:50 and Alexa Fluor 488-conjugated Goat Anti-Rabbit IgG(H+L) mouse liver tissue were subjected to SDS PAGE followed by western blot with FNab04800(ARG1 antibody) at dilution of 1:1000 |
| 存储 | PBS with 0.02% sodium azide and 50% glycerol pH 7.3, -20℃ for 12 months(Avoid repeated freeze / thaw cycles.) |
| 注意事项 | ARG1 antibody仅供科研使用 |
菲恩生物抗体产品优势
种类齐全:有10000多种经过验证的免多抗和小鼠单抗,包括流式抗体、内参抗体、标签抗体、小分子化合物抗体、对照抗体等;
多种标记/非标记二抗:针对兔、羊、小鼠、大鼠、人等多个种属。100多种标记二抗,标记物包括HRP、Biotin、FITC、Cy3、Alexa Fluor 488、Alexa Fluor 594等,通过了蛋白质印迹、免疫荧光、免疫组织化学、流式细胞术和ELISA等免疫学相关应用的充分验证,可满足各种实验需求;
验证过多种实验:ELISA、WB、IHC、IF、IP、FC等应用,并进行了广泛的物种交叉实验。
风险提示:丁香通仅作为第三方平台,为商家信息发布提供平台空间。用户咨询产品时请注意保护个人信息及财产安全,合理判断,谨慎选购商品,商家和用户对交易行为负责。对于医疗器械类产品,请先查证核实企业经营资质和医疗器械产品注册证情况。
文献和实验益生菌竟然有害健康?破坏免疫抑制,刺激肿瘤生长,化身「癌症帮凶」
。 肿瘤相关巨噬细胞是肿瘤组织中浸润的巨噬细胞,作为免疫细胞中的「墙头草」,部分 TAM 可以杀伤肿瘤细胞,但是部分 TAM 能够促进肿瘤生长、转移和侵袭。 研究内容 AhR 是抑制肿瘤免疫,促进胰腺癌生长的关键 研究人员首先通过 RNA-seq 检测了胰腺导管癌中 TAM 的差异基因表达,和正常的巨噬细胞相比,TAM 中促癌基因 Arg1, Nos2 和 Cd274 表达量明显上调。在 880 个上调的基因中,研究人员关注到编码芳香烃受体(aryl hydrocarbon
陈有海团队 Nature Cancer 报道髓系细胞检查点,会是癌症免疫治疗下一个热点吗?
了单一的增强小体复合物(转录复合体)。图片来源:Nature Cancer进一步地,作者发现在 Rel 敲除的 MDSCs 中 Cebpb 基因表达显著降低,而在 Rel 敲除的 MDSCs 中过表达 Cebpb 挽救了 Rel 敲除带来的表型,其中包括促炎细胞因子基因 Il12b、Il6、Tnfa、Il1b 和 Arg1 的表达。提示 c-Rel 通过调节 Cebpb 间接抑制促炎细胞因子的表达。图片来源:Nature Cancer药物抑制 c-Rel 可阻断肿瘤发生,增强 PD1 抗体的抗肿瘤
技术资料暂无技术资料 索取技术资料








