相关产品推荐更多 >
万千商家帮你免费找货
0 人在求购买到急需产品
- 详细信息
- 文献和实验
- 技术资料
- 应用范围:
产品信息以Bioss网站为准
- 规格:
50ul/100ul/200ul/200ug
| 规格: | 50ul | 产品价格: | ¥1180.0 |
|---|---|---|---|
| 规格: | 100ul | 产品价格: | ¥1980.0 |
| 规格: | 200ul | 产品价格: | ¥2800.0 |
| 规格: | 200ug | 产品价格: | ¥5600.0 |
| 产品编号 | bsm-4792M |
| 英文名称 | CEA Mouse mAb |
| 中文名称 | 癌胚抗原单克隆抗体 |
| 英文别名 | Carcinoembryonic antigen; Carcinoembryonic antigen related cell adhesion molecule 5; Carcinoembryonic antigen-related cell adhesion molecule 5; CD66e; CD66e antigen; CEACAM5; CEAM5_HUMAN; DKFZp781M2392; Meconium antigen 100. |
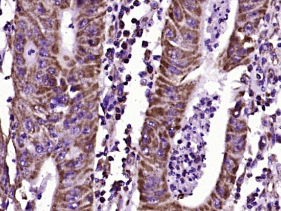
| 产品应用 | WB=1:500-2000, IHC-P=1:100-500, IHC-F=1:400-800, IF=1:100-500 Not yet tested in other applications. |
| 交叉反应 | Human |
| 抗体来源 | Mouse |
| 免疫原 | KLH conjugated synthetic peptide derived from human CEA/CD66e/CEACAM5 |
| 亚型 | IgG |
| 性状 | Liquid |
| 纯化方法 | affinity purified by Protein A |
| 克隆类型 | Monoclonal |
| 理论分子量 | 150-200 kDa |
| 浓度 | 1mg/ml |
| 储存液 | 0.01M TBS (pH7.4) with 1% BSA, 0.02% Proclin300 and 50% Glycerol. |
| 研究领域 | Cancer > Tumor biomarkers > Tumor antigens Cancer > Tumor immunology > Tumor-associated antigens Stem Cells > Mesenchymal Stem Cells > Surface Molecules Tags & Cell Markers > Cell Type Markers > Tumor Associated |
| 亚基 | Homodimer. Binding of E.coli Dr adhesins leads to dissociation of the homodimer. |
| 亚细胞定位 | Cell membrane; Lipid-anchor, GPI-anchor |
| 组织特异性 | Found in adenocarcinomas of endodermally derived digestive system epithelium and fetal colon. |
| 翻译后修饰 | Complex immunoreactive glycoprotein with a MW of 180 kDa comprising 60% carbohydrate. |
| 相似性 | Belongs to the immunoglobulin superfamily. CEA family. |
| 功能 | Cell surface glycoprotein that plays a role in cell adhesion and in intracellular signaling. Receptor for E.coli Dr adhesins. |
| 保存条件 | Shipped at 4℃. Store at -20℃ for one year. Avoid repeated freeze/thaw cycles. |
| 注意事项 | This product as supplied is intended for research use only, not for use in human, therapeutic or diagnostic applications. |
| 背景资料 | CEA-related cell adhesion molecules (CEACAM) belong to the carcinoembryonic antigen (CEA) family. It consists of seven CEACAM (CEACAM 1, CEACAM 3-CEACAM 8) and 11 pregnancy-specific glyco-protein (PSG 1-PSG 11) members. The CEA family proteins belong to the immunoglobulin (Ig) superfamily and are composed of one Ig variable-like (IgV) and a varying number (0-6) of Ig constant-like (IgC) domains. CEACAM molecules are membrane-bound either via a transmembrane domain or a glycosyl phosphatidyl inositol (GPI) anchor. CEACAM molecules are differentially expressed in epithelial cells or in leucocytes. Over-expression of CEA/ CEACAM 5 in tumors of epithelial origin is the basis of its wide-spread use as a tumor marker. The function of CEACAM family members varies widely: they function as cell adhesion molecules, tumor suppressors, regulators of lymphocyte and dendritic cell activation, receptors of Neisseria species and other bacteria. |
| 应用 | 推荐稀释比例 |
| {WB} | {1:500-2000} |
| {IHC-P} | {1:100-500} |
| {IHC-F} | {1:400-800} |
| {IF} | {1:100-500} |


Lane 1: Human LOVO cell lysates
Lane 2: Recombinant human CEACAM5 protein, C-His
Primary: Anti-CEACAM5 (bsm-4792M) at 1/1000 dilution
Secondary: IRDye800CW Goat Anti-Mouse IgG at 1/20000 dilution
Predicted band size: 77 kDa
Observed band size: 200,140 kDa
风险提示:丁香通仅作为第三方平台,为商家信息发布提供平台空间。用户咨询产品时请注意保护个人信息及财产安全,合理判断,谨慎选购商品,商家和用户对交易行为负责。对于医疗器械类产品,请先查证核实企业经营资质和医疗器械产品注册证情况。
文献和实验[IF={{ 5.83 }}] {Ren, Kewei, et al. "Target-Driven Triple-Binder Assembly of MNAzyme for Amplified Electrochemical Immunosensing of Protein Biomarker." Analytical Chemistry (2015).} {Other} {=""}
[IF={{ 5.123 }}] {Cao Y et al. Based on ZnSe quantum dots labeling and single particle mode ICP-MS coupled with sandwich magnetic immunoassay for the detection of carcinoembryonic antigen in human serum.Anal Chim Acta. 2018 Oct 22;1028:22-31.} {Other} {Human}
[IF={{ 4.244 }}] {Xu J et al. Surface plasmon resonance sensing with adjustable sensitivity based on a flexible liquid core coupling unit. Talanta. 2018 Jul 1;184:468-474.} {Other} {Human}
技术资料暂无技术资料 索取技术资料








