相关产品推荐更多 >
万千商家帮你免费找货
0 人在求购买到急需产品
- 详细信息
- 文献和实验
- 技术资料
- 免疫原:
YY1 transcription factor
- 亚型:
IgG
- 形态:
liquid
- 保存条件:
-20℃ 12月
- 克隆性:
polyclonal
- 标记物:
未标记
- 适应物种:
Human, Mouse, Rat, Rabbit, pig, monkey, zebrafish, hamster
- 保质期:
-20℃ 12月
- 抗原来源:
YY1 transcription factor
- 目录编号:
FNab10027
- 级别:
科研
- 库存:
100
- 供应商:
武汉菲恩生物科技有限公司
- 宿主:
Rabbit
- 应用范围:
ELISA, WB, IHC
- 靶点:
YY1
- 抗体英文名:
YY1 antibody
- 抗体名:
YY1抗体
- 规格:
50ug/100ug
| 规格: | 50ug | 产品价格: | ¥450.0 |
|---|---|---|---|
| 规格: | 100ug | 产品价格: | ¥750.0 |

产品介绍
| 产品名称 | YY1 antibody |
| 中文名称 | YY1抗体 |
| 货号 | FNab10027 |
| 规格 | 50ug/100ug |
| 宿主 | Rabbit |
| 反应种属 | Human, Mouse, Rat, Rabbit, pig, monkey, zebrafish, hamster |
| 验证应用 | ELISA, WB, IHC |
| 状态 | liquid |
| 纯化方法 | Immunogen affinity purified |
| 纯度 | ≥95% as determined by SDS-PAGE |
| 克隆性 | polyclonal |
| 亚型 | IgG |
| 免疫原 | YY1 transcription factor |
| 免疫原别称 | Transcriptional repressor protein YY1|Delta transcription factor|INO80 complex subunit S|NF-E1|Yin and yang 1 (YY-1)|YY1|INO80S |
| Uniprot ID | P25490 |
| 分子量 | 60 kDa, 75 kDa |
| 建议稀释比例 | WB: 1:500-1:2000; IHC: 1:50-1:500 |
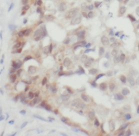
| 验证图片 | Immunohistochemistry of paraffin-embedded human breast cancer using FNab10027(YY1 antibody) at dilution of 1:100 A549 cells were subjected to SDS PAGE followed by western blot with FNab10027(YY1 antibody) at dilution of 1:1000 |
| 存储 | PBS with 0.02% sodium azide and 50% glycerol pH 7.3, -20℃ for 12 months(Avoid repeated freeze / thaw cycles.) |
| 注意事项 | YY1 antibody仅供科研使用 |
菲恩生物抗体产品优势
种类齐全:有10000多种经过验证的免多抗和小鼠单抗,包括流式抗体、内参抗体、标签抗体、小分子化合物抗体、对照抗体等;
多种标记/非标记二抗:针对兔、羊、小鼠、大鼠、人等多个种属。100多种标记二抗,标记物包括HRP、Biotin、FITC、Cy3、Alexa Fluor 488、Alexa Fluor 594等,通过了蛋白质印迹、免疫荧光、免疫组织化学、流式细胞术和ELISA等免疫学相关应用的充分验证,可满足各种实验需求;
验证过多种实验:ELISA、WB、IHC、IF、IP、FC等应用,并进行了广泛的物种交叉实验。
风险提示:丁香通仅作为第三方平台,为商家信息发布提供平台空间。用户咨询产品时请注意保护个人信息及财产安全,合理判断,谨慎选购商品,商家和用户对交易行为负责。对于医疗器械类产品,请先查证核实企业经营资质和医疗器械产品注册证情况。
文献和实验9.23 上交复旦Science子刊揭示靶向YY1有望治疗糖尿病肾病
① 上交复旦Science 子刊揭示靶向 YY1 有望治疗糖尿病肾病转化生长因子β1(TGFβ1,由基因 TGFB1 编码)已被确定为糖尿病肾病产生的主要致病因子。然而,当前的拮抗 TGFβ1 的策略未能在临床试验中表现出有益的治疗结果。在一项新的研究中,来自中国上海交通大学和复旦大学等研究机构的研究人员为了鉴定出一种不同的治疗方法,设计出一种基于质谱的 DNA-蛋白相互作用筛选方法,以便发现与 TGFβ1 启动子结合的转录阻遏物。他们鉴定出一种称为阴阳 1(Yin Yang 1, YY1
启动子和增强子区域。更令人惊讶的是,该研究虽然只检测了人类基因组中一小部分的 RNA 结合蛋白(这项研究还重点阐释了 RNA 结合蛋白 RBM25 通过调控转录因子 YY1 与染色质的结合,进而调控染色质结构和转录激活与抑制的分子机制,全面展示了特异性的 RNA 结合蛋白介导的转录因子 YY1 的功能调控作用。整个发现提出了 RNA 结合蛋白作为转录因子或辅助因子调控转录的新概念,也开辟了 RNA 结合蛋白功能研究的新领域。Controlling Visually Guided Behavior
技术资料暂无技术资料 索取技术资料








