相关产品推荐更多 >

IFT20 Rabbit pAb, APC conjugated(bs-15561R-APC)-100ul
¥2980
IFT20 Rabbit pAb, BF405 conjugated(bs-15561R-BF405)-100ul
¥2980
ELMOD2 Rabbit pAb(bs-14568R)-50ul/100ul/200ul
¥1180
CAMKK2 Rabbit pAb, PerCP-Cy5.5 conjugated(bs-6253R-PerCP-Cy5.5)-100ul
¥2980
p70 S6 Kinase Beta Rabbit pAb(bs-3617R)-50ul/100ul/200ul
¥1180
万千商家帮你免费找货
0 人在求购买到急需产品
- 详细信息
- 文献和实验
- 技术资料
- 应用范围:
产品信息以Bioss网站为准
- 规格:
50ul/100ul/200ul
| 规格: | 50ul | 产品价格: | ¥1180.0 |
|---|---|---|---|
| 规格: | 100ul | 产品价格: | ¥1980.0 |
| 规格: | 200ul | 产品价格: | ¥2800.0 |
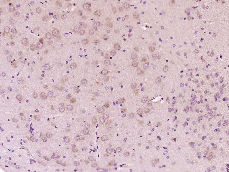
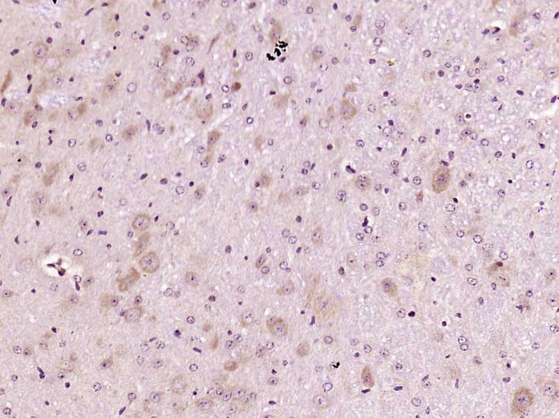
| 产品编号 | bs-17891R |
| 英文名称 | MTO1 Rabbit pAb |
| 中文名称 | MTO1蛋白抗体 |
| 英文别名 | mitochondrial MTO1 3; mitochondrial translation optimization 1 homolog; protein MTO1 homolog, mitochondrial precursor. |
| 产品应用 | IHC-P=1:100-500, IHC-F=1:100-500, IF=1:100-500 Not yet tested in other applications. |
| 交叉反应 | Mouse, Rat (Human, Cow, Horse, Rabbit, Sheep) |
| 抗体来源 | Rabbit |
| 免疫原 | KLH conjugated synthetic peptide derived from human MTO1 |
| 亚型 | IgG |
| 性状 | Liquid |
| 纯化方法 | affinity purified by Protein A |
| 克隆类型 | Polyclonal |
| 理论分子量 | 77 kDa |
| 浓度 | 1mg/ml |
| 储存液 | 0.01M TBS (pH7.4) with 1% BSA, 0.02% Proclin300 and 50% Glycerol. |
| 研究领域 | Epigenetics and Nuclear Signaling > DNA / RNA > Translation > Mito. Translation Epigenetics and Nuclear Signaling > DNA / RNA > Translation > tRNAs Metabolism > Pathways and Processes > Mitochondrial Metabolism > Mitochondrial markers Metabolism > Pathways and Processes > Mitochondrial Metabolism > Mitochondrial translation Tags & Cell Markers > Subcellular Markers > Organelles > Mitochondria |
| 亚细胞定位 | Mitochondrial |
| 组织特异性 | Ubiquitously expressed in various tissues, but with a markedly elevated expression in tissues of high metabolic rates including cochlea. |
| 相似性 | Belongs to the MnmG family. |
| 功能 | The Protein MTO1 homolog is involved in the 5 carboxymethylaminomethyl modification (mnm(5)s(2)U34) of the wobble uridine base in mitochondrial tRNAs. It is ubiquitously expressed in various tissues, but with a markedly elevated expression in tissues of high metabolic rates including cochlea. The protein belongs to the gidA family. |
| 保存条件 | Shipped at 4℃. Store at -20℃ for one year. Avoid repeated freeze/thaw cycles. |
| 注意事项 | This product as supplied is intended for research use only, not for use in human, therapeutic or diagnostic applications. |
| 背景资料 | This gene encodes a mitochondrial protein thought to be involved in mitochondrial tRNA modification. The encoded protein may also play a role in the expression of the non-syndromic and aminoglycoside-induced deafness phenotypes associated with a specific mutation in the mitochondrial 12S rRNA gene. Multiple transcript variants encoding different isoforms have been found for this gene. [provided by RefSeq, Jul 2008] |
| 应用 | 推荐稀释比例 |
| {IHC-P} | {1:100-500} |
| {IHC-F} | {1:100-500} |
| {IF} | {1:100-500} |


风险提示:丁香通仅作为第三方平台,为商家信息发布提供平台空间。用户咨询产品时请注意保护个人信息及财产安全,合理判断,谨慎选购商品,商家和用户对交易行为负责。对于医疗器械类产品,请先查证核实企业经营资质和医疗器械产品注册证情况。
文献和实验= NAL), appears to form upon oxidative cyclization of the nonfluorescent 2:1 lysine-HNE Michael adduct-Schiff base cross-link (Scheme 1). Polyclonal antibody (PAb) to the NAL-HNE fluorophore was raised in rabbit and found to be highly specific
GE Healthcare Benzamidine Sepharose™ 6B is p-aminobenzamidine covalently attached to Sepharose 6B by the epoxy coupling method. p-Aminobenzamidine (PAB), is a synthetic inhibitor of trypsin-like serine protease. Trypsin and trypsin
GE Healthcare Benzamidine Sepharose™ 6B is p-aminobenzamidine covalently attached to Sepharose 6B by the epoxy coupling method. p-Aminobenzamidine (PAB), is a synthetic inhibitor of trypsin-like serine protease. Trypsin and trypsin
技术资料暂无技术资料 索取技术资料





