相关产品推荐更多 >
万千商家帮你免费找货
0 人在求购买到急需产品
- 详细信息
- 文献和实验
- 技术资料
- 应用范围:
产品信息以Bioss网站为准
- 规格:
50ul/100ul/200ul
| 规格: | 50ul | 产品价格: | ¥1180.0 |
|---|---|---|---|
| 规格: | 100ul | 产品价格: | ¥1980.0 |
| 规格: | 200ul | 产品价格: | ¥2800.0 |
| 产品编号 | bs-1091R |
| 英文名称 | NADPH oxidase 4 Rabbit pAb |
| 中文名称 | NADPH氧化酶4抗体 |
| 英文别名 | KOX 1; KOX; Nox 4; Nox-4; NADPH oxidase 4; RENOX; Kidney oxidase-1; Kidney superoxide-producing NADPH oxidase; Kox-1; NADPH; Nox4; NOX4_HUMAN; Renal NAD(P)H-oxidase; RENOX. |
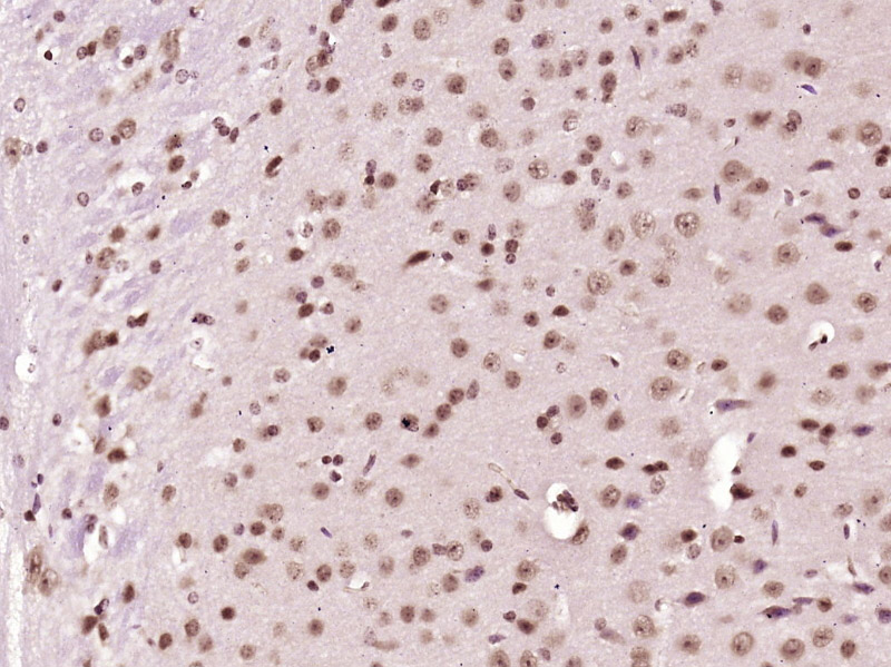
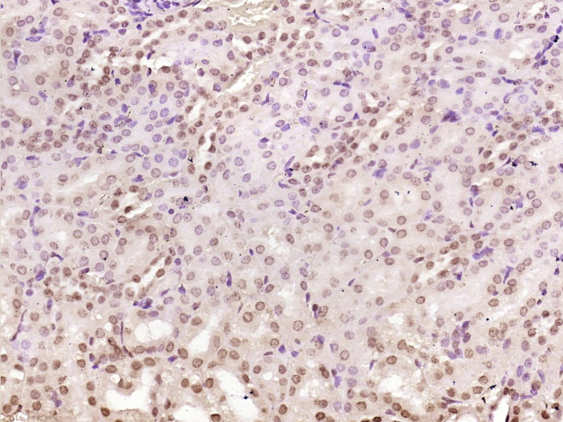
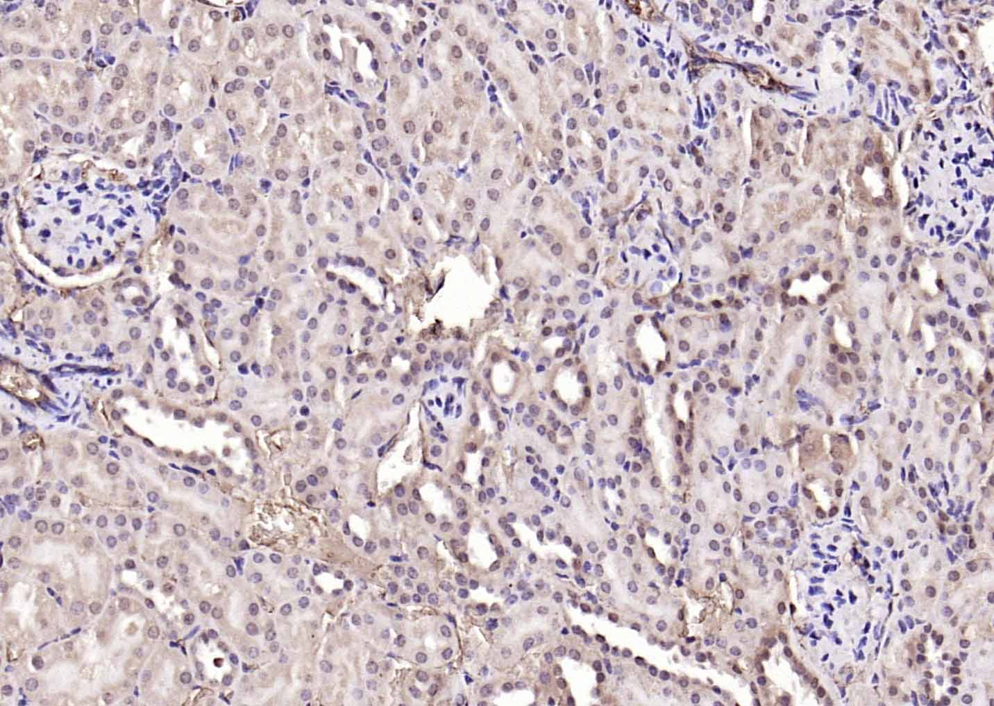
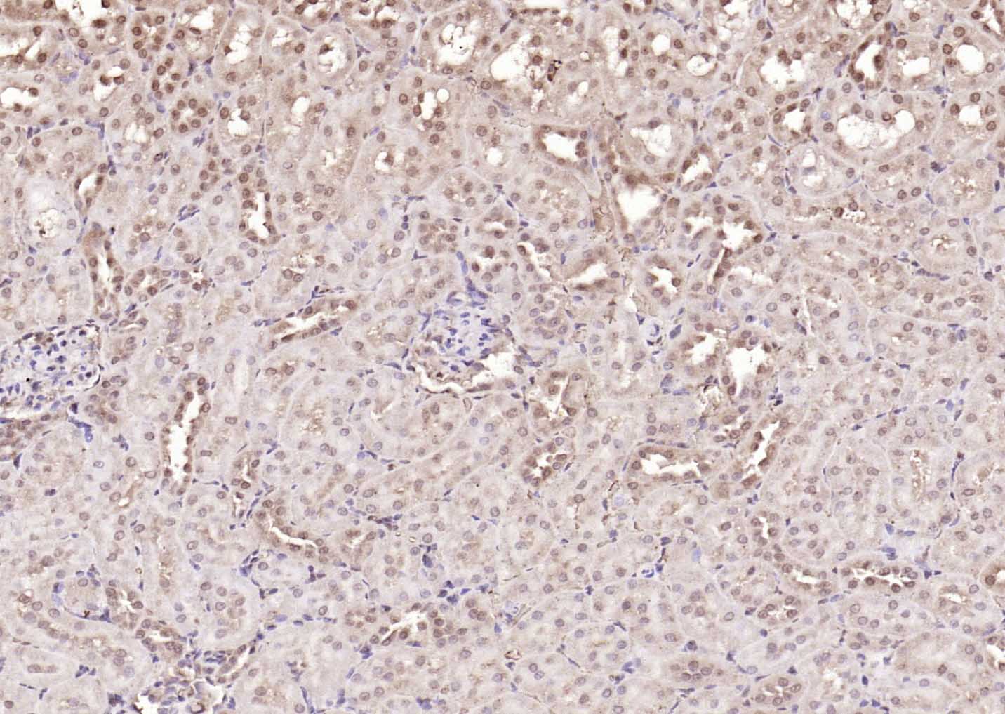
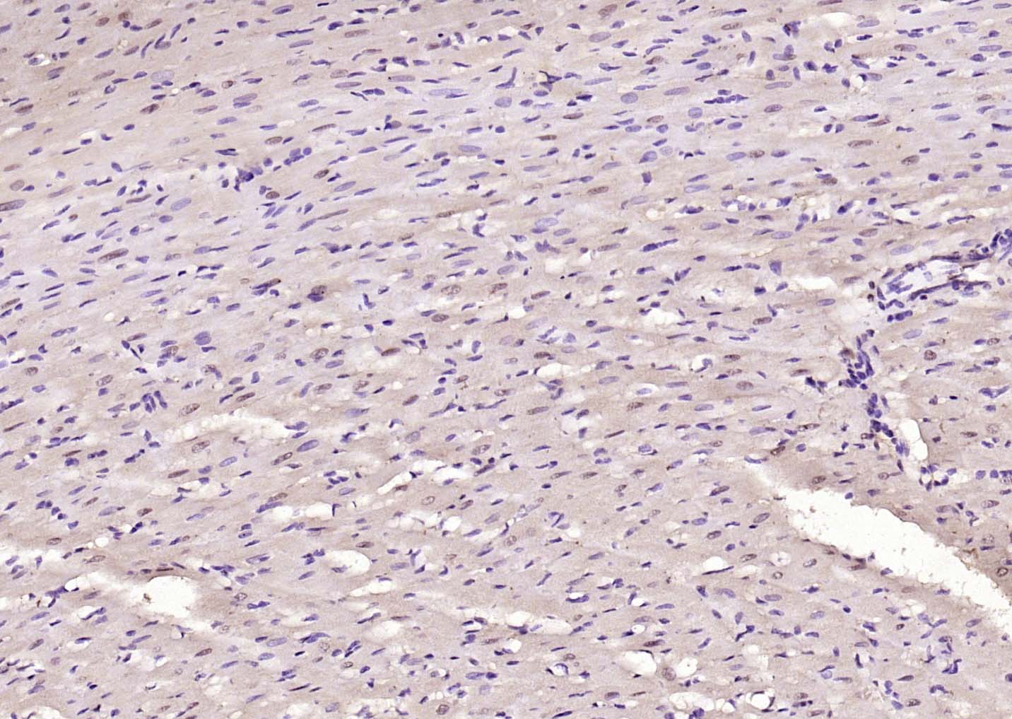
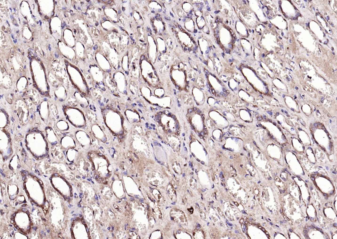
| 产品应用 | WB=1:500-2000, IHC-P=1:100-500, IHC-F=1:100-500, IF=1:100-500, Flow-Cyt=1μg/Test Not yet tested in other applications. |
| 交叉反应 | Human, Mouse, Rat (Dog, Cow, Horse) |
| 抗体来源 | Rabbit |
| 免疫原 | KLH conjugated synthetic peptide derived from human Nox-4 |
| 亚型 | IgG |
| 性状 | Liquid |
| 纯化方法 | affinity purified by Protein A |
| 克隆类型 | Polyclonal |
| 理论分子量 | 64 kDa |
| 浓度 | 1mg/ml |
| 储存液 | 0.01M TBS (pH7.4) with 1% BSA, 0.02% Proclin300 and 50% Glycerol. |
