相关产品推荐更多 >

phospho-Dematin (Ser403) Rabbit pAb(bs-14266R)-50ul/100ul/200ul
¥1180
Cullin 4A Rabbit pAb(bs-3642R)-50ul/100ul/200ul
¥1180
KIF13B Rabbit pAb, APC conjugated(bs-12387R-APC)-100ul
¥2980
KIF13B Rabbit pAb, BF594 conjugated(bs-12387R-BF594)-100ul
¥2980
Angiotensin II Type 1 Receptor Rabbit pAb, FITC conjugated(bs-2097R-FITC)-100ul
¥2980
万千商家帮你免费找货
0 人在求购买到急需产品
- 详细信息
- 文献和实验
- 技术资料
- 应用范围:
产品信息以Bioss网站为准
- 规格:
50ul/100ul/200ul
| 规格: | 50ul | 产品价格: | ¥1180.0 |
|---|---|---|---|
| 规格: | 100ul | 产品价格: | ¥1980.0 |
| 规格: | 200ul | 产品价格: | ¥2800.0 |
| 产品编号 | bs-17330R |
| 英文名称 | hnRNP A1 Rabbit pAb |
| 中文名称 | 核糖核蛋白颗粒A1蛋白抗体 |
| 英文别名 | HNRNPA 1; Helix destabilizing protein; Helix destabilizing protein; Helix-destabilizing protein; Heterogeneous nuclear ribonucleoprotein A1; Heterogeneous nuclear ribonucleoprotein A1; Heterogeneous nuclear ribonucleoprotein A1B protein; Heterogeneous nuclear ribonucleoprotein A1B protein; Heterogeneous nuclear ribonucleoprotein B2 protein; Heterogeneous nuclear ribonucleoprotein B2 protein; Heterogeneous nuclear ribonucleoprotein core protein A1; Heterogeneous nuclear ribonucleoprotein core protein A1; hnRNP A1; hnRNP core protein A1; HNRNPA1; HNRPA1; MGC102835; Nuclear ribonucleoprotein particle A1 protein; ROA1_HUMAN; Single strand DNA binding protein UP1; Single strand DNA binding protein UP1; Single strand RNA binding protein; Single-strand RNA-binding protein; syncrip. |
| 产品应用 | IHC-P=1:100-500, IHC-F=1:100-500, IF=1:100-500 Not yet tested in other applications. |
| 交叉反应 | Mouse, Rat (Human, Cow, Horse, Rabbit, Sheep, Macaque Monkey) |
| 抗体来源 | Rabbit |
| 免疫原 | KLH conjugated synthetic peptide derived from human hnRNP A1 |
| 亚型 | IgG |
| 性状 | Liquid |
| 纯化方法 | affinity purified by Protein A |
| 克隆类型 | Polyclonal |
| 理论分子量 | 39 kDa |
| 浓度 | 1mg/ml |
| 储存液 | 0.01M TBS (pH7.4) with 1% BSA, 0.02% Proclin300 and 50% Glycerol. |
| 研究领域 | Epigenetics and Nuclear Signaling > DNA / RNA > RNA Processing |
| 亚细胞定位 | Nucleus. Cytoplasm. Localized in cytoplasmic mRNP granules containing untranslated mRNAs. Shuttles continuously between the nucleus and the cytoplasm along with mRNA. Component of ribonucleosomes. In the course of viral infection, colocalizes with HCV NS5B at speckles in the cytoplasm in a HCV-replication dependent manner. |
| 翻译后修饰 | Arg-194, Arg-206 and Arg-225 are dimethylated, probably to asymmetric dimethylarginine. Sumoylated. |
| 相似性 | Contains 2 RRM (RNA recognition motif) domains. |
