相关产品推荐更多 >

PC5/PC6 Rabbit pAb(bs-19904R)-50ul/100ul/200ul
¥1180
phospho-HER2 (Tyr1221) Rabbit pAb, Biotin conjugated(bs-13090R-Bio)-100ul
¥2980
Prostatic Acid Phosphatase Rabbit pAb(bs-6293R)-50ul/100ul/200ul
¥1180
DHX37 Rabbit pAb(bs-14320R)-50ul/100ul/200ul
¥1180
HAVCR1 Rabbit pAb, HRP conjugated(bs-20843R-HRP)-100ul
¥2980
万千商家帮你免费找货
0 人在求购买到急需产品
- 详细信息
- 文献和实验
- 技术资料
- 应用范围:
产品信息以Bioss网站为准
- 规格:
50ul/100ul/200ul
| 规格: | 50ul | 产品价格: | ¥1180.0 |
|---|---|---|---|
| 规格: | 100ul | 产品价格: | ¥1980.0 |
| 规格: | 200ul | 产品价格: | ¥2800.0 |
| 产品编号 | bs-0102M |
| 英文名称 | PKM2 Mouse pAb |
| 中文名称 | 丙酮酸激酶-M2抗体 |
| 英文别名 | PK 1; PK 2; PK 3; PK Muscle type; PK1; PK2; Pk3; PKL; PKLR; PKM 2; PKM; PYKM; Pyruvate kinase 1; Pyruvate kinase 2/3; Pyruvate kinase 3; Pyruvate kinase isozyme R/L; Pyruvate kinase isozymes M1/M2; Pyruvate kinase liver and blood cell; Pyruvate kinase liver and RBC; Pyruvate kinase liver and RBC type; Pyruvate kinase M2; Pyruvate kinase muscle; Pyruvate kinase muscle isozyme; Pyruvate kinase type L; R type/L type pyruvate kinase; Red cell/liver pyruvate kinase; RPK; TCB; THBP 1; THBP1; Thyroid hormone binding protein cytosolic; CTHBP; Cytosolic thyroid hormone binding protein; MGC3932; OIP 3; Oip3; Tumor M2-PK; p58; OIP-3; KPYM_HUMAN. |
| 产品应用 | WB=1:500-2000, IHC-P=1:100-500, IHC-F=1:100-500, ICC/IF=1:100-500, IF=1:100-500 Not yet tested in other applications. |
| 交叉反应 | Human, Mouse, Rat, U-87MG (Pig, Cow, Horse, Rabbit) |
| 抗体来源 | Mouse |
| 免疫原 | KLH conjugated synthetic peptide derived from human PKM2 |
| 亚型 | IgG |
| 性状 | Liquid |
| 纯化方法 | affinity purified by Protein A |
| 克隆类型 | Polyclonal |
| 理论分子量 | 58 kDa |
| 浓度 | 1mg/ml |
| 储存液 | 0.01M TBS (pH7.4) with 1% BSA, 0.02% Proclin300 and 50% Glycerol. |
| 研究领域 | Cancer > Cancer Metabolism > Metabolic signaling pathway > Metabolism of carbohydrates Cancer > Tumor biomarkers > Enzymes Epigenetics and Nuclear Signaling > Cell cycle > Kinases/Phosphatases Metabolism > Pathways and Processes > Metabolic signaling pathways > Carbohydrate metabolism Metabolism > Pathways and Processes > Metabolic signaling pathways > Energy transfer pathways > Energy Metabolism Signal Transduction > Metabolism > Energy Metabolism |
| 亚基 | Monomer and homotetramer. Exists as a monomer in the absence of FBP, and reversibly associates to form a homotetramer in the presence of FBP. The monomeric form binds T3. Tetramer formation induces pyruvate kinase activity. The tetrameric form has high affinity for the substrate and is associated within the glycolytic enzyme complex. Exists in a nearly inactive dimeric form in tumor cells and the dimeric form has less affinity for the substrate. Binding to certain oncoproteins such as HPV-16 E7 oncoprotein can trigger dimerization. FBP stimulates the formation of tetramers from dimers. Interacts with HERC1, POU5F1 and PML. Interacts (isoform M2) with EGLN3; the interaction hydroxylates PKM under hypoxia and enhances binding to HIF1A. Interacts (isoform M2) with HIF1A; the interaction is enhanced by binding of EGLN3, promoting enhanced transcription activity under hypoxia. |
| 亚细胞定位 | Cytoplasm. Nucleus. Note=Translocates to the nucleus in response to different apoptotic stimuli. Nuclear translocation is sufficient to induce cell death that is caspase independent, isoform-specific and independent of its enzymatic activity. |
| 组织特异性 | Specifically expressed in proliferating cells, such as embryonic stem cells, embryonic carcinoma cells, as well as cancer cells. |
| 翻译后修饰 | ISGylated. Under hypoxia, hydroxylated by EGLN3. Acetylation at Lys-305 is stimulated by high glucose concentration, it decreases enzyme activity and promotes its lysosomal-dependent degradation via chaperone-mediated autophagy. |
| 相似性 | Belongs to the pyruvate kinase family. |
| 功能 | Glycolytic enzyme that catalyzes the transfer of a phosphoryl group from phosphoenolpyruvate (PEP) to ADP, generating ATP. Stimulates POU5F1-mediated transcriptional activation. Plays a general role in caspase independent cell death of tumor cells. The ratio betwween the highly active tetrameric form and nearly inactive dimeric form determines whether glucose carbons are channeled to biosynthetic processes or used for glycolytic ATP production. The transition between the 2 forms contributes to the control of glycolysis and is important for tumor cell proliferation and survival. |
| 保存条件 | Shipped at 4℃. Store at -20℃ for one year. Avoid repeated freeze/thaw cycles. |
| 注意事项 | This product as supplied is intended for research use only, not for use in human, therapeutic or diagnostic applications. |
| 背景资料 | The protein encoded by this gene is a pyruvate kinase that catalyzes the production of phosphoenolpyruvate from pyruvate and ATP. This protein has been shown to interact with thyroid hormone, and thus may mediate cellular metabolic effects induced by thyroid hormones. This protein has been found to bind Opa protein, a bacterial outer membrane protein involved in gonococcal adherence to and invasion of human cells, suggesting a role of this protein in bacterial pathogenesis. Three alternatively spliced transcript variants encoding two distinct isoforms have been reported. |
| 应用 | 推荐稀释比例 |
| {WB} | {1:500-2000} |
| {IHC-P} | {1:100-500} |
| {IHC-F} | {1:100-500} |
| {ICC/IF} | {1:100-500} |
| {IF} | {1:100-500} |

