相关产品推荐更多 >

FOXO1 Rabbit pAb, PerCP-Cy5.5 conjugated(bs-23175R-PerCP-Cy5.5)-100ul
¥2980
IGFBP3 Recombinant Rabbit mAb(bsm-60703R)-50ul/100ul/25ul
¥800
Transglutaminase-1 Rabbit pAb, APC conjugated(bs-6690R-APC)-100ul
¥2980
phospho-STAT5b (Ser731) Rabbit pAb, BF405 conjugated(bs-5703R-BF405)-100ul
¥2980
SLC35D2 Rabbit pAb, HRP conjugated(bs-19824R-HRP)-100ul
¥2980
万千商家帮你免费找货
0 人在求购买到急需产品
- 详细信息
- 技术资料
- 应用范围:
产品信息以Bioss网站为准
- 规格:
50ul/100ul/200ul
| 规格: | 50ul | 产品价格: | ¥1180.0 |
|---|---|---|---|
| 规格: | 100ul | 产品价格: | ¥1980.0 |
| 规格: | 200ul | 产品价格: | ¥2800.0 |
| 产品编号 | bs-14596R |
| 英文名称 | ENO4 Rabbit pAb |
| 中文名称 | ENO4蛋白抗体 |
| 英文别名 | C10orf134; AC023283.3; C10orf134; eno4; ENO4_HUMAN; Enolase 4; Enolase family member 4; Enolase-like protein ENO4. |
| 产品应用 | IHC-P=1:100-500, IHC-F=1:100-500, IF=1:100-500 Not yet tested in other applications. |
| 交叉反应 | Rat (Human, Cow, Rabbit, Sheep) |
| 抗体来源 | Rabbit |
| 免疫原 | KLH conjugated synthetic peptide derived from human ENO4 |
| 亚型 | IgG |
| 性状 | Liquid |
| 纯化方法 | affinity purified by Protein A |
| 克隆类型 | Polyclonal |
| 理论分子量 | 69 kDa |
| 浓度 | 1mg/ml |
| 储存液 | 0.01M TBS (pH7.4) with 1% BSA, 0.02% Proclin300 and 50% Glycerol. |
| 研究领域 | Metabolism > Pathways and Processes > Metabolic signaling pathways > Alcohol metabolism Metabolism > Pathways and Processes > Metabolic signaling pathways > Energy transfer pathways > Energy Metabolism Signal Transduction > Metabolism > Alcohol metabolism Signal Transduction > Metabolism > Energy Metabolism |
| 相似性 | Belongs to the enolase family. |
| 保存条件 | Shipped at 4℃. Store at -20℃ for one year. Avoid repeated freeze/thaw cycles. |
| 注意事项 | This product as supplied is intended for research use only, not for use in human, therapeutic or diagnostic applications. |
| 背景资料 | Enolases have been characterized as highly conserved cytoplasmic glycolytic enzymes that may be involved in differentiation. Three isoenzymes have been identified, alpha enolase, beta enolase and gamma enolase. alpha enolase expression has been detected on most tissues, whereas betaenolase is expressed predominantly in muscle tissue and gamma enolase is detected only in nervous tissue. These isoforms exist as both homodimers and heterodimers, and they play a role in converting phosphoglyceric acid to phosphenolpyruvic acid in the glycolytic pathway. ENO4 (Enolase-like protein ENO4), also known as C10orf134, is a 628 amino acid protein that belongs to the Enolase family. ENO4 is expressed as two isoforms produced by alternative splicing and is encoded by a gene mapping to human chromosome 10q25.3 and murine chromosome 19 D3. |
| 应用 | 推荐稀释比例 |
| {IHC-P} | {1:100-500} |
| {IHC-F} | {1:100-500} |
| {IF} | {1:100-500} |

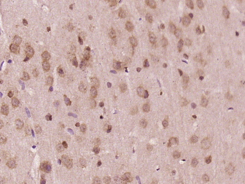
Paraformaldehyde-fixed, paraffin embedded (Rat brain); Antigen retrieval by boiling in sodium citrate buffer (pH6.0) for 15min; Block endogenous peroxidase by 3% hydrogen peroxide for 20 minutes; Blocking buffer (normal goat serum) at 37°C for 30min; Antibody incubation with (ENO4) Polyclonal Antibody, Unconjugated (bs-14596R) at 1:400 overnight at 4°C, followed by operating according to SP Kit(Rabbit) (sp-0023) instructionsand DAB staining.
风险提示:丁香通仅作为第三方平台,为商家信息发布提供平台空间。用户咨询产品时请注意保护个人信息及财产安全,合理判断,谨慎选购商品,商家和用户对交易行为负责。对于医疗器械类产品,请先查证核实企业经营资质和医疗器械产品注册证情况。
技术资料暂无技术资料 索取技术资料
ENO4 Rabbit pAb(bs-14596R)-50ul/100ul/200ul
¥1180 - 2800





