相关产品推荐更多 >

phospho-JAK2 (Tyr1007+Tyr1008) Rabbit pAb, Cy5 conjugated(bs-2485R-Cy5)-100ul
¥2980
phospho-NMDAR1 (Ser890) Rabbit pAb, Cy5 conjugated(bs-3301R-Cy5)-100ul
¥2980
LASS4 Rabbit pAb(bs-10189R)-50ul/100ul/200ul
¥1180
phospho-RhoGDI (Ser174) Rabbit pAb(bs-19875R)-50ul/100ul/200ul
¥1180
phospho-EPH A3+A4+A5 ( Tyr779) Rabbit pAb(bs-7555R)-50ul/100ul/200ul
¥1180
万千商家帮你免费找货
0 人在求购买到急需产品
- 详细信息
- 文献和实验
- 技术资料
- 应用范围:
产品信息以Bioss网站为准
- 规格:
50ul/100ul/200ul
| 规格: | 50ul | 产品价格: | ¥1180.0 |
|---|---|---|---|
| 规格: | 100ul | 产品价格: | ¥1980.0 |
| 规格: | 200ul | 产品价格: | ¥2800.0 |
| 产品编号 | bs-20812R |
| 英文名称 | ZP2 Rabbit pAb |
| 中文名称 | 卵透明带糖蛋白2抗体 |
| 英文别名 | OTTHUMP00000115849; Processed zona pellucida sperm-binding protein 2; Zona pellucida glycoprotein 2; zona pellucida glycoprotein ZP2; Zona pellucida protein A; Zp-2; ZP2; ZP2_HUMAN; ZP2_MOUSE; ZPA. |
| 产品应用 | IHC-P=1:100-500, IHC-F=1:100-500, IF=1:100-500 Not yet tested in other applications. |
| 交叉反应 | Mouse, Rat |
| 抗体来源 | Rabbit |
| 免疫原 | KLH conjugated synthetic peptide derived from human ZP2 |
| 亚型 | IgG |
| 性状 | Liquid |
| 纯化方法 | affinity purified by Protein A |
| 克隆类型 | Polyclonal |
| 理论分子量 | 76 kDa |
| 浓度 | 1mg/ml |
| 储存液 | 0.01M TBS (pH7.4) with 1% BSA, 0.02% Proclin300 and 50% Glycerol. |
| 研究领域 | Developmental Biology > Reproduction > Fertilisation |
| 亚基 | Polymers of ZP2 and ZP3 organized into long filaments cross-linked by ZP1 homodimers. |
| 亚细胞定位 | Cell membrane; Single-pass type I membrane protein. Processed zona pellucida sperm-binding protein 2: Secreted, extracellular space, extracellular matrix. Note=The glycoproteinaceous translucent extracellular matrix that surrounds the mammalian oocyte is called zona pellucida. |
| 组织特异性 | Oocytes. |
| 翻译后修饰 | Proteolytically cleaved before the transmembrane segment to yield the secreted ectodomain incorporated in the zona pellucida. Additional proteolytically cleavage of the N-terminal peptide of 30 kDa occurs in one-cell and two-cell embryos (By similarity). Proteolytically cleaved in the N-terminal part probably by the metalloendopeptidase ASTL exocytosed from cortical granules after fertilization, yielding a N-terminal peptide of about 30 kDa which remains covalently attached to the C-terminal peptide via disulfide bond(s). This cleavage may play an important role in the post-fertilization block to polyspermy. -glycosylated; N-linked glycans are of high-mannose/hybrid type, as well as bi-, tri- and tetra-antennary sialylated complex types. O-glycosylated; contains sulfate-substituted glycans. |
| 相似性 | Belongs to the ZP domain family.
