相关产品推荐更多 >

KRT31 Rabbit pAb(bs-23880R)-50ul/100ul/200ul
¥1180
Agrin Rabbit pAb, PE conjugated(bs-10219R-PE)-100ul
¥2980
Cytochrome C Mouse mAb, BF555 conjugated(bsm-33193M-BF555)-100ul
¥2980
CD45 Mouse mAb, PE-Cy5 conjugated(bsm-33052M-PE-Cy5)-100ul
¥2980
Cyclin E1 Rabbit pAb, PE-Cy5.5 conjugated(bs-0573R-PE-Cy5.5)-100ul
¥2980
万千商家帮你免费找货
0 人在求购买到急需产品
- 详细信息
- 文献和实验
- 技术资料
- 应用范围:
产品信息以Bioss网站为准
- 规格:
50ul/100ul/200ul
| 规格: | 50ul | 产品价格: | ¥1180.0 |
|---|---|---|---|
| 规格: | 100ul | 产品价格: | ¥1980.0 |
| 规格: | 200ul | 产品价格: | ¥2800.0 |
| 产品编号 | bs-12594R |
| 英文名称 | phospho-PDCD4 (Ser67) Rabbit pAb |
| 中文名称 | 磷酸化凋亡相关蛋白4抗体 |
| 英文别名 | PDCD4(phospho S67); p-PDCD4(phospho S67); Death up-regulated gene protein; Dug; H731; Ma3; MGC33046; MGC33047; Neoplastic transformation inhibitor; Neoplastic transformation inhibitor protein; Nuclear antigen H731; Nuclear antigen H731 like; Nuclear antigen H731 like protein; Nuclear antigen H731-like; PDCD 4; Pdcd4; PDCD4_HUMAN; Programmed cell death 4; programmed cell death 4(neoplastic transformation inhibitor); Programmed cell death protein 4; Protein 197/15a; Protein MA-3; Tis; Topoisomerase-inhibitor suppressed protein. |
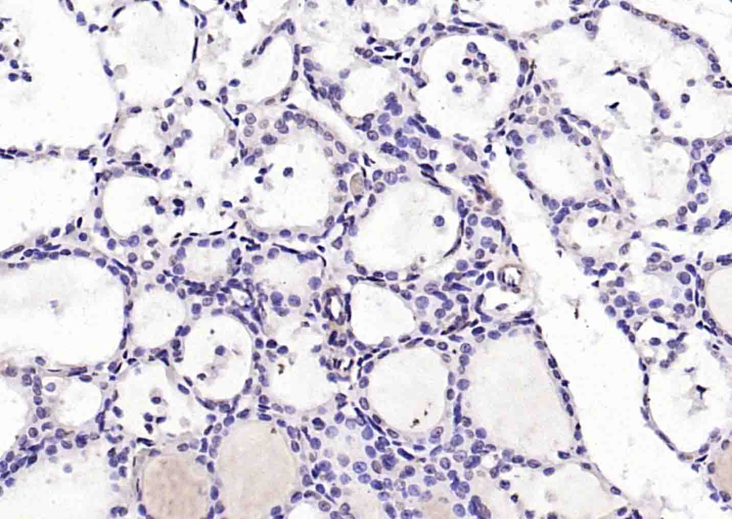
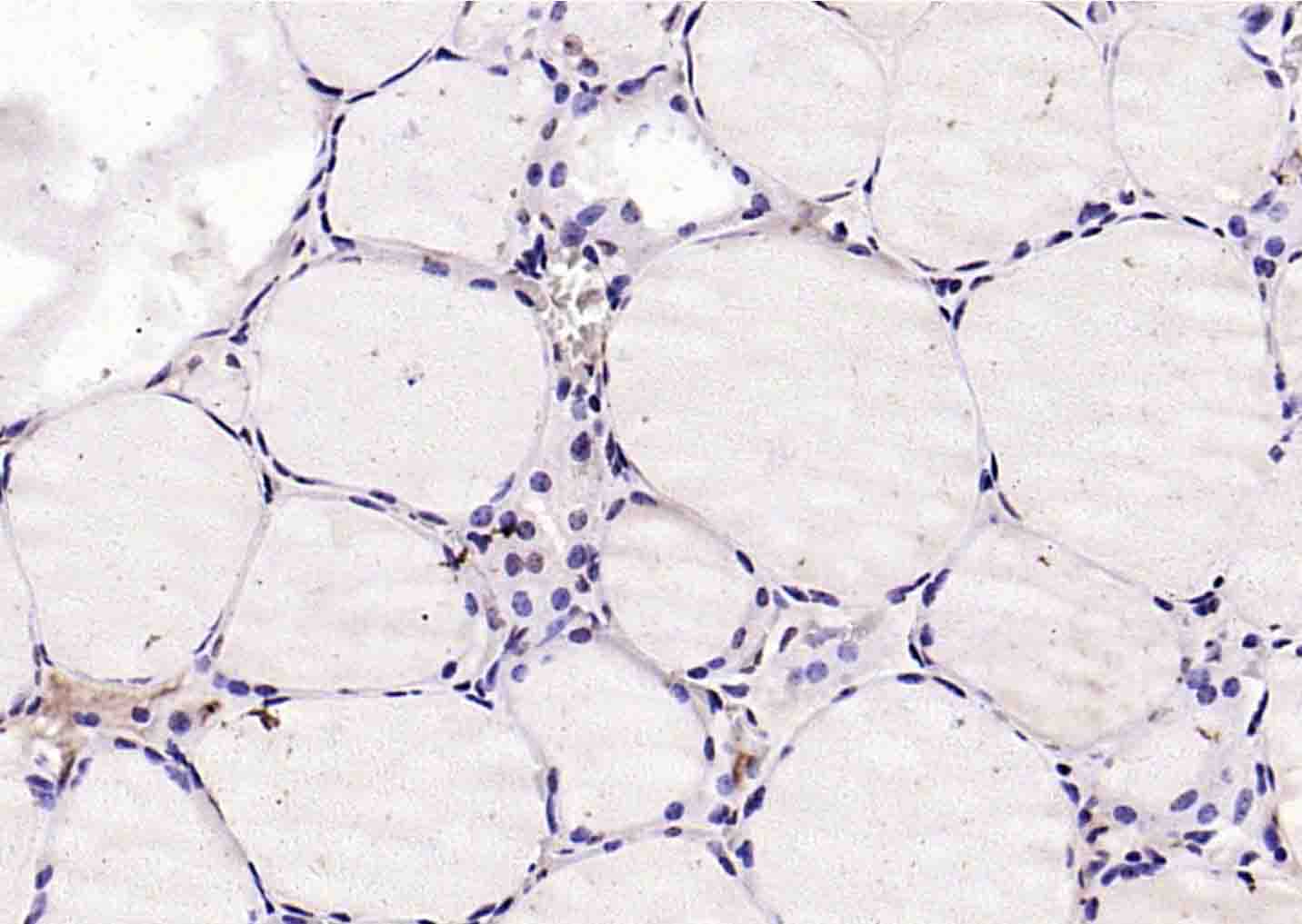
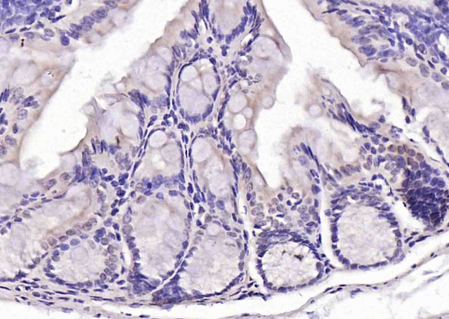
| 产品应用 | IHC-P=1:100-500, IHC-F=1:100-500, ICC/IF=1:100-500, IF=1:100-500, Flow-Cyt=2ug/Test Not yet tested in other applications. |
| 交叉反应 | Human, Mouse, Rat, HepG2 (Chicken, Dog, Pig, Cow, Horse, Rabbit, Sheep) |
| 抗体来源 | Rabbit |
| 免疫原 | KLH conjugated synthesised phosphopeptide derived from human PDCD4 around the phosphorylation site of Ser67 |
| 亚型 | IgG |
| 性状 | Liquid |
| 纯化方法 | affinity purified by Protein A |
| 克隆类型 | Polyclonal |
| 理论分子量 | 51 kDa |
| 浓度 | 1mg/ml |
| 储存液 | 0.01M TBS (pH7.4) with 1% BSA, 0.02% Proclin300 and 50% Glycerol. |
