相关产品推荐更多 >

Hyaluronidase3 Rabbit pAb, HRP conjugated(bs-5889R-HRP)-100ul
¥2980
Caspase 2 Rabbit pAb(bs-5802R)-50ul/100ul/200ul
¥1180
phospho-Histone H3 (Ser28) Rabbit pAb(bs-3187R)-50ul/100ul/200ul
¥1180
ETV2 Rabbit pAb, BF594 conjugated(bs-12341R-BF594)-100ul
¥2980
DOK5 Rabbit pAb, PerCP-Cy5.5 conjugated(bs-8587R-PerCP-Cy5.5)-100ul
¥2980
万千商家帮你免费找货
0 人在求购买到急需产品
- 详细信息
- 文献和实验
- 技术资料
- 应用范围:
产品信息以Bioss网站为准
- 规格:
50ul/100ul/25ul
| 规格: | 50ul | 产品价格: | ¥1400.0 |
|---|---|---|---|
| 规格: | 100ul | 产品价格: | ¥2500.0 |
| 规格: | 25ul | 产品价格: | ¥800.0 |
| 产品编号 | bsm-52750R |
| 英文名称 | COX4I1 Recombinant Rabbit mAb |
| 中文名称 | 细胞色素c氧化酶IV重组兔单抗 |
| 英文别名 | COX41_HUMAN; Cytochrome c oxidase subunit 4 isoform 1, mitochondrial; COX4; Cytochrome c oxidase polypeptide IV; Cytochrome c oxidase subunit IV isoform 1(COX IV-1); COX-IV; COX IV; COX 4; COX 4I1; |
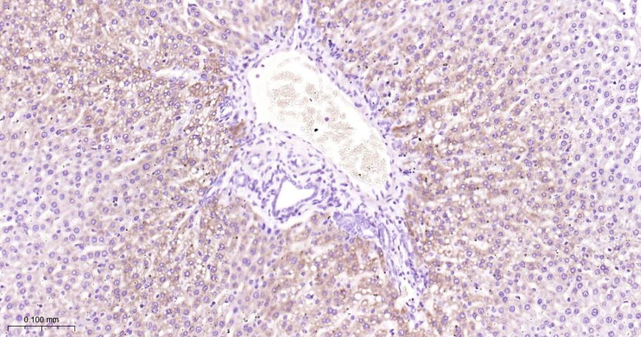
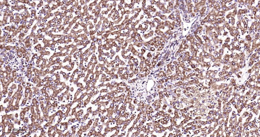
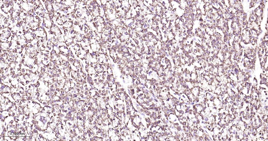
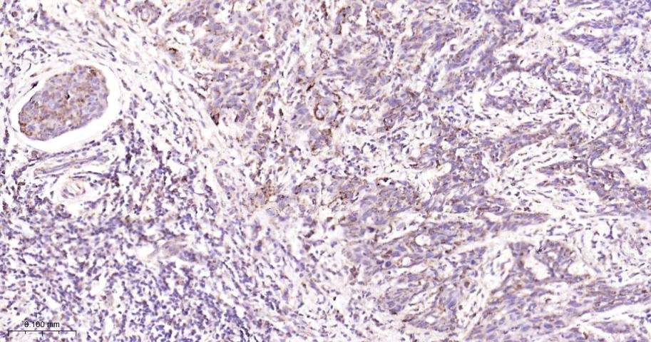
| 产品应用 | WB=1:500-2000, IHC-P=1:100-500, IHC-F=1:100-500, IF=1:100-500, Flow-Cyt=1:50-100 Not yet tested in other applications. |
| 交叉反应 | Human, Mouse, Rat |
| 抗体来源 | Rabbit |
| 免疫原 | A synthesized peptide derived from human COX IV |
| 亚型 | IgG |
| 性状 | Liquid |
| 纯化方法 | affinity purified by Protein A |
| 克隆类型 | Recombinant |
| 理论分子量 | 17 kDa |
| 浓度 | 1mg/ml |
| 储存液 | 0.01M TBS (pH7.4) with 1% BSA, 0.02% Proclin300 and 50% Glycerol. |