MOLT-4(Human) Cell Lysate at 30 ug
Primary: Anti-PKM2 (bs-0102M) at 1/300 dilution
Secondary: IRDye800CW Goat Anti-Mouse IgG at 1/20000 dilution
Predicted band size: 58 kD
Observed band size: 58 kD

Hela Cell (Human) Lysate at 40 ug
NIH/3T3 Cell (Mouse) Lysate at 40 ug
Muscle (Mouse) Lysate at 40 ug
Jurkat Cell (Human) Lysate at 40 ug
Primary: Anti-PKM2 (bs-0102M) at 1/300 dilution
Secondary: IRDye800CW Goat Anti-Mouse IgG at 1/20000 dilution
Predicted band size: 58 kD
Observed band size: 58 kD

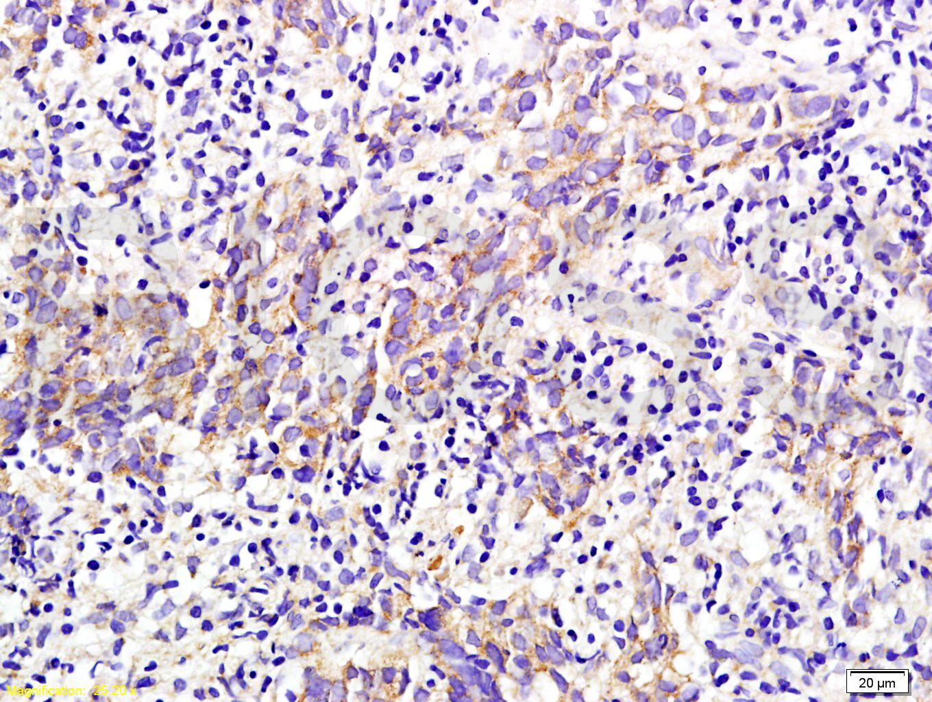
Antigen retrieval: citrate buffer ( 0.01M, pH 6.0 ), Boiling bathing for 15min; Blocking buffer (normal goat serum,C-0005) at 37℃ for 20 min;
Incubation: Anti-M2-PK Polyclonal Antibody, Unconjugated(bs-0102M) 1:200, overnight at 4°C; The secondary antibody was Goat Anti-Mouse IgG, Cy5 conjugated(bs-0296G-Cy5)used at 1:200 dilution for 40 minutes at 37°C.

