相关产品推荐更多 >

CD44v7 Rabbit pAb, APC-Cy5.5 conjugated(bs-16206R-APC-Cy5.5)-100ul
¥2980
ox-LDL Rabbit pAb, BF594 conjugated(bs-1698R-BF594)-100ul
¥2980
Calnexin Rabbit pAb(bs-1693R)-50ul/100ul/200ul
¥1180
CD97 Rabbit pAb, BF488 conjugated(bs-2522R-BF488)-100ul
¥2980
GAD65 + GAD67 Rabbit pAb, HRP conjugated(bs-13263R-HRP)-100ul
¥2980
万千商家帮你免费找货
0 人在求购买到急需产品
- 详细信息
- 技术资料
- 应用范围:
产品信息以Bioss网站为准
- 规格:
50ul/100ul/200ul
| 规格: | 50ul | 产品价格: | ¥1180.0 |
|---|---|---|---|
| 规格: | 100ul | 产品价格: | ¥1980.0 |
| 规格: | 200ul | 产品价格: | ¥2800.0 |
| 产品编号 | bs-14656R |
| 英文名称 | EXDL1 Rabbit pAb |
| 中文名称 | EXDL1蛋白抗体 |
| 英文别名 | exd1; EXD1_HUMAN; MGC33637; OTTHUMP00000160721. |
| 产品应用 | IHC-P=1:100-500, IHC-F=1:100-500, IF=1:100-500 Not yet tested in other applications. |
| 交叉反应 | Mouse (Human, Rat, Dog, Pig, Cow, Rabbit, Sheep) |
| 抗体来源 | Rabbit |
| 免疫原 | KLH conjugated synthetic peptide derived from human EXDL1 |
| 亚型 | IgG |
| 性状 | Liquid |
| 纯化方法 | affinity purified by Protein A |
| 克隆类型 | Polyclonal |
| 理论分子量 | 58 kDa |
| 浓度 | 1mg/ml |
| 储存液 | 0.01M TBS (pH7.4) with 1% BSA, 0.02% Proclin300 and 50% Glycerol. |
| 相似性 | Belongs to the EXD1 family. Contains 1 3'-5' exonuclease domain. |
| 保存条件 | Shipped at 4℃. Store at -20℃ for one year. Avoid repeated freeze/thaw cycles. |
| 注意事项 | This product as supplied is intended for research use only, not for use in human, therapeutic or diagnostic applications. |
| 背景资料 | EXDL1 is a 514 amino acid protein that belongs to the EXD1 family and contains one 3'-5' exonuclease domain. Existing as two alternatively spliced isoforms, the gene encoding EXDL1 maps to human chromosome 15q15.1 and mouse chromosome 2 E5. Encoding more than 700 genes, chromosome 15 is made up of approximately 106 million base pairs and is about 3% of the human genome. Angelman and Prader-Willi syndromes are associated with loss of function or deletion of genes in the 15q11-q13 region. In the case of Angelman syndrome, this loss is due to inactivity of the maternal 15q11-q13 encoded UBE3A gene in the brain by either chromosomal deletion or mutation. In cases of Prader-Willi syndrome, there is a partial or complete deletion of this region from the paternal copy of chromosome 15. |
| 应用 | 推荐稀释比例 |
| {IHC-P} | {1:100-500} |
| {IHC-F} | {1:100-500} |
| {IF} | {1:100-500} |

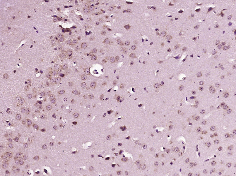
Paraformaldehyde-fixed, paraffin embedded (Mouse brain); Antigen retrieval by boiling in sodium citrate buffer (pH6.0) for 15min; Block endogenous peroxidase by 3% hydrogen peroxide for 20 minutes; Blocking buffer (normal goat serum) at 37°C for 30min; Antibody incubation with (EXDL1) Polyclonal Antibody, Unconjugated (bs-14656R) at 1:400 overnight at 4°C, followed by operating according to SP Kit(Rabbit) (sp-0023) instructionsand DAB staining.
风险提示:丁香通仅作为第三方平台,为商家信息发布提供平台空间。用户咨询产品时请注意保护个人信息及财产安全,合理判断,谨慎选购商品,商家和用户对交易行为负责。对于医疗器械类产品,请先查证核实企业经营资质和医疗器械产品注册证情况。
技术资料暂无技术资料 索取技术资料
EXDL1 Rabbit pAb(bs-14656R)-50ul/100ul/200ul
¥1180 - 2800





