相关产品推荐更多 >
万千商家帮你免费找货
0 人在求购买到急需产品
- 详细信息
- 文献和实验
- 技术资料
- 应用范围:
产品信息以Bioss网站为准
- 规格:
50ul/100ul/200ug
| 规格: | 50ul | 产品价格: | ¥1180.0 |
|---|---|---|---|
| 规格: | 100ul | 产品价格: | ¥1980.0 |
| 规格: | 200ug | 产品价格: | ¥5600.0 |
| 产品编号 | bsm-41731M |
| 英文名称 | Mucin-1 Mouse mAb |
| 中文名称 | 粘蛋白-1单克隆抗体 |
| 英文别名 | Breast carcinoma associated antigen DF3; Breast carcinoma associated antigen DF3; Breast carcinoma-associated antigen DF3; CA 15 3; CA 15-3; CA15 3; CA15 3 antigen; CA15.3; Cancer antigen 15-3; Carcinoma associated mucin; Carcinoma associated mucin; Carcinoma-associated mucin; CD 227; CD227; CD227; CD227 antigen; DF3 antigen; DF3 antigen; EMA; EMA; Episialin; Episialin; Epithelial membrane antigen; Epithelial membrane antigen; Epithelial mucin tandem repeat sequence; H23 antigen; H23 antigen; H23AG; H23AG; HGNC:7508; KL 6; KL-6; KL6; Krebs von den Lungen-6; MAM 6; MAM6; MUC 1; MUC 1; MUC-1; MUC-1/SEC; MUC-1/X; MUC1; MUC1-alpha; MUC1-beta; MUC1-CT; MUC1-NT; MUC1/ZD; MUC1_HUMAN; Mucin 1; Mucin 1 precursor; Mucin 1 transmembrane; Mucin-1 subunit beta; Mucin1; Mucin1; Peanut reactive urinary mucin; Peanut reactive urinary mucin; Peanut-reactive urinary mucin; PEM; PEMT; PEMT; Polymorphic epithelial mucin; Polymorphic epithelial mucin; PUM; PUM; Tumor associated epithelial membrane antigen; Tumor associated epithelial membrane antigen; Tumor associated epithelial mucin; Tumor associated mucin; Tumor associated mucin; Tumor-associated epithelial membrane antigen; Tumor-associated mucin. |
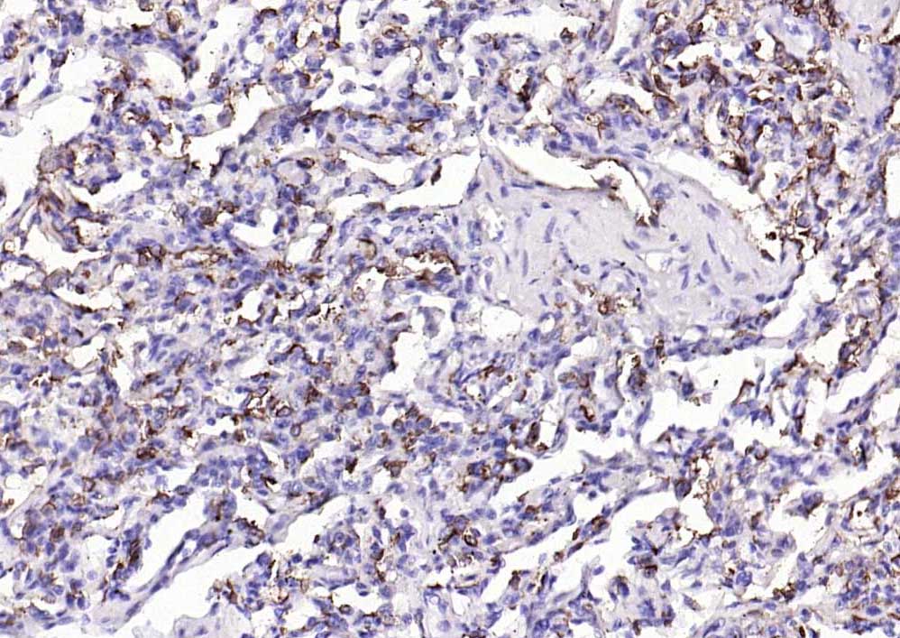
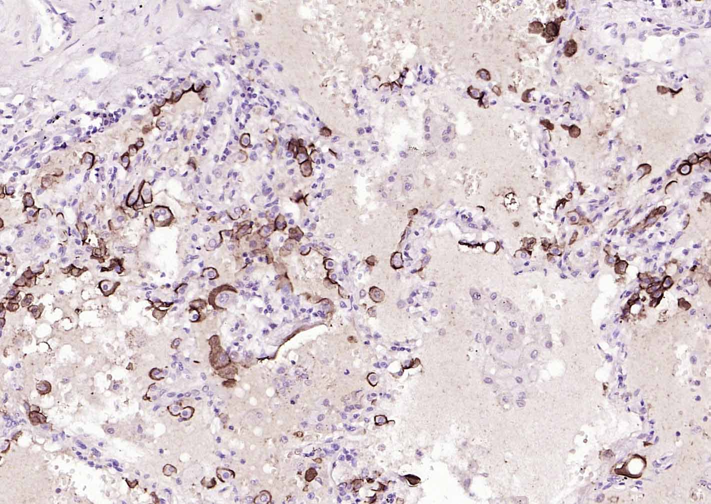
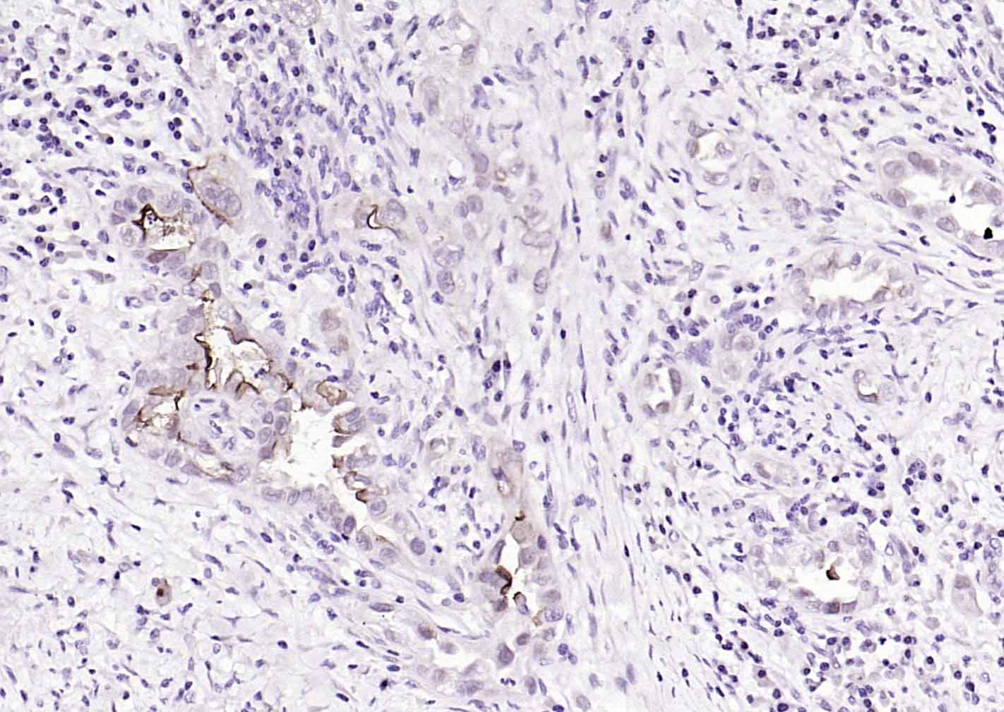
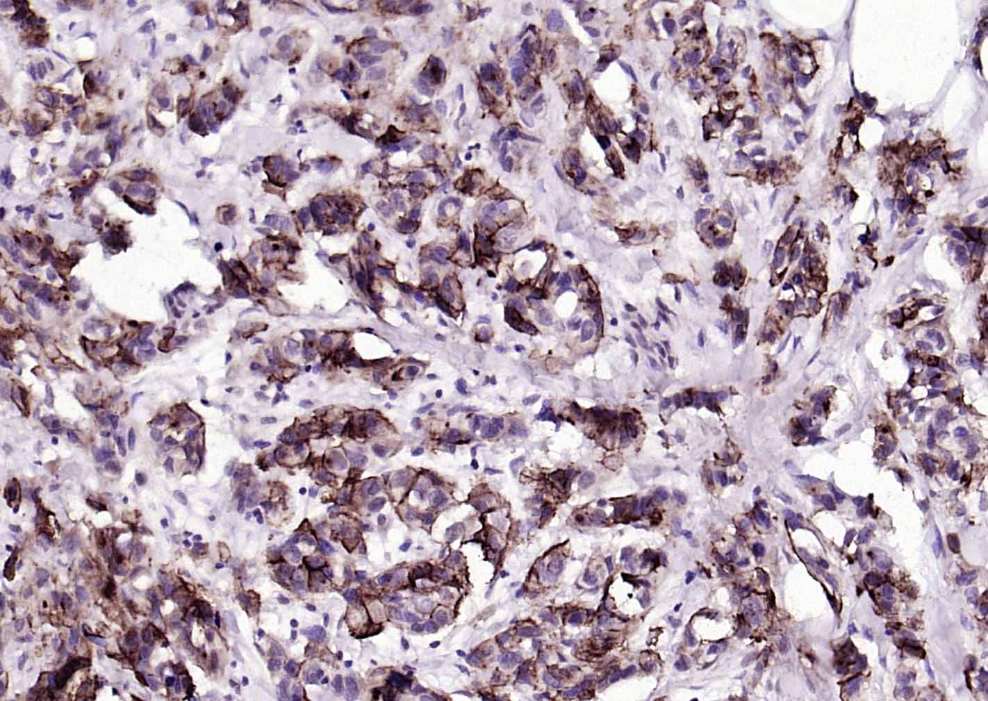
| 产品应用 | IHC-P=1:100-500, IHC-F=1:100-500, IF=1:100-500 Not yet tested in other applications. |