| 亚基 | Interacts with, relocalizes and stabilizes CYBA/p22phox. Interacts with TLR4. Interacts with protein disulfide isomerase. |
| 亚细胞定位 | Endoplasmic reticulum membrane; Multi-pass membrane protein. Cell junction, focal adhesion. Cell membrane. Note=May localize to plasma membrane and focal adhesions. |
| 组织特异性 | EXpressed in brain, in all layers of the cerebellum, in pyramidal cells of the Ammon horn and in Purkinje cells (at protein level). Expressed in osteoclasts, leukocytes, kidney, liver and lung. |
| 翻译后修饰 | N-glycosylation is required for the function (By similarity). |
| 相似性 | Contains 1 FAD-binding FR-type domain. Contains 1 ferric oxidoreductase domain. |
| 功能 | Constitutive NADPH oxidase which generates superoxide intracellularly upon formation of a complex with CYBA/p22phox. Regulates signaling cascades probably through phosphatases inhibition. May function as an oxygen sensor regulating the KCNK3/TASK-1 potassium channel and HIF1A activity. May regulate insulin signaling cascade. May play a role in apoptosis, bone resorption and lipolysaccharide-mediated activation of NFKB. |
| 保存条件 | Shipped at 4℃. Store at -20℃ for one year. Avoid repeated freeze/thaw cycles. |
| 注意事项 | This product as supplied is intended for research use only, not for use in human, therapeutic or diagnostic applications. |
