相关产品推荐更多 >

CDC45L Rabbit pAb, PE conjugated(bs-7785R-PE)-100ul
¥2980
MHC class I Rabbit pAb, BF680 conjugated(bs-7335R-BF680)-100ul
¥2980
LPAP Rabbit pAb, Cy7 conjugated(bs-6963R-Cy7)-100ul
¥2980
phospho-IRS1 (Tyr632) Rabbit pAb, Cy3 conjugated(bs-8707R-Cy3)-100ul
¥2980
CD62p Rabbit pAb, BF594 conjugated(bs-10770R-BF594)-100ul
¥2980
万千商家帮你免费找货
0 人在求购买到急需产品
- 详细信息
- 文献和实验
- 技术资料
- 应用范围:
产品信息以Bioss网站为准
- 规格:
50ul/100ul/200ul
| 规格: | 50ul | 产品价格: | ¥1180.0 |
|---|---|---|---|
| 规格: | 100ul | 产品价格: | ¥1980.0 |
| 规格: | 200ul | 产品价格: | ¥2800.0 |
| 产品编号 | bs-0129R |
| 英文名称 | Nogo R Rabbit pAb |
| 中文名称 | 轴索过度生长抑制因子受体/Nogo受体抗体 |
| 英文别名 | NgR; Nogo-66 receptor; Nogor; NogoR; Nogo-R; Reticulon 4 receptor; Rtn4r; RTN4R_RAT. |
| 产品应用 | WB=1:500-2000, IHC-P=1:100-500, IHC-F=1:100-500, IF=1:100-500 Not yet tested in other applications. |
| 交叉反应 | Mouse, Rat |
| 抗体来源 | Rabbit |
| 免疫原 | KLH conjugated synthetic peptide derived from mouse Nogo R |
| 亚型 | IgG |
| 性状 | Liquid |
| 纯化方法 | affinity purified by Protein A |
| 克隆类型 | Polyclonal |
| 理论分子量 | 48 kDa |
| 浓度 | 1mg/ml |
| 储存液 | 0.01M TBS (pH7.4) with 1% BSA, 0.02% Proclin300 and 50% Glycerol. |
| 研究领域 | Neuroscience > Neurology process > Growth and Development > Axonal Guidance Proteins Neuroscience > Neurology process > Neurodegenerative disease Neuroscience > Neurology process > Neurogenesis |
| 亚基 | Homomultimer. Interacts with LINGO1. Interacts with KIAA0319L. |
| 亚细胞定位 | Cell membrane; Lipid-anchor, GPI-anchor. |
| 相似性 | Belongs to the Nogo receptor family. Contains 8 LRR (leucine-rich) repeats. Contains 1 LRRCT domain. Contains 1 LRRNT domain. |
| 功能 | Receptor for RTN4, OMG and MAG. Mediates axonal growth inhibition and may play a role in regulating axonal regeneration and plasticity in the adult central nervous system. Acts in conjunction with RTN4 and LIGO1 in regulating neuronal precursor cell motility during cortical development (By similarity). |
| 保存条件 | Shipped at 4℃. Store at -20℃ for one year. Avoid repeated freeze/thaw cycles. |
| 注意事项 | This product as supplied is intended for research use only, not for use in human, therapeutic or diagnostic applications. |
| 背景资料 | Axons are essential for neuronal communication but they do not regenerate after injury to the adult mammalian brain or spinal cord. Failed regeneration is due in part to the production of a potent axonal growth inhibitor, Nogo, by myelinating cells. The finding of a high affinity axonal receptor for the extracellular domain of Nogo provides the first insight into the basis of Nogo action. Disrupting the interaction of Nogo with the Nogo-66 receptor may facilitate axonal regeneration in vivo. The protein is dubbed the Nogo receptor because it binds with several other proteins that block neural growth. It is found to be ubiquitous in the brain and spinal cord. |
| 应用 | 推荐稀释比例 |
| {WB} | {1:500-2000} |
| {IHC-P} | {1:100-500} |
| {IHC-F} | {1:100-500} |
| {IF} | {1:100-500} |

Brain (Mouse) Lysate at 40 ug
Primary: Anti- Nogo R (bs-0129R) at 1/300 dilution
Secondary: IRDye800CW Goat Anti-Rabbit IgG at 1/20000 dilution
Predicted band size: 48 kD
Observed band size: 48 kD

Hippocampus (Mouse) Lysate at 40 ug
Primary: Anti- Nogo R (bs-0129R) at 1/300 dilution
Secondary: IRDye800CW Goat Anti-Rabbit IgG at 1/20000 dilution
Predicted band size: 48 kD
Observed band size: 48 kD

Brain (Rat) Lysate at 40 ug
Primary: Anti- Nogo R (bs-0129R) at 1/300 dilution
Secondary: IRDye800CW Goat Anti-Rabbit IgG at 1/20000 dilution
Predicted band size: 48 kD
Observed band size: 48 kD

Hippocampus (Rat) Lysate at 40 ug
Primary: Anti- Nogo R (bs-0129R) at 1/300 dilution
Secondary: IRDye800CW Goat Anti-Rabbit IgG at 1/20000 dilution
Predicted band size: 48 kD
Observed band size: 48 kD