| 交叉反应 | Human, human lung carcinoma, lung, lung, lung, lung, human breast carcinoma, human breast carcinoma, human breast carcinoma, human breast carcinoma, human endometrial carcinoma, human endometrial carcinoma, human endometrial carcinoma, human endometrial carcinoma, human breast carcinoma, human breast carcinoma, human breast carcinoma, human endometrial carcinoma, human endometrial carcinoma, human endometrial carcinoma, human cervical carcinoma, human cervical carcinoma, human cervical carcinoma, human cervical carcinoma, human breast carcinoma, human breast carcinoma, human breast carcinoma, human endometrial carcinoma, human endometrial carcinoma, human endometrial carcinoma |
| 抗体来源 | Mouse |
| 免疫原 | Recombinant Human Mucin-1 Protein |
| 亚型 | IgG1 |
| 性状 | Liquid |
| 纯化方法 | affinity purified by Protein A |
| 克隆类型 | Monoclonal |
| 理论分子量 | 138 kDa |
| 浓度 | 1mg/ml |
| 储存液 | 0.01M TBS (pH7.4) with 1% BSA, 0.02% Proclin300 and 50% Glycerol. |
| 研究领域 | Cancer > Invasion/microenvironment > ECM > Extracellular matrix > MUC Cancer > Tumor immunology > Tumor-associated antigens Signal Transduction > Cytoskeleton / ECM > Extracellular Matrix > ECM Proteins > MUC Tags & Cell Markers > Cell Type Markers > Tumor Associated |
| 亚基 | The alpha subunit forms a tight, non-covalent heterodimeric complex with the proteolytically-released beta-subunit. |
| 亚细胞定位 | Secreted; Cell membrane. Cytoplasm. Nucleus. On EGF and PDGFRB stimulation, transported to the nucleus through interaction with CTNNB1, a process which is stimulated by phosphorylation. On HRG stimulation, colocalizes with JUP/gamma-catenin at the nucleus and Apical cell membrane. Exclusively located in the apical domain of the plasma membrane of highly polarized epithelial cells. After endocytosis, internalized and recycled to the cell membrane. Located to microvilli and to the tips of long filopodial protusions. |
| 组织特异性 | Expressed on the apical surface of epithelial cells, especially of airway passages, breast and uterus. Also expressed in activated and unactivated T-cells. Overexpressed in epithelial tumors, such as breast or ovarian cancer and also in non-epithelial tumor cells. Isoform 7 is expressed in tumor cells only. |
