相关产品推荐更多 >

TIFA Rabbit pAb, APC conjugated(bs-13669R-APC)-100ul
¥2980
IGF2R/M6PR Rabbit pAb, FITC conjugated(bs-6670R-FITC)-100ul
¥2980
Dysferlin interacting protein 1 Rabbit pAb(bs-14476R)-50ul/100ul/200ul
¥1180
FOXO1 Rabbit pAb, Cy5 conjugated(bs-2537R-Cy5)-100ul
¥2980
phospho-TAK1 (Thr184) Rabbit pAb(bs-3436R)-50ul/100ul/200ul
¥1180
万千商家帮你免费找货
0 人在求购买到急需产品
- 详细信息
- 文献和实验
- 技术资料
- 应用范围:
产品信息以Bioss网站为准
- 规格:
50ul/100ul/200ul
| 规格: | 50ul | 产品价格: | ¥1180.0 |
|---|---|---|---|
| 规格: | 100ul | 产品价格: | ¥1980.0 |
| 规格: | 200ul | 产品价格: | ¥2800.0 |
| 产品编号 | bs-20232R |
| 英文名称 | Beta arrestin 1 Rabbit pAb |
| 中文名称 | β-抑制蛋白1抗体 |
| 英文别名 | ARB 1; ARB1; ARR 1; ARR1; ARRB 1; ARRB1; Arrestin beta 1; ARRB1_HUMAN; Arrestin 2; Arrestin beta-1; beta-arrestin-1. |
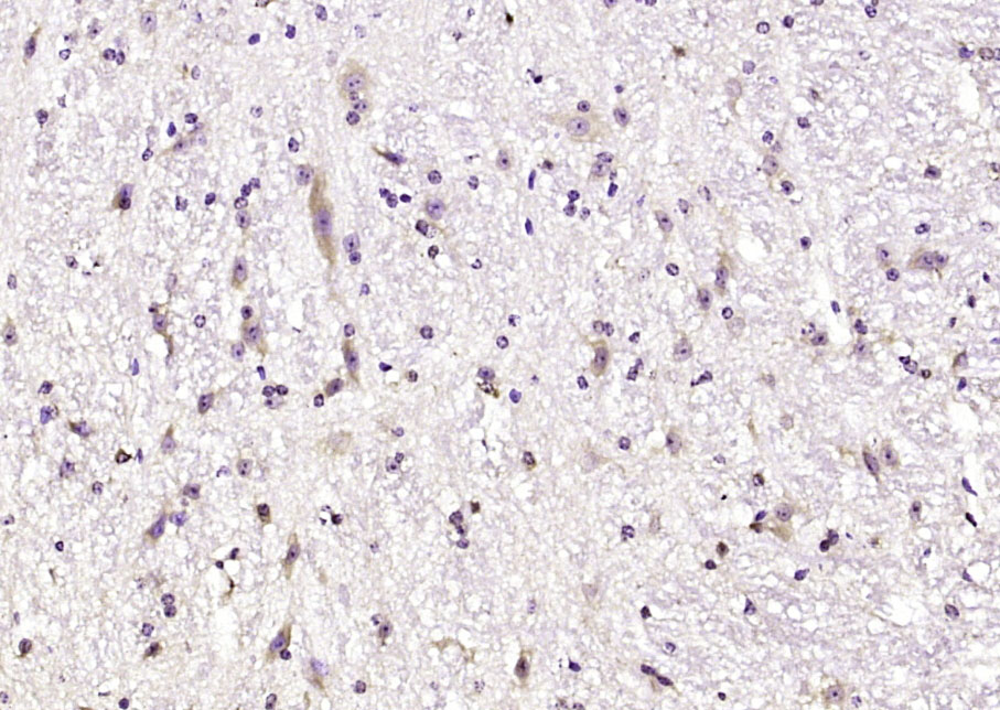
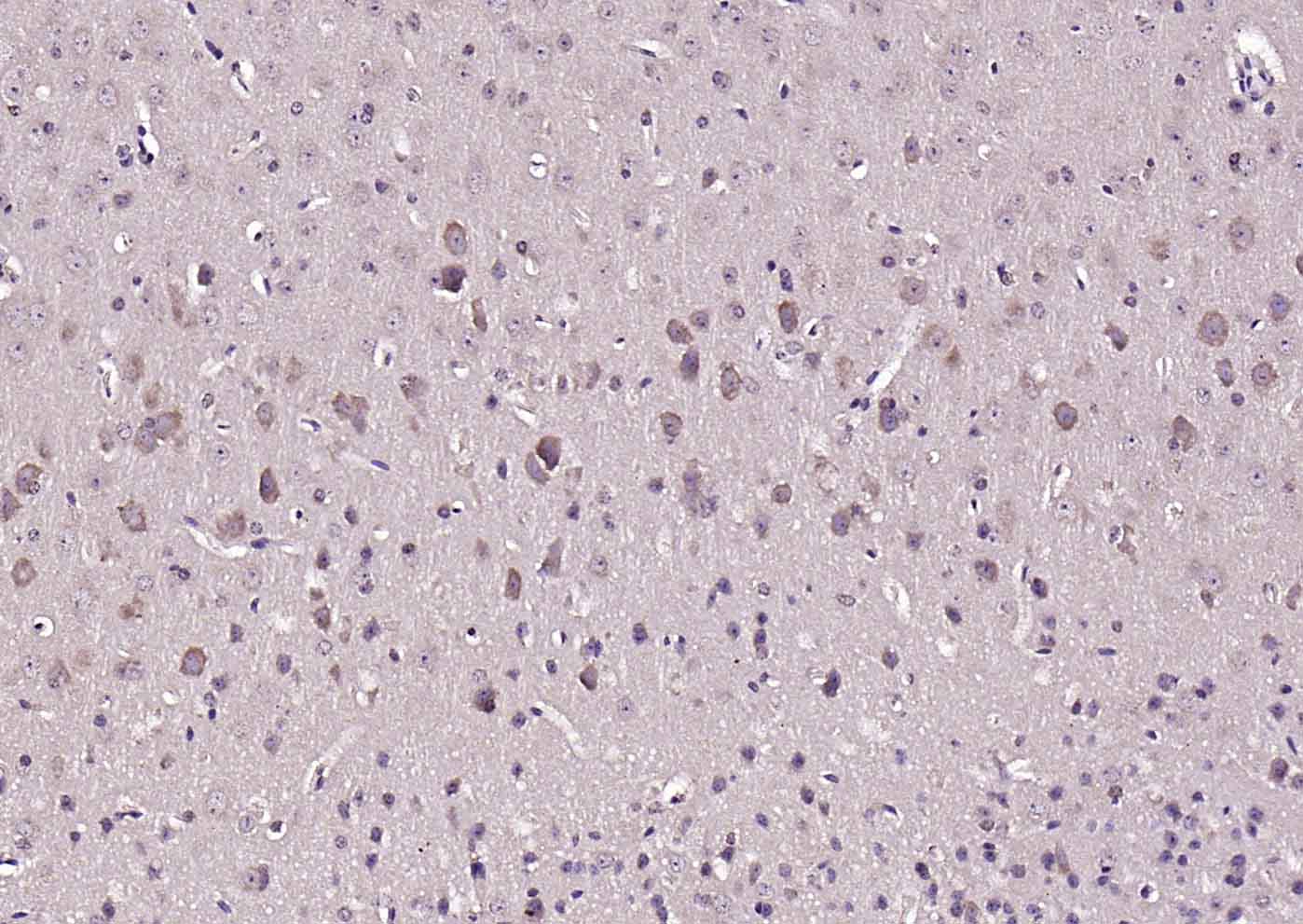
| 产品应用 | WB=1:500-2000, IHC-P=1:100-500, IHC-F=1:100-500, IF=1:100-500 Not yet tested in other applications. |
| 交叉反应 | Human, Mouse, Rat (Dog, Pig, Cow, Horse, Rabbit, Sheep) |
| 抗体来源 | Rabbit |
| 免疫原 | KLH conjugated synthetic peptide derived from human Beta-arrestin 1 |
| 亚型 | IgG |
| 性状 | Liquid |
| 纯化方法 | affinity purified by Protein A |
| 克隆类型 | Polyclonal |
| 理论分子量 | 47 kDa |
| 浓度 | 1mg/ml |
