相关产品推荐更多 >
万千商家帮你免费找货
0 人在求购买到急需产品
- 详细信息
- 文献和实验
- 技术资料
- 应用范围:
产品信息以Bioss网站为准
- 规格:
50ul/100ul/200ul
| 规格: | 50ul | 产品价格: | ¥1180.0 |
|---|---|---|---|
| 规格: | 100ul | 产品价格: | ¥1980.0 |
| 规格: | 200ul | 产品价格: | ¥2800.0 |
| 产品编号 | bs-23315R |
| 英文名称 | MCL1 Rabbit pAb |
| 中文名称 | 髓样细胞白血病-1抗体 |
| 英文别名 | myeloid cell leukemia 1; myeloid cell leukemia sequence 1; MCL-1; MCL1L; MCL 1; mcl1/EAT; MGC104264; MGC1839; TM; MCL1S; EAT) Bcl 2 related protein EAT/mcl1; BCL2 related; BCL2L3; EAT; Induced myeloid leukemia cell differentiation protein Mcl 1; myeloid cell leukemia sequence 1; Myeloid cell leukemia sequence 1 BCL2 related; Myeloid cell leukemia sequence 1 isoform 1; OTTHUMP00000032794; OTTHUMP00000032795; TM; bcl2-L-3; BCL2L3; EAT; Mcl-1; MCL1-ES; mcl1/EAT. |
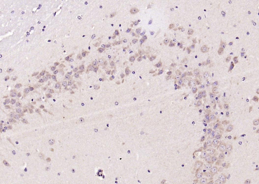
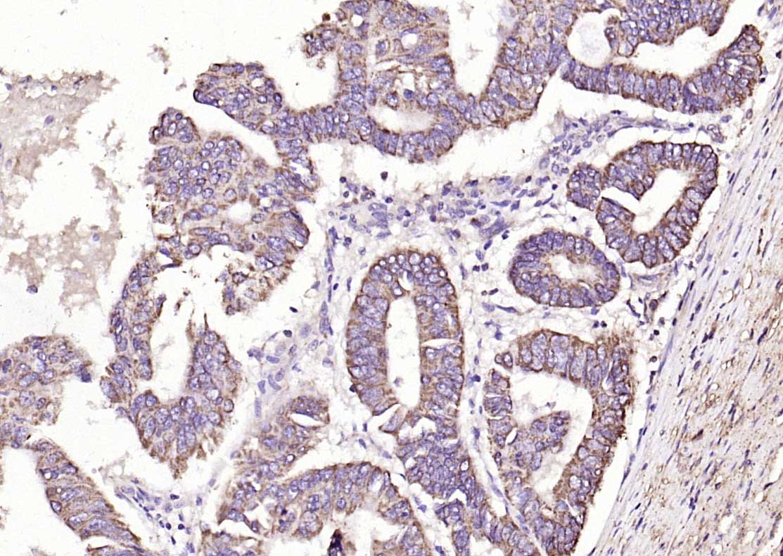
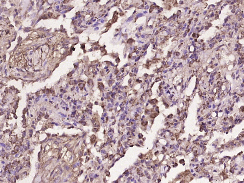
| 产品应用 | WB=1:500-2000, IHC-P=1:100-500, IHC-F=1:100-500, IF=1:100-500, Flow-Cyt=1ug/Test Not yet tested in other applications. |
| 交叉反应 | Human, Mouse, Rat (Dog, Pig, Horse, Rabbit) |
| 抗体来源 | Rabbit |
| 免疫原 | KLH conjugated synthetic peptide derived from human MCL1 |
| 亚型 | IgG |
| 性状 | Liquid |
| 纯化方法 | affinity purified by Protein A |
| 克隆类型 | Polyclonal |
| 理论分子量 | 39 kDa |
| 浓度 | 1mg/ml |
| 储存液 | 0.01M TBS (pH7.4) with 1% BSA, 0.02% Proclin300 and 50% Glycerol. |
| 研究领域 | Cancer > Cell Death > Apoptosis > Apoptosis Markers > Bcl 2 family Cancer > Cell Death > Apoptosis > Metabolism Cancer > Invasion/microenvironment > Apoptosis > Bcl 2 family Cell Biology > Apoptosis > Intracellular > Bcl2 Family Metabolism > Pathways and Processes > Metabolism processes > Apoptosis |
| 亚基 | Interacts with BAD, BOK, BIK and BFM (By similarity). Interacts with PMAIP1. Isoform 1 interacts with BAX, BAK1, TPT1 and BCL2L11. Heterodimer of isoform 1 and isoform 2. Homodimers of isoform 1 or isoform 2 are not detected. Isoform 2 does not interact with pro-apoptotic BCL2-related proteins. |
| 亚细胞定位 | Membrane; Single-pass membrane protein (Potential). Cytoplasm. Mitochondrion. Nucleus, nucleoplasm. Note=Cytoplasmic, associated with mitochondria. |
| 翻译后修饰 | Cleaved by CASP3 during apoptosis. In intact cells cleavage occurs preferentially after Asp-127, yielding a pro-apoptotic 28 kDa C-terminal fragment. Rapidly degraded in the absence of phosphorylation on Thr-163 in the PEST region. Phosphorylated on Thr-163. Treatment with taxol or okadaic acid induces phosphorylation on additional sites. |
| 相似性 | Belongs to the Bcl-2 family. |
| 功能 | Involved in the regulation of apoptosis versus cell survival, and in the maintenance of viability but not of proliferation. Mediates its effects by interactions with a number of other regulators of apoptosis. Isoform 1 inhibits apoptosis. Isoform 2 promotes apoptosis. |
| 保存条件 | Shipped at 4℃. Store at -20℃ for one year. Avoid repeated freeze/thaw cycles. |
| 注意事项 | This product as supplied is intended for research use only, not for use in human, therapeutic or diagnostic applications. |
| 背景资料 | Mcl1 is an anti-apoptotic member of Bcl2 family originally isolated from the ML1 human myeloid leukemia cell line during phorbol ester-induced differentiation along the monocyte/macrophage pathway. Mcl1 localizes to the mitochondria, interacts with and antagonizes pro-apoptotic Bcl2 family members, and inhibits apoptosis by a number of cytotoxic stimuli. It is involved in programing of differentiation and concomitant maintenance of viability but not of proliferation. Isoform 1 inhibits apoptosis while isoform 2 promotes it. Expression increases early during phorbol-ester induced differentiation along the monocyte/macrophage pathway in myeloid leukemia cell lines ML1. |
| 应用 | 推荐稀释比例 |
| {WB} | {1:500-2000} |
| {IHC-P} | {1:100-500} |
| {IHC-F} | {1:100-500} |
| {IF} | {1:100-500} |
| {Flow-Cyt} | {1ug/Test} |