| 功能 | Involved in the packaging of pre-mRNA into hnRNP particles, transport of poly(A) mRNA from the nucleus to the cytoplasm and may modulate splice site selection. May play a role in HCV RNA replication. |
| 保存条件 | Shipped at 4℃. Store at -20℃ for one year. Avoid repeated freeze/thaw cycles. |
| 注意事项 | This product as supplied is intended for research use only, not for use in human, therapeutic or diagnostic applications. |
| 背景资料 | This gene belongs to the A/B subfamily of ubiquitously expressed heterogeneous nuclear ribonucleoproteins (hnRNPs). The hnRNPs are RNA binding proteins and they complex with heterogeneous nuclear RNA (hnRNA). These proteins are associated with pre-mRNAs in the nucleus and appear to influence pre-mRNA processing and other aspects of mRNA metabolism and transport. While all of the hnRNPs are present in the nucleus, some seem to shuttle between the nucleus and the cytoplasm. The hnRNP proteins have distinct nucleic acid binding properties. The protein encoded by this gene has two repeats of quasi-RRM domains that bind to RNAs. It is one of the most abundant core proteins of hnRNP complexes and it is localized to the nucleoplasm. This protein, along with other hnRNP proteins, is exported from the nucleus, probably bound to mRNA, and is immediately re-imported. Its M9 domain acts as both a nuclear localization and nuclear export signal. The encoded protein is involved in the packaging of pre-mRNA into hnRNP particles, transport of poly A+ mRNA from the nucleus to the cytoplasm, and may modulate splice site selection. It is also thought have a primary role in the formation of specific myometrial protein species in parturition. Multiple alternatively spliced transcript variants have been found for this gene but only two transcripts are fully described. These variants have multiple alternative transcription initiation sites and multiple polyA sites. [provided by RefSeq, Jul 2008] |
| 应用 | 推荐稀释比例 |
| {IHC-P} | {1:100-500} |
| {IHC-F} | {1:100-500} |
| {IF} | {1:100-500} |

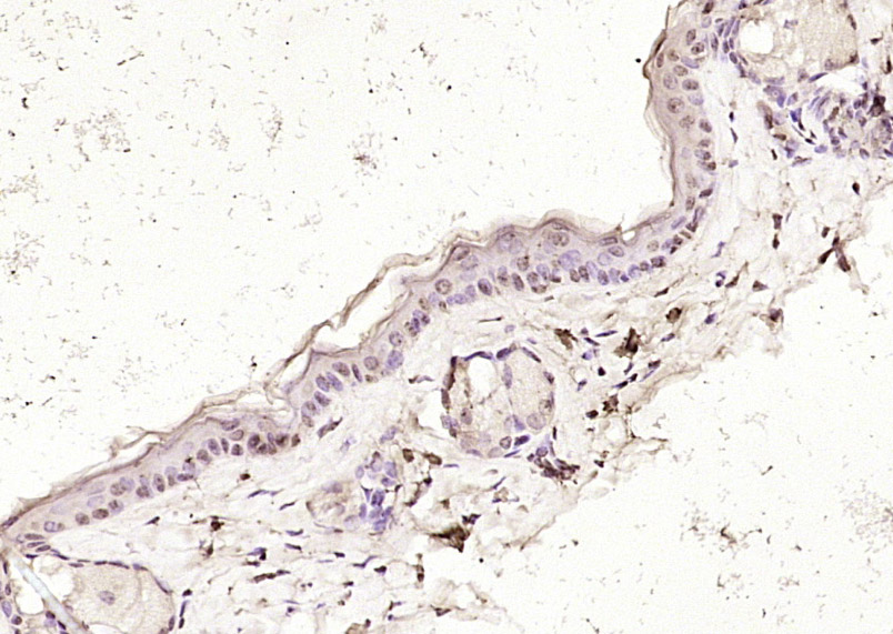
Paraformaldehyde-fixed, paraffin embedded (mouse skin); Antigen retrieval by boiling in sodium citrate buffer (pH6.0) for 15min; Block endogenous peroxidase by 3% hydrogen peroxide for 20 minutes; Blocking buffer (normal goat serum) at 37°C for 30min; Antibody incubation with (hnRNP A1) Polyclonal Antibody, Unconjugated (bs-17330R) at 1:200 overnight at 4°C, followed by operating according to SP Kit(Rabbit) (sp-0023) instructionsand DAB staining.

