相关产品推荐更多 >

TTF1/NKX2-1 Rabbit pAb, AP conjugated(bs-0826R-AP)-100ul
¥2980
P63 Mouse mAb, Biotin conjugated(bsm-33422M-Bio)-100ul
¥2980
EpCAM Rabbit pAb, APC-Cy7 conjugated(bs-1513R-APC-Cy7)-100ul
¥2980
Beclin 1 Rabbit pAb, BF750 conjugated(bs-1353R-BF750)-100ul
¥2980
Cystatin-C Mouse mAb(bsm-43147M)-50ul/100ul/200ul
¥1180
万千商家帮你免费找货
0 人在求购买到急需产品
- 详细信息
- 技术资料
- 应用范围:
产品信息以Bioss网站为准
- 规格:
50ul/100ul/200ul
| 规格: | 50ul | 产品价格: | ¥1180.0 |
|---|---|---|---|
| 规格: | 100ul | 产品价格: | ¥1980.0 |
| 规格: | 200ul | 产品价格: | ¥2800.0 |
| 产品编号 | bs-8160R |
| 英文名称 | GNAS Rabbit pAb |
| 中文名称 | GNAS抗体 |
| 英文别名 | GNAS1_HUMAN; Guanine nucleotide-binding protein G(s) subunit alpha isoforms XLas; Adenylate cyclase-stimulating G alpha protein; Extra large alphas protein; XLalpha; GNAS complex locus; AHO; GSA; GSP; POH; GPSA; NESP; SCG6; SgVI; GNAS1; PITA3; C20orf45; |
| 中文别名 | 鸟嘌呤核苷酸结合蛋白G(s)亚单位α亚型XLas; |
| 产品应用 | WB=1:500-2000, IHC-P=1:100-500, IHC-F=1:100-500, IF=1:100-500 Not yet tested in other applications. |
| 交叉反应 | Mouse, Rat (Human, Pig, Cow, Rabbit, Sheep) |
| 抗体来源 | Rabbit |
| 免疫原 | KLH conjugated synthetic peptide derived from human GNAS |
| 亚型 | IgG |
| 性状 | Liquid |
| 纯化方法 | affinity purified by Protein A |
| 克隆类型 | Polyclonal |
| 理论分子量 | 111 kDa |
| 浓度 | 1mg/ml |
| 储存液 | 0.01M TBS (pH7.4) with 1% BSA, 0.02% Proclin300 and 50% Glycerol. |
| 研究领域 | Cancer > Cancer Metabolism > Metabolic signaling pathway > Integration of energy metabolism Cancer > Signal transduction Metabolism > Pathways and Processes > Metabolic signaling pathways > Energy transfer pathways > Integration of energy Signal Transduction > Signaling Pathway > G Protein Signaling > Heterotrimeric G Proteins > G Proteins |
| 亚基 | G proteins are composed of 3 units; alpha, beta and gamma. The alpha chain contains the guanine nucleotide binding site. Interacts through its N-terminal region with ALEX which is produced from the same locus in a different open reading frame. This interaction may inhibit its adenylyl cyclase-stimulating activity (By similarity). |
| 亚细胞定位 | Cell membrane; Peripheral membrane protein. |
| 相似性 | Belongs to the G-alpha family. G(s) subfamily. membrane protein. |
| 功能 | Guanine nucleotide-binding proteins (G proteins) are involved as modulators or transducers in various transmembrane signaling systems. The G(s) protein is involved in hormonal regulation of adenylate cyclase: it activates the cyclase in response to beta-adrenergic stimuli. XLas isoforms interact with the same set of receptors as Gnas isoforms (By similarity). |
| 保存条件 | Shipped at 4℃. Store at -20℃ for one year. Avoid repeated freeze/thaw cycles. |
| 注意事项 | This product as supplied is intended for research use only, not for use in human, therapeutic or diagnostic applications. |
| 背景资料 | Guanine nucleotide-binding proteins (G proteins) are involved as modulators or transducers in various transmembrane signaling systems. The Gs protein is involved in hormonal regulation of adenylate cyclase: it activates the cyclase in response to beta-adrenergic stimuli. |
| 应用 | 推荐稀释比例 |
| {WB} | {1:500-2000} |
| {IHC-P} | {1:100-500} |
| {IHC-F} | {1:100-500} |
| {IF} | {1:100-500} |

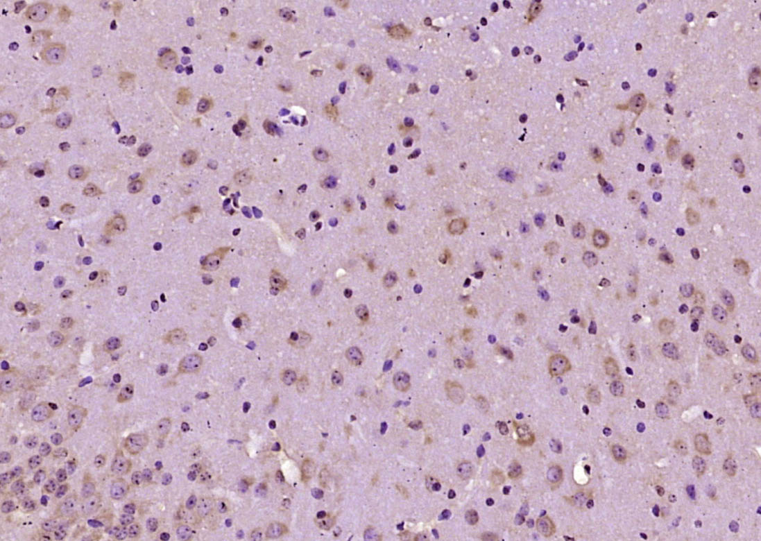
Paraformaldehyde-fixed, paraffin embedded (mouse brain tissue); Antigen retrieval by boiling in sodium citrate buffer (pH6.0) for 15min; Block endogenous peroxidase by 3% hydrogen peroxide for 20 minutes; Blocking buffer (normal goat serum) at 37°C for 30min; Antibody incubation with (G protein alpha) Polyclonal Antibody, Unconjugated (bs-8160R) at 1:400 overnight at 4°C, followed by operating according to SP Kit(Rabbit) (sp-0023) instructionsand DAB staining.

Sample:
Lane 1: Mouse Cerebrum tissue lysates
Lane 2: Rat Cerebrum tissue lysates
Primary: Anti-GNAS (bs-8160R) at 1/1000 dilution
Secondary: IRDye800CW Goat Anti-Rabbit IgG at 1/20000 dilution
Predicted band size: 111 kDa
Observed band size: 120 kDa
Lane 1: Mouse Cerebrum tissue lysates
Lane 2: Rat Cerebrum tissue lysates
Primary: Anti-GNAS (bs-8160R) at 1/1000 dilution
Secondary: IRDye800CW Goat Anti-Rabbit IgG at 1/20000 dilution
Predicted band size: 111 kDa
Observed band size: 120 kDa
风险提示:丁香通仅作为第三方平台,为商家信息发布提供平台空间。用户咨询产品时请注意保护个人信息及财产安全,合理判断,谨慎选购商品,商家和用户对交易行为负责。对于医疗器械类产品,请先查证核实企业经营资质和医疗器械产品注册证情况。
技术资料暂无技术资料 索取技术资料
GNAS Rabbit pAb(bs-8160R)-50ul/100ul/200ul
¥1180 - 2800





