相关产品推荐更多 >

Anti-human CTLA-8 / IL-17a (Perakizumab Biosimilar)(BIO0540SM)-1mg/5mg/20mg
¥3200
DHRS4 Rabbit pAb, Biotin conjugated(bs-8264R-Bio)-100ul
¥2980
GLP-2 Rabbit pAb, PE-Cy5 conjugated(bs-0208R-PE-Cy5)-100ul
¥2980
SENP2 Rabbit pAb(bs-19632R)-50ul/100ul/200ul
¥1180
MuRF1 Rabbit pAb, PerCP-Cy5.5 conjugated(bs-2539R-PerCP-Cy5.5)-100ul
¥2980
万千商家帮你免费找货
0 人在求购买到急需产品
- 详细信息
- 文献和实验
- 技术资料
- 应用范围:
产品信息以Bioss网站为准
- 规格:
50ul/100ul/200ul
| 规格: | 50ul | 产品价格: | ¥1180.0 |
|---|---|---|---|
| 规格: | 100ul | 产品价格: | ¥1980.0 |
| 规格: | 200ul | 产品价格: | ¥2800.0 |
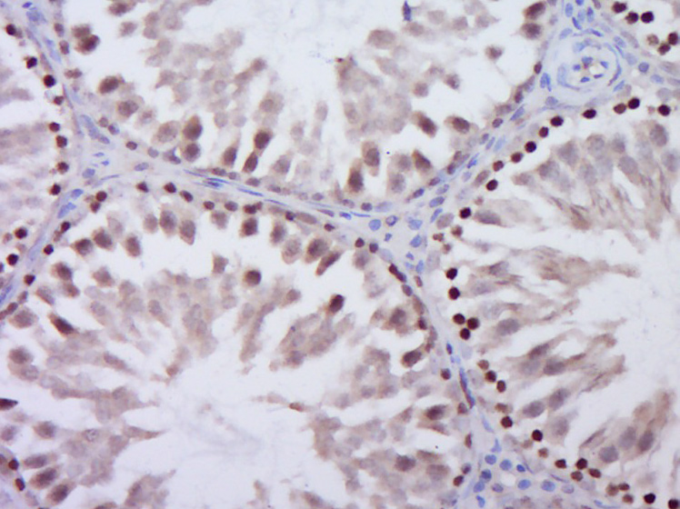
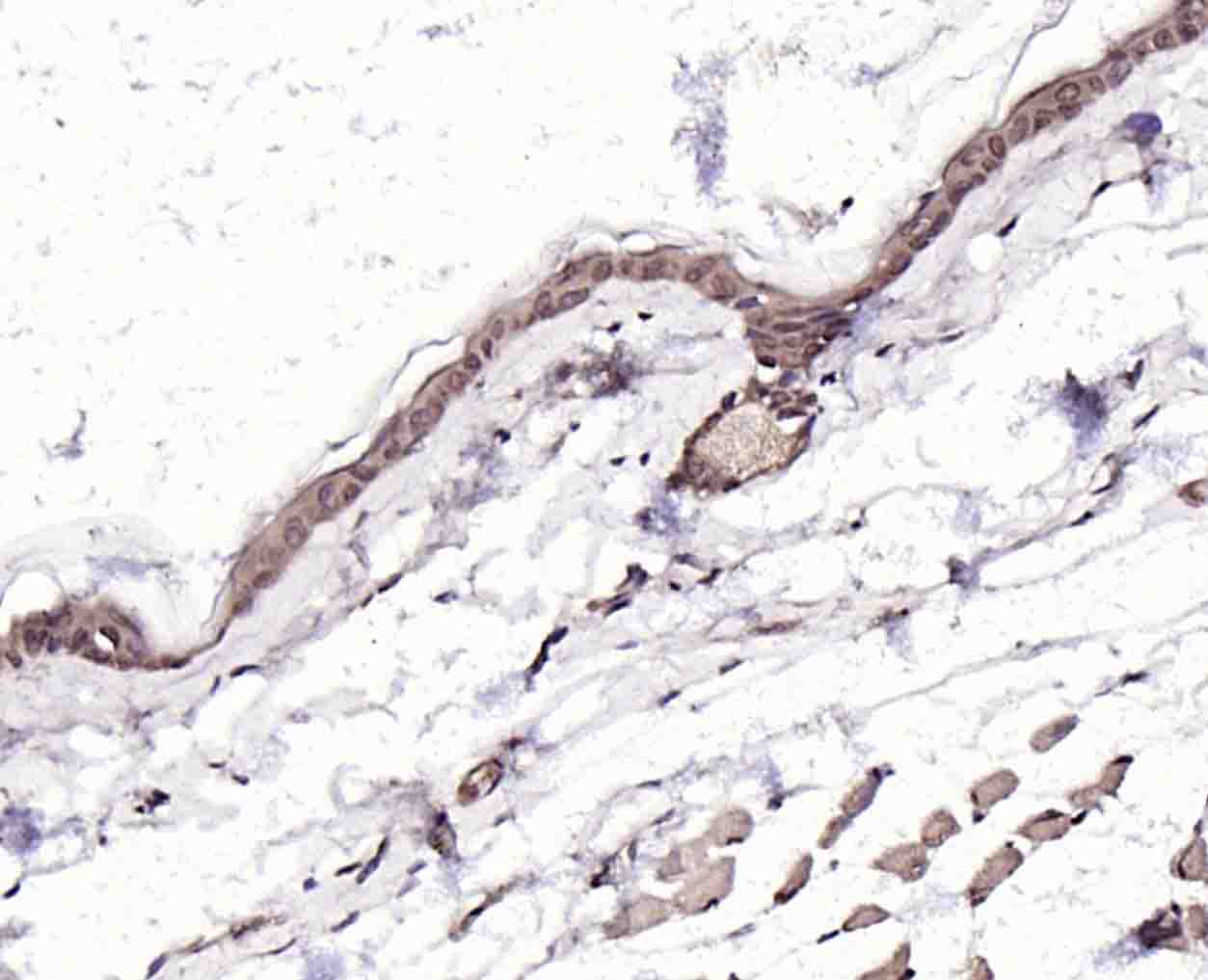
| 产品编号 | bs-11564R |
| 英文名称 | Gli2 Rabbit pAb |
| 中文名称 | 转录因子Gli2抗体 |
| 英文别名 | Gli 2; Gli-2; GLI family zinc finger 2; GLI kruppel family member 2; GLI Kruppel family member GLI2; GLI2; GLI2_HUMAN; Oncogene GLI2; Tax helper protein 2; Tax helper protein; Tax responsive element 2 holding protein; Tax responsive element 25 bp sequence binding protein; THP 2; THP; THP2; Zinc finger protein GLI2. |
| 产品应用 | IHC-P=1:100-500, IHC-F=1:100-500, IF=1:100-500 Not yet tested in other applications. |
| 交叉反应 | Human, Mouse, Rat (Dog, Pig, Cow, Horse, Rabbit) |
| 抗体来源 | Rabbit |
| 免疫原 | KLH conjugated synthetic peptide derived from human Gli2 |
| 亚型 | IgG |
| 性状 | Liquid |
| 纯化方法 | affinity purified by Protein A |
| 克隆类型 | Polyclonal |
| 理论分子量 | 168 kDa |
| 浓度 | 1mg/ml |
| 储存液 | 0.01M TBS (pH7.4) with 1% BSA, 0.02% Proclin300 and 50% Glycerol. |
| 研究领域 | Epigenetics and Nuclear Signaling > Transcription > Domain Families > Zinc Finger Neuroscience > Neurology process > Neural Signal Transduction Stem Cells > Signaling Pathways > Hedgehog > Nuclear |
| 亚基 | Interaction with ZIC |