| 研究领域 | Cancer > Cancer Metabolism > Metabolic signaling pathway > Integration of energy metabolism Isotype/Loading Controls > Loading Controls > COX IV - Mitochondrial Metabolism > Pathways and Processes > Metabolic signaling pathways > Energy transfer pathways > Integration of energy Metabolism > Pathways and Processes > Mitochondrial Metabolism > Mitochondrial markers Metabolism > Pathways and Processes > Mitochondrial Metabolism > Oxidative phosphorylation > Complex IV Signal Transduction > Metabolism > Mitochondrial Tags & Cell Markers > Subcellular Markers > Organelles > Mitochondria |
| 亚细胞定位 | Mitochondrion inner membrane. |
| 组织特异性 | Ubiquitous. |
| 翻译后修饰 | Ubiquitous. |
| 相似性 | Belongs to the cytochrome c oxidase IV family. |
| 功能 | This protein is one of the nuclear-coded polypeptide chains of cytochrome c oxidase, the terminal oxidase in mitochondrial electron transport. |
| 保存条件 | Store at -20℃ for one year. Avoid repeated freeze/thaw cycles. |
| 注意事项 | This product as supplied is intended for research use only, not for use in human, therapeutic or diagnostic applications. |
| 背景资料 | Cytochrome c oxidase (COX) is the terminal enzyme of the mitochondrial respiratory chain. It is a multi-subunit enzyme complex that couples the transfer of electrons from cytochrome c to molecular oxygen and contributes to a proton electrochemical gradient across the inner mitochondrial membrane. The complex consists of 13 mitochondrial- and nuclear-encoded subunits. The mitochondrially-encoded subunits perform the electron transfer and proton pumping activities. The functions of the nuclear-encoded subunits are unknown but they may play a role in the regulation and assembly of the complex. This gene encodes the nuclear-encoded subunit IV isoform 1 of the human mitochondrial respiratory chain enzyme. It is located at the 3' of the NOC4 (neiGHBor of COX4) gene in a head-to-head orientation, and shares a promoter with it. [provided by RefSeq, Jul 2008] |
