Cytokeratin 14 Recombinant Rabbit mAb(bsm-52054R)-50ul/100ul
文献支持

Cytokeratin 14 Recombinant Rab

bit mAb(bsm-52054R)-50ul/100ul
收藏
  • ¥1400 - 2500
  • Bioss已认证
  • bsm-52054R
  • 2025年10月17日
  • 产品信息以Bioss网站为准
avatar
品牌商
9钻石会员
  • 企业认证

    点击 QQ 联系

    • 详细信息
    • 文献和实验
    • 技术资料
    • 应用范围

      产品信息以Bioss网站为准

    • 规格

      50ul/100ul

    规格:50ul产品价格:¥1400.0
    规格:100ul产品价格:¥2500.0
    产品编号bsm-52054R
    英文名称Cytokeratin 14 Recombinant Rabbit mAb
    中文名称细胞角蛋白14重组兔单抗
    英文别名Cytokeratin 14; CK 14; Cytokeratin14; Cytokeratin-14; Dowling Meara; ebs3; Epidermolysis bullosa simplex; k14; Keratin 14; Keratin type I cytoskeletal 14; Keratin14; Koebner; Krt 14; krt14; EBS3; EBS4; NFJ; Keratin, type I cytoskeletal 14; K1C14_HUMAN.
    产品应用IHC-P=1:200-1000, IHC-F=1:200-1000, IF=1:200-1000

    Not yet tested in other applications.
    Optimal working dilutions must be determined by the end user.

    交叉反应Human, Mouse, Rat
    抗体来源Rabbit
    免疫原Recombinant human Cytokeratin 14 protein, around C-terminal 150aa
    亚型IgG
    性状Liquid
    纯化方法affinity purified by Protein A
    克隆类型Recombinant
    理论分子量52 kDa
    浓度1mg/ml
    储存液0.01M TBS (pH7.4) with 1% BSA, 0.02% Proclin300 and 50% Glycerol.
    研究领域

    Signal Transduction > Cytoskeleton / ECM > Cytoskeleton > Intermediate Filaments > Class I > Cytokeratins

    亚基Heterotetramer of two type I and two type II keratins. keratin-14 associates with keratin-5. Interacts with TRADD and with keratin filaments. Associates with other type I keratins.
    亚细胞定位Cytoplasm. Nucleus. Note=Expressed in both as a filamentous pattern.
    组织特异性Detected in the basal layer, lowered within the more apically located layers specifically in the stratum spinosum, stratum granulosum but is not detected in stratum corneum. Strongly expressed in the outer root sheath of anagen follicles but not in the germinative matrix, inner root sheath or hair. Found in keratinocytes surrounding the club hair during telogen.
    翻译后修饰A disulfide bond is formed between rather than within filaments and promotes the formation of a keratin filament cage around the nucleus.
    相似性Belongs to the intermediate filament family.
    功能The nonhelical tail domain is involved in promoting KRT5-KRT14 filaments to self-organize into large bundles and enhances the mechanical properties involved in resilience of keratin intermediate filaments in vitro.
    保存条件Shipped at 4℃. Store at -20℃ for one year. Avoid repeated freeze/thaw cycles.
    注意事项This product as supplied is intended for research use only, not for use in human, therapeutic or diagnostic applications.
    背景资料This gene encodes a member of the keratin family, the most diverse group of intermediate filaments. This gene product, a type I keratin, is usually found as a heterotetramer with two keratin 5 molecules, a type II keratin. Together they form the cytoskeleton of epithelial cells. Mutations in the genes for these keratins are associated with epidermolysis bullosa simplex. At least one pseudogene has been identified at 17p12-p11. [provided by RefSeq].

