相关产品推荐更多 >

PCV2 capsid protein Rabbit pAb(bs-41401R)-50ul/100ul/200ul
¥1180
FHOD1 Rabbit pAb, BF405 conjugated(bs-13158R-BF405)-100ul
¥2980
NF-M Rabbit pAb, PE-Cy7 conjugated(bs-0710R-PE-Cy7)-100ul
¥2980
Iduronate 2 sulfatase Rabbit pAb(bs-15543R)-50ul/100ul/200ul
¥1180
phospho-Tau (Ser422) Rabbit pAb(bs-3489R)-50ul/100ul/200ul
¥1180
万千商家帮你免费找货
0 人在求购买到急需产品
- 详细信息
- 文献和实验
- 技术资料
- 应用范围:
产品信息以Bioss网站为准
- 规格:
50ul/100ul
| 规格: | 50ul | 产品价格: | ¥1180.0 |
|---|---|---|---|
| 规格: | 100ul | 产品价格: | ¥1980.0 |
| 产品编号 | bs-0258R |
| 英文名称 | MAG Rabbit pAb |
| 中文名称 | 髓鞘相关糖蛋白-a抗体 |
| 英文别名 | Myelin associated glycoprotein; L-MAG; brain-specific neuronal polypeptide 1B236; Myelin-associated glycoprotein; Sialic acid-binding Ig-like lectin 4a; Siglec-4a; Brain neuron cytoplasmic protein 3; MAG_HUMAN; GMA; S MAG; Siglec 4a; SIGLEC4A. |
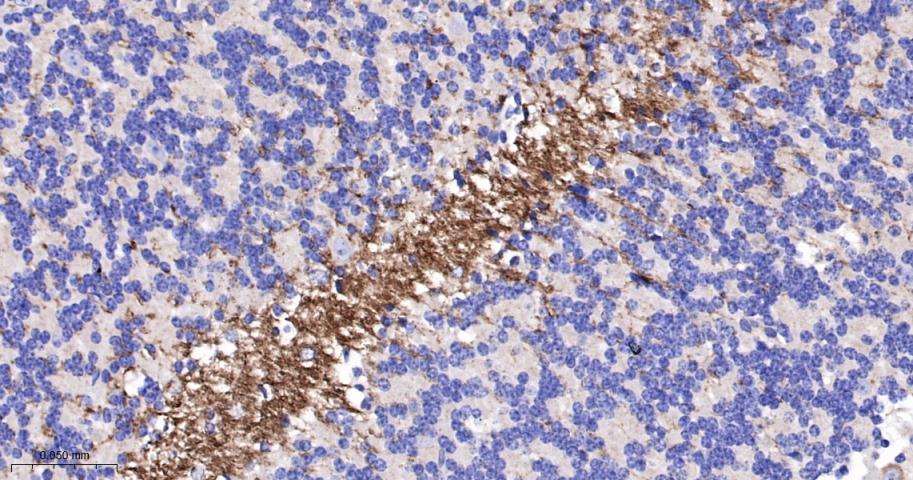
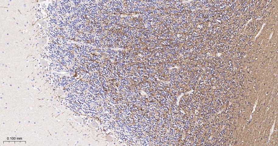
| 产品应用 | WB=1:500-2000, ELISA=1:5000-10000, IHC-P=1:100-500, IHC-F=1:100-500, IF=1:100-500, Flow-Cyt=1:50-100 Not yet tested in other applications. |
| 交叉反应 | Human, Mouse, Rat |
| 抗体来源 | Rabbit |
| 免疫原 | KLH conjugated synthetic peptide derived from human MAG |
| 亚型 | IgG |
| 性状 | Liquid |
| 纯化方法 | affinity purified by Protein A |
| 克隆类型 | Polyclonal |
| 理论分子量 | 67 kDa |
| 浓度 | 1mg/ml |
| 储存液 | 0.01M TBS (pH7.4) with 1% BSA, 0.02% Proclin300 and 50% Glycerol. |
| 研究领域 | Neuroscience > Cell Adhesion Proteins > Membrane Proteins Neuroscience > Neurology process > Neurogenesis Neuroscience > Neurology process > Neuroregeneration > Neuroregeneration |
| 亚基 | Binds to RTN4R. |
| 亚细胞定位 | Membrane; Single-pass type I membrane protein. |
| 相似性 | Belongs to the immunoglobulin superfamily. SIGLEC (sialic acid binding Ig-like lectin) family.
Contains 4 Ig-like C2-type (immunoglobulin-like) domains. Contains 1 Ig-like V-type (immunoglobulin-like) domain. |
| 功能 | Adhesion molecule in postnatal neural development that mediates sialic-acid dependent cell-cell interactions between neuronal and myelinating cells. Preferentially binds to alpha-2,3-linked sialic acid. |
| 保存条件 | Shipped at 4℃. Store at -20℃ for one year. Avoid repeated freeze/thaw cycles. |
| 注意事项 | This product as supplied is intended for research use only, not for use in human, therapeutic or diagnostic applications. |
| 背景资料 | MAG (myelin associated glycoprotein) is a Adhesion molecule in postnatal neural development that mediates sialic-acid dependent cell-cell interactions between neuronal and myelinating cells. Preferentially binds to alpha2,3-linked sialic acid. Isoform L-MAG is critical for the formation of myelin in the CNS, whereas isoform S-MAG is sufficient to maintain the integrity of myelin in PNS. Binds to RTN4R. single-pass type I membrane protein. Expressed by myelinating glial cells in the central and peripheral nervous system. Detected in oligodendrocyte processes before formation of compact myelin. Restricted to the periaxonal space after myelination. Isoform S-MAG is the predominant isoform in CNS and PNS of the adult. In CNS isoform L-MAG is the major form synthesized early in development, and it persists as a significant proportion of the MAG present in the adult. In the PNS isoform L-MAG is expressed at modest levels during development; it is absent in the adult. Belongs to the immunoglobulin superfamily. SIGLEC (sialic acid binding Ig-like lectin) family. |
| 应用 | 推荐稀释比例 |
| {WB} | {1:500-2000} |
| {ELISA} | {1:5000-10000} |
| {IHC-P} | {1:100-500} |
| {IHC-F} | {1:100-500} |
| {IF} | {1:100-500} |
| {Flow-Cyt} | {1:50-100} |

