相关产品推荐更多 >

PNRC2 Rabbit pAb, Biotin conjugated(bs-12748R-Bio)-100ul
¥2980
ERBB2/HER2 Rabbit pAb, PerCP conjugated(bs-0125R-PerCP)-100ul
¥2980
phospho-c-Kit (Tyr730) Rabbit pAb(bs-12914R)-50ul/100ul/200ul
¥1180
VMAT1 Rabbit pAb(bs-6677R)-50ul/100ul/200ul
¥1180
c-Kit Rabbit pAb, BF555 conjugated(bs-10005R-BF555)-100ul
¥2980
万千商家帮你免费找货
0 人在求购买到急需产品
- 详细信息
- 文献和实验
- 技术资料
- 应用范围:
产品信息以Bioss网站为准
- 规格:
50ul/100ul/200ul
| 规格: | 50ul | 产品价格: | ¥1180.0 |
|---|---|---|---|
| 规格: | 100ul | 产品价格: | ¥1980.0 |
| 规格: | 200ul | 产品价格: | ¥2800.0 |
| 产品编号 | bs-17251R |
| 英文名称 | SBNO1 Rabbit pAb |
| 中文名称 | SBNO1蛋白抗体 |
| 英文别名 | FLJ10701; FLJ10833; FLJ16176; Monocyte protein 3; MOP 3; MOP-3; MOP3; Protein strawberry notch homolog 1; SBNO 1; SBNO1_HUMAN; Sno; Sno strawberry notch homolog 1; Strawberry notch homolog 1. |