     

    应用推荐稀释比例
    {IHC-P}{1:200-1000}
    {IHC-F}{1:200-1000}
    {IF}{1:200-1000}

     

    Cytokeratin 14 Recombinant Rab
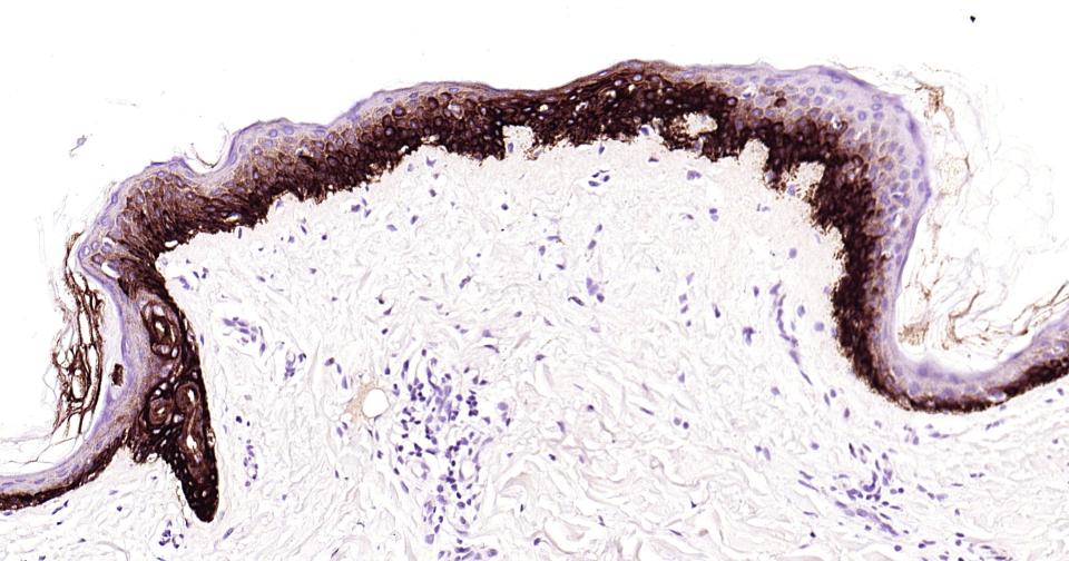
    P‌‌araformaldehyde-fixed, paraffin embedded Mouse Skin; Antigen retrieval by boiling in sodium citrate buffer (pH6.0) for 15 min; Antibody incubation with Cytokeratin 14  Monoclonal Antibody, Unconjugated(bsm-52054R) at 1:200 overnight at 4°C, followed by conjugation to the bs-0295G-HRP and DAB (C-0010) staining.
    Cytokeratin 14 Recombinant Rab
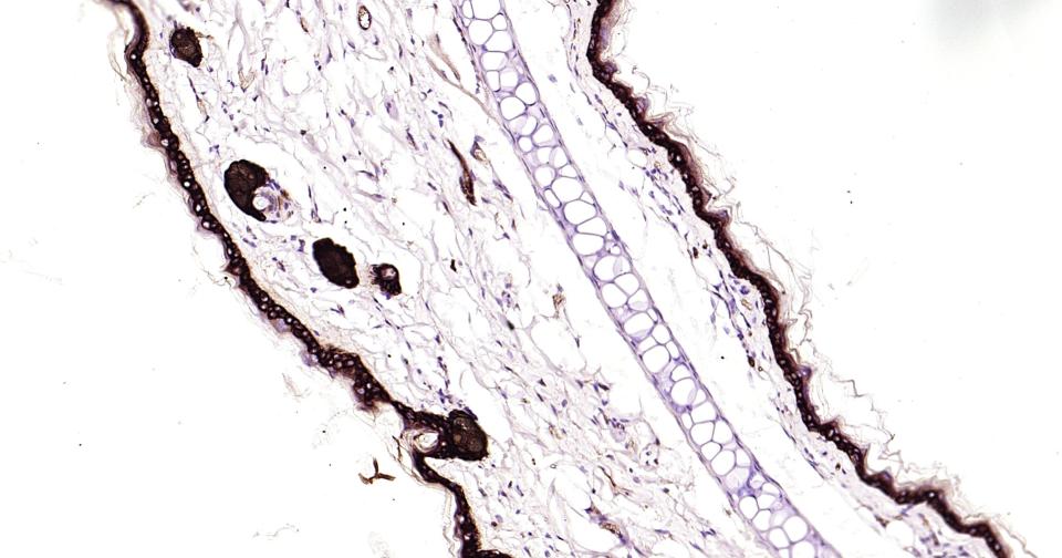
    P‌‌araformaldehyde-fixed, paraffin embedded Rat Skin; Antigen retrieval by boiling in sodium citrate buffer (pH6.0) for 15 min; Antibody incubation with Cytokeratin 14  Monoclonal Antibody, Unconjugated(bsm-52054R) at 1:200 overnight at 4°C, followed by conjugation to the bs-0295G-HRP and DAB (C-0010) staining.
    Cytokeratin 14 Recombinant Rab
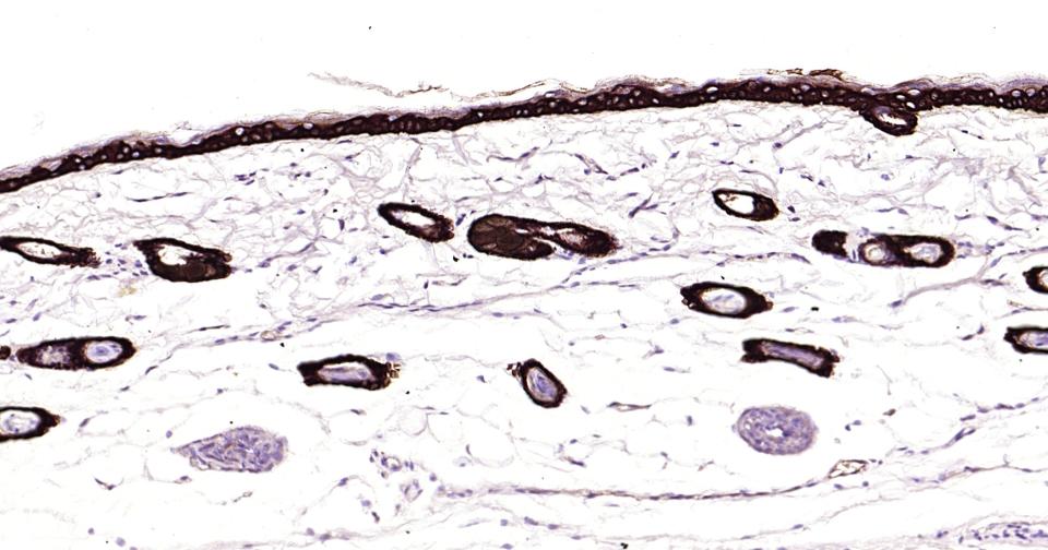
    P‌‌araformaldehyde-fixed, paraffin embedded Human Skin; Antigen retrieval by boiling in sodium citrate buffer (pH6.0) for 15 min; Antibody incubation with Cytokeratin 14  Monoclonal Antibody, Unconjugated(bsm-52054R) at 1:200 overnight at 4°C, followed by conjugation to the bs-0295G-HRP and DAB (C-0010) staining.
    Cytokeratin 14 Recombinant Rab
    P‌‌araformaldehyde-fixed, paraffin embedded Mouse Esophagus; Antigen retrieval by boiling in sodium citrate buffer (pH6.0) for 15 min; Antibody incubation with Cytokeratin 14  Monoclonal Antibody, Unconjugated(bsm-52054R) at 1:200 overnight at 4°C, followed by conjugation to the bs-0295G-HRP and DAB (C-0010) staining.
    Cytokeratin 14 Recombinant Rab