ZPA subfamily. Contains 1 ZP domain. |
| 功能 | The mammalian zona pellucida, which mediates species-specific sperm binding, induction of the acrosome reaction and prevents post-fertilization polyspermy, is composed of three to four glycoproteins, ZP1, ZP2, ZP3, and ZP4. ZP2 may act as a secondary sperm receptor. |
| 保存条件 | Shipped at 4℃. Store at -20℃ for one year. Avoid repeated freeze/thaw cycles. |
| 注意事项 | This product as supplied is intended for research use only, not for use in human, therapeutic or diagnostic applications. |
| 背景资料 | The zona pellucida is an extracellular matrix that surrounds the oocyte and early embryo. It is composed of three glycoproteins with various functions during fertilization and preimplantation development. The glycosylated mature peptide is one of the structural components of the zona pellucida and functions in secondary binding and penetration of acrosome-reacted spermatozoa. Female mice lacking this gene do not form a stable zona matrix and are sterile. Alternative splicing results in multiple transcript variants. [provided by RefSeq, Feb 2014] |
| 应用 | 推荐稀释比例 |
| {IHC-P} | {1:100-500} |
| {IHC-F} | {1:100-500} |
| {IF} | {1:100-500} |

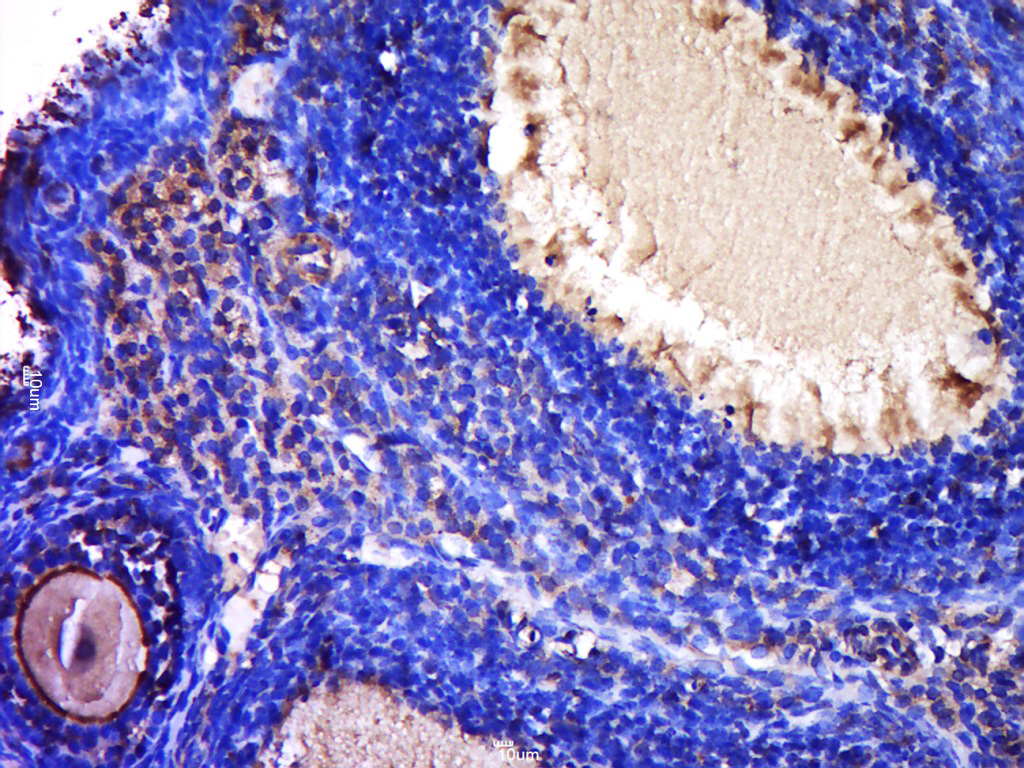
Paraformaldehyde-fixed, paraffin embedded (Rat ovary); Antigen retrieval by boiling in sodium citrate buffer (pH6.0) for 15min; Block endogenous peroxidase by 3% hydrogen peroxide for 20 minutes; Blocking buffer (normal goat serum) at 37°C for 30min; Antibody incubation with (Processed zona pellucida sperm-binding protein 2; ZP2) Polyclonal Antibody, Unconjugated (bs-20812R) at 1:400 overnight at 4°C, followed by a conjugated secondary (sp-0023) for 20 minutes and DAB staining.

