相关产品推荐更多 >

QTRTD1 Rabbit pAb, Biotin conjugated(bs-19700R-Bio)-100ul
¥2980
PACSIN3 Rabbit pAb, HRP conjugated(bs-13659R-HRP)-100ul
¥2980
EphB2 Rabbit pAb, PE conjugated(bs-0996R-PE)-100ul
¥2980
ICAM5 Rabbit pAb, PE-Cy5.5 conjugated(bs-6686R-PE-Cy5.5)-100ul
¥2980
TIFA Rabbit pAb, APC-Cy5.5 conjugated(bs-13669R-APC-Cy5.5)-100ul
¥2980
万千商家帮你免费找货
0 人在求购买到急需产品
- 详细信息
- 技术资料
- 应用范围:
产品信息以Bioss网站为准
- 规格:
50ul/100ul/200ul
| 规格: | 50ul | 产品价格: | ¥1180.0 |
|---|---|---|---|
| 规格: | 100ul | 产品价格: | ¥1980.0 |
| 规格: | 200ul | 产品价格: | ¥2800.0 |
| 产品编号 | bs-11075R |
| 英文名称 | CNTNAP3 Rabbit pAb |
| 中文名称 | 接触蛋白相关蛋白3抗体 |
| 英文别名 | CASPR3; Cell recognition molecule Caspr3; CNTNAP3A; Contactin associated protein like 3; contactin associated protein-like 3B; FLJ14195; KIAA1714; CNTP3_HUMAN. |
| 产品应用 | IHC-P=1:100-500, IHC-F=1:100-500, IF=1:100-500 Not yet tested in other applications. |
| 交叉反应 | Rat (Human, Mouse, Chicken, Dog, Pig, Cow, Horse, Rabbit, Sheep) |
| 抗体来源 | Rabbit |
| 免疫原 | KLH conjugated synthetic peptide derived from human CNTNAP3 |
| 亚型 | IgG |
| 性状 | Liquid |
| 纯化方法 | affinity purified by Protein A |
| 克隆类型 | Polyclonal |
| 理论分子量 | 138 kDa |
| 浓度 | 1mg/ml |
| 储存液 | 0.01M TBS (pH7.4) with 1% BSA, 0.02% Proclin300 and 50% Glycerol. |
| 研究领域 | Neuroscience > Cell Adhesion Proteins > Membrane Proteins |
| 亚细胞定位 | Isoform 1: Cell membrane; Single-pass type I membrane protein Isoform 2: Secreted |
| 相似性 | Belongs to the neurexin family. Contains 2 EGF-like domains. Contains 1 F5/8 type C domain. Contains 1 fibrinogen C-terminal domain. Contains 4 laminin G-like domains. |
| 功能 | The protein encoded by this gene belongs to the NCP family of cell-recognition molecules. This family represents a distinct subgroup of the neurexins. NCP proteins mediate neuron-glial interactions in vertebrates and glial-glial contact in invertebrates. The protein encoded by this gene may play a role in cell recognition within the nervous system. Alternatively spliced transcript variants encoding different isoforms have been described but their biological nature has not been determined. |
| 保存条件 | Shipped at 4℃. Store at -20℃ for one year. Avoid repeated freeze/thaw cycles. |
| 注意事项 | This product as supplied is intended for research use only, not for use in human, therapeutic or diagnostic applications. |
| 背景资料 | CNTNAP3B is a 1,288 amino acid protein that is encoded by a gene which maps to human chromosome 9. Chromosome 9 contains 145 million base pairs and comprises 4% of the human genome, encoding nearly 900 genes. Hereditary hemorrhagic telangiectasia, which is characterized by harmful vascular defects, and Familial dysautonomia, are both associated with chromosome 9. Notably, chromosome 9 encompasses the largest interferon family gene cluster. Chromosome 9 is partnered with chromosome 22 in translocations that lead to the aberrant production of a BCR-ABL fusion protein often found in leukemias. |
| 应用 | 推荐稀释比例 |
| {IHC-P} | {1:100-500} |
| {IHC-F} | {1:100-500} |
| {IF} | {1:100-500} |

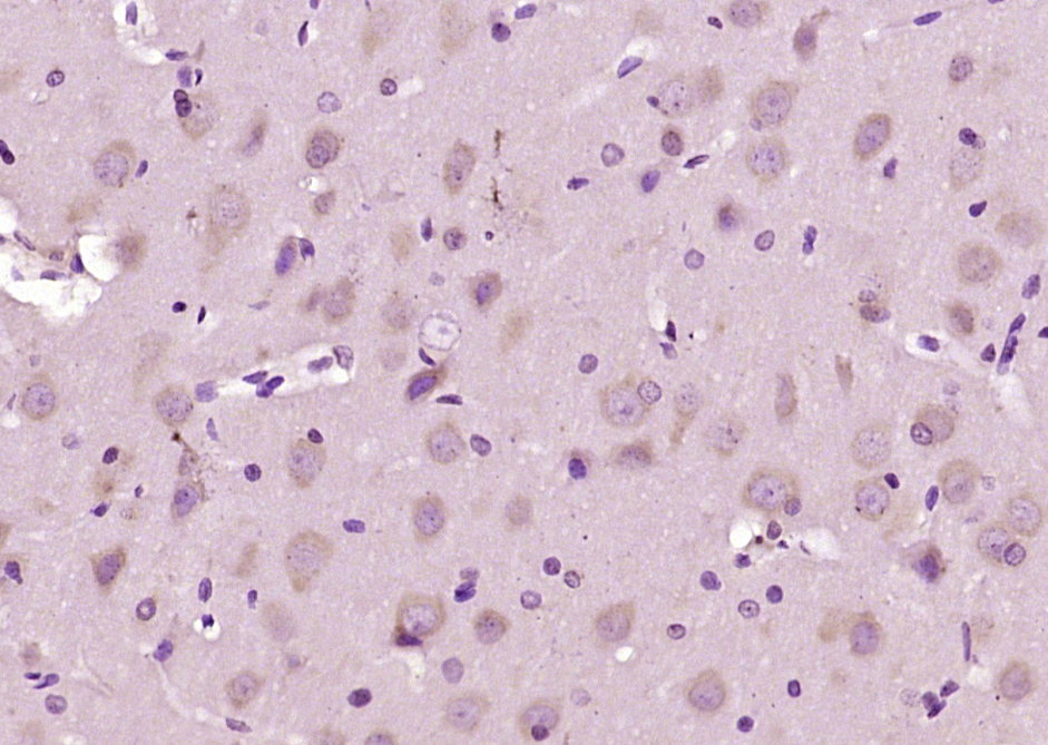
Paraformaldehyde-fixed, paraffin embedded (rat brain); Antigen retrieval by boiling in sodium citrate buffer (pH6.0) for 15min; Block endogenous peroxidase by 3% hydrogen peroxide for 20 minutes; Blocking buffer (normal goat serum) at 37°C for 30min; Antibody incubation with (CNTNAP3) Polyclonal Antibody, Unconjugated (bs-11075R) at 1:200 overnight at 4°C, followed by operating according to SP Kit(Rabbit) (sp-0023) instructionsand DAB staining.
风险提示:丁香通仅作为第三方平台,为商家信息发布提供平台空间。用户咨询产品时请注意保护个人信息及财产安全,合理判断,谨慎选购商品,商家和用户对交易行为负责。对于医疗器械类产品,请先查证核实企业经营资质和医疗器械产品注册证情况。
技术资料暂无技术资料 索取技术资料
CNTNAP3 Rabbit pAb(bs-11075R)-50ul/100ul/200ul
¥1180 - 2800