| 亚细胞定位 | Nucleus. |
| 翻译后修饰 | Phosphorylated in vitro by ULK3. |
| 相似性 | Belongs to the GLI C2H2-type zinc-finger protein family. Contains 5 C2H2-type zinc fingers. |
| 功能 | FunctionActs as a transcriptional activator. May play a role during embryogenesis. Binds to the DNA sequence 5'-GAACCACCCA-3' which is part of the TRE-2S regulatory element that augments the Tax-dependent enhancer of human T-cell leukemia virus type 1. Implicated in the transduction of SHH signal. |
| 保存条件 | Shipped at 4℃. Store at -20℃ for one year. Avoid repeated freeze/thaw cycles. |
| 注意事项 | This product as supplied is intended for research use only, not for use in human, therapeutic or diagnostic applications. |
| 背景资料 | It has long been known that the overexpression of either Wnt-1 or the GLI proteins results in cancer; however, the molecular basis for this transformation was poorly understood. The Wnt-1 and GLI proteins have now been placed in a signaling cascade downstream of the mammalian homologs of the Drosophila hedgehog and patched proteins. The Drosophila segment polarity gene hedgehog (hh) encodes a secreted protein that appears to function in embryonic and imaginal disc patterning. The ptc gene, also identified as a Drosophila segment polarity gene, encodes the transmembrane protein patched, the expression of which is precisely regulated during embryonic development. Hedgehog has been shown to enhance the expression of the Wnt family of proteins through a signaling cascade involving the GLI transcription factors, while patched functions as a repressor opposing the effects of hedgehog. Mutations in the ptc gene, which result in unregulated hedgehog signaling, have been correlated with the most common type of cancer, basal cell carcinoma, which affects 750,000 individuals annually in the United States alone. |