| 应用 | 推荐稀释比例 |
| {WB} | {1:500-2000} |
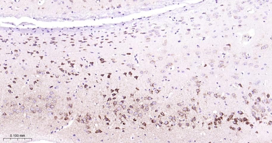
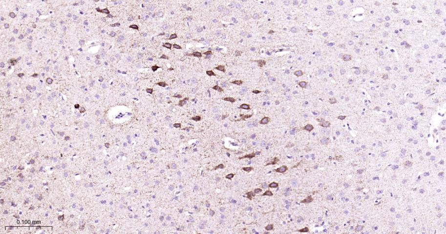
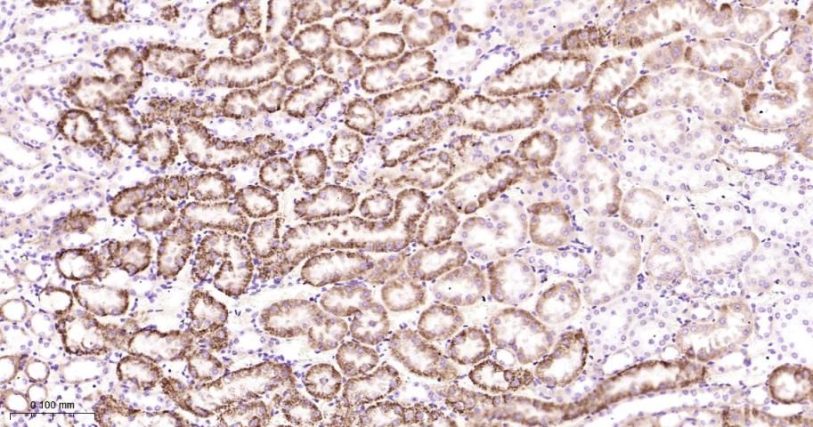
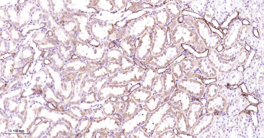
| {IHC-P} | {1:100-500} |
| {IHC-F} | {1:100-500} |
| {IF} | {1:100-500} |
| {Flow-Cyt} | {1:50-100} |
















风险提示:丁香通仅作为第三方平台,为商家信息发布提供平台空间。用户咨询产品时请注意保护个人信息及财产安全,合理判断,谨慎选购商品,商家和用户对交易行为负责。对于医疗器械类产品,请先查证核实企业经营资质和医疗器械产品注册证情况。
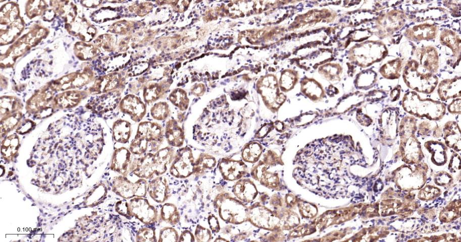
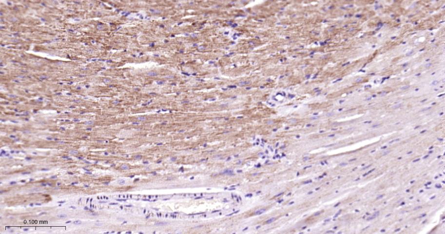
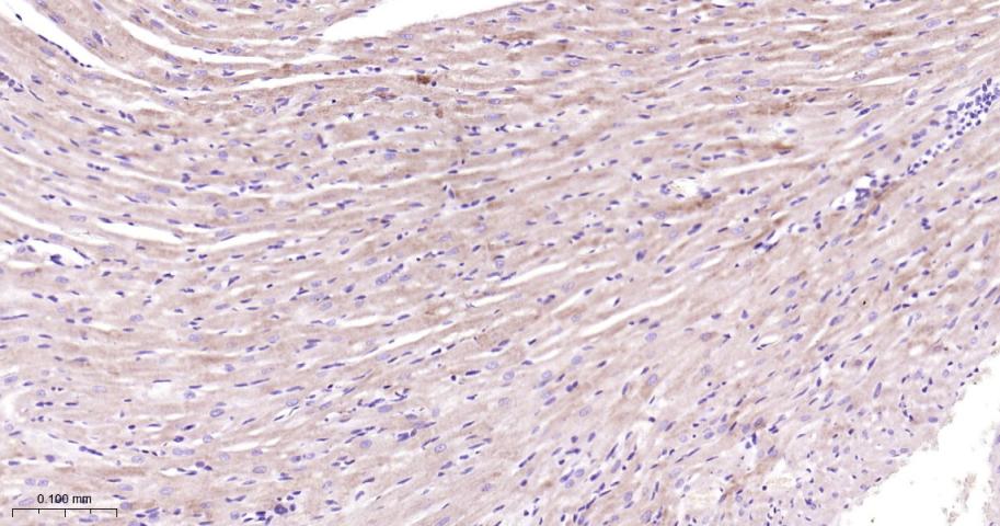
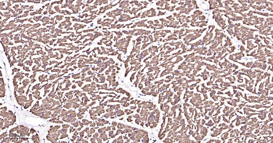
文献和实验[IF={{ 3.8 }}] {Feng-Xia Qu. et al. Treatment with a combination of myricitrin and exercise alleviates myocardial infarction in rats via suppressing Nrf2/HO-1 antioxidant pathway. ARCH BIOCHEM BIOPHYS. 2024 Sep;:110153} {WB} {Rat}
[IF={{ 3.708 }}] {Xuena Zhang. et al. Luteoloside Prevents Sevoflurane-induced Cognitive Dysfunction in Aged Rats via Maintaining Mitochondrial Function and Dynamics in Hippocampal Neurons. NEUROSCIENCE. 2023 Feb;:} {WB} {Rat}
到 PVDF 膜上,同时减少蛋白不必要降解,这对于最终获得清晰、可信结果也是需要考虑因素。抗体信息:1.ACC1, Recombinant Rabbit monoclonal IgG. HuaAn. HuaAn biotechnology , inc.2.ATGL, Mouse mAb IgG1, Cat#:RT1058. HuaAn biotechnology , inc.3.p-PERK(Thr981), Rabbit Polyclonal IgG primary antibodies, Cat
The OP9-DL1 System: Generation of T-Lymphocytes from Embryonic or Hematopoietic Stem Cells In Vitro
al. 2006b ). MATERIALS Reagents Anti-CD24 monoclonal antibody (mAb) (J11d clone) (for Protocol 3) Use either culture supernatant that contains anti-CD24 mAb or purified anti-CD24 mAb (see Step 55). BDPharmLyse (red blood cell lysing
技术资料暂无技术资料 索取技术资料






