相关产品推荐更多 >

CK5+CK6 Rabbit pAb, PE-Cy7 conjugated(bs-20824R-PE-Cy7)-100ul
¥2980
GCET2 Rabbit pAb(bs-6536R)-50ul/100ul/200ul
¥1180
CD168 Rabbit pAb, PE conjugated(bs-4736R-PE)-100ul
¥2980
phospho-Estrogen Receptor alpha (Tyr537) Rabbit pAb(bs-1643R)-50ul/100ul/200ul
¥1180
HRH2 Rabbit pAb, AP conjugated(bs-6664R-AP)-100ul
¥2980
万千商家帮你免费找货
0 人在求购买到急需产品
- 详细信息
- 文献和实验
- 技术资料
- 应用范围:
产品信息以Bioss网站为准
- 规格:
50ul/100ul/200ul
| 规格: | 50ul | 产品价格: | ¥1180.0 |
|---|---|---|---|
| 规格: | 100ul | 产品价格: | ¥1980.0 |
| 规格: | 200ul | 产品价格: | ¥2800.0 |
| 产品编号 | bs-20740R |
| 英文名称 | VEGF-C Rabbit pAb |
| 中文名称 | 血管内皮生长因子C型抗体 |
| 英文别名 | Vascuoar endothelial growth factor-C; AW228853; Flt4 ligand; Flt4-L; VEGF2; VEGFC; VRP; VEGFC_HUMAN. |
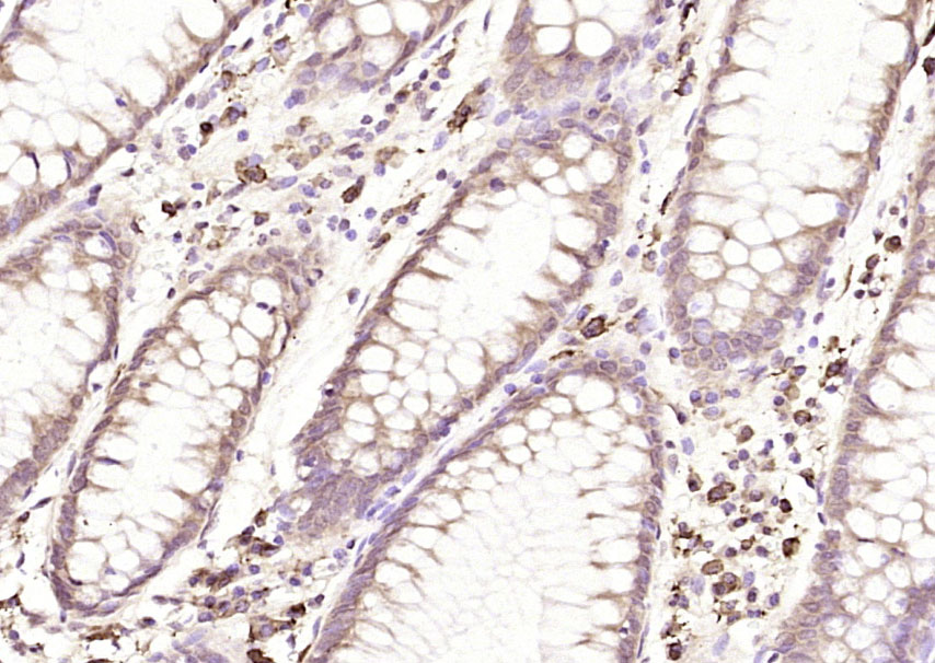
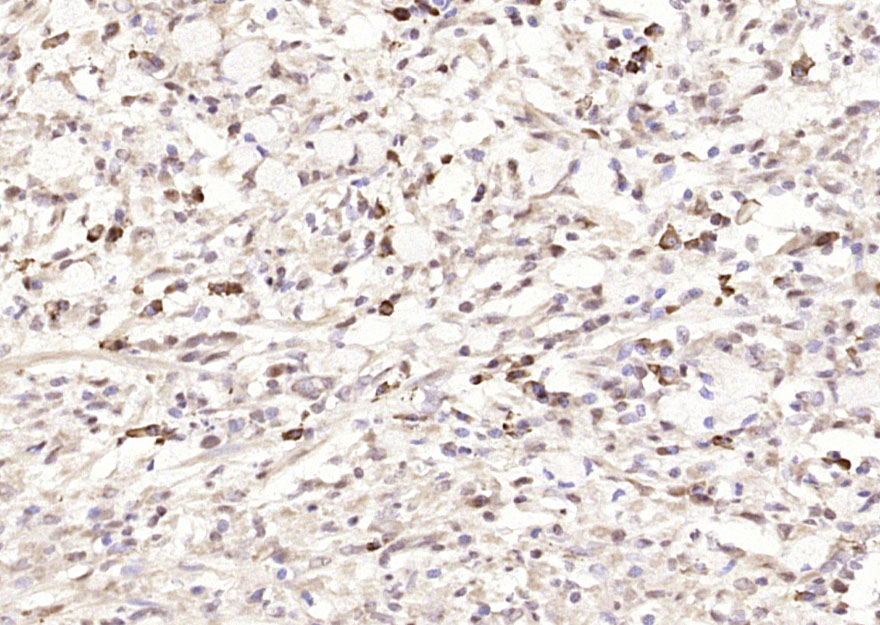
| 产品应用 | WB=1:500-2000, IHC-P=1:100-500, IHC-F=1:100-500, IF=1:100-500 Not yet tested in other applications. |
| 交叉反应 | Human, Mouse (Rat, Pig, Horse) |
| 抗体来源 | Rabbit |
| 免疫原 | KLH conjugated synthetic peptide derived from human VEGF-C |
| 亚型 | IgG |
| 性状 | Liquid |
| 纯化方法 | affinity purified by Protein A |
| 克隆类型 | Polyclonal |
| 理论分子量 | 13/46 kDa |
| 浓度 | 1mg/ml |
| 储存液 | 0.01M TBS (pH7.4) with 1% BSA, 0.02% Proclin300 and 50% Glycerol. |
| 研究领域 | Cancer > Growth factors > VEGF Cancer > Invasion/microenvironment > Angiogenesis > Angiogenic growth factors Cardiovascular > Angiogenesis > Growth Factors > VEGF > VEGF Neuroscience > Neurology process > Neurogenesis Signal Transduction > Growth Factors/Hormones > VEGF |
| 亚基 | Homodimer; non-covalent and antiparallel. |
| 亚细胞定位 | Secreted. |
| 组织特异性 | Spleen, lymph node, thymus, appendix, bone marrow, heart, placenta, ovary, skeletal muscle, prostate, testis, colon and small intestine and fetal liver, lung and kidney, but not in peripheral blood lymphocyte. |
| 相似性 | Belongs to the PDGF/VEGF growth factor family. |
| 保存条件 | Shipped at 4℃. Store at -20℃ for one year. Avoid repeated freeze/thaw cycles. |
| 注意事项 | This product as supplied is intended for research use only, not for use in human, therapeutic or diagnostic applications. |
| 背景资料 | Vascular endothelial growth factors (VEGFs), also known as vasculotropins, are a family of closely related growth factors having a conserved pattern of eight cysteine residues and sharing common VEGF receptors. VEGFs stimulate the proliferation of endothelial cells, induce angiogenesis, promote cell migration, increase vascular permeability, and inhibit apoptosis. The mitogenic activity of VEGFs appears to be mediated by specific VEGF receptors. The target cell specificity of VEGF is restricted to vascular endothelial cells. Vascular Endothelial Growth Factor C (VEGFC) is a member of the VEGF subfamily of PDGF-related growth factors. It is the ligand for Flt4 (VEGFR3) and KDR (VEGFR2). VEGFC binds Flt4 and induces tyrosine autophosphorylation of VEGFR3 and VEGFR2. VEGFC also stimulates the migration of bovine capillary endothelial cells in collagen gel. It is a specific growth factor for the lymphatic vascular system and mediates lymphangiogenesis. VEGFC is abundantly expressed in heart and skeletal muscle. Other tissues such as lung and kidney also express VEGFC. |
| 应用 | 推荐稀释比例 |
| {WB} | {1:500-2000} |
| {IHC-P} | {1:100-500} |
| {IHC-F} | {1:100-500} |
| {IF} | {1:100-500} |



