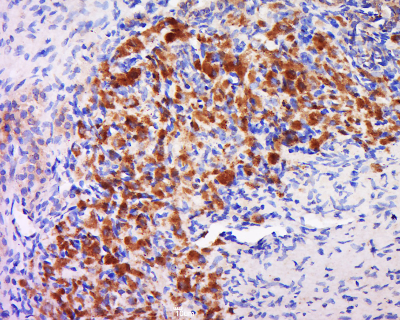
Tissue/cell: Rat ovary tissue; 4% Paraformaldehyde-fixed and paraffin-embedded;
Antigen retrieval: citrate buffer ( 0.01M, pH 6.0 ), Boiling bathing for 15min; Block endogenous peroxidase by 3% Hydrogen peroxide for 30min; Blocking buffer (normal goat serum,C-0005) at 37← for 20 min;
Incubation: Anti-GAL3ST4 Polyclonal Antibody, Unconjugated(bs-16215R) 1:500, overnight at 4⒉C, followed by conjugation to the secondary antibody(SP-0023) and DAB(C-0010) staining
相关产品推荐更多 >
万千商家帮你免费找货
0 人在求购买到急需产品
- 详细信息
- 技术资料
- 应用范围:
产品信息以Bioss网站为准
- 规格:
50ul/100ul/200ul
| 规格: | 50ul | 产品价格: | ¥1180.0 |
|---|---|---|---|
| 规格: | 100ul | 产品价格: | ¥1980.0 |
| 规格: | 200ul | 产品价格: | ¥2800.0 |
| 产品编号 | bs-16215R |
| 英文名称 | GAL3ST4 Rabbit pAb |
| 中文名称 | GAL3ST4蛋白抗体 |
| 英文别名 | beta galactose 3 O sulfotransferase, 4; beta-galactose-3-O-sulfotransferase 4; G3ST4_HUMAN; Gal-beta-1; GAL3ST 4; Gal3ST-4; GAL3ST4; Galactose 3 O sulfotransferase 4; Galactose-3-O-sulfotransferase 4. |
| 产品应用 | WB=1:500-2000, IHC-P=1:100-500, IHC-F=1:100-500, IF=1:100-500 Not yet tested in other applications. |
| 交叉反应 | Mouse, Rat (Human, Dog, Pig, Cow, Horse, Sheep) |
| 抗体来源 | Rabbit |
| 免疫原 | KLH conjugated synthetic peptide derived from human GAL3ST4 |
| 亚型 | IgG |
| 性状 | Liquid |
| 纯化方法 | affinity purified by Protein A |
| 克隆类型 | Polyclonal |
| 理论分子量 | 54 kDa |
| 浓度 | 1mg/ml |
| 储存液 | 0.01M TBS (pH7.4) with 1% BSA, 0.02% Proclin300 and 50% Glycerol. |
| 亚细胞定位 | Golgi apparatus; Golgi stack membrane. |
| 组织特异性 | Expressed mainly in placenta, thymus, testis, ovary, spinal cord, trachea and adrenal gland and at low levels in brain, lung, spleen, prostate, small intestine, colon, stomach thyroid and lymph node. |
| 相似性 | Belongs to the galactose-3-O-sulfotransferase family. |
| 功能 | Catalyzes the transfer of sulfate to beta-1,3-linked galactose residues in O-linked glycoproteins. Good substrates include asialofetuin, Gal-beta-1,3-GalNAc and Gal-beta-1,3 (GlcNAc-beta-1,6)GalNAc. |
| 保存条件 | Shipped at 4℃. Store at -20℃ for one year. Avoid repeated freeze/thaw cycles. |
| 注意事项 | This product as supplied is intended for research use only, not for use in human, therapeutic or diagnostic applications. |
| 背景资料 | This gene encodes a member of the galactose-3-O-sulfotransferase protein family. The product of this gene catalyzes sulfonation by transferring a sulfate to the C-3' position of galactose residues in O-linked glycoproteins. This enzyme is highly specific for core 1 structures, with asialofetuin, Gal-beta-1,3-GalNAc and Gal-beta-1,3 (GlcNAc-beta-1,6)GalNAc being good substrates. [provided by RefSeq, Jul 2008] |
| 应用 | 推荐稀释比例 |
| {WB} | {1:500-2000} |
| {IHC-P} | {1:100-500} |
| {IHC-F} | {1:100-500} |
| {IF} | {1:100-500} |


Sample: placenta (mouse) Lysate at 40 ug
Primary: Anti-GAL3ST4(bs-16215R) at 1/300 dilution
Secondary: IRDye800CW Goat Anti-Rabbit IgG at 1/20000 dilution
Predicted band size: 54 kD
Observed band size: 54 kD
Primary: Anti-GAL3ST4(bs-16215R) at 1/300 dilution
Secondary: IRDye800CW Goat Anti-Rabbit IgG at 1/20000 dilution
Predicted band size: 54 kD
Observed band size: 54 kD

Sample: pancreas (mouse) Lysate at 40 ug
Primary: Anti-GAL3ST4(bs-16215R) at 1/300 dilution
Secondary: IRDye800CW Goat Anti-Rabbit IgG at 1/20000 dilution
Predicted band size: 54 kD
Observed band size: 54 kD
Primary: Anti-GAL3ST4(bs-16215R) at 1/300 dilution
Secondary: IRDye800CW Goat Anti-Rabbit IgG at 1/20000 dilution
Predicted band size: 54 kD
Observed band size: 54 kD
风险提示:丁香通仅作为第三方平台,为商家信息发布提供平台空间。用户咨询产品时请注意保护个人信息及财产安全,合理判断,谨慎选购商品,商家和用户对交易行为负责。对于医疗器械类产品,请先查证核实企业经营资质和医疗器械产品注册证情况。
技术资料暂无技术资料 索取技术资料
GAL3ST4 Rabbit pAb(bs-16215R)-50ul/100ul/200ul
¥1180 - 2800