| 翻译后修饰 | Highly glycosylated (N- and O-linked carbohydrates and sialic acid). O-glycosylated to a varying degree on serine and threonine residues within each tandem repeat, ranging from mono- to penta-glycosylation. The average density ranges from about 50% in human milk to over 90% in T47D breast cancer cells. Further sialylation occurs during recycling. Membrane-shed glycoproteins from kidney and breast cancer cells have preferentially sialyated core 1 structures, while secreted forms from the same tissues display mainly core 2 structures. The O-glycosylated content is overlapping in both these tissues with terminal fucose and galactose, 2- and 3-linked galactose, 3- and 3,6-linked GalNAc-ol and 4-linked GlcNAc predominating. Differentially O-glycosylated in breast carcinomas with 3,4-linked GlcNAc. N-glycosylation consists of high-mannose, acidic complex-type and hybrid glycans in the secreted form MUC1/SEC, and neutral complex-type in the transmembrane form, MUC1/TM. Proteolytic cleavage in the SEA domain occurs in the endoplasmic reticulum by an autoproteolytic mechanism and requires the full-length SEA domain as well as requiring a Ser, Thr or Cys residue at the P + 1 site. Cleavage at this site also occurs on isoform MUC1/X but not on isoform MUC1/Y. Ectodomain shedding is mediated by ADAM17. |
| 相似性 | Contains 1 SEA domain. |
| 功能 | The alpha subunit has cell adhesive properties. Can act both as an adhesion and an anti-adhesion protein. May provide a protective layer on epithelial cells against bacterial and enzyme attack. The beta subunit contains a C-terminal domain which is involved in cell signaling, through phosphorylations and protein-protein interactions. Modulates signaling in ERK, SRC and NF-kappa-B pathways. In activated T-cells, influences directly or indirectly the Ras/MAPK pathway. Promotes tumor progression. Regulates TP53-mediated transcription and determines cell fate in the genotoxic stress response. Binds, together with KLF4, the PE21 promoter element of TP53 and represses TP53 activity. |
| 保存条件 | Shipped at 4℃. Store at -20℃ for one year. Avoid repeated freeze/thaw cycles. |
