相关产品推荐更多 >

MYLPF Rabbit pAb, Biotin conjugated(bs-5159R-Bio)-100ul
¥2980
MAZ Rabbit pAb(bs-7135R)-50ul/100ul/200ul
¥1180
phospho-STAT5b (Ser731) Rabbit pAb, FITC conjugated(bs-5703R-FITC)-100ul
¥2980
BCL2L1 Rabbit pAb, PE-Cy7 conjugated(bs-1336R-PE-Cy7)-100ul
¥2980
RPSA Rabbit pAb, PE conjugated(bs-0900R-PE)-100ul
¥2980
万千商家帮你免费找货
0 人在求购买到急需产品
- 详细信息
- 技术资料
- 应用范围:
产品信息以Bioss网站为准
- 规格:
50ul/100ul/200ul
| 规格: | 50ul | 产品价格: | ¥1180.0 |
|---|---|---|---|
| 规格: | 100ul | 产品价格: | ¥1980.0 |
| 规格: | 200ul | 产品价格: | ¥2800.0 |
| 产品编号 | bs-21704R |
| 英文名称 | NEK6 Rabbit pAb |
| 中文名称 | 高度相似的细胞周期蛋白激酶NEK6抗体 |
| 英文别名 | Highly similar to cell cycle protein kinase CDC5/MSD2; NEK6; NEK6_HUMAN; Never in mitosis A-related kinase 6; NIMA(Never In Mitosis Gene A) Related Kinase 6; NimA related protein kinase 6; NimA-related protein kinase 6; Protein kinase SID6 1512; Protein kinase SID6-1512; Putative serine threonine protein kinase; Serine/threonine protein kinase Nek6; Serine/threonine-protein kinase Nek6; SID61512. |
| 产品应用 | IHC-P=1:100-500, IHC-F=1:100-500, IF=1:100-500 Not yet tested in other applications. |
| 交叉反应 | Rat (Human, Mouse, Dog, Pig, Cow, Horse, Rabbit, Sheep) |
| 抗体来源 | Rabbit |
| 免疫原 | KLH conjugated synthetic peptide derived from human NEK6 |
| 亚型 | IgG |
| 性状 | Liquid |
| 纯化方法 | affinity purified by Protein A |
| 克隆类型 | Polyclonal |
| 理论分子量 | 36 kDa |
| 浓度 | 1mg/ml |
| 储存液 | 0.01M TBS (pH7.4) with 1% BSA, 0.02% Proclin300 and 50% Glycerol. |
| 研究领域 | Cancer > Cell cycle > Cell cycle inhibitors Cell Biology > Cell Cycle > Cell Cycle Inhibitors Epigenetics and Nuclear Signaling > Cell cycle > Cell Cycle Inhibitors |
| 亚基 | Interacts with STAT3 and RPS6KB1 (By similarity). Interacts with NEK9, predominantly in mitosis. Interacts with KIF11 (via C-terminus). Interacts with APBB1 (via WW domain). Interacts with ANKRA2, ATF4, ARHGAP33, CDC42, CIR1, PRAM1, PTN, PRDX3, PIN1, RAD26L, RBBP6, RPS7 and TRIP4. |
| 亚细胞定位 | Cytoplasm. Nucleus. Nucleus speckle. Cytoplasm, cytoskeleton, centrosome. Cytoplasm, cytoskeleton, spindle pole. Note=Co-localizes with APBB1 at the nuclear speckles. Co-localizes with PIN1 in the nucleus. Co-localizes with ATF4, CIR1, ARHGAP33, ANKRA2, CDC42, NEK9, RAD26L, RBBP6, RPS7, TRIP4, RELB and PHF1 in the centrosome. Localizes to spindle microtubules in metaphase and anaphase and to the midbody during cytokinesis. [ALTERNATIVE PRODUCTS] Event=Alternative splicing; Named isoforms=4; Name=1; IsoId=Q9HC98-1; Sequence=Displayed; Name=2; IsoId=Q9HC98-2; Sequence=VSP_041798; Name=3; IsoId=Q9HC98-3; Sequence=VSP_041799; Name=4; IsoId=Q9HC98-4; Sequence=VSP_041800. |
| 组织特异性 | Ubiquitous, with highest expression in heart and skeletal muscle. Up-regulated in a variety of malignant cancers, such as breast, colon, lung, and gastric cancers. |
| 翻译后修饰 | Autophosphorylated. Phosphorylation at Ser-206 is required for its activation. Phosphorylated upon IR or UV-induced DNA damage. Phosphorylated by CHEK1 and CHEK2. Interaction with APBB1 down-regulates phosphorylation at Thr-210. |
| 相似性 | Belongs to the protein kinase superfamily. NEK Ser/Thr protein kinase family. NIMA subfamily.
Contains 1 protein kinase domain. |
| 功能 | Protein kinase which plays an important role in mitotic cell cycle progression. Required for chromosome segregation at metaphase-anaphase transition, robust mitotic spindle formation and cytokinesis. Phosphorylates ATF4, CIR1, PTN, RAD26L, RBBP6, RPS7, RPS6KB1, TRIP4, STAT3 and histones H1 and H3. Phosphorylates KIF11 to promote mitotic spindle formation. Involved in G2/M phase cell cycle arrest induced by DNA damage. Inhibition of activity results in apoptosis. May contribute to tumorigenesis by suppressing p53/TP53-induced cancer cell senescence. |
| 保存条件 | Shipped at 4℃. Store at -20℃ for one year. Avoid repeated freeze/thaw cycles. |
| 注意事项 | This product as supplied is intended for research use only, not for use in human, therapeutic or diagnostic applications. |
| 背景资料 | The protein encoded by this gene is a kinase required for progression through the metaphase portion of mitosis. Inhibition of the encoded protein can lead to apoptosis. This protein also can enhance tumorigenesis by suppressing tumor cell senescence. Several transcript variants encoding a few different isoforms have been found for this gene. |
| 应用 | 推荐稀释比例 |
| {IHC-P} | {1:100-500} |
| {IHC-F} | {1:100-500} |
| {IF} | {1:100-500} |

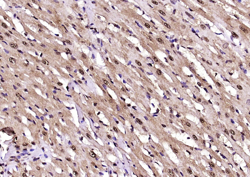
Paraformaldehyde-fixed, paraffin embedded (rat heart); Antigen retrieval by boiling in sodium citrate buffer (pH6.0) for 15min; Block endogenous peroxidase by 3% hydrogen peroxide for 20 minutes; Blocking buffer (normal goat serum) at 37°C for 30min; Antibody incubation with (NEK6) Polyclonal Antibody, Unconjugated (bs-21704R) at 1:200 overnight at 4°C, followed by operating according to SP Kit(Rabbit) (sp-0023) instructionsand DAB staining.
风险提示:丁香通仅作为第三方平台,为商家信息发布提供平台空间。用户咨询产品时请注意保护个人信息及财产安全,合理判断,谨慎选购商品,商家和用户对交易行为负责。对于医疗器械类产品,请先查证核实企业经营资质和医疗器械产品注册证情况。
技术资料暂无技术资料 索取技术资料
NEK6 Rabbit pAb(bs-21704R)-50ul/100ul/200ul
¥1180 - 2800