| 背景资料 | Nox4 is a renal gp91-phox homolog highly expressed at the site of erythropoietin production in the proximal convoluted tubule epithelial cells of the renal cortex. Nox4 is also expressed in fetal tissues, placenta, glioblastoma and vascular cells. Like gp91-phox, the enzymatic activity of Nox4 produces superoxide anions. In vascular cells, the addition of angiotensin II increases Nox4 expression, which suggests a role for Nox-4 in vascular oxidative stress response. |
| 应用 | 推荐稀释比例 |
| {WB} | {1:500-2000} |
| {IHC-P} | {1:100-500} |
| {IHC-F} | {1:100-500} |
| {IF} | {1:100-500} |
| {Flow-Cyt} | {1μg/Test} |



Lane 1: Kidney (Mouse) Lysate at 40 ug
Lane 2: Lung (Mouse) Lysate at 40 ug
Lane 3: Bronchus (Mouse) Lysate at 40 ug
Lane 4: Heart (Mouse) Lysate at 40 ug
Lane 5: Kidney (Rat) Lysate at 40 ug
Lane 6: Lung (Rat) Lysate at 40 ug
Lane 7: Bronchus (Rat) Lysate at 40 ug
Primary: Anti-NADPH oxidase 4 (bs-1091R) at 1/1000 dilution
Secondary: IRDye800CW Goat Anti-Rabbit IgG at 1/20000 dilution
Predicted band size: 64 kD
Observed band size: 62 kD

Primary Antibody (green line): Rabbit Anti-NADPH oxidase 4 antibody (bs-1091R)
Dilution: 1μg /10^6 cells;
Isotype Control Antibody (orange line): Rabbit IgG .
