Sample:
Cerebrum (Mouse) Lysate at 40 ug
Primary: Anti-Phospho-c-Fos (Ser362) (bs-12910R) at 1/300 dilution
Secondary: IRDye800CW Goat Anti-Rabbit IgG at 1/20000 dilution
Predicted band size: 41 kD
Observed band size: 41 kD
相关产品推荐更多 >
万千商家帮你免费找货
0 人在求购买到急需产品
- 详细信息
- 技术资料
- 应用范围:
产品信息以Bioss网站为准
- 规格:
50ul/100ul/200ul
| 规格: | 50ul | 产品价格: | ¥1180.0 |
|---|---|---|---|
| 规格: | 100ul | 产品价格: | ¥1980.0 |
| 规格: | 200ul | 产品价格: | ¥2800.0 |
| 产品编号 | bs-12910R |
| 英文名称 | phospho-c-Fos (Ser362) Rabbit pAb |
| 中文名称 | 磷酸化c-fos抗体 |
| 英文别名 | c-Fos(phospho S362); c-Fos(phospho-Ser362); c-Fos(phospho Ser362); p-c-Fos (Ser362); Cellular oncogene fos; FBJ murine osteosarcoma viral v fos oncogene homolog antibody FBJ Osteosarcoma Virus; FOS; FOS protein; G0 G1 switch regulatory protein 7; G0S7; Oncogene FOS; Proto oncogene protein c fos; v fos FBJ murine osteosarcoma viral oncogene homolog; AP-1; p55; FOS_HUMAN; Proto-oncogene c-Fos; G0/G1 switch regulatory protein 7. |
| 产品应用 | WB=1:500-2000, IHC-P=1:100-500, IHC-F=1:100-500, IF=1:100-500 Not yet tested in other applications. |
| 交叉反应 | Human, Mouse, Rat (Chicken, Dog, Pig, Cow, Horse, Rabbit, Sheep) |
| 抗体来源 | Rabbit |
| 免疫原 | KLH conjugated Synthesised phosphopeptide derived from human c-Fos around the phosphorylation site of Ser362 |
| 亚型 | IgG |
| 性状 | Liquid |
| 纯化方法 | affinity purified by Protein A |
| 克隆类型 | Polyclonal |
| 理论分子量 | 41 kDa |
| 浓度 | 1mg/ml |
| 储存液 | 0.01M TBS (pH7.4) with 1% BSA, 0.02% Proclin300 and 50% Glycerol. |
| 研究领域 | Cancer > Oncoproteins/suppressors > Oncoproteins > Transcription factors Cancer > Tumor biomarkers > Oncoproteins Epigenetics and Nuclear Signaling > Transcription > Cancer susceptibility > Proto-oncogenes Epigenetics and Nuclear Signaling > Transcription > Domain Families > HLH / Leucine Zipper > Leucine Zipper Neuroscience > Cell Type Marker > Neuron marker > Soma marker |
| 亚基 | Heterodimer; with JUN (By similarity). Interacts withMAFB. Component of the SMAD3/SMAD4/JUN/FOS complexrequired for syngernistic TGF-beta-mediated transcription at theAP1 promoter site. Interacts with SMAD3; the interaction is weakeven on TGF-beta activation. Interacts with MAFB. Interacts withDSIPI; this interaction inhibits the binding of active AP1 to itstarget DNA. |
| 亚细胞定位 | Nucleus. |
| 翻译后修饰 | Phosphorylated in the C-terminal upon stimulation by nerve growth factor (NGF) and epidermal growth factor (EGF). Phosphorylated, in vitro, by MAPK and RSK1. Phosphorylation on both Ser-362 and Ser-374 by MAPK1/2 and RSK1/2 leads to protein stabilization with phosphorylation on Ser-374 being the major site for protein stabilization on NGF stimulation. Phosphorylation on Ser-362 and Ser-374 primes further phosphorylations on Thr-325 and Thr-331 through promoting docking of MAPK to the DEF domain. Phosphorylation on Thr-232, induced by HA-RAS, activates the transcriptional activity and antagonizes sumoylation. Phosphorylation on Ser-362 by RSK2 in osteoblasts contributes to osteoblast transformation. Constitutively sumoylated by SUMO1, SUMO2 and SUMO3. Desumoylated by SENP2. Sumoylation requires heterodimerization with JUN and is enhanced by mitogen stimulation. Sumoylation inhibits the AP-1 transcriptional activity and is, itself, inhibited by Ras-activated phosphorylation on Thr-232. |
| 相似性 | Belongs to the bZIP family. Fos subfamily. Contains 1 bZIP domain |
| 功能 | Nuclear phosphoprotein which forms a tight butnon-covalently linked complex with the JUN/AP-1 transcriptionfactor. In the heterodimer, FOS and JUN/AP-1 basic regions eachseems to interact with symmetrical DNA half sites. On TGF-betaactivation, forms a multimeric SMAD3/SMAD4/JUN/FOS complex at theAP1/SMAD-binding site to regulate TGF-beta-mediated signaling. Hasa critical function in regulating the Has a critical function inregulating the development of cells destined to form and maintainthe skeleton. It is thought to have an important role in signaltransduction, cell proliferation and differentiation. |
| 保存条件 | Shipped at 4℃. Store at -20℃ for one year. Avoid repeated freeze/thaw cycles. |
| 注意事项 | This product as supplied is intended for research use only, not for use in human, therapeutic or diagnostic applications. |
| 背景资料 | The Fos gene family consists of 4 members: FOS, FOSB, FOSL1, and FOSL2. These genes encode leucine zipper proteins that can dimerize with proteins of the JUN family, thereby forming the transcription factor complex AP-1. As such, the FOS proteins have been implicated as regulators of cell proliferation, differentiation, and transformation. In some cases, expression of the FOS gene has also been associated with apoptotic cell death. [provided by RefSeq, Jul 2008]. |
| 应用 | 推荐稀释比例 |
| {WB} | {1:500-2000} |
| {IHC-P} | {1:100-500} |
| {IHC-F} | {1:100-500} |
| {IF} | {1:100-500} |


