相关产品推荐更多 >
万千商家帮你免费找货
0 人在求购买到急需产品
- 详细信息
- 文献和实验
- 技术资料
- 免疫原:
renal tumor antigen
- 亚型:
IgG
- 形态:
liquid
- 保存条件:
-20℃ 12月
- 克隆性:
polyclonal
- 标记物:
未标记
- 适应物种:
Human, Rat
- 保质期:
-20℃ 12月
- 抗原来源:
renal tumor antigen
- 目录编号:
FNab10103
- 级别:
科研
- 库存:
100
- 供应商:
武汉菲恩生物科技有限公司
- 宿主:
Rabbit
- 应用范围:
ELISA, WB, IHC
- 靶点:
MOK
- 抗体英文名:
MOK antibody
- 抗体名:
MOK抗体
- 规格:
50ug/100ug
| 规格: | 50ug | 产品价格: | ¥900.0 |
|---|---|---|---|
| 规格: | 100ug | 产品价格: | ¥1500.0 |

产品介绍
| 产品名称 | MOK antibody |
| 中文名称 | MOK抗体 |
| 货号 | FNab10103 |
| 规格 | 50ug/100ug |
| 宿主 | Rabbit |
| 反应种属 | Human, Rat |
| 验证应用 | ELISA, WB, IHC |
| 状态 | liquid |
| 纯化方法 | Immunogen affinity purified |
| 纯度 | ≥95% as determined by SDS-PAGE |
| 克隆性 | polyclonal |
| 亚型 | IgG |
| 免疫原 | renal tumor antigen |
| 免疫原别称 | MAPK/MAK/MRK overlapping kinase|MOK protein kinase|Renal tumor antigen 1 (RAGE-1)|MOK|RAGE|RAGE1 |
| Uniprot ID | Q9UQ07 |
| 分子量 | 40 kDa |
| 建议稀释比例 | WB: 1:500-1:2000; IHC: 1:20-1:200 |
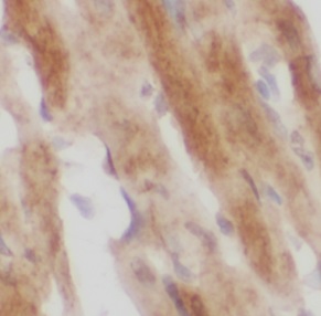
| 验证图片 | Immunohistochemistry of paraffin-embedded rat heart using FNab10103(MOK Antibody) at dilution of 1:100 HeLa cells were subjected to SDS PAGE followed by western blot with FNab10103(MOK antibody) at dilution of 1:1000 |
| 存储 | PBS with 0.02% sodium azide and 50% glycerol pH 7.3, -20℃ for 12 months (Avoid repeated freeze / thaw cycles.) |
| 注意事项 | MOK antibody仅供科研使用 |
菲恩生物抗体产品优势
种类齐全:有10000多种经过验证的免多抗和小鼠单抗,包括流式抗体、内参抗体、标签抗体、小分子化合物抗体、对照抗体等;
多种标记/非标记二抗:针对兔、羊、小鼠、大鼠、人等多个种属。100多种标记二抗,标记物包括HRP、Biotin、FITC、Cy3、Alexa Fluor 488、Alexa Fluor 594等,通过了蛋白质印迹、免疫荧光、免疫组织化学、流式细胞术和ELISA等免疫学相关应用的充分验证,可满足各种实验需求;
验证过多种实验:ELISA、WB、IHC、IF、IP、FC等应用,并进行了广泛的物种交叉实验。
风险提示:丁香通仅作为第三方平台,为商家信息发布提供平台空间。用户咨询产品时请注意保护个人信息及财产安全,合理判断,谨慎选购商品,商家和用户对交易行为负责。对于医疗器械类产品,请先查证核实企业经营资质和医疗器械产品注册证情况。
文献和实验【转帖】[资源]液体芯片-飞行时间质谱技术在肿瘤早期诊断中的研究进展
,MB-HIC C18等;以及专门用于标记糖蛋白的磁珠和标记抗体的G蛋白磁珠等,可适用于不同的疾病和蛋白。三、操作简单快捷。只需要几次简单的混匀、冲洗和洗脱过程即可完成前处理,更适于临床检验。四、磁珠系统由于磁珠表面积大,而具有很高重复性[10][11]。五、液体自动处理系统可实现高通量,每天可处理多达3万个样品;六、消耗品价格低,只有同类产品价格的一半左右;七、在质谱系统中,样品靶拥有最新AnchorChip专利技术,因其表面具有疏水 作用基团,在中央具有亲水基团,在溶剂蒸发时,样品液滴可收
C18等;以及专门用于标记糖蛋白的磁珠和标记抗体的G蛋白磁珠等,可适用于不同的疾病和蛋白。 三、操作简单快捷。只需要几次简单的混匀、冲洗和洗脱过程即可完成前处理,更适于临床检验。 四、磁珠系统由于磁珠表面积大,而具有很高重复性[10]、[11]。 五、液体自动处理系统可实现高通量,每天可处理多达3万个样品; 六、消耗品价格低,只有同类产品价格的一半
) Other buffers used in procedure (as negative controls) Capture antibody or protein (in PBS with no carrier protein)
技术资料暂无技术资料 索取技术资料








