相关产品推荐更多 >

CHMP4B+CHMP4C Rabbit pAb, Cy5 conjugated(bs-7744R-Cy5)-100ul
¥2980
Keratin 80 Rabbit pAb(bs-16952R)-50ul/100ul/200ul
¥1180
Scratch 2 Rabbit pAb(bs-4440R)-50ul/100ul/200ul
¥1180
Connexin 43 Rabbit pAb, APC-Cy7 conjugated(bs-0651R-APC-Cy7)-100ul
¥2980
IL17A Rabbit pAb, HRP conjugated(bs-1183R-HRP)-100ul
¥2980
万千商家帮你免费找货
0 人在求购买到急需产品
- 详细信息
- 文献和实验
- 技术资料
- 应用范围:
产品信息以Bioss网站为准
- 规格:
50ul/100ul/200ul
| 规格: | 50ul | 产品价格: | ¥1180.0 |
|---|---|---|---|
| 规格: | 100ul | 产品价格: | ¥1980.0 |
| 规格: | 200ul | 产品价格: | ¥2800.0 |
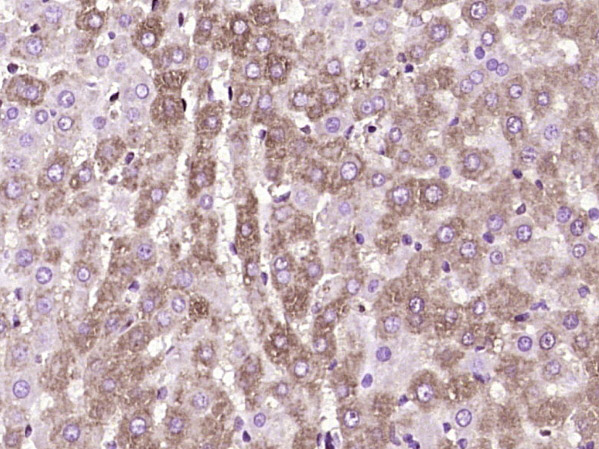
| 产品编号 | bs-21135R |
| 英文名称 | SDR-O Rabbit pAb |
| 中文名称 | 短链脱氢酶/还原酶SDRO抗体 |
| 英文别名 | DR9C7_HUMAN; FLJ16333; MGC126600; MGC126602; orphan short chain dehydrogenase/reductase; Orphan short-chain dehydrogenase/reductase; RDH-S; RDHS; retinol dehydrogenase similar protein; SDR O; SDR-O; Sdr9c7; SDRO; short chain dehydrogenase/reductase family 9C, member 7; Short-chain dehydrogenase/reductase family 9C member 7. |
| 产品应用 | IHC-P=1:100-500, IHC-F=1:100-500, IF=1:100-500 Not yet tested in other applications. |
| 交叉反应 | Rat (Human, Mouse, Pig, Horse, Rabbit) |
| 抗体来源 | Rabbit |
| 免疫原 | KLH conjugated synthetic peptide derived from human SDR-O |
| 亚型 | IgG |
| 性状 | Liquid |
| 纯化方法 | affinity purified by Protein A |
| 克隆类型 | Polyclonal |
| 理论分子量 | 35 kDa |
| 浓度 | 1mg/ml |
| 储存液 | Preservative: 0.02% Proclin300, Constituents: 1% BSA, 0.01M PBS, pH7.4. |
| 亚细胞定位 | Cytoplasm. Granular distribution in the whole cell. |
| 组织特异性 | Highly expressed in liver. |
| 相似性 | Belongs to the short-chain dehydrogenases/reductases (SDR) family. |
| 功能 | Displays weak conversion of all-trans-retinal to all-trans-retinol in the presence of NADH. Has apparently no steroid dehydrogenase activity. |
| 保存条件 | Shipped at 4℃. Store at -20℃ for one year. Avoid repeated freeze/thaw cycles. |
| 注意事项 | This product as supplied is intended for research use only, not for use in human, therapeutic or diagnostic applications. |
| 应用 | 推荐稀释比例 |
| {IHC-P} | {1:100-500} |
| {IHC-F} | {1:100-500} |
| {IF} | {1:100-500} |

风险提示:丁香通仅作为第三方平台,为商家信息发布提供平台空间。用户咨询产品时请注意保护个人信息及财产安全,合理判断,谨慎选购商品,商家和用户对交易行为负责。对于医疗器械类产品,请先查证核实企业经营资质和医疗器械产品注册证情况。
文献和实验= NAL), appears to form upon oxidative cyclization of the nonfluorescent 2:1 lysine-HNE Michael adduct-Schiff base cross-link (Scheme 1). Polyclonal antibody (PAb) to the NAL-HNE fluorophore was raised in rabbit and found to be highly specific
GE Healthcare Benzamidine Sepharose™ 6B is p-aminobenzamidine covalently attached to Sepharose 6B by the epoxy coupling method. p-Aminobenzamidine (PAB), is a synthetic inhibitor of trypsin-like serine protease. Trypsin and trypsin
Nucleic Acid Programmable Protein Arrays: Versatile Tools for Array‐Based Functional Protein Studies
.g., Sigma) 50 mg/ml bis‐sulfosuccinimdylsuberate (BS3 ;Pierce, cat. no. PI 21580) in dimethylsulfoxide (DMSO) 5 mg/ml
技术资料暂无技术资料 索取技术资料