Primary Antibody (green line): Rabbit Anti-MCL1 antibody (bs-23315R)
Dilution: 1μg /10^6 cells;
Isotype Control Antibody (orange line): Rabbit IgG .
Secondary Antibody : Goat anti-rabbit IgG-FITC
Dilution: 1μg /test.
Protocol
The cells were fixed with 4% PFA (10min at room temperature)and then permeabilized with 90% ice-cold methanol for 20 min at-20℃. The cells were then incubated in 5%BSA to block non-specific protein-protein interactions for 30 min at room temperature .Cells stained with Primary Antibody for 30 min at room temperature. The secondary antibody used for 40 min at room temperature. Acquisition of 20,000 events was performed.

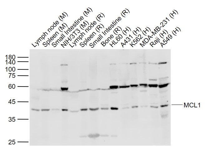
Lane 1: Lymph node (Mouse) Lysate at 40 ug
Lane 2: Spleen (Mouse) Lysate at 40 ug
Lane 3: Small intestine (Mouse) Lysate at 40 ug
Lane 4: NIH/3T3 (Mouse) Cell Lysate at 30 ug
Lane 5: Lymph node (Rat) Lysate at 40 ug
Lane 6: Spleen (Rat) Lysate at 40 ug
Lane 7: Small intestine (Rat) Lysate at 40 ug
Lane 8: Bone (Rat) Lysate at 40 ug
Lane 9: HL60 (Human) Cell Lysate at 30 ug
Lane 10: A431 (Human) Cell Lysate at 30 ug
Lane 11: K562 (Human) Cell Lysate at 30 ug
Lane 12: MDA-MB-231 (Human) Cell Lysate at 30 ug
Lane 13: Raji (Human) Cell Lysate at 30 ug
Lane 14: A549 (Human) Cell Lysate at 30 ug
Primary: Anti-MCL1 (bs-23315R) at 1/1000 dilution
Secondary: IRDye800CW Goat Anti-Rabbit IgG at 1/20000 dilution
Predicted band size: 39 kD
Observed band size: 40 kD


风险提示:丁香通仅作为第三方平台,为商家信息发布提供平台空间。用户咨询产品时请注意保护个人信息及财产安全,合理判断,谨慎选购商品,商家和用户对交易行为负责。对于医疗器械类产品,请先查证核实企业经营资质和医疗器械产品注册证情况。
文献和实验[IF={{ 6.388 }}] {Weiyi Zhang. et al. Cinnamaldehyde induces apoptosis and enhances anti-colorectal cancer activity via covalent binding to HSPD1. PHYTOTHER RES. 2023 Apr;:} {WB} {Human}
[IF={{ 6.384 }}] {Xiaowei Qin. et al. Neddylation inactivation affects cell cycle and apoptosis in sheep follicular granulosa cells. J CELL PHYSIOL. 2022 May 16} {WB} {Sheep}
[IF={{ 4.8 }}] {Jianing Ma. et al. Esculetin inhibits the PI3K/Akt/mTOR pathway and enhances anti-colorectal cancer activity via binding to ENO1. FRONT PHARMACOL. 2025 Jul;16:} {WB} {Human}
= NAL), appears to form upon oxidative cyclization of the nonfluorescent 2:1 lysine-HNE Michael adduct-Schiff base cross-link (Scheme 1). Polyclonal antibody (PAb) to the NAL-HNE fluorophore was raised in rabbit and found to be highly specific
GE Healthcare Benzamidine Sepharose™ 6B is p-aminobenzamidine covalently attached to Sepharose 6B by the epoxy coupling method. p-Aminobenzamidine (PAB), is a synthetic inhibitor of trypsin-like serine protease. Trypsin and trypsin
Nucleic Acid Programmable Protein Arrays: Versatile Tools for Array‐Based Functional Protein Studies
.g., Sigma) 50 mg/ml bis‐sulfosuccinimdylsuberate (BS3 ;Pierce, cat. no. PI 21580) in dimethylsulfoxide (DMSO) 5 mg/ml
技术资料暂无技术资料 索取技术资料









