相关产品推荐更多 >
万千商家帮你免费找货
0 人在求购买到急需产品
- 详细信息
- 文献和实验
- 技术资料
- 应用范围:
产品信息以Bioss网站为准
- 规格:
50ul/100ul/200ul
| 规格: | 50ul | 产品价格: | ¥1180.0 |
|---|---|---|---|
| 规格: | 100ul | 产品价格: | ¥1980.0 |
| 规格: | 200ul | 产品价格: | ¥2800.0 |
| 产品编号 | bs-2943R |
| 英文名称 | SEMA6D Rabbit pAb |
| 中文名称 | 轴突导向因子SEMA6D抗体 |
| 英文别名 | SEM6D_HUMAN; KIAA1479; Q8NFY4; Sema domain, transmembrane domain(TM), and cytoplasmic domain, (semaphorin) 6D; Semaphorin 6D. |
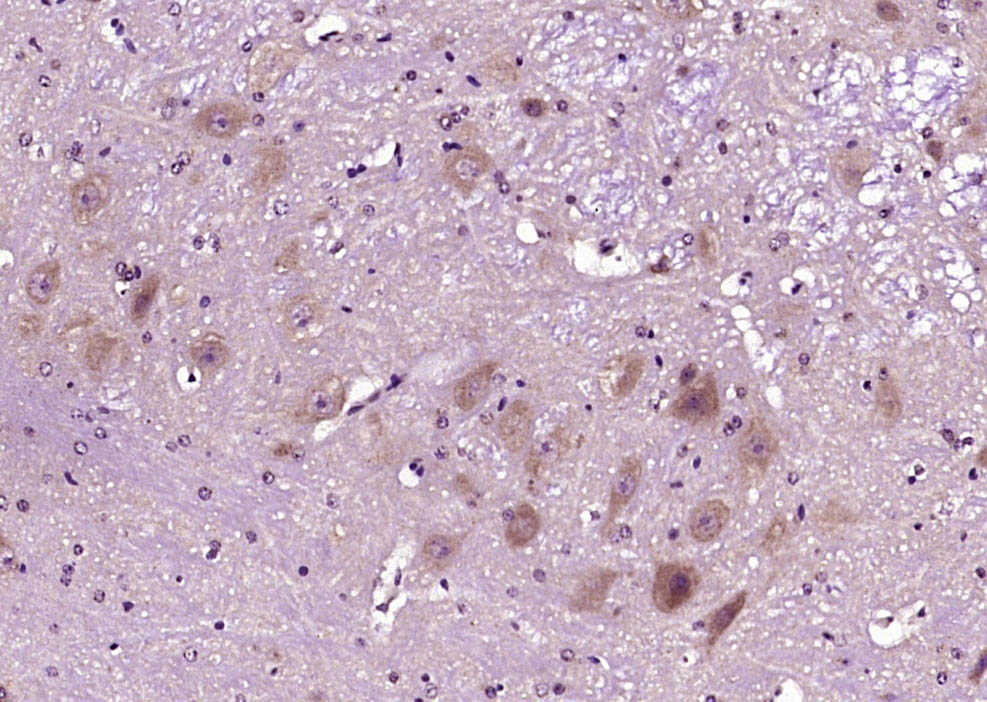
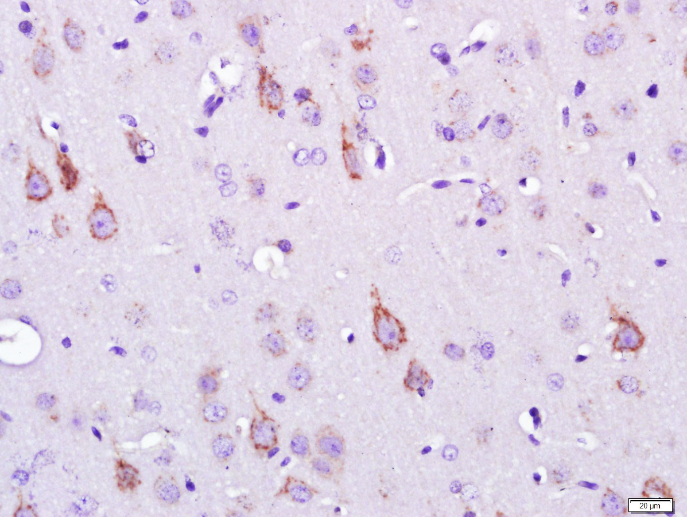
| 产品应用 | IHC-P=1:100-500, IHC-F=1:100-500, IF=1:100-500 Not yet tested in other applications. |
| 交叉反应 | Mouse, Rat (Human, Dog, Pig, Cow, Horse) |
| 抗体来源 | Rabbit |
| 免疫原 | KLH conjugated synthetic peptide derived from human SEMA6D |
| 亚型 | IgG |
| 性状 | Liquid |
| 纯化方法 | affinity purified by Protein A |
| 克隆类型 | Polyclonal |
| 理论分子量 | 118 kDa |
| 浓度 | 1mg/ml |
| 储存液 | 0.01M TBS (pH7.4) with 1% BSA, 0.02% Proclin300 and 50% Glycerol. |
| 研究领域 | Cell Biology > Cell Cycle > Cell differentiation Neuroscience > Cell Adhesion Proteins > Membrane Proteins Neuroscience > Neurology process > Growth and Development > Axonal Guidance Proteins |
| 亚细胞定位 | Isoform 1: Cell membrane; Single-pass type I membrane protein. Isoform 2: Cell membrane; Single-pass type I membrane protein. Isoform 3: Cell membrane; Single-pass type I membrane protein. Isoform 4: Cell membrane; Single-pass type I membrane protein. Isoform 5: Cell membrane; Single-pass type I membrane protein. Isoform 7: Cytoplasm. |
| 相似性 | Belongs to the semaphorin family. Contains 1 PSI domain. Contains 1 Sema domain. |
| 功能 | Shows growth cone collapsing activity on dorsal root ganglion (DRG) neurons in vitro. May be a stop signal for the DRG neurons in their target areas, and possibly also for other neurons. May also be involved in the maintenance and remodeling of neuronal connections. |