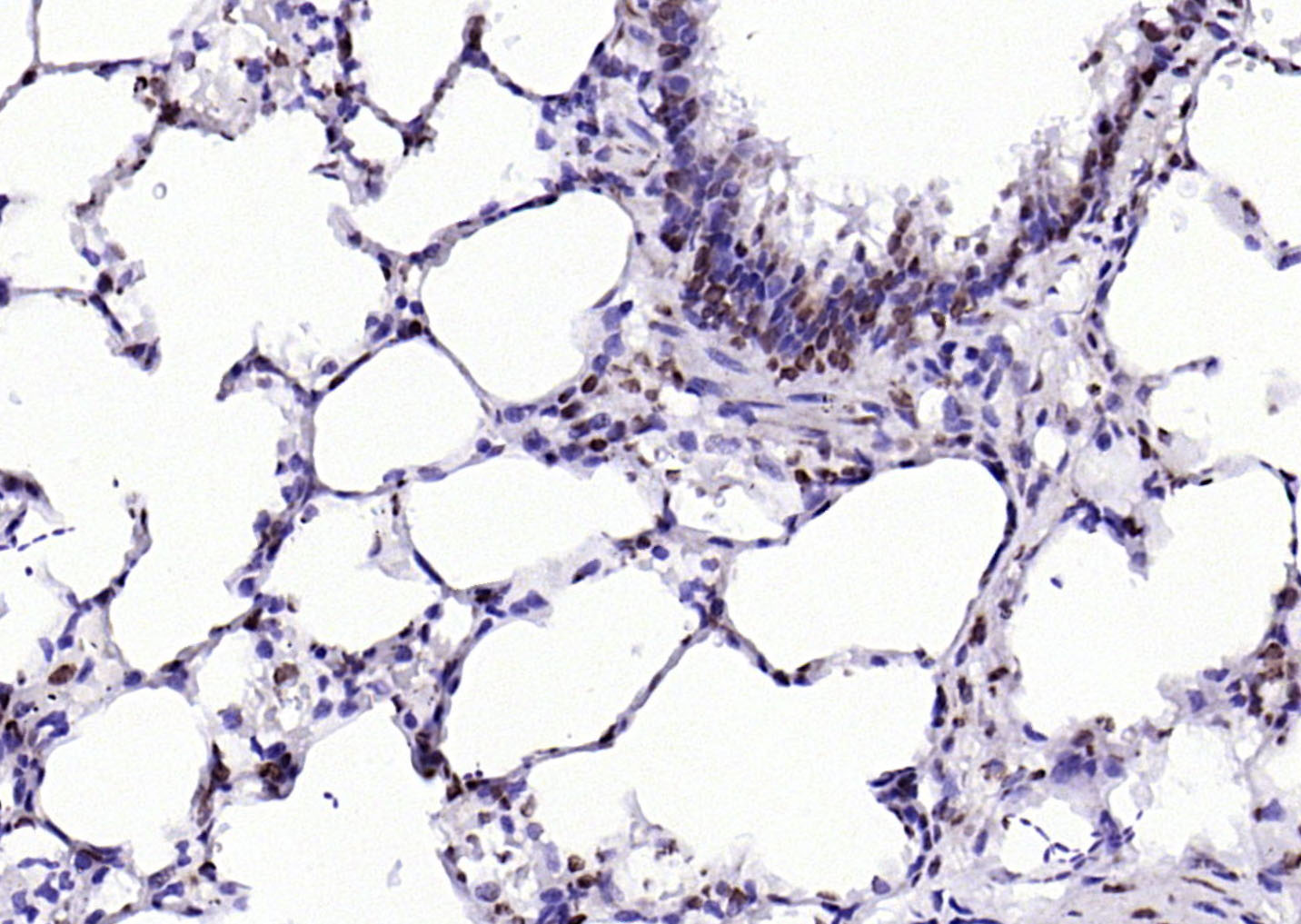
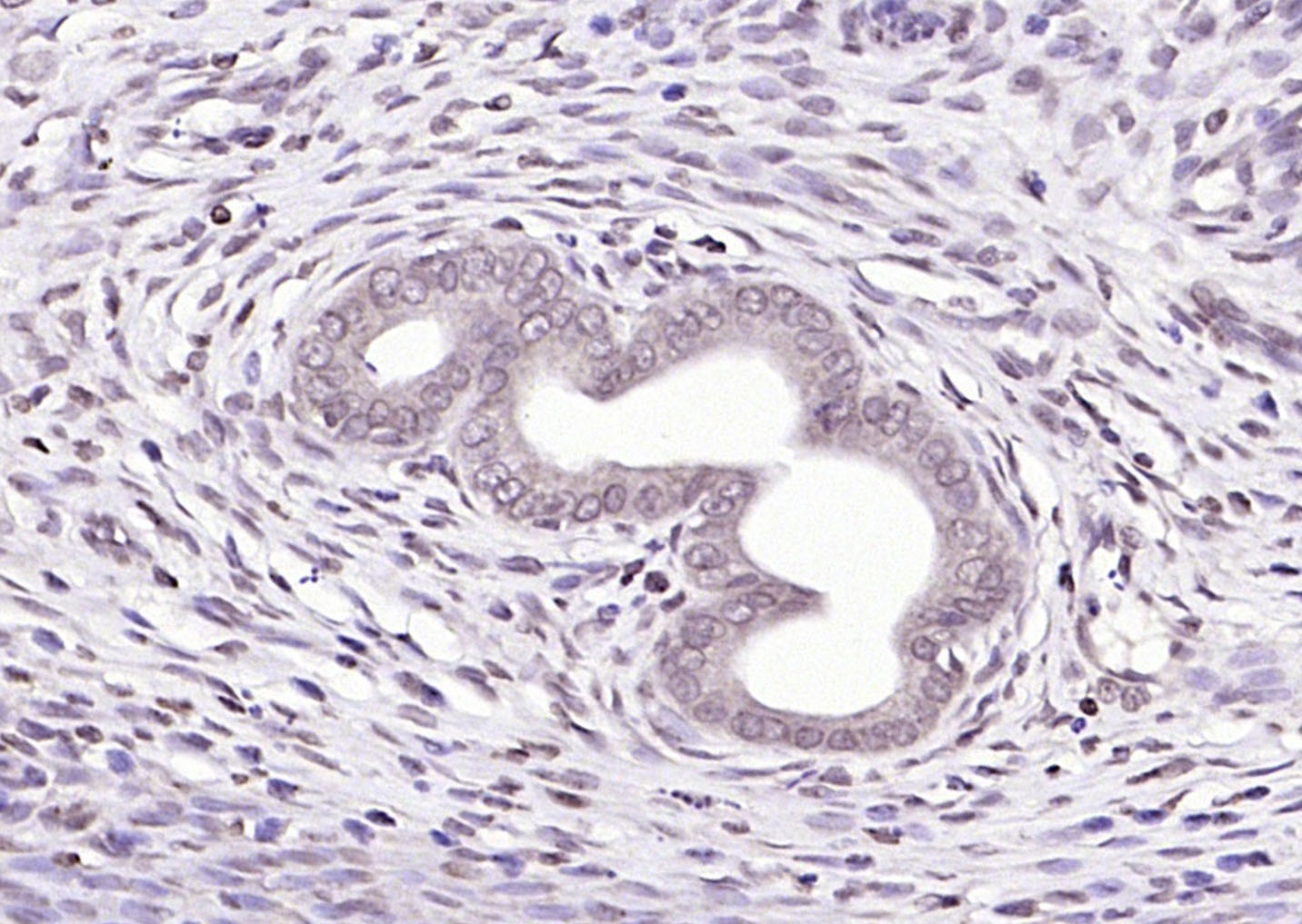
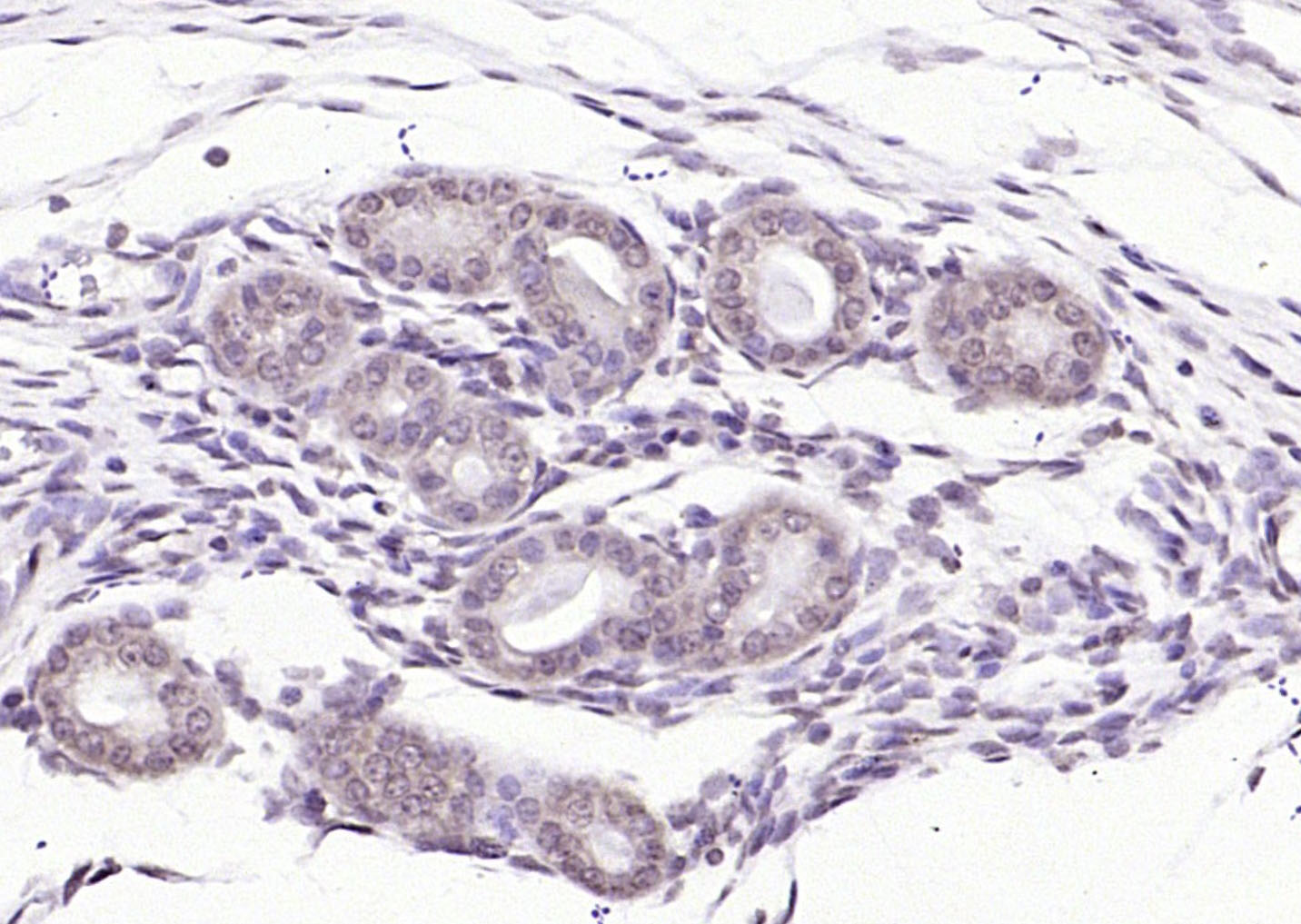
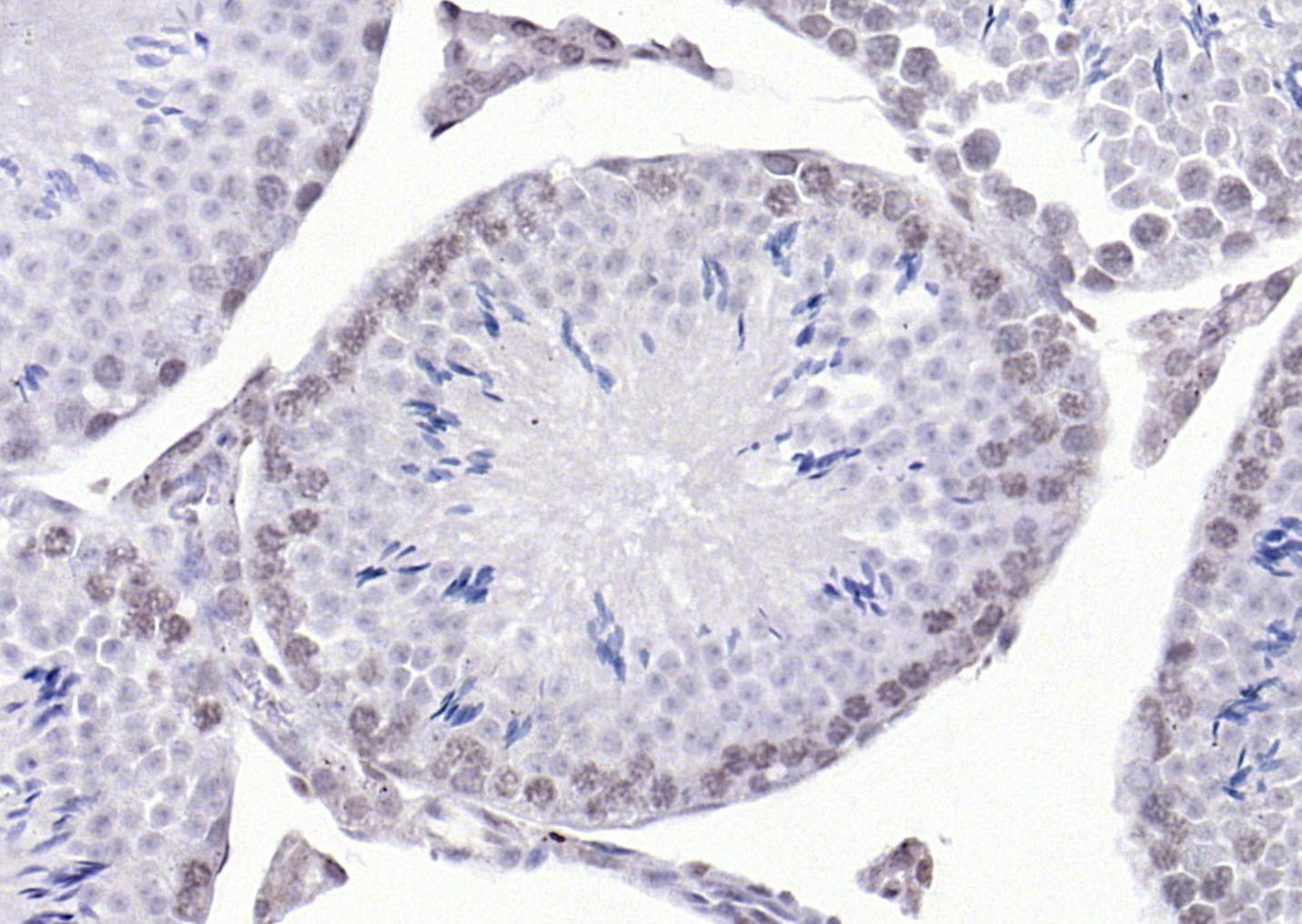
| 产品应用 | WB=1:500-2000, IHC-P=1:100-500, IHC-F=1:100-500, IF=1:100-500 Not yet tested in other applications. |
| 交叉反应 | Human, Mouse, Rat (Chicken, Dog, Pig, Cow, Horse, Rabbit, Zebrafish, Sheep) |
| 抗体来源 | Rabbit |
| 免疫原 | KLH conjugated synthetic peptide derived from human SBNO1 |
| 亚型 | IgG |
| 性状 | Liquid |
| 纯化方法 | affinity purified by Protein A |
| 克隆类型 | Polyclonal |
| 理论分子量 | 154 kDa |
| 浓度 | 1mg/ml |
| 储存液 | 0.01M TBS (pH7.4) with 1% BSA, 0.02% Proclin300 and 50% Glycerol. |
| 研究领域 | Cell Biology > Other Antibodies > Other Antibodies |
| 相似性 | Belongs to the SBNO family. |