| 研究领域 | Cancer > Cell Death > Apoptosis Cancer > Cell Death > Apoptosis > Nucleus Cancer > Invasion/microenvironment > Apoptosis Cell Biology > Apoptosis > Nucleus Cell Biology > Cell Cycle > Cell Cycle Inhibitors Epigenetics and Nuclear Signaling > Transcription > Other factors |
| 亚基 | Interacts (via MI domains) with EIF4A2 (By similarity). Interacts (via MI domains) with EIF4A1 (via N-terminal domain). Heterotrimer with EIF4A1; one molecule of PDCD4 binds two molecules of EIF4A1. Interacts with EIF4G1. May form a complex with EIF4A1 and EIF4G1. The interaction between PDCD4 and EIF4A1 interferes with the interaction between EIF4A1 and EIF4G. When phosphorylated, interacts with BTRC and FBXW11. |
| 亚细胞定位 | Nucleus. Cytoplasm. Shuttles between the nucleus and cytoplasm. Predominantly nuclear under normal growth conditions, and when phosphorylated at Ser-457. Exported from the nucleus in the absence of serum. |
| 组织特异性 | Up-regulated in proliferative cells. Highly expressed in epithelial cells of the mammary gland. Reduced expression in lung cancer and colon carcinoma. |
| 翻译后修饰 | Polyubiquitinated, leading to its proteasomal degradation. Rapidly degraded in response to mitogens. Phosphorylation of the phosphodegron promotes interaction with BTRC and proteasomal degradation. |
| 相似性 | Belongs to the PDCD4 family. Contains 2 MI domains. |
| 功能 | Inhibits translation initiation and cap-dependent translation. May excert its function by hindering the interaction between EIF4A1 and EIF4G. Inhibits the helicase activity of EIF4A. Modulates the activation of JUN kinase. Down-regulates the expression of MAP4K1, thus inhibiting events important in driving invasion, namely, MAPK85 activation and consequent JUN-dependent transcription. May play a role in apoptosis. Tumor suppressor. Inhibits tumor promoter-induced neoplastic transformation. Binds RNA. |
| 保存条件 | Shipped at 4℃. Store at -20℃ for one year. Avoid repeated freeze/thaw cycles. |
| 注意事项 | This product as supplied is intended for research use only, not for use in human, therapeutic or diagnostic applications. |