Secondary Antibody : Goat anti-rabbit IgG-AF488
Dilution: 1μg /test.
Protocol
The cells were fixed with 4% PFA (10min at room temperature)and then permeabilized with 90% ice-cold methanol for 20 min at -20℃. The cells were then incubated in 5%BSA to block non-specific protein-protein interactions for 30 min at room temperature .Cells stained with Primary Antibody for 30 min at room temperature. The secondary antibody used for 40 min at room temperature. Acquisition of 20,000 events was performed.






Primary Antibody (green line): Rabbit Anti-NADPH oxidase 4 antibody (bs-1091R)
Dilution: 1μg /10^6 cells;
Isotype Control Antibody (orange line): Rabbit IgG .
Secondary Antibody : Goat anti-rabbit IgG-PE
Dilution: 1μg /test.
Protocol
The cells were fixed with 4% PFA (10min at room temperature)and then permeabilized with PBST for 20 min at room temperature. The cells were then incubated in 5%BSA to block non-specific protein-protein interactions for 30 min at at room temperature .Cells stained with Primary Antibody for 30 min at room temperature. The secondary antibody used for 40 min at room temperature. Acquisition of 20,000 events was performed.
风险提示:丁香通仅作为第三方平台,为商家信息发布提供平台空间。用户咨询产品时请注意保护个人信息及财产安全,合理判断,谨慎选购商品,商家和用户对交易行为负责。对于医疗器械类产品,请先查证核实企业经营资质和医疗器械产品注册证情况。
文献和实验[IF={{ 7.963 }}] {Meiqiong Wu. et al. Suppression of NADPH oxidase 4 inhibits PM2.5-induced cardiac fibrosis through ROS-P38 MAPK pathway. SCI TOTAL ENVIRON. 2022 Apr;:155558} {WB} {Mouse,Rat}
[IF={{ 7.793 }}] {Wang JN et al. Smad3 promotes AKI sensitivity in diabetic mice via interaction with p53 and induction of NOX4-dependent ROS production. Redox Biol. 2020 Feb 26;32:101479.} {WB} {human}
[IF={{ 7.793 }}] {Wang JN et al. Smad3 Promotes AKI Sensitivity in Diabetic Mice via Interaction With p53 and Induction of NOX4-dependent ROS Production. Redox Biol. 2020 May;32:101479.} {WB,IF} {mouse}
[IF={{ 7.419 }}] {Zheng-Hao Sun. et al. Interruption of TRPC6-NFATC1 signaling inhibits NADPH oxidase 4 and VSMCs phenotypic switch in intracranial aneurysm. BIOMED PHARMACOTHER. 2023 May;161:114480} {IHC} {Human}
[IF={{ 6.691 }}] {Jiang, Wenjuan. et al. Macrophage-derived, LRG1-enriched extracellular vesicles exacerbate aristolochic acid nephropathy in a TGFβR1-dependent manner. 2021 Oct 22} {WB} {Human}
Discovery Genetics: The History and Future of Spontaneous Mutation Research
., Thalmann, R., Smith, R.J., Verpy, E., and Bánfi, B. 2006. Inactivation of NADPH oxidase organizer 1 results in severe imbalance. Curr. Biol. 16:208‐213. Lee, C.H., Reifsnyder, P
, Algermissen, B. et al. 3. Purification of rabbit liver aldehyde oxidase by affinity chromatography on benzamidine Sepharose 6B. J. Chromatogr. (1989), 475 363-72, Stell, J. G. P. et al. 4. The Crystal Structure of a T Cell Receptor in Complex
, Algermissen, B. et al. 3. Purification of rabbit liver aldehyde oxidase by affinity chromatography on benzamidine Sepharose 6B. J. Chromatogr. (1989), 475 363-72, Stell, J. G. P. et al. 4. The Crystal Structure of a T Cell Receptor in Complex
技术资料暂无技术资料 索取技术资料