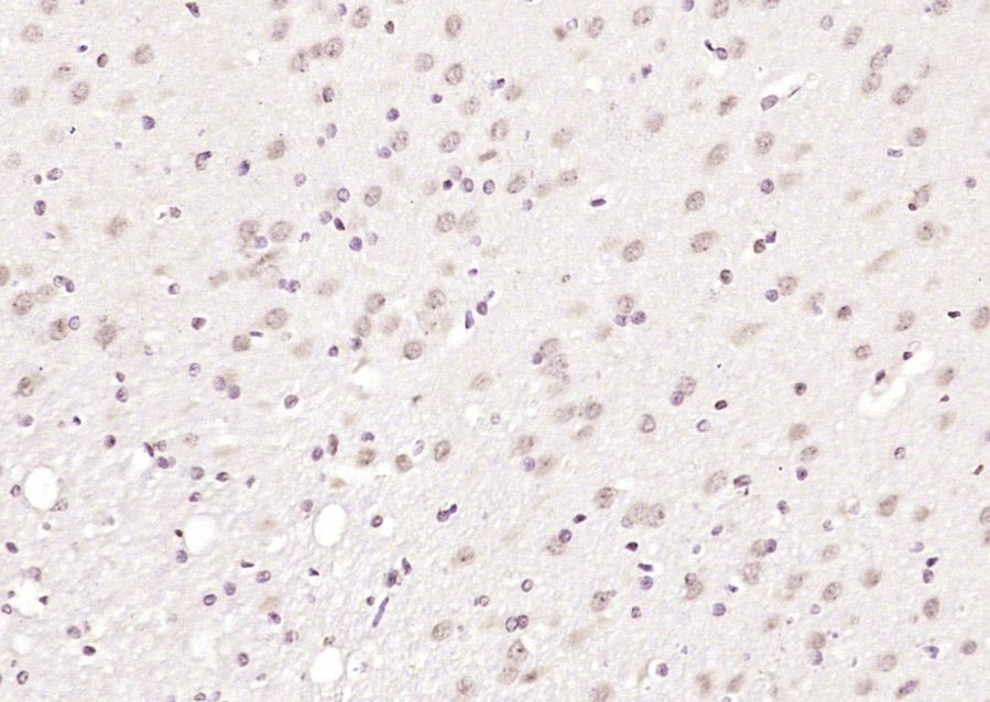
Paraformaldehyde-fixed, paraffin embedded (rat brain); Antigen retrieval by boiling in sodium citrate buffer (pH6.0) for 15min; Block endogenous peroxidase by 3% hydrogen peroxide for 20 minutes; Blocking buffer (normal goat serum) at 37°C for 30min; Antibody incubation with (hnRNP A1) Polyclonal Antibody, Unconjugated (bs-17330R) at 1:200 overnight at 4°C, followed by operating according to SP Kit(Rabbit) (sp-0023) instructionsand DAB staining.
风险提示:丁香通仅作为第三方平台,为商家信息发布提供平台空间。用户咨询产品时请注意保护个人信息及财产安全,合理判断,谨慎选购商品,商家和用户对交易行为负责。对于医疗器械类产品,请先查证核实企业经营资质和医疗器械产品注册证情况。
文献和实验该产品被引用文献
[IF={{ 15.304 }}] {Yao Lei. et al. Phytochemical natural killer cells reprogram tumor microenvironment for potent immunotherapy of solid tumors. BIOMATERIALS. 2022 Jun;:121635} {WB} {Mouse}
技术资料暂无技术资料 索取技术资料
文献支持
hnRNP A1 Rabbit pAb(bs-17330R)-50ul/100ul/200ul
¥1180 - 2800