    P‌‌araformaldehyde-fixed, paraffin embedded Rat Esophagus; Antigen retrieval by boiling in sodium citrate buffer (pH6.0) for 15 min; Antibody incubation with Cytokeratin 14  Monoclonal Antibody, Unconjugated(bsm-52054R) at 1:200 overnight at 4°C, followed by conjugation to the bs-0295G-HRP and DAB (C-0010) staining.
    Cytokeratin 14 Recombinant Rab
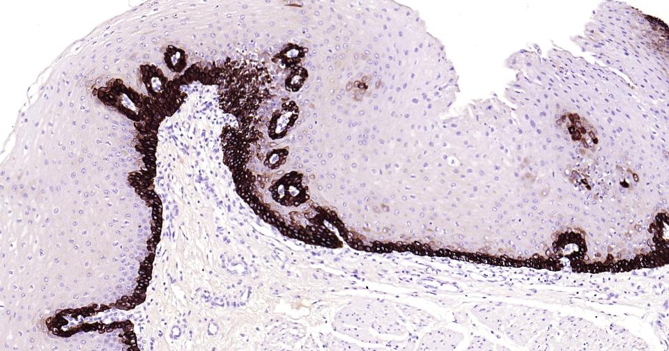
    P‌‌araformaldehyde-fixed, paraffin embedded Human Esophagus; Antigen retrieval by boiling in sodium citrate buffer (pH6.0) for 15 min; Antibody incubation with Cytokeratin 14  Monoclonal Antibody, Unconjugated(bsm-52054R) at 1:200 overnight at 4°C, followed by conjugation to the bs-0295G-HRP and DAB (C-0010) staining.
    Cytokeratin 14 Recombinant Rab
    P‌‌araformaldehyde-fixed, paraffin embedded Mouse Thymus; Antigen retrieval by boiling in sodium citrate buffer (pH6.0) for 15 min; Antibody incubation with Cytokeratin 14  Monoclonal Antibody, Unconjugated(bsm-52054R) at 1:200 overnight at 4°C, followed by conjugation to the bs-0295G-HRP and DAB (C-0010) staining.
    Cytokeratin 14 Recombinant Rab
    P‌‌araformaldehyde-fixed, paraffin embedded Rat Thymus; Antigen retrieval by boiling in sodium citrate buffer (pH6.0) for 15 min; Antibody incubation with Cytokeratin 14  Monoclonal Antibody, Unconjugated(bsm-52054R) at 1:200 overnight at 4°C, followed by conjugation to the bs-0295G-HRP and DAB (C-0010) staining.
    Cytokeratin 14 Recombinant Rab
    P‌‌araformaldehyde-fixed, paraffin embedded Human Thymus; Antigen retrieval by boiling in sodium citrate buffer (pH6.0) for 15 min; Antibody incubation with Cytokeratin 14  Monoclonal Antibody, Unconjugated(bsm-52054R) at 1:200 overnight at 4°C, followed by conjugation to the bs-0295G-HRP and DAB (C-0010) staining.