Antigen retrieval: citrate buffer ( 0.01M, pH 6.0 ), Boiling bathing for 15min; Block endogenous peroxidase by 3% Hydrogen peroxide for 30min; Blocking buffer (normal goat serum,C-0005) at 37℃ for 20 min;
Incubation: Anti-M2-PK Polyclonal Antibody, Unconjugated(bs-0102M) 1:200, overnight at 4°C, followed by conjugation to the secondary antibody(SP-0024) and DAB(C-0010) staining

Lane 1: A549 (Human) Cell Lysate at 30 ug
Lane 2: U87MG (Human) Cell Lysate at 30 ug
Lane 3: U251 (Human) Cell Lysate at 30 ug
Primary: Anti-PKM2 (bs-0102M) at 1/1000 dilution
Secondary: IRDye800CW Goat Anti-Mouse IgG at 1/20000 dilution
Predicted band size: 60 kD
Observed band size: 60 kD


风险提示:丁香通仅作为第三方平台,为商家信息发布提供平台空间。用户咨询产品时请注意保护个人信息及财产安全,合理判断,谨慎选购商品,商家和用户对交易行为负责。对于医疗器械类产品,请先查证核实企业经营资质和医疗器械产品注册证情况。
文献和实验[IF={{ 7.4 }}] {Xue Li. et al. Pantothenate Kinase 4 Governs Lens Epithelial Fibrosis by Negatively Regulating Pyruvate Kinase M2-Related Glycolysis. AGING DIS. 2023 Oct 1; 14(5): 1834–1852} {IF} {Mouse,Human}
[IF={{ 3.9 }}] {Xu Wei-long. et al. Quercetin Antagonizes Glucose Fluctuation Induced Renal Injury by Inhibiting Aerobic Glycolysis via HIF-1α/miR-210/ISCU/FeS Pathway. Front Med-Lausanne. 2021 Mar;8:219} {WB} {Mouse}
[IF={{ 3.1 }}] {Huang Hui. et al. Osthole inhibits GSK-3β/AMPK/mTOR pathway-controlled glycolysis and increases radiosensitivity of subcutaneous transplanted hepatocellular carcinoma in nude mice. STRAHLENTHER ONKOL. 2023 Nov;:1-9} {WB} {Mouse,Human}
[IF={{ 12.4 }}] {Jingyi Wang. et al.A novel pathway for stemness propagation and chemoresistance in non-small cell lung cancer via phosphorylated PKM2-loaded small extracellular vesicles..Theranostics.2025 Feb 24;15(8):3439-3461.} {IHC} {Human,Mouse}
[IF={{ 1.1 }}] {Xiang Yijia. et al. Scutellarin Protects against Myocardial Ischemia–reperfusion Injury by Enhancing Aerobic Glycolysis through miR-34c-5p/ALDOA Axis. INT J APPL BASIC MED. 2024 May;14(2):85} {WB} {Rat}
Models and Analysis of Atherosclerosis, Restenosis, and Aneurysm Formation in the Mouse
Nishina, P.M., Verstuyft, J., and Paigen, B. 1990. Synthetic low and high fat diets for the study of atherosclerosis in the mouse. J. Lipid Res. 31:859‐869.
Generation of Spatio‐Temporally Controlled Targeted Somatic Mutations in the Mouse
and pharmacological evidence that a retinoic acid cannot be the RXR‐activating ligand in mouse epidermis keratinocytes. Genes Dev. 20:1525‐1538. Diamond, I., Owolabi, T., Marco, M., Lam, C
.9| Mus musculus chromosome 16, clon... 44 0.13 gi|13435314|gb|AC090999.1| Caenorhabditis elegans cosmid Y8... 44 0.13 gi|21955645|emb|AL732599.5| Mouse DNA sequence from clone R... 44 0.13 gi|199921|gb|J03368.1|MUSMX2 Mouse interferon-induced Mx2 m
技术资料暂无技术资料 索取技术资料