| 保存条件 | Shipped at 4℃. Store at -20℃ for one year. Avoid repeated freeze/thaw cycles. |
| 注意事项 | This product as supplied is intended for research use only, not for use in human, therapeutic or diagnostic applications. |
| 背景资料 | SBNO1 is a 1,392 amino acid protein encoded by the human gene of the same name located on chromosome 12. Encoding over 1,100 genes within 132 million bases, chromosome 12 makes up about 4.5% of the human genome. A number of skeletal deformities are linked to chromosome 12, including hypochondrogenesis, achondrogenesis and Kniest dysplasia. Noonan syndrome, which includes heart and facial developmental defects among the primary symptoms, is caused by a mutant form of PTPN11 gene product, SH-PTP2. Chromosome 12 is also home to a homeobox gene cluster, which encodes crucial transcription factors for morphogenesis, and the natural killer complex gene cluster, encoding C-type lectin proteins which mediate the NK cell response to MHC I interaction. Trisomy 12p leads to facial development defects, seizure disorders and a host of other symptoms which vary in severity depending on the extent of mosaicism. It is most severe in cases of complete trisomy. |
| 应用 | 推荐稀释比例 |
| {WB} | {1:500-2000} |
| {IHC-P} | {1:100-500} |
| {IHC-F} | {1:100-500} |
| {IF} | {1:100-500} |







A431(Human) Cell Lysate at 30 ug
Primary: Anti-SBNO1 (bs-17251R) at 1/300 dilution
Secondary: IRDye800CW Goat Anti-Rabbit IgG at 1/20000 dilution
Predicted band size: 154 kD
Observed band size: 154 kD
风险提示:丁香通仅作为第三方平台,为商家信息发布提供平台空间。用户咨询产品时请注意保护个人信息及财产安全,合理判断,谨慎选购商品,商家和用户对交易行为负责。对于医疗器械类产品,请先查证核实企业经营资质和医疗器械产品注册证情况。
文献和实验= NAL), appears to form upon oxidative cyclization of the nonfluorescent 2:1 lysine-HNE Michael adduct-Schiff base cross-link (Scheme 1). Polyclonal antibody (PAb) to the NAL-HNE fluorophore was raised in rabbit and found to be highly specific
GE Healthcare Benzamidine Sepharose™ 6B is p-aminobenzamidine covalently attached to Sepharose 6B by the epoxy coupling method. p-Aminobenzamidine (PAB), is a synthetic inhibitor of trypsin-like serine protease. Trypsin and trypsin
Nucleic Acid Programmable Protein Arrays: Versatile Tools for Array‐Based Functional Protein Studies
.g., Sigma) 50 mg/ml bis‐sulfosuccinimdylsuberate (BS3 ;Pierce, cat. no. PI 21580) in dimethylsulfoxide (DMSO) 5 mg/ml
技术资料暂无技术资料 索取技术资料