Lane 1: Rat Cerebrum tissue lysates
Lane 2: Rat Cerebellum tissue lysates
Lane 3: Rat Spinal cord tissue lysates
Primary: Anti- MAG (bs-0258R) at 1/1000 dilution
Secondary: IRDye800CW Goat Anti-Rabbit IgG at 1/20000 dilution
Predicted band size: 67 kDa
Observed band size: 98 kDa







风险提示:丁香通仅作为第三方平台,为商家信息发布提供平台空间。用户咨询产品时请注意保护个人信息及财产安全,合理判断,谨慎选购商品,商家和用户对交易行为负责。对于医疗器械类产品,请先查证核实企业经营资质和医疗器械产品注册证情况。
文献和实验= NAL), appears to form upon oxidative cyclization of the nonfluorescent 2:1 lysine-HNE Michael adduct-Schiff base cross-link (Scheme 1). Polyclonal antibody (PAb) to the NAL-HNE fluorophore was raised in rabbit and found to be highly specific
/96T 2000/3000 进口分装 F0021 骨成型蛋白-9(BMP-9) ELISA 48T/96T 2000/3000 进口分装 F0022 BMP-R1A ELISA 48T/96T 2000/3000 进口分装 F0023 BMP-R2 ELISA 48T/96T 2000/3000 进口分装 F0024 BTC ELISA 48T/96T 2000/3100 进口分装 F0030 CAE-Ab ELISA 96
/96T 2000/3000 进口分装 F0021 骨成型蛋白-9(BMP-9) ELISA 48T/96T 2000/3000 进口分装 F0022 BMP-R1A ELISA 48T/96T 2000/3000 进口分装 F0023 BMP-R2 ELISA 48T/96T 2000/3000 进口分装 F0024 BTC ELISA 48T/96T 2000/3100 进口分装 F0030 CAE-Ab ELISA 96
技术资料暂无技术资料 索取技术资料