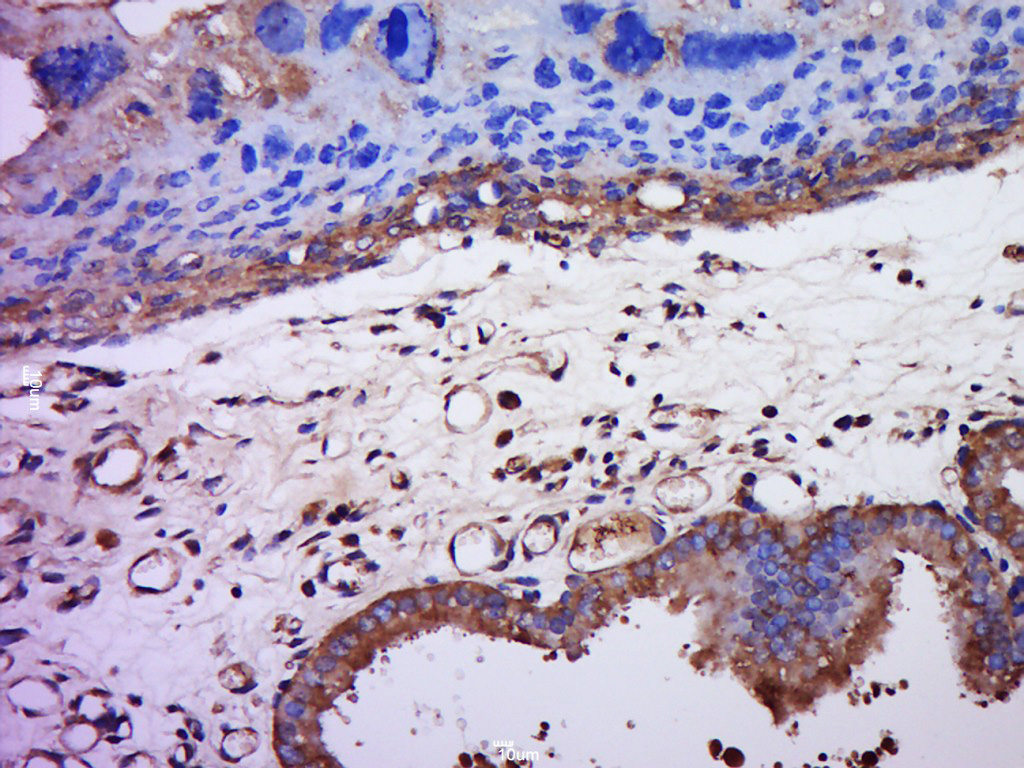
Paraformaldehyde-fixed, paraffin embedded (Mouse placenta); Antigen retrieval by boiling in sodium citrate buffer (pH6.0) for 15min; Block endogenous peroxidase by 3% hydrogen peroxide for 20 minutes; Blocking buffer (normal goat serum) at 37°C for 30min; Antibody incubation with (Processed zona pellucida sperm-binding protein 2; ZP2) Polyclonal Antibody, Unconjugated (bs-20812R) at 1:400 overnight at 4°C, followed by a conjugated secondary (sp-0023) for 20 minutes and DAB staining.
风险提示:丁香通仅作为第三方平台,为商家信息发布提供平台空间。用户咨询产品时请注意保护个人信息及财产安全,合理判断,谨慎选购商品,商家和用户对交易行为负责。对于医疗器械类产品,请先查证核实企业经营资质和医疗器械产品注册证情况。
文献和实验该产品被引用文献
[IF={{ 3.777 }}] {Ling Shuai. et al. Hydroxychloroquine protects against autoimmune premature ovarian insufficiency by modulating the Treg/Th17 cell ratio in BALB/c mice. AM J REPROD IMMUNOL. 2023 Feb;:} {IHC} {Mouse}
技术资料暂无技术资料 索取技术资料
文献支持
ZP2 Rabbit pAb(bs-20812R)-50ul/100ul/200ul
¥1180 - 2800