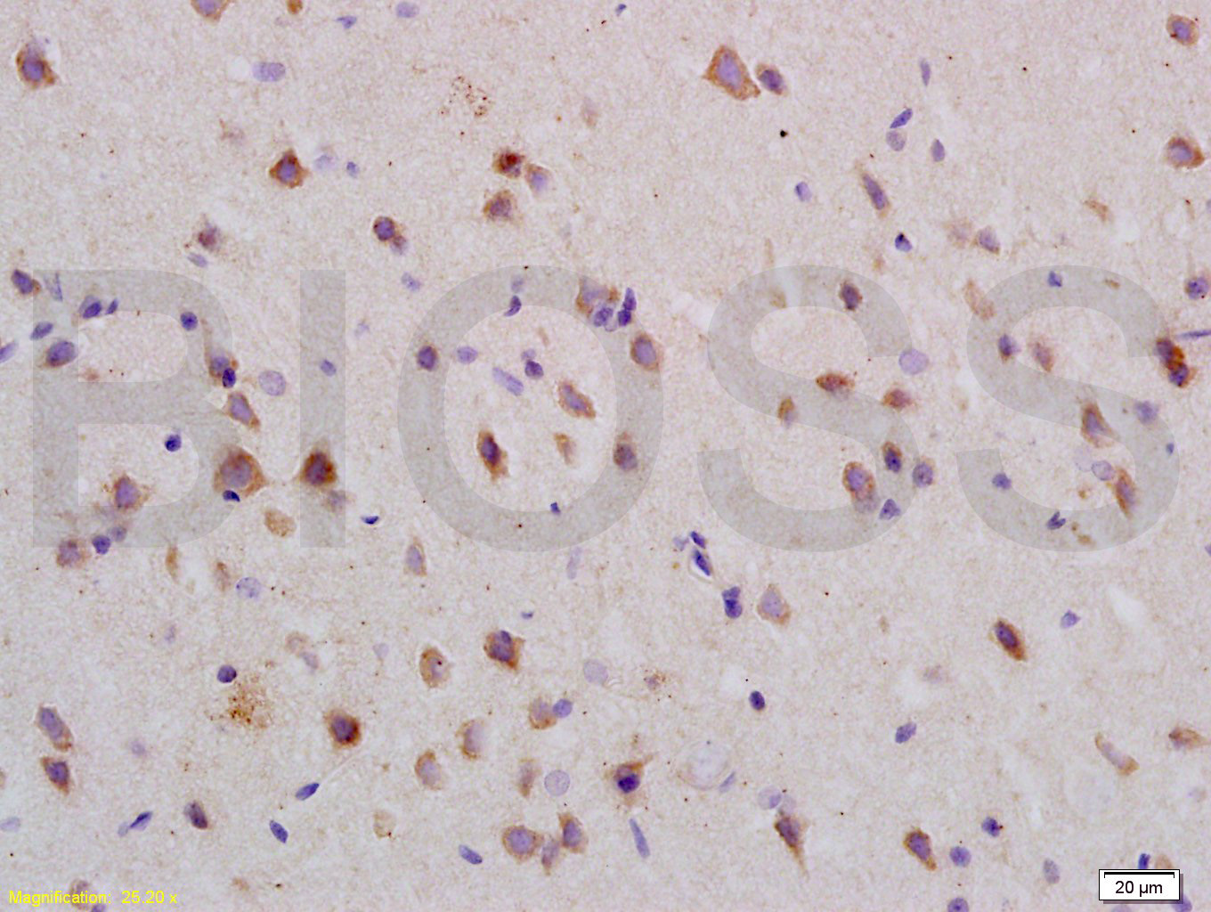
Antigen retrieval: citrate buffer ( 0.01M, pH 6.0 ), Boiling bathing for 15min; Block endogenous peroxidase by 3% Hydrogen peroxide for 30min; Blocking buffer (normal goat serum,C-0005) at 37℃ for 20 min;
Incubation: Anti-Nogo-R Polyclonal Antibody, Unconjugated(bs-0129R) 1:200, overnight at 4°C, followed by conjugation to the secondary antibody(SP-0023) and DAB(C-0010) staining
风险提示:丁香通仅作为第三方平台,为商家信息发布提供平台空间。用户咨询产品时请注意保护个人信息及财产安全,合理判断,谨慎选购商品,商家和用户对交易行为负责。对于医疗器械类产品,请先查证核实企业经营资质和医疗器械产品注册证情况。
文献和实验[IF={{ 3.216 }}] {Jing Wanget al. Tanshinone IIA Promotes Axonal Regeneration in Rats with Focal Cerebral Ischemia Through the Inhibition of Nogo-A/NgR1/RhoA/ROCKII/MLC Signaling. Drug Des Devel Ther . 2020 Jul 15;14:2775-2787.} {WB} {rat}
/96T 2000/3000 进口分装 F0021 骨成型蛋白-9(BMP-9) ELISA 48T/96T 2000/3000 进口分装 F0022 BMP-R1A ELISA 48T/96T 2000/3000 进口分装 F0023 BMP-R2 ELISA 48T/96T 2000/3000 进口分装 F0024 BTC ELISA 48T/96T 2000/3100 进口分装 F0030 CAE-Ab ELISA 96
/96T 2000/3000 进口分装 F0021 骨成型蛋白-9(BMP-9) ELISA 48T/96T 2000/3000 进口分装 F0022 BMP-R1A ELISA 48T/96T 2000/3000 进口分装 F0023 BMP-R2 ELISA 48T/96T 2000/3000 进口分装 F0024 BTC ELISA 48T/96T 2000/3100 进口分装 F0030 CAE-Ab ELISA 96
Nucleic Acid Programmable Protein Arrays: Versatile Tools for Array‐Based Functional Protein Studies
.g., Sigma) 50 mg/ml bis‐sulfosuccinimdylsuberate (BS3 ;Pierce, cat. no. PI 21580) in dimethylsulfoxide (DMSO) 5 mg/ml
技术资料暂无技术资料 索取技术资料