| 应用 | 推荐稀释比例 |
| {IHC-P} | {1:100-500} |
| {IHC-F} | {1:100-500} |
| {IF} | {1:100-500} |



风险提示:丁香通仅作为第三方平台,为商家信息发布提供平台空间。用户咨询产品时请注意保护个人信息及财产安全,合理判断,谨慎选购商品,商家和用户对交易行为负责。对于医疗器械类产品,请先查证核实企业经营资质和医疗器械产品注册证情况。
文献和实验[IF={{ 3.73 }}] {Zhang, Qiang, et al. "Serotonin Receptor 2C and Insulin Secretion." PloS one 8.1 (2013): e54250.} {WB} {="Mouse"}
[IF={{ 2.705 }}] {Wu J et al. Nicotine inhibits murine Leydig cell differentiation and maturation via regulating Hedgehog signal pathway. Biochem Biophys Res Commun. 2019 Feb 26;510(1):1-7.} {WB} {Mouse}
[IF={{ 11.556 }}] {Chao Tang. et al. Hedgehog signaling is controlled by Rac1 activity. Theranostics. 2022; 12(3): 1303–1320} {WB,IP} {Mouse}
[IF={{ 11.4 }}] {Chao Tang. et al. GPR137-RAB8A activation promotes ovarian cancer development via the Hedgehog pathwayJ EXP CLIN CANC RES. 2025 Jan 24;44(1):22.} {IHC} {Human}
= NAL), appears to form upon oxidative cyclization of the nonfluorescent 2:1 lysine-HNE Michael adduct-Schiff base cross-link (Scheme 1). Polyclonal antibody (PAb) to the NAL-HNE fluorophore was raised in rabbit and found to be highly specific
GE Healthcare Benzamidine Sepharose™ 6B is p-aminobenzamidine covalently attached to Sepharose 6B by the epoxy coupling method. p-Aminobenzamidine (PAB), is a synthetic inhibitor of trypsin-like serine protease. Trypsin and trypsin
Nucleic Acid Programmable Protein Arrays: Versatile Tools for Array‐Based Functional Protein Studies
.g., Sigma) 50 mg/ml bis‐sulfosuccinimdylsuberate (BS3 ;Pierce, cat. no. PI 21580) in dimethylsulfoxide (DMSO) 5 mg/ml
技术资料暂无技术资料 索取技术资料