    Cytokeratin 14 Recombinant Rab
    P‌‌araformaldehyde-fixed, paraffin embedded Human Cervical Cancer; Antigen retrieval by boiling in sodium citrate buffer (pH6.0) for 15 min; Antibody incubation with Cytokeratin 14  Monoclonal Antibody, Unconjugated(bsm-52054R) at 1:200 overnight at 4°C, followed by conjugation to the bs-0295G-HRP and DAB (C-0010) staining.
    Cytokeratin 14 Recombinant Rab
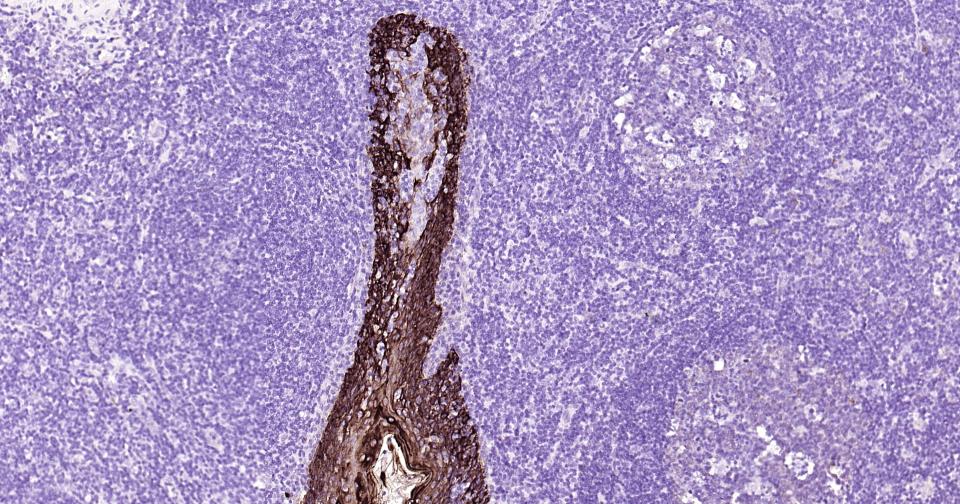
    P‌‌araformaldehyde-fixed, paraffin embedded Human Tonsil; Antigen retrieval by boiling in sodium citrate buffer (pH6.0) for 15 min; Antibody incubation with Cytokeratin 14  Monoclonal Antibody, Unconjugated(bsm-52054R) at 1:200 overnight at 4°C, followed by conjugation to the bs-0295G-HRP and DAB (C-0010) staining.
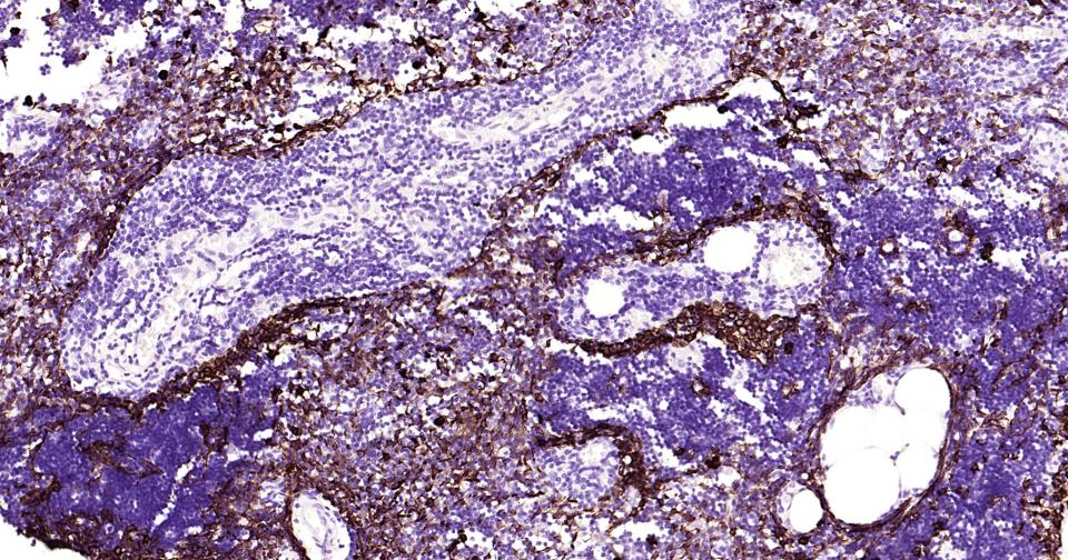
    Cytokeratin 14 Recombinant Rab
    P‌‌araformaldehyde-fixed, paraffin embedded Human Prostate; Antigen retrieval by boiling in sodium citrate buffer (pH6.0) for 15 min; Antibody incubation with Cytokeratin 14  Monoclonal Antibody, Unconjugated(bsm-52054R) at 1:200 overnight at 4°C, followed by conjugation to the bs-0295G-HRP and DAB (C-0010) staining.
    Cytokeratin 14 Recombinant Rab
    P‌‌araformaldehyde-fixed, paraffin embedded Rat Esophagus; Antigen retrieval by boiling in sodium citrate buffer (pH6.0) for 15 min; Antibody incubation with Cytokeratin 14 Monoclonal Antibody, Unconjugated (bsm-52054R) at 1:200 overnight at 4°C. Followed by conjugated Goat Anti-Rabbit IgG antibody (green, bs-0295G-BF488), DAPI (blue, C02-04002) was used to stain the cell nuclei.
    Cytokeratin 14 Recombinant Rab
