相关产品推荐更多 >

STAT3 Rabbit pAb, PE-Cy7 conjugated(bs-20382R-PE-Cy7)-100ul
¥2980
MYBL2 Rabbit pAb(bs-5960R)-50ul/100ul/200ul
¥1180
phospho-IKK alpha (Ser176) Rabbit pAb, PE conjugated(bs-18127R-PE)-100ul
¥2980
GAA Rabbit pAb, BF750 conjugated(bs-13254R-BF750)-100ul
¥2980
Sphingomyelin Synthase 2 Rabbit pAb(bs-5694R)-50ul/100ul/200ul
¥1180
万千商家帮你免费找货
0 人在求购买到急需产品
- 详细信息
- 文献和实验
- 技术资料
- 应用范围:
产品信息以Bioss网站为准
- 规格:
50ul/100ul/200ul
| 规格: | 50ul | 产品价格: | ¥1180.0 |
|---|---|---|---|
| 规格: | 100ul | 产品价格: | ¥1980.0 |
| 规格: | 200ul | 产品价格: | ¥2800.0 |
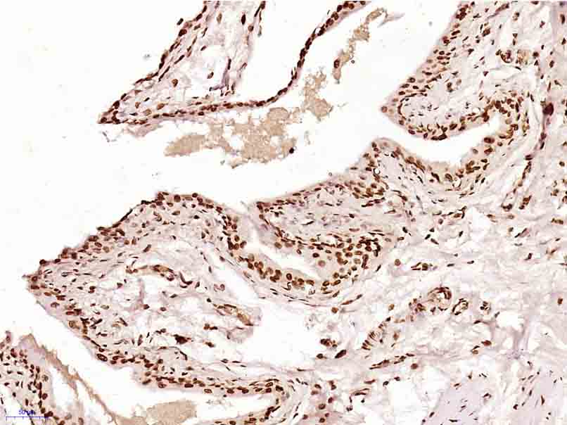
| 产品编号 | bs-7937R |
| 英文名称 | NIFK Rabbit pAb |
| 中文名称 | NIFK蛋白抗体 |
| 英文别名 | hNIFK; MKI67 FHA Domain Interacting Nucleolar phosphoprotein; MKI67IP; NOPP34; Nucleolar phosphoprotein Nopp34; Nucleolar protein interacting with the FHA domain of pKI 67; pKi67; MK67I_HUMAN. |
| 产品应用 | IHC-P=1:100-500, IHC-F=1:100-500, IF=1:100-500 Not yet tested in other applications. |
| 交叉反应 | Rat (Human, Mouse, Dog, Rabbit) |
| 抗体来源 | Rabbit |
| 免疫原 | KLH conjugated synthetic peptide derived from human NIFK |
| 亚型 | IgG |
| 性状 | Liquid |
| 纯化方法 | affinity purified by Protein A |
| 克隆类型 | Polyclonal |
| 理论分子量 | 34 kDa |
| 浓度 | 1mg/ml |
| 储存液 | 0.01M TBS (pH7.4) with 1% BSA, 0.02% Proclin300 and 50% Glycerol. |
| 研究领域 | Cell Biology > Cell Cycle > Markers |
| 亚基 | Binds to the FHA domain of MKI67; this interaction is enhanced in mitosis. |
| 亚细胞定位 | Nucleus, nucleolus. Chromosome. Note=Localizes to mitotic chromosomes in conjunction with MKI67. |
| 翻译后修饰 | Sequentially phosphorylated on Thr-238, Thr-234 and Ser-230. Thr-234 is phosphorylated only when Thr-238 is phosphorylated. Likewise, phosphorylation at Ser-230 requires that Thr-234 and Thr-238 are phosphorylated. Phosphorylation enhances MKI67 binding. |
| 相似性 | Contains 1 RRM (RNA recognition motif) domain. |
| 保存条件 | Shipped at 4℃. Store at -20℃ for one year. Avoid repeated freeze/thaw cycles. |
| 注意事项 | This product as supplied is intended for research use only, not for use in human, therapeutic or diagnostic applications. |
| 背景资料 | This gene encodes a protein that interacts with the forkhead-associated domain of the Ki-67 antigen. The encoded protein may bind RNA and may play a role in mitosis and cell cycle progression. Multiple pseudogenes exist on chromosomes 5, 10, 12, 15, and 19.[provided by RefSeq, Jan 2009]. |
| 应用 | 推荐稀释比例 |
| {IHC-P} | {1:100-500} |
| {IHC-F} | {1:100-500} |
| {IF} | {1:100-500} |


风险提示:丁香通仅作为第三方平台,为商家信息发布提供平台空间。用户咨询产品时请注意保护个人信息及财产安全,合理判断,谨慎选购商品,商家和用户对交易行为负责。对于医疗器械类产品,请先查证核实企业经营资质和医疗器械产品注册证情况。
文献和实验= NAL), appears to form upon oxidative cyclization of the nonfluorescent 2:1 lysine-HNE Michael adduct-Schiff base cross-link (Scheme 1). Polyclonal antibody (PAb) to the NAL-HNE fluorophore was raised in rabbit and found to be highly specific
GE Healthcare Benzamidine Sepharose™ 6B is p-aminobenzamidine covalently attached to Sepharose 6B by the epoxy coupling method. p-Aminobenzamidine (PAB), is a synthetic inhibitor of trypsin-like serine protease. Trypsin and trypsin
Nucleic Acid Programmable Protein Arrays: Versatile Tools for Array‐Based Functional Protein Studies
.g., Sigma) 50 mg/ml bis‐sulfosuccinimdylsuberate (BS3 ;Pierce, cat. no. PI 21580) in dimethylsulfoxide (DMSO) 5 mg/ml
技术资料暂无技术资料 索取技术资料