| 背景资料 | This gene is a tumor suppressor and encodes a protein that binds to the eukaryotic translation initiation factor 4A1 and inhibits its function by preventing RNA binding. Alternative splicing results in multiple transcript variants. [provided by RefSeq, Dec 2010] |
| 应用 | 推荐稀释比例 |
| {IHC-P} | {1:100-500} |
| {IHC-F} | {1:100-500} |
| {ICC/IF} | {1:100-500} |
| {IF} | {1:100-500} |
| {Flow-Cyt} | {2ug/Test} |



Primary Antibody (green line): Rabbit Anti-phospho-PDCD4 (Ser67) antibody (bs-12594R)
Dilution:2ug/Test;
Secondary Antibody(white blue line): Goat anti-rabbit IgG-FITC
Dilution: 0.5ug/Test.
Isotype control(orange line): Normal Rabbit IgG
Protocol
The cells were fixed with 4% PFA (10min at room temperature)and then permeabilized with 90% ice-cold methanol for 20 min at -20℃, The cells were then incubated in 5%BSA to block non-specific protein-protein interactions for 30 min at room temperature .Cells stained with Primary Antibody for 30 min at room temperature. The secondary antibody used for 40 min at room temperature. Acquisition of 20,000 events was performed.



风险提示:丁香通仅作为第三方平台,为商家信息发布提供平台空间。用户咨询产品时请注意保护个人信息及财产安全,合理判断,谨慎选购商品,商家和用户对交易行为负责。对于医疗器械类产品,请先查证核实企业经营资质和医疗器械产品注册证情况。
文献和实验:使用 Anti-phospho-Akt (Ser473) Rabbit mAb 对石蜡包埋的人乳腺癌组织进行免疫组织化学分析。(图 A)使用免疫组化试剂盒M&R HRP/DAB Detection IHC Kit,抗体 1:100 稀释;(图 B) 采用普通免疫组化试剂盒,抗体 1:25 稀释。 图 6 免疫组化实验检测 Erk1/2 表达 注:使用 Anti-Erk1/2 Mouse mAb与p44/42 MAPK (Erk1/2)Rabbit mAb 对正常小鼠心脏组织进行免疫
at 10, 25, and 50 μM). At 24 h post-treatment, celllysates were obtained; SDS-PAGE and Western blotting were performed as described in Section 3, Methods. AR-A014418dose-dependent decreases of phospho-β-catenin (Ser33/37) and phospho-glycogen synthase
(Ser473)(193H12)Rabbit mAb,1:300,稀释,二抗是驴抗兔,1:2000,我是实验室的新手,刚呆俩月,受 此挫折,一头雾水,请过来人或者有经验的同学帮忙解答怎样解决,非常感谢! 碧峤 pAkt有两个位点,Ser473和Thr308,其中Ser473相对容易显色。如果显色失败,可能的原因:1 上样量过少,我们一般都是30μg;2 一抗孵育时间过短,我们一般24h~48h;3 一抗是否工作有待排除 米宝
技术资料暂无技术资料 索取技术资料