    P‌‌araformaldehyde-fixed, paraffin embedded Mouse Esophagus; Antigen retrieval by boiling in sodium citrate buffer (pH6.0) for 15 min; Antibody incubation with Cytokeratin 14 Monoclonal Antibody, Unconjugated (bsm-52054R) at 1:200 overnight at 4°C. Followed by conjugated Goat Anti-Rabbit IgG antibody (green, bs-0295G-BF488), DAPI (blue, C02-04002) was used to stain the cell nuclei.
    Cytokeratin 14 Recombinant Rab
    P‌‌araformaldehyde-fixed, paraffin embedded Human Prostate; Antigen retrieval by boiling in sodium citrate buffer (pH6.0) for 15 min; Antibody incubation with Cytokeratin 14 Monoclonal Antibody, Unconjugated (bsm-52054R) at 1:200 overnight at 4°C. Followed by conjugated Goat Anti-Rabbit IgG antibody (green, bs-0295G-BF488), DAPI (blue, C02-04002) was used to stain the cell nuclei.
    Cytokeratin 14 Recombinant Rab
    P‌‌araformaldehyde-fixed, paraffin embedded Mouse Esophagus; Antigen retrieval by boiling in sodium citrate buffer (pH6.0) for 15 min; The section was incubated with Cytokeratin 14 Monoclonal Antibody, Unconjugated (bsm-52054R) at 1:500 overnight at 4°C. Followed by conjugated Goat Anti-Rabbit IgG antibody (Rose Red, bs-0295G-BF647), DAPI (blue, C02-04002) was used to stain the cell nuclei.
    Cytokeratin 14 Recombinant Rab
    P‌‌araformaldehyde-fixed, paraffin embedded Rat Esophagus; Antigen retrieval by boiling in sodium citrate buffer (pH6.0) for 15 min; The section was incubated with Cytokeratin 14 Monoclonal Antibody, Unconjugated (bsm-52054R) at 1:500 overnight at 4°C. Followed by conjugated Goat Anti-Rabbit IgG antibody (Rose Red, bs-0295G-BF647), DAPI (blue, C02-04002) was used to stain the cell nuclei.