| 注意事项 | This product as supplied is intended for research use only, not for use in human, therapeutic or diagnostic applications. |
| 背景资料 | MUC1 is a large cell surface mucin glycoprotein expressed by most glandular and ductal epithelial cells and some hematopoietic cell lineages. It is expressed on most secretory epithelium, including mammary gland and some hematopoietic cells. It is expressed abundantly in lactating mammary glands and overexpressed abundantly in >90% breast carcinomas and metastases. Transgenic MUC1 has been shown to associate with all four cebB receptors and localize with erbB1 (EGFR) in lactating glands. The MUC1 gene contains seven exons and produces several different alternatively spliced variants. The major expressed form of MUC1 uses all seven exons and is a type 1 transmembrane protein with a large extracellular tandem repeat domain. The tandem repeat domain is highly O glycosylated and alterations in glycosylation have been shown in epithelial cancer cells. |
| 应用 | 推荐稀释比例 |
| {IHC-P} | {1:100-500} |
| {IHC-F} | {1:100-500} |
| {IF} | {1:100-500} |





风险提示:丁香通仅作为第三方平台,为商家信息发布提供平台空间。用户咨询产品时请注意保护个人信息及财产安全,合理判断,谨慎选购商品,商家和用户对交易行为负责。对于医疗器械类产品,请先查证核实企业经营资质和医疗器械产品注册证情况。
文献和实验T-Cell Activation Using mAb to CD3
One of the most common ways to assess T cell activation is to measure T cell proliferation upon in vitro stimulation of T cells via antigen or agonistic antibodies to TCR. This protocol is written as a starting point for examining in vitro proliferation of mouse
WHOLE MOUNT IN SITU HYBRIDIZATION. Mouse Embryos
. Use gloves and aerosol barrier tips. Linearize the plasmid and check the digest. Phenol extract. Extract twice with chloroform:isoamyl alcohol (24:1) Ethanol precipitate ( 1/2 vol 7.5 M NH4 OAc + 2.5 vol 100
Hybrid Resistance by Mouse NK Cells In Vitro
A purified NK cells to kill H2d target cells can be reversed by adding MAb reagents that bind to either Ly49A or H2-Dd . We and others have extended these early findings to the Ly49C and I subsets of NK cells, and have recently detected positive signaling
技术资料暂无技术资料 索取技术资料









