相关产品推荐更多 >
万千商家帮你免费找货
0 人在求购买到急需产品
- 详细信息
- 文献和实验
- 技术资料
- 应用范围:
产品信息以Bioss网站为准
- 规格:
50ul/100ul/200ul
| 规格: | 50ul | 产品价格: | ¥1180.0 |
|---|---|---|---|
| 规格: | 100ul | 产品价格: | ¥1980.0 |
| 规格: | 200ul | 产品价格: | ¥2800.0 |
| 产品编号 | bs-21231R |
| 英文名称 | SLC25A33 Rabbit pAb |
| 中文名称 | 溶质载体家族25成员33抗体 |
| 英文别名 | BMSC MCP; BMSC-MCP; Bone marrow stromal cell mitochondrial carrier protein; HuBMSC MCP; HuBMSC-MCP; MGC4399; Mitochondrial carrier protein; Novel mitochondrial carrier protein; PNC1 protein; Protein PNC1; S2533_HUMAN; Slc25a33; Solute carrier family 25 member 33. |
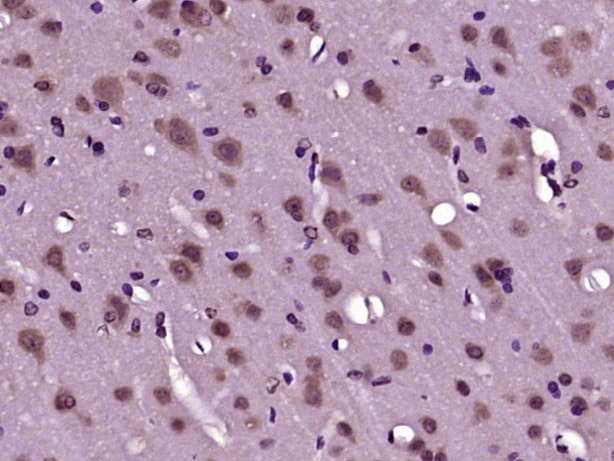
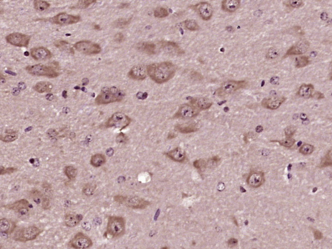
| 产品应用 | IHC-P=1:100-500, IHC-F=1:100-500, IF=1:100-500 Not yet tested in other applications. |
| 交叉反应 | Mouse, Rat (Human, Pig, Horse, Rabbit) |
| 抗体来源 | Rabbit |
| 免疫原 | KLH conjugated synthetic peptide derived from human SLC25A33 |
| 亚型 | IgG |
| 性状 | Liquid |
| 纯化方法 | affinity purified by Protein A |
| 克隆类型 | Polyclonal |
| 理论分子量 | 35 kDa |
| 浓度 | 1mg/ml |
| 储存液 | Preservative: 0.02% Proclin300, Constituents: 1% BSA, 0.01M PBS, pH7.4. |
| 研究领域 | Metabolism > Pathways and Processes > Mitochondrial Metabolism > Mitochondrial markers Metabolism > Types of disease > Cancer Signal Transduction > Metabolism > Mitochondrial |
| 亚细胞定位 | Mitochondrion inner membrane. |
| 组织特异性 | Expressed in the central nervous system. Also expressed in testis and skeletal muscle. Weakly expressed in heart, liver, kidney, prostate, colon and peripheral blood leukocytes. |
| 相似性 | Belongs to the mitochondrial carrier family. Contains 3 Solcar repeats. |
| 功能 | Mitochondrial transporter that imports/exports pyrimidine nucleotides into and from mitochondria (PubMed:25320081). Transports preferentially uracil, thymine, and cytosine (deoxy)nucleoside di- and triphosphates by an antiport mechanism (PubMed:25320081). Also transports guanine but not adenine (deoxy)nucleotides (PubMed:25320081). Is inhibited strongly by pyridoxal 5'-phosphate, 4,7-diphenyl-1,10-phenanthroline, tannic acid, and mercurials (mercury dichloride, mersalyl acid, p-hydroxymercuribenzoate) (PubMed:25320081). Participates in mitochondrial genome maintenance, regulation of mitochondrial membrane potential and mitochondrial respiration (PubMed:20453889). Upon INS or IGF1 stimulation regulates cell growth and proliferation by controlling mitochondrial DNA replication and transcription, the ratio of mitochondria-to nuclear-encoded components of the electron transport chain resulting in control of mitochondrial ROS production (PubMed:20453889, PubMed:17596519). Participates in dendritic cell endocytosis and may associate with mitochondrial oxidative phosphorylation (PubMed:14715278). |
| 保存条件 | Shipped at 4℃. Store at -20℃ for one year. Avoid repeated freeze/thaw cycles. |
| 注意事项 | This product as supplied is intended for research use only, not for use in human, therapeutic or diagnostic applications. |
| 背景资料 | SLC25A33 belongs to the SLC25 family of mitochondrial carrier proteins (Haitina et al., 2006 [PubMed 16949250]).[supplied by OMIM, Mar 2008] |
| 应用 | 推荐稀释比例 |
| {IHC-P} | {1:100-500} |
| {IHC-F} | {1:100-500} |
| {IF} | {1:100-500} |


风险提示:丁香通仅作为第三方平台,为商家信息发布提供平台空间。用户咨询产品时请注意保护个人信息及财产安全,合理判断,谨慎选购商品,商家和用户对交易行为负责。对于医疗器械类产品,请先查证核实企业经营资质和医疗器械产品注册证情况。
文献和实验= NAL), appears to form upon oxidative cyclization of the nonfluorescent 2:1 lysine-HNE Michael adduct-Schiff base cross-link (Scheme 1). Polyclonal antibody (PAb) to the NAL-HNE fluorophore was raised in rabbit and found to be highly specific
GE Healthcare Benzamidine Sepharose™ 6B is p-aminobenzamidine covalently attached to Sepharose 6B by the epoxy coupling method. p-Aminobenzamidine (PAB), is a synthetic inhibitor of trypsin-like serine protease. Trypsin and trypsin
Nucleic Acid Programmable Protein Arrays: Versatile Tools for Array‐Based Functional Protein Studies
.g., Sigma) 50 mg/ml bis‐sulfosuccinimdylsuberate (BS3 ;Pierce, cat. no. PI 21580) in dimethylsulfoxide (DMSO) 5 mg/ml
技术资料暂无技术资料 索取技术资料









