相关产品推荐更多 >

BDNF Rabbit pAb, BF350 conjugated(bs-4989R-BF350)-100ul
¥2980
Cytokeratin 4 Rabbit pAb, PE-Cy5.5 conjugated(bs-1006R-PE-Cy5.5)-100ul
¥2980
SEMA4A Rabbit pAb(bs-7519R)-50ul/100ul/200ul
¥1180
H2AX (Ubiquityl Lys119) Rabbit pAb, BF594 conjugated(bs-8571R-BF594)-100ul
¥2980
FLJ39155 Rabbit pAb, Biotin conjugated(bs-16136R-Bio)-100ul
¥2980
万千商家帮你免费找货
0 人在求购买到急需产品
- 详细信息
- 技术资料
- 应用范围:
产品信息以Bioss网站为准
- 规格:
50ul/100ul/200ul
| 规格: | 50ul | 产品价格: | ¥1180.0 |
|---|---|---|---|
| 规格: | 100ul | 产品价格: | ¥1980.0 |
| 规格: | 200ul | 产品价格: | ¥2800.0 |
| 产品编号 | bs-12672R |
| 英文名称 | TMPRSS11D Rabbit pAb |
| 中文名称 | 跨膜丝氨酸蛋白酶11D抗体 |
| 英文别名 | Airway trypsin like protease; Airway trypsin-like protease; HAT; MGC150587; MGC150588; TM11D_HUMAN; TMPRSS11D; Transmembrane protease serine 11D; Transmembrane protease serine 11D catalytic chain; Transmembrane protease serine 11D precursor. |
| 产品应用 | IHC-P=1:100-500, IHC-F=1:100-500, IF=1:100-500 Not yet tested in other applications. |
| 交叉反应 | Human |
| 抗体来源 | Rabbit |
| 免疫原 | KLH conjugated synthetic peptide derived from human TMPRSS11D |
| 亚型 | IgG |
| 性状 | Liquid |
| 纯化方法 | affinity purified by Protein A |
| 克隆类型 | Polyclonal |
| 理论分子量 | 46 kDa |
| 浓度 | 1mg/ml |
| 储存液 | 0.01M TBS (pH7.4) with 1% BSA, 0.02% Proclin300 and 50% Glycerol. |
| 研究领域 | Cell Biology > Proteolysis / Ubiquitin > Proteolytic enzymes > Serine protease > TMPRSS |
| 亚细胞定位 | Secreted. Activated by cleavage and secreted and Cell membrane. Activated by cleavage and secreted. |
| 组织特异性 | Located in the cells of the submucosal serous glands of the bronchi and trachea. |
| 相似性 | Belongs to the peptidase S1 family. Contains 1 peptidase S1 domain. Contains 1 SEA domain. |
| 功能 | May play some biological role in the host defense system on the mucous membrane independently of or in cooperation with other substances in airway mucous or bronchial secretions. |
| 保存条件 | Shipped at 4℃. Store at -20℃ for one year. Avoid repeated freeze/thaw cycles. |
| 注意事项 | This product as supplied is intended for research use only, not for use in human, therapeutic or diagnostic applications. |
| 背景资料 | This gene encodes a trypsin-like serine protease released from the submucosal serous glands onto mucous membrane. It is a type II integral membrane protein and has 29-38% identity in the sequence of the catalytic region with human hepsin, enteropeptidase, acrosin, and mast cell tryptase. The noncatalytic region has little similarity to other known proteins. This protein may play some biological role in the host defense system on the mucous membrane independently of or in cooperation with other substances in airway mucous or bronchial secretions. [provided by RefSeq, Jul 2008] |
| 应用 | 推荐稀释比例 |
| {IHC-P} | {1:100-500} |
| {IHC-F} | {1:100-500} |
| {IF} | {1:100-500} |

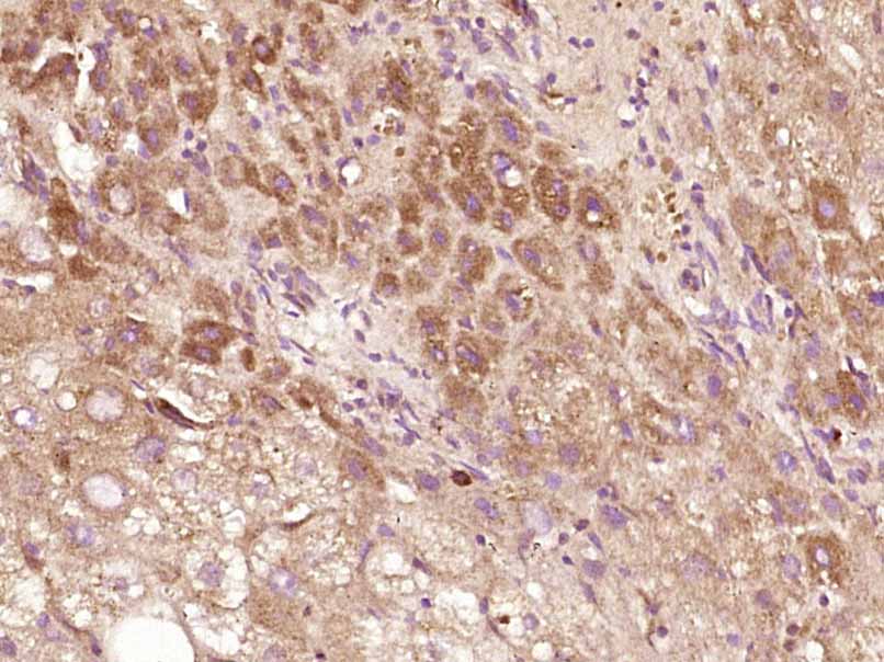
Paraformaldehyde-fixed, paraffin embedded (Human liver carcinoma); Antigen retrieval by boiling in sodium citrate buffer (pH6.0) for 15min; Block endogenous peroxidase by 3% hydrogen peroxide for 20 minutes; Blocking buffer (normal goat serum) at 37°C for 30min; Antibody incubation with (TM11D) Polyclonal Antibody, Unconjugated (bs-12672R) at 1:400 overnight at 4°C, followed by operating according to SP Kit(Rabbit) (sp-0023) instructionsand DAB staining.
风险提示:丁香通仅作为第三方平台,为商家信息发布提供平台空间。用户咨询产品时请注意保护个人信息及财产安全,合理判断,谨慎选购商品,商家和用户对交易行为负责。对于医疗器械类产品,请先查证核实企业经营资质和医疗器械产品注册证情况。
技术资料暂无技术资料 索取技术资料
TMPRSS11D Rabbit pAb(bs-12672R)-50ul/100ul/200ul
¥1180 - 2800





