相关产品推荐更多 >
万千商家帮你免费找货
0 人在求购买到急需产品
- 详细信息
- 技术资料
- 应用范围:
产品信息以Bioss网站为准
- 规格:
50ul/100ul/200ul
| 规格: | 50ul | 产品价格: | ¥1180.0 |
|---|---|---|---|
| 规格: | 100ul | 产品价格: | ¥1980.0 |
| 规格: | 200ul | 产品价格: | ¥2800.0 |
| 产品编号 | bs-23401R |
| 英文名称 | PKD2L1 Rabbit pAb |
| 中文名称 | 多囊肾疾病因子1蛋白抗体 |
| 英文别名 | Polycystin 2 Like 1, Transient Receptor Potential Cation Channel; Transient Receptor Potential Cation Channel, Subfamily P, Member 3; Polycystin-2 Homolog; Polycystin-2L1; Polycystin-L1; Polycystin-L; PKD2L; TRPP3; PKDL; Polycystic Kidney Disease 2-Like 1 Protein; Polycystic Kidney Disease 2-Like 1; PCL; PK2L1_HUMAN; |
| 产品应用 | IHC-P=1:100-500, IHC-F=1:100-500, IF=1:100-500 Not yet tested in other applications. |
| 交叉反应 | Human |
| 抗体来源 | Rabbit |
| 免疫原 | KLH conjugated synthetic peptide derived from human PKD2L1 |
| 亚型 | IgG |
| 性状 | Liquid |
| 纯化方法 | affinity purified by Protein A |
| 克隆类型 | Polyclonal |
| 理论分子量 | 92 kDa |
| 浓度 | 1mg/ml |
| 储存液 | 0.01M TBS (pH7.4) with 1% BSA, 0.02% Proclin300 and 50% Glycerol. |
| 亚基 | Homotrimer; trimerization is independent of calcium-binding. Calcium channels are probably composed of 3 subunit of PKD2L1 and 1 subunit of some PKD1 protein (PKD1, PKD1L1, PKD1L2 or PKDL3). Interacts with PKD1. Interacts with PKD1L1; to form ciliary calcium channel. Interacts with PKD1L3, to form putative sour taste receptor. Interacts with RACK1; inhibits the channel activity possibly by impairing localization to the cell membrane. |
| 亚细胞定位 | Cell projection › cilium membrane; Multi-pass membrane protein |
| 组织特异性 | Expressed in adult heart, skeletal muscle, brain, spleen, testis, retina and liver. According to PubMed:9748274, expressed at high levels in fetal tissues, including kidney and liver, and down-regulated in adult tissues. According to PubMed:10602361, expressed in fetal brain, but not expressed in fetal lung, liver or kidney. Isoform 4 appears to be expressed only in transformed lymphoblasts. |
| 相似性 | Belongs to the polycystin family. |
| 功能 | Pore-forming subunit of a ciliary calcium channel that controls calcium concentration within primary cilia without affecting cytoplasmic calcium concentration. Forms a heterodimer with PKD1L1 in primary cilia and forms a calcium-permeant ciliary channel that regulates sonic hedgehog/SHH signaling and GLI2 transcription. May act as a sour taste receptor by forming a calcium channel with PKD1L3 in gustatory cells; however, its contribution to sour taste perception is unclear in vivo and may be indirect. |
| 保存条件 | Shipped at 4℃. Store at -20℃ for one year. Avoid repeated freeze/thaw cycles. |
| 注意事项 | This product as supplied is intended for research use only, not for use in human, therapeutic or diagnostic applications. |
| 背景资料 | This gene encodes a member of the polycystin protein family. The encoded protein contains multiple transmembrane domains, and cytoplasmic N- and C-termini. The protein may be an integral membrane protein involved in cell-cell/matrix interactions. This protein functions as a calcium-regulated nonselective cation channel. Two transcript variants encoding different isoforms have been found for this gene. [provided by RefSeq, Dec 2011] |
| 应用 | 推荐稀释比例 |
| {IHC-P} | {1:100-500} |
| {IHC-F} | {1:100-500} |
| {IF} | {1:100-500} |

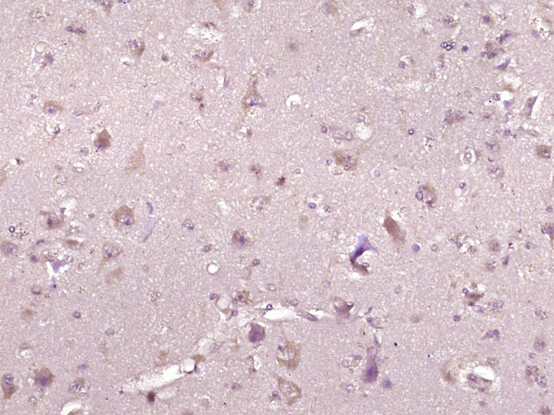
Paraformaldehyde-fixed, paraffin embedded (Human brain glioma); Antigen retrieval by boiling in sodium citrate buffer (pH6.0) for 15min; Block endogenous peroxidase by 3% hydrogen peroxide for 20 minutes; Blocking buffer (normal goat serum) at 37°C for 30min; Antibody incubation with (PKD2L1) Polyclonal Antibody, Unconjugated (bs-23401R) at 1:400 overnight at 4°C, followed by operating according to SP Kit(Rabbit) (sp-0023) instructionsand DAB staining.
风险提示:丁香通仅作为第三方平台,为商家信息发布提供平台空间。用户咨询产品时请注意保护个人信息及财产安全,合理判断,谨慎选购商品,商家和用户对交易行为负责。对于医疗器械类产品,请先查证核实企业经营资质和医疗器械产品注册证情况。
技术资料暂无技术资料 索取技术资料
PKD2L1 Rabbit pAb(bs-23401R)-50ul/100ul/200ul
¥1180 - 2800







