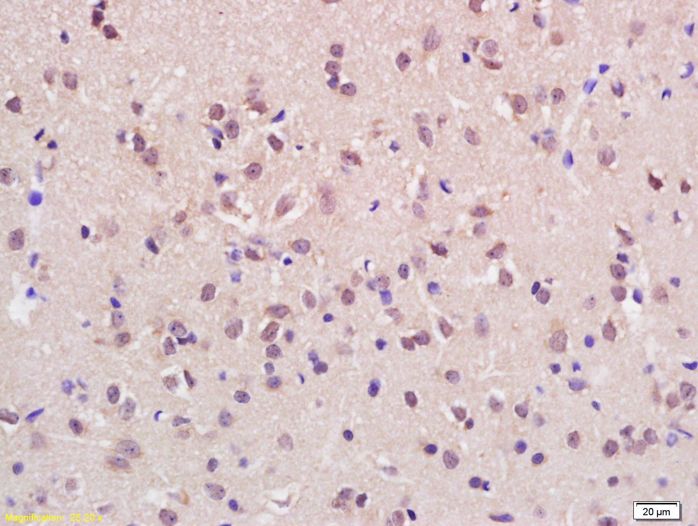
Tissue/cell: rat brain tissue; 4% Paraformaldehyde-fixed and paraffin-embedded;
Antigen retrieval: citrate buffer ( 0.01M, pH 6.0 ), Boiling bathing for 15min; Block endogenous peroxidase by 3% Hydrogen peroxide for 30min; Blocking buffer (normal goat serum,C-0005) at 37℃ for 20 min;
Incubation: Anti-KMT2H/ASH1L Polyclonal Antibody, Unconjugated(bs-11866R) 1:200, overnight at 4°C, followed by conjugation to the secondary antibody(SP-0023) and DAB(C-0010) staining
相关产品推荐更多 >

CK7 Rabbit pAb, PE-Cy7 conjugated(bs-1610R-PE-Cy7)-100ul
¥2980
TMEM158 Rabbit pAb, Cy5.5 conjugated(bs-11770R-Cy5.5)-100ul
¥2980
Myc tag Rabbit pAb, HRP conjugated(bs-23166R-HRP)-100ul
¥1200
DOK7 Rabbit pAb, Biotin conjugated(bs-13633R-Bio)-100ul
¥2980
phospho-ACACA (Ser80) Rabbit pAb(bs-12954R)-50ul/100ul/200ul
¥1180
万千商家帮你免费找货
0 人在求购买到急需产品
- 详细信息
- 技术资料
- 应用范围:
产品信息以Bioss网站为准
- 规格:
50ul/100ul/200ul
| 规格: | 50ul | 产品价格: | ¥1180.0 |
|---|---|---|---|
| 规格: | 100ul | 产品价格: | ¥1980.0 |
| 规格: | 200ul | 产品价格: | ¥2800.0 |
| 产品编号 | bs-11866R |
| 英文名称 | ASH1L Rabbit pAb |
| 中文名称 | KMT2H蛋白抗体 |
| 英文别名 | KMT2H/ASH1; KMT2H; ASH1; Absent small and homeotic disks protein 1 homolog; Absent Small or Homeotic Like; ASH 1; ASH 1L; ash1(absent small or homeotic 1); Ash1(absent small or homeotic) like; ASH1-like protein; ASH1L_HUMAN; ASH1L1; FLJ10504; huASH1; KIAA1420; Lysine N-methyltransferase 2H; Probable histone-lysine N-methyltransferase ASH1L. |
| 产品应用 | IHC-P=1:100-500, IHC-F=1:100-500, IF=1:100-500 Not yet tested in other applications. |
| 交叉反应 | Rat (Human, Mouse, Chicken, Dog, Pig, Cow, Horse, Rabbit, Sheep) |
| 抗体来源 | Rabbit |
| 免疫原 | KLH conjugated synthetic peptide derived from human ASH1L |
| 亚型 | IgG |
| 性状 | Liquid |
| 纯化方法 | affinity purified by Protein A |
| 克隆类型 | Polyclonal |
| 理论分子量 | 333 kDa |
| 浓度 | 1mg/ml |
| 储存液 | 0.01M TBS (pH7.4) with 1% BSA, 0.02% Proclin300 and 50% Glycerol. |
| 研究领域 | Epigenetics and Nuclear Signaling > Bromodomains Epigenetics and Nuclear Signaling > Chromatin Remodeling > Trithorax Neuroscience > Neurology process > Neurogenesis |
| 亚细胞定位 | Nucleus. Cell junction, tight junction. Chromosome (Probable). Note=The relevance of tight junction localization is however unclear. |
| 组织特异性 | Widely expressed, with highest level in brain, heart and kidney. |
| 相似性 | Belongs to the histone-lysine methyltransferase family. SET2 subfamily. Contains 3 A.T hook DNA-binding domains. Contains 1 AWS domain. Contains 1 BAH domain. Contains 1 bromo domain. Contains 1 PHD-type zinc finger. Contains 1 post-SET domain. Contains 1 SET domain. |
| 功能 | Histone methyltransferase. Probably methylates 'Lys-4' of histone H3, a specific tag for epigenetic transcriptional activation. |
| 保存条件 | Shipped at 4℃. Store at -20℃ for one year. Avoid repeated freeze/thaw cycles. |
| 注意事项 | This product as supplied is intended for research use only, not for use in human, therapeutic or diagnostic applications. |
| 背景资料 | ASH1L is a 2,969 amino acid protein encoded by the human gene ASH1L. ASH1L belongs to the histone-lysine methyltransferase family (SET2 subfamily) and contains three AT hook DNA-binding domains, one AWS domain, one BAH domain, one bromodomain, one PHD-type zinc finger, one post-SET domain and one SET domain. It is a widely expressed nuclear protein with highest expression found in brain, heart and kidney. ASH1L is a histone methyltransferase and is believed to methylate 'Lys-4' of Histone H3, which is a specific tag for epigenetic transcriptional activation. |
| 应用 | 推荐稀释比例 |
| {IHC-P} | {1:100-500} |
| {IHC-F} | {1:100-500} |
| {IF} | {1:100-500} |

风险提示:丁香通仅作为第三方平台,为商家信息发布提供平台空间。用户咨询产品时请注意保护个人信息及财产安全,合理判断,谨慎选购商品,商家和用户对交易行为负责。对于医疗器械类产品,请先查证核实企业经营资质和医疗器械产品注册证情况。
技术资料暂无技术资料 索取技术资料
ASH1L Rabbit pAb(bs-11866R)-50ul/100ul/200ul
¥1180 - 2800