| 储存液 | 0.01M TBS (pH7.4) with 1% BSA, 0.02% Proclin300 and 50% Glycerol. |
| 研究领域 | Neuroscience > Neurology process > Neurodegenerative disease Neuroscience > Neurotransmission > Receptors / Channels > Tyrosine Kinase Receptors Signal Transduction > Signaling Pathway > G Protein Signaling > GPCR Signal Transduction > Signaling Pathway > G Protein Signaling > Heterotrimeric G Proteins > Regulators |
| 亚基 | Monomer. Homodimer. Homooligomer; the self-association is mediated by InsP6-binding. Heterooligomer with ARRB2; the association is mediated by InsP6-binding. Interacts with GPR143. Interacts with ADRB2 (phosphorylated). Interacts with CHRM2 (phosphorylated). Interacts with LHCGR. Interacts with CYTH2 and CASR. Interacts with AP2B1 (dephosphorylated at 'Tyr-737'); phosphorylation of AP2B1 at 'Tyr-737' disrupts the interaction. Interacts (dephosphorylated at Ser-412) with CLTC. Interacts with CCR2 and ADRBK1. Interacts with CRR5. Interacts with PTAFR (phosphorylated on serine residues). Interacts with CLTC and MAP2K3. Interacts with CREB1. Interacts with TRAF6. Interacts with IGF1R and MDM2. Interacts with C5AR1. Interacts with PDE4D. Interacts with SRC (via the SH3 domain and the protein kinase domain); the interaction is independent of the phosphorylation state of SRC C-terminus. Interacts