    风险提示:丁香通仅作为第三方平台,为商家信息发布提供平台空间。用户咨询产品时请注意保护个人信息及财产安全,合理判断,谨慎选购商品,商家和用户对交易行为负责。对于医疗器械类产品,请先查证核实企业经营资质和医疗器械产品注册证情况。

    图标文献和实验
    该产品被引用文献

    [IF={{ 4.141 }}] {Hongyu Wang. et al. Recombinant Oil-Body-Expressed Oleosin-hFGF5 in Arabidopsis thaliana Regulates Hair Growth. GENES-BASEL. 2023 Jan;14(1):21} {IHC,WB} {Mouse}

    [IF={{ 4.1 }}] {Tianyi Zhou. et al. Integrated transcriptome and proteome analysis identifies keratins as key regulators of corneal scarring in a murine model. COMPUT STRUCT BIOTEC. 2025 Jan;27:2264} {IF} {Mouse}

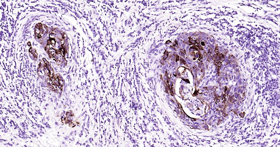
    [IF={{ 3.6 }}] {Li Haiyang. et al. Identification of ferroptosis-related proteins in ameloblastoma based on proteomics analysis. J CANCER RES CLIN. 2023 Sep;:1-11} {ICC} {Human}

    图标技术资料

    暂无技术资料 索取技术资料

    同类产品报价

    产品名称
    产品价格
    公司名称
    报价日期
    ¥1800
    杭州戴格生物技术有限公司
    2025年11月12日询价
    询价
    南京赛戈巍生物科技有限公司
    2025年09月23日询价
    ¥1990
    上海圻明生物科技有限公司
    2025年07月14日询价
    ¥860
    南京鼎石生物技术有限公司
    2025年08月13日询价
    询价
    ImmunoWay Biotechnology Company
    2025年07月15日询价
    文献支持
    Cytokeratin 14 Recombinant Rabbit mAb(bsm-52054R)-50ul/100ul
    ¥1400 - 2500