| 保存条件 | Shipped at 4℃. Store at -20℃ for one year. Avoid repeated freeze/thaw cycles. |
| 注意事项 | This product as supplied is intended for research use only, not for use in human, therapeutic or diagnostic applications. |
| 背景资料 | Semaphorins are a large family, including both secreted and membrane associated proteins, many of which have been implicated as inhibitors or chemorepellents in axon pathfinding, fasciculation and branching, and target selection. All semaphorins possess a semaphorin (Sema) domain and a PSI domain (found in plexins, semaphorins and integrins) in the N-terminal extracellular portion. Additional sequence motifs C-terminal to the semaphorin domain allow classification into distinct subfamilies. Results demonstrate that transmembrane semaphorins, like the secreted ones, can act as repulsive axon guidance cues. This gene encodes a class 6 vertebrate transmembrane semaphorin that demonstrates alternative splicing. Several transcript variants have been identified and expression of the distinct encoded isoforms is thought to be regulated in a tissue- and development-dependent manner. [provided by RefSeq, Nov 2010] |
| 应用 | 推荐稀释比例 |
| {IHC-P} | {1:100-500} |
| {IHC-F} | {1:100-500} |
| {IF} | {1:100-500} |


风险提示:丁香通仅作为第三方平台,为商家信息发布提供平台空间。用户咨询产品时请注意保护个人信息及财产安全,合理判断,谨慎选购商品,商家和用户对交易行为负责。对于医疗器械类产品,请先查证核实企业经营资质和医疗器械产品注册证情况。
文献和实验[IF={{ 5.2 }}] {Baoling Bai. et al. Pathological mechanisms of type 1 diabetes in children: investigation of the exosomal protein expression profile. FRONT ENDOCRINOL. 2023; 14: 1271929} {WB} {Human}
[IF={{ 4.243 }}] {Jiachen Duan. et al. Semaphorin 6D as an independent predictor for better prognosis in clear cell renal cell carcinoma. TRANSL ONCOL. 2022 Aug;22:101453} {IHC} {Human}
技术资料暂无技术资料 索取技术资料