Lane 1: HUVEC (Human) Cell Lysate at 30 ug
Lane 2: K562 (Human) Cell Lysate at 30 ug
Lane 3: U251 (Human) Cell Lysate at 30 ug
Lane 4: HepG2 (Human) Cell Lysate at 30 ug
Lane 5: U2os (Human) Cell Lysate at 30 ug
Primary:
Anti-VEGF-C (bs-20740R) at 1/1000 dilution
Secondary: IRDye800CW Goat Anti-Rabbit IgG at 1/20000 dilution
Predicted band size: 46 kD
Observed band size: 45 kD


Primary: Anti-VEGF-C (bs-20740R) at 1/300 dilution
Secondary: IRDye800CW Goat Anti-Rabbit IgG at 1/20000 dilution
Predicted band size: 13 kD
Observed band size: 13 kD

风险提示:丁香通仅作为第三方平台,为商家信息发布提供平台空间。用户咨询产品时请注意保护个人信息及财产安全,合理判断,谨慎选购商品,商家和用户对交易行为负责。对于医疗器械类产品,请先查证核实企业经营资质和医疗器械产品注册证情况。
文献和实验[IF={{ 3 }}] {Ruiting Li. et al. Effects of SLC45A2 and GPNMB on Melanin Deposition Based on Transcriptome Sequencing in Chicken Feather Follicles. ANIMALS. 2023 Jan;13(16):2608} {WB} {Chicken}
= NAL), appears to form upon oxidative cyclization of the nonfluorescent 2:1 lysine-HNE Michael adduct-Schiff base cross-link (Scheme 1). Polyclonal antibody (PAb) to the NAL-HNE fluorophore was raised in rabbit and found to be highly specific
GE Healthcare Benzamidine Sepharose™ 6B is p-aminobenzamidine covalently attached to Sepharose 6B by the epoxy coupling method. p-Aminobenzamidine (PAB), is a synthetic inhibitor of trypsin-like serine protease. Trypsin and trypsin
/96T 2000/3000 进口分装 F0021 骨成型蛋白-9(BMP-9) ELISA 48T/96T 2000/3000 进口分装 F0022 BMP-R1A ELISA 48T/96T 2000/3000 进口分装 F0023 BMP-R2 ELISA 48T/96T 2000/3000 进口分装 F0024 BTC ELISA 48T/96T 2000/3100 进口分装 F0030 CAE-Ab ELISA 96
技术资料暂无技术资料 索取技术资料





