相关产品推荐更多 >
万千商家帮你免费找货
0 人在求购买到急需产品
- 详细信息
- 文献和实验
- 技术资料
- 应用范围:
产品信息以Bioss网站为准
- 规格:
50ul/100ul/200ul
| 规格: | 50ul | 产品价格: | ¥1180.0 |
|---|---|---|---|
| 规格: | 100ul | 产品价格: | ¥1980.0 |
| 规格: | 200ul | 产品价格: | ¥2800.0 |
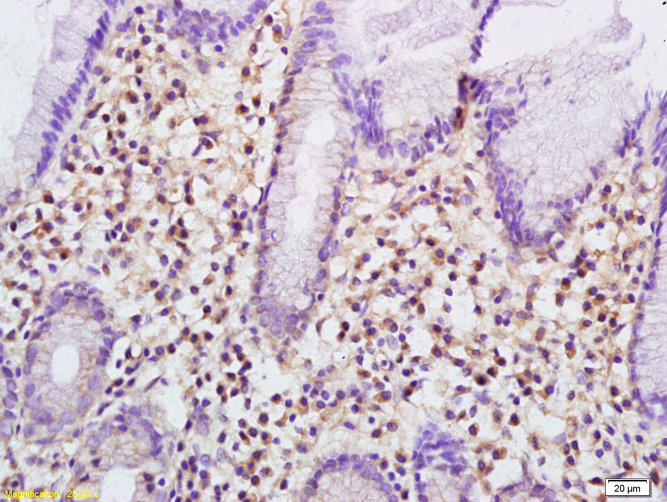
| 产品编号 | bs-7005R |
| 英文名称 | Plastin L Rabbit pAb |
| 中文名称 | 淋巴细胞胞浆蛋白LCP1抗体 |
| 英文别名 | L plastin; L-plastin; LC64P; LCP-1; LCP1; LPL; Lplastin; Lymphocyte cytosolic protein 1; Plastin 2; Plastin-2; PLS2; PLSL_HUMAN; Plastin L. |
| 产品应用 | IHC-P=1:100-500, IHC-F=1:100-500, IF=1:100-500 Not yet tested in other applications. |
| 交叉反应 | Human (Mouse, Rat) |
| 抗体来源 | Rabbit |
| 免疫原 | KLH conjugated synthetic peptide derived from human Plastin L |
| 亚型 | IgG |
| 性状 | Liquid |
| 纯化方法 | affinity purified by Protein A |
| 克隆类型 | Polyclonal |
| 理论分子量 | 70 kDa |
| 浓度 | 1mg/ml |
| 储存液 | 0.01M TBS (pH7.4) with 1% BSA, 0.02% Proclin300 and 50% Glycerol. |
| 研究领域 | Cancer > Tumor biomarkers > Tumor antigens Cancer > Tumor immunology > Tumor-associated antigens Signal Transduction > Cytoskeleton / ECM > Cytoskeleton > Microfilaments > Actin etc > Actin Binding Proteins |
| 亚基 | Monomer. Interacts with AIF1. |
| 亚细胞定位 | Cytoplasm, cytoskeleton. Cell junction. Cell projection. Cell projection, ruffle membrane; Peripheral membrane protein; Cytoplasmic side (By similarity). |
| 组织特异性 | Detected in intestinal microvilli, hair cell stereocilia, and fibroblast filopodia, in spleen and other lymph node-containing organs. Expressed in peripheral blood T-lymphocytes, neutrophils, monocytes, B-lymphocytes, and myeloid cells. |
| 翻译后修饰 | Phosphorylated on a serine residue in response to costimulation through TCR/CD3 and CD2 or CD28. Serine phosphorylation promotes association with the actin cytoskeleton and targeting to peripheral cell projections. |
| 相似性 | Contains 2 actin-binding domains. Contains 4 CH (calponin-homology) domains. Contains 2 EF-hand domains. |
| 功能 | Actin-binding protein. Plays a role in the activation of T-cells in response to costimulation through TCR/CD3 and CD2 or CD28. Modulates the cell surface expression of IL2RA/CD25 and CD69. |
| 保存条件 | Shipped at 4℃. Store at -20℃ for one year. Avoid repeated freeze/thaw cycles. |
| 注意事项 | This product as supplied is intended for research use only, not for use in human, therapeutic or diagnostic applications. |
| 背景资料 | Actin-binding protein. Plays a role in the activation of T-cells in response to costimulation through TCR/CD3 and CD2 or CD28. Modulates the cell surface expression of IL2RA/CD25 and CD69.Tissue specificity;Detected in intestinal microvilli, hair cell stereocilia, and fibroblast filopodia, in spleen and other lymph node-containing organs. Expressed in peripheral blood T lymphocytes, neutrophils, monocytes, B lymphocytes, and myeloid cells. |
| 应用 | 推荐稀释比例 |
| {IHC-P} | {1:100-500} |
| {IHC-F} | {1:100-500} |
| {IF} | {1:100-500} |

Antigen retrieval: citrate buffer ( 0.01M, pH 6.0 ), Boiling bathing for 15min; Block endogenous peroxidase by 3% Hydrogen peroxide for 30min; Blocking buffer (normal goat serum,C-0005) at 37℃ for 20 min;
Incubation: Anti-Plastin L Polyclonal Antibody, Unconjugated(bs-7005R) 1:200, overnight at 4°C, followed by conjugation to the secondary antibody(SP-0023) and DAB(C-0010) staining
风险提示:丁香通仅作为第三方平台,为商家信息发布提供平台空间。用户咨询产品时请注意保护个人信息及财产安全,合理判断,谨慎选购商品,商家和用户对交易行为负责。对于医疗器械类产品,请先查证核实企业经营资质和医疗器械产品注册证情况。
文献和实验GE Healthcare Benzamidine Sepharose™ 6B is p-aminobenzamidine covalently attached to Sepharose 6B by the epoxy coupling method. p-Aminobenzamidine (PAB), is a synthetic inhibitor of trypsin-like serine protease. Trypsin and trypsin
Nucleic Acid Programmable Protein Arrays: Versatile Tools for Array‐Based Functional Protein Studies
Ballard, J.L., Peeva, V.K., deSilva, C.J., Lynch, J.L., and Swanson, N.R., 2007. Comparison of Alexa Fluor and CyDye for practical DNA microarray use. Mol. Biotechnol. 36:175‐183.
, Reddy BS. Docosahexaenoic acid regulated genes and transcription factors inducing apoptosis in human colon cancer cells. Int J Oncol, 2001, 19(6): 1255-62. 26. Takahashi Y, Nagata T, Ishii Y, et al. Up-regulation ofvitamin D3 up-regulated protein l gene
技术资料暂无技术资料 索取技术资料










