相关产品推荐更多 >
万千商家帮你免费找货
0 人在求购买到急需产品
- 详细信息
- 询价记录
- 文献和实验
- 技术资料
- 免疫原:
transient receptor potential cation channel, subfamily V, member 1
- 亚型:
IgG
- 形态:
liquid
- 保存条件:
-20℃ 12月
- 克隆性:
polyclonal
- 标记物:
未标记
- 适应物种:
Human, Mouse, Rat
- 保质期:
-20℃ 12月
- 抗原来源:
transient receptor potential cation channel, subfamily V, member 1
- 目录编号:
FNab09863
- 级别:
科研
- 库存:
100
- 供应商:
武汉菲恩生物科技有限公司
- 宿主:
Rabbit
- 应用范围:
ELISA, WB, IHC
- 靶点:
TRPV1
- 抗体英文名:
TRPV1 antibody
- 抗体名:
TRPV1抗体
- 规格:
50ug/100ug
| 规格: | 50ug | 产品价格: | ¥1140.0 |
|---|---|---|---|
| 规格: | 100ug | 产品价格: | ¥1900.0 |

产品介绍
| 产品名称 | TRPV1 antibody |
| 中文名称 | TRPV1抗体 |
| 货号 | FNab09863 |
| 规格 | 50ug/100ug |
| 宿主 | Rabbit |
| 反应种属 | Human, Mouse, Rat |
| 验证应用 | ELISA, WB, IHC |
| 状态 | liquid |
| 纯化方法 | Immunogen affinity purified |
| 纯度 | ≥95% as determined by SDS-PAGE |
| 克隆性 | polyclonal |
| 亚型 | IgG |
| 免疫原 | transient receptor potential cation channel, subfamily V, member 1 |
| 免疫原别称 | Transient receptor potential cation channel subfamily V member 1 (TrpV1)|Capsaicin receptor|Osm-9-like TRP channel 1 (OTRPC1)|Vanilloid receptor 1|TRPV1|VR1 |
| Uniprot ID | Q8NER1 |
| 分子量 | 95 kDa |
| 建议稀释比例 | WB: 1:500-1:2000; IHC: 1:50-1:500 |
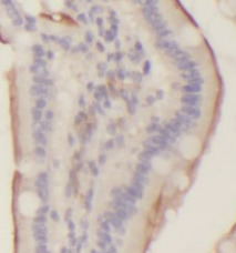
| 验证图片 | Immunohistochemistry of paraffin-embedde human colon tissue using FNab09863( TRPV1 Antibody) at dilution of 1:100 PC-12 cells were subjected to SDS PAGE followed by western blot with FNab09863( TRPV1 Antibody) at dilution of 1:1000 |
| 存储 | PBS with 0.02% sodium azide and 50% glycerol pH 7.3, -20℃ for 12 months(Avoid repeated freeze / thaw cycles.) |
| 注意事项 | TRPV1 antibody仅供科研使用 |
菲恩生物抗体产品优势
种类齐全:有10000多种经过验证的免多抗和小鼠单抗,包括流式抗体、内参抗体、标签抗体、小分子化合物抗体、对照抗体等;
多种标记/非标记二抗:针对兔、羊、小鼠、大鼠、人等多个种属。100多种标记二抗,标记物包括HRP、Biotin、FITC、Cy3、Alexa Fluor 488、Alexa Fluor 594等,通过了蛋白质印迹、免疫荧光、免疫组织化学、流式细胞术和ELISA等免疫学相关应用的充分验证,可满足各种实验需求;
验证过多种实验:ELISA、WB、IHC、IF、IP、FC等应用,并进行了广泛的物种交叉实验。
风险提示:丁香通仅作为第三方平台,为商家信息发布提供平台空间。用户咨询产品时请注意保护个人信息及财产安全,合理判断,谨慎选购商品,商家和用户对交易行为负责。对于医疗器械类产品,请先查证核实企业经营资质和医疗器械产品注册证情况。
- 作者
- 内容
- 询问日期
文献和实验与血清中,作者都未观测到明显的免疫反应。这意味着,感染柠檬酸杆菌,使得小鼠结肠对 OVA 的「口服免疫耐受」受到了破坏,而且破坏是局限在结肠,而非全身性的。 进一步实验证明,这种内脏过敏具有 OVA 特异性。而 IgE 中和抗体与敲除 IgE 都能有效缓解柠檬酸杆菌感染带来的 OVA 相关免疫反应。使用 OVE 特异性的 IgE 抗体,则能让正常小鼠在 OVA 暴露后,呈现出类似的内脏过敏症状。 这些数据,一起说明了细菌感染,能够破坏机体对特定食物抗原的「口服免疫耐受」,并导致针对食物抗原的获得
10.12 Science 揭示 RNA-Seq 数据有助于发现罕见的遗传变异;轮状病毒感染或可引起 1 型糖尿病
disease ② PLoS Pathog:轮状病毒感染或可引起 1 型糖尿病在一项新的研究中,澳大利亚墨尔本大学的 Leonard C. Harrison 及其同事们发现轮状病毒感染可能在 1 型糖尿病的发生中起作用。这篇论文中,研究人员首先回顾了支持他们这一观点的分子证据,并指出轮状病毒感染与血清胰岛自身抗体之间存在关联性。他们还讨论了轮状病毒感染引起胰腺病变的结果,此外也讨论了促进 1 型糖尿病发病率上升的环境因素。最后,他们评估了人群水平的数据,这些数据表明轮状病毒疫苗接种可能与 1 型糖尿病的发生
技术资料暂无技术资料 索取技术资料