with TACR1. Interacts with RAF1. Interacts with CHUK, IKBKB and MAP3K14. Interacts with DVL1; the interaction is enhanced by phosphorylation of DVL1. Interacts with DVL2; the interaction is enhanced by phosphorylation of DVL2. Interacts with IGF1R. Associates with MAP kinase p38. Part of a MAPK signaling complex consisting of TACR1, ARRB1, SRC, MAPK1 (activated) and MAPK3 (activated). Part of a MAPK signaling complex consisting of F2RL1, ARRB1, RAF1, MAPK1 (activated) and MAPK3 (activated) (By similarity). Interacts with MAP2K4/MKK4. Interacts with HCK and CXCR1 (phosphorylated). |
| 亚细胞定位 | Cytoplasm. Nucleus. Cell membrane. Membrane, clathrin-coated pit (Probable). Cell projection, pseudopodium. Cytoplasmic vesicle. Note=Translocates to the plasma membrane and colocalizes with antagonist-stimulated GPCRs. The monomeric form is predominantly located in the nucleus. The oligomeric form is located in the cytoplasm. Translocates to the nucleus upon stimulation of OPRD1. |
| 翻译后修饰 | Constitutively phosphorylated at Ser-412 in the cytoplasm. At the plasma membrane, is rapidly dephosphorylated, a process that is required for clathrin binding and ADRB2 endocytosis but not for ADRB2 binding and desensitization. Once internalized, is rephosphorylated.