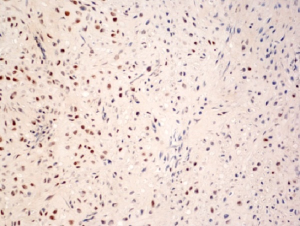
Generously provided by Markus Linder from Medical University Vienna as part of the Bioss Discovery Program. Formalin-fixed, paraffin embedded, and decalcified in EDTA mouse osteosarcoma labeled with Anti-Phospho-c-Fos (Ser362) Polyclonal Antibody, Unconjugated (bs-12910R) at 1:100 followed by conjugation to the secondary antibody and DAB staining

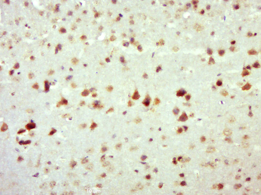
Paraformaldehyde-fixed, paraffin embedded (Mouse brain); Antigen retrieval by boiling in sodium citrate buffer (pH6.0) for 15min; Block endogenous peroxidase by 3% hydrogen peroxide for 20 minutes; Blocking buffer (normal goat serum) at 37°C for 30min; Antibody incubation with (Phospho-c-Fos (Ser362)) Polyclonal Antibody, Unconjugated (bs-12910R) at 1:500 overnight at 4°C, followed by a conjugated secondary (sp-0023) for 20 minutes and DAB staining.

Sample:
Cerebrum (Mouse) Lysate at 40 ug
Cerebrum (Rat) Lysate at 40 ug
A431 (Human) Cell Lysate at 30 ug
Adrenal glands (Mouse) Lysate at 40 ug
Adrenal glands (Rat) Lysate at 40 ug
Uterus (Mouse) Lysate at 40 ug
Primary: Anti-Phospho-c-Fos (Ser362) (bs-12910R) at 1/1000 dilution
Secondary: IRDye800CW Goat Anti-Rabbit IgG at 1/20000 dilution
Predicted band size: 62/46 kD
Observed band size: 46 kD
Cerebrum (Mouse) Lysate at 40 ug
Cerebrum (Rat) Lysate at 40 ug
A431 (Human) Cell Lysate at 30 ug
Adrenal glands (Mouse) Lysate at 40 ug
Adrenal glands (Rat) Lysate at 40 ug
Uterus (Mouse) Lysate at 40 ug
Primary: Anti-Phospho-c-Fos (Ser362) (bs-12910R) at 1/1000 dilution
Secondary: IRDye800CW Goat Anti-Rabbit IgG at 1/20000 dilution
Predicted band size: 62/46 kD
Observed band size: 46 kD

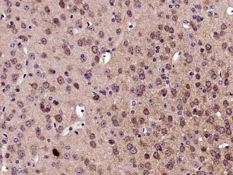
Paraformaldehyde-fixed, paraffin embedded (Mouse brain); Antigen retrieval by boiling in sodium citrate buffer (pH6.0) for 15min; Block endogenous peroxidase by 3% hydrogen peroxide for 20 minutes; Blocking buffer (normal goat serum) at 37°C for 30min; Antibody incubation with (Phospho-c-Fos (Ser362)) Polyclonal Antibody, Unconjugated (bs-12910R) at 1:400 overnight at 4°C, followed by operating according to SP Kit(Rabbit) (sp-0023) instructionsand DAB staining.
风险提示:丁香通仅作为第三方平台,为商家信息发布提供平台空间。用户咨询产品时请注意保护个人信息及财产安全,合理判断,谨慎选购商品,商家和用户对交易行为负责。对于医疗器械类产品,请先查证核实企业经营资质和医疗器械产品注册证情况。
技术资料暂无技术资料 索取技术资料
phospho-c-Fos (Ser362) Rabbit pAb(bs-12910R)-50ul/100ul/200ul
¥1180 - 2800