The ubiquitination status appears to regulate the formation and trafficking of beta-arrestin-GPCR complexes and signaling. Ubiquitination appears to occur GPCR-specific. Ubiquitinated by MDM2; the ubiquitination is required for rapid internalization of ADRB2. Deubiquitinated by USP33; the deubiquitination leads to a dissociation of the beta-arrestin-GPCR complex. Stimulation of a class A GPCR, such as ADRB2, induces transient ubiquitination and subsequently promotes association with USP33. |
| 相似性 | Belongs to the arrestin family. |
| 功能 | Functions in regulating agonist-mediated G-protein coupled receptor (GPCR) signaling by mediating both receptor desensitization and resensitization processes. During homologous desensitization, beta-arrestins bind to the GPRK-phosphorylated receptor and sterically preclude its coupling to the cognate G-protein; the binding appears to require additional receptor determinants exposed only in the active receptor conformation. The beta-arrestins target many receptors for internalization by acting as endocytic adapters (CLASPs, clathrin-associated sorting proteins) and recruiting the GPRCs to the adapter protein 2 complex 2 (AP-2) in clathrin-coated pits (CCPs). However, the extent of beta-arrestin involvement appears to vary significantly depending on the receptor, agonist and cell type. Internalized arrestin-receptor complexes traffic to intracellular endosomes, where they remain uncoupled from G-proteins. Two different modes of arrestin-mediated internalization occur. Class A receptors, like ADRB2, OPRM1, ENDRA, D1AR and ADRA1B dissociate from beta-arrestin at or near the plasma membrane and undergo rapid recycling. Class B receptors, like AVPR2, AGTR1, NTSR1, TRHR and TACR1 internalize as a complex with arrestin and traffic with it to endosomal vesicles, presumably as desensitized receptors, for extended periods of time. Receptor resensitization then requires that receptor-bound arrestin is removed so that the receptor can be dephosphorylated and returned to the plasma membrane. Involved in internalization of P2RY4 and UTP-stimulated internalization of P2RY2. Involved in phosphorylation-dependent internalization of OPRD1 ands subsequent recycling. Involved in the degradation of cAMP by recruiting cAMP phosphodiesterases to ligand-activated receptors. Beta-arrestins function as multivalent adapter proteins that can switch the GPCR from a G-protein signaling mode that transmits short-lived signals from the plasma membrane via small molecule second messengers and ion channels to a beta-arrestin signaling mode that transmits a distinct set of signals that are initiated as the receptor internalizes and transits the intracellular compartment. Acts as signaling scaffold for MAPK pathways such as MAPK1/3 (ERK1/2). ERK1/2 activated by the beta-arrestin scaffold is largely excluded from the nucleus and confined to cytoplasmic locations such as endocytic vesicles, also called beta-arrestin signalosomes. Recruits c-Src/SRC to ADRB2 resulting in ERK activation. GPCRs for which the beta-arrestin-mediated signaling relies on both ARRB1 and ARRB2 (codependent regulation) include ADRB2, F2RL1 and PTH1R. For some GPCRs the beta-arrestin-mediated signaling relies on either ARRB1 or ARRB2 and is inhibited by the other respective beta-arrestin form (reciprocal regulation). Inhibits ERK1/2 signaling in AGTR1- and AVPR2-mediated activation (reciprocal regulation). Is required for SP-stimulated endocytosis of NK1R and recruits c-Src/SRC to internalized NK1R resulting in ERK1/2 activation, which is required for the antiapoptotic effects of SP. Is involved in proteinase-activated F2RL1-mediated ERK activity. Acts as signaling scaffold for the AKT1 pathway. Is involved in alpha-thrombin-stimulated AKT1 signaling. Is involved in IGF1-stimulated AKT1 signaling leading to increased protection from apoptosis. Involved in activation of the p38 MAPK signaling pathway and in actin bundle formation. Involved in F2RL1-mediated cytoskeletal rearrangement and chemotaxis. Involved in AGTR1-mediated stress fiber formation by acting together with GNAQ to activate RHOA. Appears to function as signaling scaffold involved in regulation of MIP-1-beta-stimulated CCR5-dependent chemotaxis. Involved in attenuation of NF-kappa-B-dependent transcription in response to GPCR or cytokine stimulation by interacting with and stabilizing CHUK. May serve as nuclear messenger for GPCRs. Involved in OPRD1-stimulated transcriptional regulation by translocating to CDKN1B and FOS promoter regions and recruiting EP300 resulting in acetylation of histone H4. Involved in regulation of LEF1 transcriptional activity via interaction with DVL1 and/or DVL2 Also involved in regulation of receptors other than GPCRs. Involved in Toll-like receptor and IL-1 receptor signaling through the interaction with TRAF6 which prevents TRAF6 autoubiquitination and oligomerization required for activation of NF-kappa-B and JUN. Binds phosphoinositides. Binds inositolhexakisphosphate (InsP6). Involved in IL8-mediated granule release in neutrophils. |
| 保存条件 | Shipped at 4℃. Store at -20℃ for one year. Avoid repeated freeze/thaw cycles. |
| 注意事项 | This product as supplied is intended for research use only, not for use in human, therapeutic or diagnostic applications. |
| 背景资料 | Beta Arrestin 1 is a member of a family of proteins that are widely expressed but especially abundant in the central nervous system. Serving as an adaptor or scaffold molecule, beta Arrestin 1 is essential for mitogenic signaling. It mediates agonist dependent desensitization and internalization of G protein coupled receptors (GPCRs, e.g., beta 2 adrenergic receptor). After binding to their ligand and interacting with heterotrimeric G proteins, GPCRs are phosphorylated by G protein receptor kinases (GRKs) on serine residues. Beta Arrestin 1 has important roles in the cytoplasm and at the plasma membrane in the desensitization and internalization of G protein coupled receptors (GPCRs) and is increasingly appreciated to play an important role in the endocytosis and signaling of GPCRs. Beta Arrestin 1 in the cytosol is phosphorylated by ERK1 and 2 on serine 412 in a negative feedback mechanism and binds to the phosphorylated receptors at the plasma membrane. Serine 412 is then dephosphorylated and the GPCRs are internalized, leading to activation of the Ras, Raf, ERK1 and 2 signaling pathway. |
| 应用 | 推荐稀释比例 |
| {WB} | {1:500-2000} |
| {IHC-P} | {1:100-500} |
| {IHC-F} | {1:100-500} |
| {IF} | {1:100-500} |


Lung (Mouse) Lysate at 40 ug
Bone (Mouse) Lysate at 40 ug
Primary: Anti-ARRB1/Beta-arrestin 1 (bs-20232R) at 1/300 dilution
Secondary: IRDye800CW Goat Anti-Rabbit IgG at 1/20000 dilution
Predicted band size: 47 kD
Observed band size: 47 kD

Lane 1: Mouse Cerebellum tissue lysates
Lane 2: Mouse Cerebrum tissue lysates
Lane 3: Rat Cerebellum tissue lysates
Lane 4: Rat Cerebrum tissue lysates
Primary: Anti-Beta arrestin 1 (bs-20232R) at 1/1000 dilution
Secondary: IRDye800CW Goat Anti-Rabbit IgG at 1/20000 dilution
Predicted band size: 47 kDa
Observed band size: 47 kDa



风险提示:丁香通仅作为第三方平台,为商家信息发布提供平台空间。用户咨询产品时请注意保护个人信息及财产安全,合理判断,谨慎选购商品,商家和用户对交易行为负责。对于医疗器械类产品,请先查证核实企业经营资质和医疗器械产品注册证情况。
文献和实验Generation of Spatio‐Temporally Controlled Targeted Somatic Mutations in the Mouse
of CreERT2. J. Immunol. 182:5633‐5640. Huelsken, J., Vogel, R., Erdmann, B., Cotsarelis, G., and Birchmeier, W. 2001. Beta‐Catenin controls hair follicle morphogenesis and stem
技术资料暂无技术资料 索取技术资料





